JavaScript is disabled in your browser. Please enable JavaScript to view this website.
AB323454

Anti-UBQLN2 antibody [EPR28592-74]

  • BOND RX™ Validated
  • Recombinant
  • 20ul selling size
  • RabMAb
  • KO Validated
  • What is this?

Be the first to review this product! Submit a review

|

(0 Publication)

Rabbit Recombinant Monoclonal UBQLN2 antibody. Suitable for Dot, ICC/IF, WB, IHC-P and reacts with Transfected cell lysate - Human, Human, Mouse, Rat samples.

View Alternative Names

N4BP4, PLIC2, HRIHFB2157, UBQLN2, Ubiquilin-2, Chap1, DSK2 homolog, Protein linking IAP with cytoskeleton 2, Ubiquitin-like product Chap1/Dsk2, PLIC-2, hPLIC-2

23 Images
Immunocytochemistry/ Immunofluorescence - Anti-UBQLN2 antibody [EPR28592-74] (AB323454)
  • ICC/IF

Supplier Data

Immunocytochemistry/ Immunofluorescence - Anti-UBQLN2 antibody [EPR28592-74] (AB323454)

Immunofluorescent analysis of 100% methanol-fixed, 0.1% TritonX-100 permeabilized SH-SY5Y (human neuroblastoma epithelial cell) cells labelling UBQLN2 with ab323454 at 1/50 (10.1 ug/ml) dilution, followed by ab150081 Goat Anti-Rabbit IgG H&L (Alexa Fluor® 488) preadsorbed antibody at 1/1000 dilution (Green).

Confocal image showing mainly cytoplasmic staining in SH-SY5Y cell line and no staining in HL-60 cell line (shown in green). The counterstain was observed in magenta. Nuclear DNA was labelled with DAPI (shown in blue).
Low expression : HL-60.
Image was taken with a confocal microscope (Leica-Microsystems, TCS SP8).

ab195889 Anti-alpha Tubulin mouse monoclonal antibody - Microtubule Marker (Alexa Fluor® 594) was used to counterstain tubulin at 1/200 dilution (Magenta). The Nuclear counterstain was DAPI (Blue).

Secondary antibody only control : Secondary antibody is ab150081 Goat Anti-Rabbit IgG H&L (Alexa Fluor® 488) preadsorbed at 1/1000 dilution.

Immunohistochemistry (Formalin/PFA-fixed paraffin-embedded sections) - Anti-UBQLN2 antibody [EPR28592-74] (AB323454)
  • IHC-P

Lab

Immunohistochemistry (Formalin/PFA-fixed paraffin-embedded sections) - Anti-UBQLN2 antibody [EPR28592-74] (AB323454)

Immunohistochemical analysis of paraffin-embedded (A) Wild-type A549 (Human lung carcinoma epithelial cell) cell pellet /(B) UBQLN2 knockout A549 cell pellet labeling UBQLN2 with ab323454 at 1/8000 dilution, followed by a ready to use LeicaDS9800 (Bond™ Polymer Refine Detection).

Positive staining on wild-type A549 cell pellet (A), no staining on UBQLN2 knockout A549 cell pellet (B). The section was incubated with ab323454 for 30 mins at room temperature. The immunostaining was performed on a Leica Biosystems BOND® RX instrument. Slides were incubated with 3% Hydrogen Peroxide for 10 mins at room temperature after secondary antibody incubation to reduce the background

Counterstained with Hematoxylin.

Secondary antibody only control : Secondary antibody is a ready to use LeicaDS9800 (Bond™ Polymer Refine Detection).

Heat mediated antigen retrieval was performed with Tris-EDTA buffer (pH 9.0, Epitope Retrieval Solution2) for 20 mins

Immunohistochemistry (Formalin/PFA-fixed paraffin-embedded sections) - Anti-UBQLN2 antibody [EPR28592-74] (AB323454)
  • IHC-P

Supplier Data

Immunohistochemistry (Formalin/PFA-fixed paraffin-embedded sections) - Anti-UBQLN2 antibody [EPR28592-74] (AB323454)

Immunohistochemical analysis of paraffin-embedded SH-SY5Y (human neuroblastoma epithelial cell) tissue labeling UBQLN2 with ab323454 at 1/8000 (0.063 ug/ml) dilution, followed by a ready to use LeicaDS9800 (Bond™ Polymer Refine Detection).

Positive staining on SH-SY5Y. The section was incubated with ab323454 for 30 mins at room temperature.
The immunostaining was performed on a Leica Biosystems BOND® RX instrument. Slides were incubated with 3% Hydrogen Peroxide for 10 mins at room temperature after secondary antibody incubation to reduce the background

Counterstained with Hematoxylin.

Secondary antibody only control : Secondary antibody is a ready to use LeicaDS9800 (Bond™ Polymer Refine Detection).

Heat mediated antigen retrieval was performed with Tris-EDTA buffer (pH 9.0, Epitope Retrieval Solution2) for 20 mins

Immunohistochemistry (Formalin/PFA-fixed paraffin-embedded sections) - Anti-UBQLN2 antibody [EPR28592-74] (AB323454)
  • IHC-P

Supplier Data

Immunohistochemistry (Formalin/PFA-fixed paraffin-embedded sections) - Anti-UBQLN2 antibody [EPR28592-74] (AB323454)

Immunohistochemical analysis of paraffin-embedded HAP1 (human chronic myelogenous leukemia near-haploid cell) tissue labeling UBQLN2 with ab323454 at 1/8000 (0.063 ug/ml) dilution, followed by a ready to use LeicaDS9800 (Bond™ Polymer Refine Detection).

Positive staining on HAP1. The section was incubated with ab323454 for 30 mins at room temperature.
The immunostaining was performed on a Leica Biosystems BOND® RX instrument. Slides were incubated with 3% Hydrogen Peroxide for 10 mins at room temperature after secondary antibody incubation to reduce the background

Counterstained with Hematoxylin.

Secondary antibody only control : Secondary antibody is a ready to use LeicaDS9800 (Bond™ Polymer Refine Detection).

Heat mediated antigen retrieval was performed with Tris-EDTA buffer (pH 9.0, Epitope Retrieval Solution2) for 20 mins

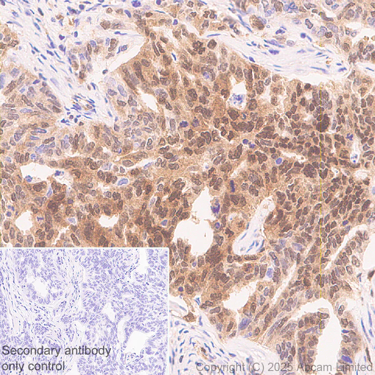
Immunohistochemistry (Formalin/PFA-fixed paraffin-embedded sections) - Anti-UBQLN2 antibody [EPR28592-74] (AB323454)
  • IHC-P

Supplier Data

Immunohistochemistry (Formalin/PFA-fixed paraffin-embedded sections) - Anti-UBQLN2 antibody [EPR28592-74] (AB323454)

Immunohistochemical analysis of paraffin-embedded Human glioma tissue labeling UBQLN2 with ab323454 at 1/8000 (0.063 ug/ml) dilution, followed by a ready to use LeicaDS9800 (Bond™ Polymer Refine Detection).

Positive staining on human glioma. The section was incubated with ab323454 for 30 mins at room temperature.
The immunostaining was performed on a Leica Biosystems BOND® RX instrument. Slides were incubated with 3% Hydrogen Peroxide for 10 mins at room temperature after secondary antibody incubation to reduce the background

Counterstained with Hematoxylin.

Secondary antibody only control : Secondary antibody is a ready to use LeicaDS9800 (Bond™ Polymer Refine Detection).

Heat mediated antigen retrieval was performed with Tris-EDTA buffer (pH 9.0, Epitope Retrieval Solution2) for 20 mins

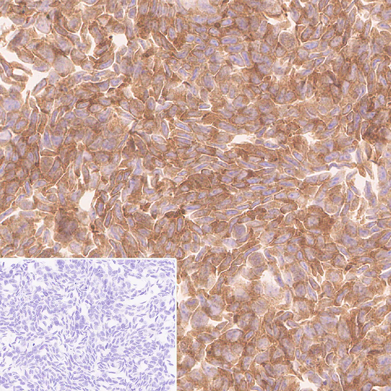
Immunohistochemistry (Formalin/PFA-fixed paraffin-embedded sections) - Anti-UBQLN2 antibody [EPR28592-74] (AB323454)
  • IHC-P

Supplier Data

Immunohistochemistry (Formalin/PFA-fixed paraffin-embedded sections) - Anti-UBQLN2 antibody [EPR28592-74] (AB323454)

Immunohistochemical analysis of paraffin-embedded Human ovarian carcinoma tissue labeling UBQLN2 with ab323454 at 1/8000 (0.063 ug/ml) dilution, followed by a ready to use LeicaDS9800 (Bond™ Polymer Refine Detection).

Positive staining on human ovarian carcinoma. The section was incubated with ab323454 for 30 mins at room temperature.
The immunostaining was performed on a Leica Biosystems BOND® RX instrument. Slides were incubated with 3% Hydrogen Peroxide for 10 mins at room temperature after secondary antibody incubation to reduce the background

Counterstained with Hematoxylin.

Secondary antibody only control : Secondary antibody is a ready to use LeicaDS9800 (Bond™ Polymer Refine Detection).

Heat mediated antigen retrieval was performed with Tris-EDTA buffer (pH 9.0, Epitope Retrieval Solution2) for 20 mins

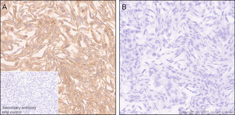
Immunohistochemistry (Formalin/PFA-fixed paraffin-embedded sections) - Anti-UBQLN2 antibody [EPR28592-74] (AB323454)
  • IHC-P

Supplier Data

Immunohistochemistry (Formalin/PFA-fixed paraffin-embedded sections) - Anti-UBQLN2 antibody [EPR28592-74] (AB323454)

Immunohistochemical analysis of paraffin-embedded Human skeletal muscle tissue labeling UBQLN2 with ab323454 at 1/8000 (0.063 ug/ml) dilution, followed by a ready to use LeicaDS9800 (Bond™ Polymer Refine Detection).

Low expression tissue : weak staining on human skeletal muscle. The section was incubated with ab323454 for 30 mins at room temperature.
The immunostaining was performed on a Leica Biosystems BOND® RX instrument. Slides were incubated with 3% Hydrogen Peroxide for 10 mins at room temperature after secondary antibody incubation to reduce the background

Counterstained with Hematoxylin.

Secondary antibody only control : Secondary antibody is a ready to use LeicaDS9800 (Bond™ Polymer Refine Detection).

Heat mediated antigen retrieval was performed with Tris-EDTA buffer (pH 9.0, Epitope Retrieval Solution2) for 20 mins

Immunohistochemistry (Formalin/PFA-fixed paraffin-embedded sections) - Anti-UBQLN2 antibody [EPR28592-74] (AB323454)
  • IHC-P

Supplier Data

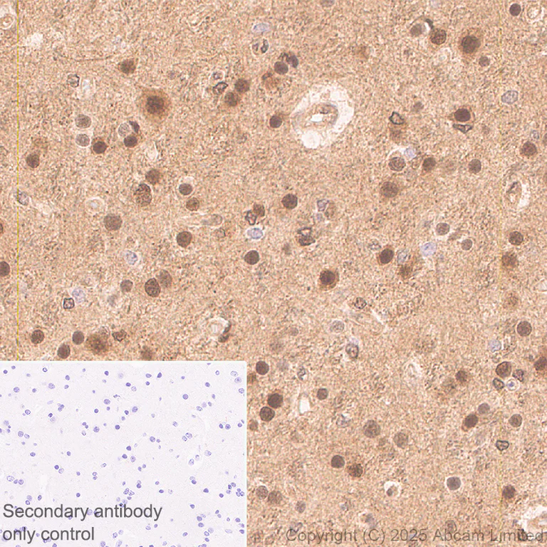
Immunohistochemistry (Formalin/PFA-fixed paraffin-embedded sections) - Anti-UBQLN2 antibody [EPR28592-74] (AB323454)

Immunohistochemical analysis of paraffin-embedded Human cerebrum tissue labeling UBQLN2 with ab323454 at 1/8000 (0.063 ug/ml) dilution, followed by a ready to use LeicaDS9800 (Bond™ Polymer Refine Detection).

Positive staining on human cerebrum. The section was incubated with ab323454 for 30 mins at room temperature.
The immunostaining was performed on a Leica Biosystems BOND® RX instrument. Slides were incubated with 3% Hydrogen Peroxide for 10 mins at room temperature after secondary antibody incubation to reduce the background

Counterstained with Hematoxylin.

Secondary antibody only control : Secondary antibody is a ready to use LeicaDS9800 (Bond™ Polymer Refine Detection).

Heat mediated antigen retrieval was performed with Tris-EDTA buffer (pH 9.0, Epitope Retrieval Solution2) for 20 mins

Immunocytochemistry/ Immunofluorescence - Anti-UBQLN2 antibody [EPR28592-74] (AB323454)
  • ICC/IF

Supplier Data

Immunocytochemistry/ Immunofluorescence - Anti-UBQLN2 antibody [EPR28592-74] (AB323454)

Immunofluorescent analysis of 100% methanol-fixed, 0.1% TritonX-100 permeabilized HeLa (human cervical adenocarcinoma epithelial cell) cells labelling UBQLN2 with ab323454 at 1/50 (10.1 ug/ml) dilution, followed by ab150081 Goat Anti-Rabbit IgG H&L (Alexa Fluor® 488) preadsorbed antibody at 1/1000 dilution (Green).

Confocal image showing mainly cytoplasmic staining in HeLa cell line (shown in green). The counterstain was observed in magenta. Nuclear DNA was labelled with DAPI (shown in blue).
Image was taken with a confocal microscope (Leica-Microsystems, TCS SP8).

ab195889 Anti-alpha Tubulin mouse monoclonal antibody - Microtubule Marker (Alexa Fluor® 594) was used to counterstain tubulin at 1/200 dilution (Magenta). The Nuclear counterstain was DAPI (Blue).

Secondary antibody only control : Secondary antibody is ab150081 Goat Anti-Rabbit IgG H&L (Alexa Fluor® 488) preadsorbed at 1/1000 dilution.

Immunocytochemistry/ Immunofluorescence - Anti-UBQLN2 antibody [EPR28592-74] (AB323454)
  • ICC/IF

Supplier Data

Immunocytochemistry/ Immunofluorescence - Anti-UBQLN2 antibody [EPR28592-74] (AB323454)

Immunofluorescent analysis of 100% methanol-fixed, 0.1% TritonX-100 permeabilized HAP1 (human chronic myelogenous leukemia near-haploid cell) cells labelling UBQLN2 with ab323454 at 1/100 (5.05 ug/ml) dilution, followed by ab150081 Goat Anti-Rabbit IgG H&L (Alexa Fluor® 488) preadsorbed antibody at 1/1000 dilution (Green).

Confocal image showing mainly cytoplasmic staining in HAP1 cell line and no staining in FaDu cell line (shown in green). The counterstain was observed in magenta. Nuclear DNA was labelled with DAPI (shown in blue).
Low expression : FaDu.
Image was taken with a confocal microscope (Leica-Microsystems, TCS SP8).

ab195889 Anti-alpha Tubulin mouse monoclonal antibody - Microtubule Marker (Alexa Fluor® 594) was used to counterstain tubulin at 1/200 dilution (Magenta). The Nuclear counterstain was DAPI (Blue).

Secondary antibody only control : Secondary antibody is ab150081 Goat Anti-Rabbit IgG H&L (Alexa Fluor® 488) preadsorbed at 1/1000 dilution.

Immunocytochemistry/ Immunofluorescence - Anti-UBQLN2 antibody [EPR28592-74] (AB323454)
  • ICC/IF

Lab

Immunocytochemistry/ Immunofluorescence - Anti-UBQLN2 antibody [EPR28592-74] (AB323454)

Immunofluorescent analysis of 100% methanol-fixed, 0.1% TritonX-100 permeabilized UBQLN2 KO A549 (UBQLN2 knockout human lung carcinoma epithelial cell)/Wild-type A549 cells labelling UBQLN2 with ab323454 at 1/50 dilution, followed by ab150081 Goat Anti-Rabbit IgG H&L (Alexa Fluor® 488) preadsorbed antibody at 1/1000 dilution (Green).

Confocal image showing mainly cytoplasmic staining in parental A549 cell line and no staining in UBQLN2 knockout A549 cell line (shown in green). The counterstain was observed in magenta. Nuclear DNA was labelled with DAPI (shown in blue). Image was taken with a confocal microscope (Leica-Microsystems, TCS SP8).

ab195889 Anti-alpha Tubulin mouse monoclonal antibody - Microtubule Marker (Alexa Fluor® 594) was used to counterstain tubulin at 1/200 dilution (Magenta). The Nuclear counterstain was DAPI (Blue).

Secondary antibody only control : Secondary antibody is ab150081 Goat Anti-Rabbit IgG H&L (Alexa Fluor® 488) preadsorbed at 1/1000 dilution.

Immunohistochemistry (Formalin/PFA-fixed paraffin-embedded sections) - Anti-UBQLN2 antibody [EPR28592-74] (AB323454)
  • IHC-P

Supplier Data

Immunohistochemistry (Formalin/PFA-fixed paraffin-embedded sections) - Anti-UBQLN2 antibody [EPR28592-74] (AB323454)

Immunohistochemical analysis of paraffin-embedded Rat skeletal muscle tissue labeling UBQLN2 with ab323454 at 1/8000 (0.063 ug/ml) dilution, followed by a ready to use LeicaDS9800 (Bond™ Polymer Refine Detection).

Low expression tissue : weak staining on rat skeletal muscle. The section was incubated with ab323454 for 30 mins at room temperature.
The immunostaining was performed on a Leica Biosystems BOND® RX instrument. Slides were incubated with 3% Hydrogen Peroxide for 10 mins at room temperature after secondary antibody incubation to reduce the background

Counterstained with Hematoxylin.

Secondary antibody only control : Secondary antibody is a ready to use LeicaDS9800 (Bond™ Polymer Refine Detection).

Heat mediated antigen retrieval was performed with Tris-EDTA buffer (pH 9.0, Epitope Retrieval Solution2) for 20 mins

Immunohistochemistry (Formalin/PFA-fixed paraffin-embedded sections) - Anti-UBQLN2 antibody [EPR28592-74] (AB323454)
  • IHC-P

Supplier Data

Immunohistochemistry (Formalin/PFA-fixed paraffin-embedded sections) - Anti-UBQLN2 antibody [EPR28592-74] (AB323454)

Immunohistochemical analysis of paraffin-embedded Mouse skeletal muscle tissue labeling UBQLN2 with ab323454 at 1/8000 (0.063 ug/ml) dilution, followed by a ready to use LeicaDS9800 (Bond™ Polymer Refine Detection).

Low expression tissue : weak staining on mouse skeletal muscle. The section was incubated with ab323454 for 30 mins at room temperature.
The immunostaining was performed on a Leica Biosystems BOND® RX instrument. Slides were incubated with 3% Hydrogen Peroxide for 10 mins at room temperature after secondary antibody incubation to reduce the background

Counterstained with Hematoxylin.

Secondary antibody only control : Secondary antibody is a ready to use LeicaDS9800 (Bond™ Polymer Refine Detection).

Heat mediated antigen retrieval was performed with Tris-EDTA buffer (pH 9.0, Epitope Retrieval Solution2) for 20 mins

Immunohistochemistry (Formalin/PFA-fixed paraffin-embedded sections) - Anti-UBQLN2 antibody [EPR28592-74] (AB323454)
  • IHC-P

Supplier Data

Immunohistochemistry (Formalin/PFA-fixed paraffin-embedded sections) - Anti-UBQLN2 antibody [EPR28592-74] (AB323454)

Immunohistochemical analysis of paraffin-embedded Rat cerebrum tissue labeling UBQLN2 with ab323454 at 1/8000 (0.063 ug/ml) dilution, followed by a ready to use LeicaDS9800 (Bond™ Polymer Refine Detection).

Positive staining on rat cerebrum. The section was incubated with ab323454 for 30 mins at room temperature.
The immunostaining was performed on a Leica Biosystems BOND® RX instrument. Slides were incubated with 3% Hydrogen Peroxide for 10 mins at room temperature after secondary antibody incubation to reduce the background

Counterstained with Hematoxylin.

Secondary antibody only control : Secondary antibody is a ready to use LeicaDS9800 (Bond™ Polymer Refine Detection).

Heat mediated antigen retrieval was performed with Tris-EDTA buffer (pH 9.0, Epitope Retrieval Solution2) for 20 mins

Immunocytochemistry/ Immunofluorescence - Anti-UBQLN2 antibody [EPR28592-74] (AB323454)
  • ICC/IF

Supplier Data

Immunocytochemistry/ Immunofluorescence - Anti-UBQLN2 antibody [EPR28592-74] (AB323454)

Immunofluorescent analysis of 100% methanol-fixed, 0.1% TritonX-100 permeabilized PC-12 (rat adrenal gland pheochromocytoma cell) cells labelling UBQLN2 with ab323454 at 1/50 (10.1 ug/ml) dilution, followed by ab150081 Goat Anti-Rabbit IgG H&L (Alexa Fluor® 488) preadsorbed antibody at 1/1000 dilution (Green).

Confocal image showing mainly cytoplasmic staining in PC-12 cell line (shown in green). The counterstain was observed in magenta. Nuclear DNA was labelled with DAPI (shown in blue).
Image was taken with a confocal microscope (Leica-Microsystems, TCS SP8).

ab195889 Anti-alpha Tubulin mouse monoclonal antibody - Microtubule Marker (Alexa Fluor® 594) was used to counterstain tubulin at 1/200 dilution (Magenta). The Nuclear counterstain was DAPI (Blue).

Secondary antibody only control : Secondary antibody is ab150081 Goat Anti-Rabbit IgG H&L (Alexa Fluor® 488) preadsorbed at 1/1000 dilution.

Immunocytochemistry/ Immunofluorescence - Anti-UBQLN2 antibody [EPR28592-74] (AB323454)
  • ICC/IF

Supplier Data

Immunocytochemistry/ Immunofluorescence - Anti-UBQLN2 antibody [EPR28592-74] (AB323454)

Immunofluorescent analysis of 100% methanol-fixed, 0.1% TritonX-100 permeabilized Neuro-2a (mouse neuroblastoma neuroblast) cells labelling UBQLN2 with ab323454 at 1/50 (10.1 ug/ml) dilution, followed by ab150081 Goat Anti-Rabbit IgG H&L (Alexa Fluor® 488) preadsorbed antibody at 1/1000 dilution (Green).

Confocal image showing mainly cytoplasmic staining in Neuro-2a cell line (shown in green). The counterstain was observed in magenta. Nuclear DNA was labelled with DAPI (shown in blue).
Image was taken with a confocal microscope (Leica-Microsystems, TCS SP8).

ab195889 Anti-alpha Tubulin mouse monoclonal antibody - Microtubule Marker (Alexa Fluor® 594) was used to counterstain tubulin at 1/200 dilution (Magenta). The Nuclear counterstain was DAPI (Blue).

Secondary antibody only control : Secondary antibody is ab150081 Goat Anti-Rabbit IgG H&L (Alexa Fluor® 488) preadsorbed at 1/1000 dilution.

Immunohistochemistry (Formalin/PFA-fixed paraffin-embedded sections) - Anti-UBQLN2 antibody [EPR28592-74] (AB323454)
  • IHC-P

Supplier Data

Immunohistochemistry (Formalin/PFA-fixed paraffin-embedded sections) - Anti-UBQLN2 antibody [EPR28592-74] (AB323454)

Immunohistochemical analysis of paraffin-embedded Mouse cerebrum tissue labeling UBQLN2 with ab323454 at 1/8000 (0.063 ug/ml) dilution, followed by a ready to use LeicaDS9800 (Bond™ Polymer Refine Detection).

Positive staining on mouse cerebrum. The section was incubated with ab323454 for 30 mins at room temperature.
The immunostaining was performed on a Leica Biosystems BOND® RX instrument. Slides were incubated with 3% Hydrogen Peroxide for 10 mins at room temperature after secondary antibody incubation to reduce the background

Counterstained with Hematoxylin.

Secondary antibody only control : Secondary antibody is a ready to use LeicaDS9800 (Bond™ Polymer Refine Detection).

Heat mediated antigen retrieval was performed with Tris-EDTA buffer (pH 9.0, Epitope Retrieval Solution2) for 20 mins

Western blot - Anti-UBQLN2 antibody [EPR28592-74] (AB323454)
  • WB

Supplier Data

Western blot - Anti-UBQLN2 antibody [EPR28592-74] (AB323454)

Blocking and diluting buffer and concentration : 5% NFDM/TBST.

The identity of the lower MW band at approximately 20 kDa is unknown.

In Western blot, Anti-GAPDH antibody [EPR16891] - Loading Control (ab181602) staining at 1/200000 dilution.

All lanes:

Western blot - Anti-UBQLN2 antibody [EPR28592-74] (ab323454) at 1/1000 dilution

Lane 1:

HeLa (human cervical adenocarcinoma epithelial cell) transfected with scrambled siRNA control whole cell lysate at 20 µg with NFDM/TBST

Lane 2:

HeLa transfected with siRNA specifically targeting UBQLN2 whole cell lysate at 20 µg with NFDM/TBST

Secondary

All lanes:

Western blot - Goat Anti-Rabbit IgG H&L (HRP) (<a href='/en-us/products/secondary-antibodies/goat-rabbit-igg-h-l-hrp-ab97051'>ab97051</a>) at 1/20000 dilution

Observed band size: 70 kDa,36 kDa

false

Exposure time: 3s

Western blot - Anti-UBQLN2 antibody [EPR28592-74] (AB323454)
  • WB

Supplier Data

Western blot - Anti-UBQLN2 antibody [EPR28592-74] (AB323454)

Blocking and diluting buffer and concentration : 5% NFDM/TBST.

The expression profile/ molecular weight observed is consistent with what has been described in the literature (PMID : 32413959, PMID : 35247097).

To minimize protein degradation, cells were lysed immediately after harvest and then applied to a gel and transfer membrane for Western blotting as soon as possible.

The identity of the lower MW band at approximately 20 kDa is unknown.

In Western blot, Anti-GAPDH antibody [EPR16891] - Loading Control (ab181602) staining at 1/200000 dilution.

Exposure time : Lanes 1-2 : 6 seconds; Lanes 3-4 : 3 seconds.

All lanes:

Western blot - Anti-UBQLN2 antibody [EPR28592-74] (ab323454) at 1/1000 dilution

Lane 1:

SH-SY5Y (human neuroblastoma epithelial cell) whole cell lysate at 20 µg with NFDM/TBST

Lane 2:

HAP1 (human chronic myelogenous leukemia near-haploid cell) whole cell lysate at 20 µg with NFDM/TBST

Lane 3:

HeLa (human cervical adenocarcinoma epithelial cell) whole cell lysate at 20 µg with NFDM/TBST

Lane 4:

293T (human embryonic kidney epithelial cell) whole cell lysate at 20 µg with NFDM/TBST

Secondary

All lanes:

Western blot - Goat Anti-Rabbit IgG H&L (HRP) (<a href='/en-us/products/secondary-antibodies/goat-rabbit-igg-h-l-hrp-ab97051'>ab97051</a>) at 1/20000 dilution

Observed band size: 70 kDa,36 kDa

false

Western blot - Anti-UBQLN2 antibody [EPR28592-74] (AB323454)
  • WB

Lab

Western blot - Anti-UBQLN2 antibody [EPR28592-74] (AB323454)

Blocking and diluting buffer and concentration : 5% NFDM/TBST. ab181602 was used as a GAPDH loading control at a 1/200000 dilution. The expression profile/ molecular weight observed is consistent with what has been described in the literature (PMID : 32413959, PMID : 35247097). In Western blot, ab323454 was shown to bind specifically to UBQLN2. Target of interest was observed at 70 kDa in treated wild-type A549 cell lysates (lane 1) with no signal observed at this size in UBQLN2 knockout cell line (lane 2).

All lanes:

Western blot - Anti-UBQLN2 antibody [EPR28592-74] (ab323454) at 1/1000 dilution

Lane 1:

Wild-type A549(Human lung carcinoma epithelial cell) whole cell lysate at 20 µg

Lane 2:

UBQLN2 knockout A549 whole cell lysate at 20 µg

Secondary

All lanes:

Western blot - Goat Anti-Rabbit IgG H&L (HRP) (<a href='/en-us/products/secondary-antibodies/goat-rabbit-igg-h-l-hrp-ab97051'>ab97051</a>) at 1/20000 dilution

Observed band size: 70 kDa

false

Exposure time: 180s

Western blot - Anti-UBQLN2 antibody [EPR28592-74] (AB323454)
  • WB

Supplier Data

Western blot - Anti-UBQLN2 antibody [EPR28592-74] (AB323454)

Blocking and diluting buffer and concentration : 5% NFDM/TBST.

Low expression : FaDu, HL-60.

The expression profile/ molecular weight observed is consistent with what has been described in the literature (PMID : 32413959, PMID : 35247097).

The bands beneath the target band are likely to be degraded target fragments.

The identity of the lower MW band at approximately 20 kDa in lane 9 is unknown.

Lanes 1-7 are incubated with Goat Anti-Rabbit IgG, (H+L), Peroxidase conjugated (ab97051) at 1/20000 and lanes 8-9 are incubated with Goat Anti-Rabbit IgG (HRP) with minimal cross-reactivity with human IgG at 1/2000.

In Western blot, Anti-GAPDH antibody [EPR16891] - Loading Control (ab181602) staining at 1/200000 dilution.

Exposure time : Lanes 1-7 : 26 seconds; Lanes 8-9 : 92 seconds

All lanes:

Western blot - Anti-UBQLN2 antibody [EPR28592-74] (ab323454) at 1/1000 dilution

Lane 1:

PC-3 (human prostate adenocarcinoma epithelial cell) whole cell lysate at 20 µg with NFDM/TBST

Lane 2:

RPMI-8226 (human plasmacytoma B Lymphocyte) whole cell lysate at 20 µg with NFDM/TBST

Lane 3:

786-O (human kidney epithelial cell) whole cell lysate at 20 µg with NFDM/TBST

Lane 4:

HEK-293 (human embryonic kidney epithelial cell) whole cell lysate at 20 µg with NFDM/TBST

Lane 5:

HCT 116 (human colorectal carcinoma epithelial cell) whole cell lysate at 20 µg with NFDM/TBST

Lane 6:

HL-60 (human acute promyelocytic leukemia promyeloblast) whole cell lysate at 20 µg with NFDM/TBST

Lane 7:

FaDu (human pharyngeal carcinoma epithelial cell) whole cell lysate at 20 µg with NFDM/TBST

Lane 8:

Human liver tissue lysate at 20 µg with NFDM/TBST

Lane 9:

Human brainstem tissue lysate at 20 µg with NFDM/TBST

Secondary

Lanes 1 - 7:

Western blot - Goat Anti-Rabbit IgG H&L (HRP) (<a href='/en-us/products/secondary-antibodies/goat-rabbit-igg-h-l-hrp-ab97051'>ab97051</a>) at 1/20000 dilution

Lanes 8 - 9:

Goat Anti-Rabbit IgG (HRP) with minimal cross-reactivity with human IgG at 1/2000 dilution

Observed band size: 70 kDa,36 kDa

false

Dot Blot - Anti-UBQLN2 antibody [EPR28592-74] (AB323454)
  • Dot

Supplier Data

Dot Blot - Anti-UBQLN2 antibody [EPR28592-74] (AB323454)

Dot blot analysis of UBQLN2 using ab323454 at 1 : 1000 (0.505 ug/ml) followed by a Goat Anti-Rabbit IgG, (H+L), Peroxidase conjugated (ab97051) at 1 : 100,000 dilution.

Lane1 : Purified 293T cells transfected with a human UBQL2 expression vector containing a His-tag, whole cell lysate
Lane2 : Purified 293T cells transfected with a human UBQL4 expression vector containing a His-tag, whole cell lysate
Lane3 : Purified 293T cells transfected with a human UBQL3 expression vector containing a His-tag, whole cell lysate
Lane4 : Purified 293T cells transfected with a human UBQL1 expression vector containing a His-tag, whole cell lysate

Exposure time : 180 seconds.

Blocking and diluting buffer and concentration : 5% NFDM/TBST.

This antibody does not cross-react with human UBQL1, UBQL3 and UBQL4.

In Dot Blot, Anti-6X His tag® antibody [EPR20547] - ChIP Grade (ab213204) staining at 1/5000 dilution.

All lanes:

Dot Blot - Anti-UBQLN2 antibody [EPR28592-74] (ab323454) at 1/1000 dilution

Lane 1:

Purified 293T cells transfected with a human UBQL2 expression vector containing a His-tag, whole cell lysate

Lane 2:

Purified 293T cells transfected with a human UBQL4 expression vector containing a His-tag, whole cell lysate

Lane 3:

Purified 293T cells transfected with a human UBQL3 expression vector containing a His-tag, whole cell lysate

Lane 4:

Purified 293T cells transfected with a human UBQL1 expression vector containing a His-tag, whole cell lysate

Secondary

All lanes:

Dot Blot - Goat Anti-Rabbit IgG H&L (HRP) (<a href='/en-us/products/secondary-antibodies/goat-rabbit-igg-h-l-hrp-ab97051'>ab97051</a>) at 1/100000 dilution

false

Exposure time: 180s

Western blot - Anti-UBQLN2 antibody [EPR28592-74] (AB323454)
  • WB

Supplier Data

Western blot - Anti-UBQLN2 antibody [EPR28592-74] (AB323454)

Blocking and diluting buffer and concentration : 5% NFDM/TBST.

Low expression : skeletal muscle.

The expression profile/ molecular weight observed is consistent with what has been described in the literature (PMID : 32413959, PMID : 35247097).

In lanes 1-7, the lysates was stored at -80°C prior to Western Blotting. The bands beneath the target band are likely to be degraded target fragments.

To minimize protein degradation, cells (lanes 8-10) were lysed immediately after harvest and then applied to a gel and transfer membrane for Western blotting as soon as possible.

The identity of the lower MW band at approximately 20 kDa in lanes 2, 4 and 6 is unknown.

In Western blot, Anti-GAPDH antibody [EPR16891] - Loading Control (ab181602) staining at 1/200000 dilution.

Exposure time : Lanes 1-9 : 3 seconds; Lane 10 : 1 second.

All lanes:

Western blot - Anti-UBQLN2 antibody [EPR28592-74] (ab323454) at 1/1000 dilution

Lanes 1 and 10:

Neuro-2a (mouse neuroblastoma neuroblast) whole cell lysate at 20 µg with NFDM/TBST

Lanes 2 and 9:

PC-12 (rat adrenal gland pheochromocytoma cell) whole cell lysate at 20 µg with NFDM/TBST

Lane 3:

C6 (rat glial tumor glial cell) whole cell lysate at 20 µg with NFDM/TBST

Lane 4:

Mouse brainstem tissue lysate at 20 µg with NFDM/TBST

Lane 5:

Mouse skeletal muscle tissue lysate at 20 µg with NFDM/TBST

Lane 6:

Rat brainstem tissue lysate at 20 µg with NFDM/TBST

Lane 7:

Rat skeletal muscle tissue lysate at 20 µg with NFDM/TBST

Lane 8:

NIH/3T3 (mouse embryonic fibroblast) whole cell lysate at 20 µg with NFDM/TBST

Secondary

All lanes:

Western blot - Goat Anti-Rabbit IgG H&L (HRP) (<a href='/en-us/products/secondary-antibodies/goat-rabbit-igg-h-l-hrp-ab97051'>ab97051</a>) at 1/20000 dilution

Observed band size: 70 kDa,36 kDa

false

Key facts

Host species

Rabbit

Clonality

Monoclonal

Clone number

EPR28592-74

Isotype

IgG

Carrier free

No

Reacts with

Human, Mouse, Rat

Applications

IHC-P, WB, ICC/IF, Dot

applications

Immunogen

The exact immunogen used to generate this antibody is proprietary information.

Reactivity data

{ "title": "Reactivity Data", "filters": { "stats": ["", "Species", "Dilution Info", "Notes"], "tabs": { "all-applications": {"fullname" : "All Applications", "shortname": "All Applications"}, "Dot" : {"fullname" : "Dot Blot", "shortname":"Dot"}, "ICCIF" : {"fullname" : "Immunocytochemistry/ Immunofluorescence", "shortname":"ICC/IF"}, "WB" : {"fullname" : "Western blot", "shortname":"WB"}, "IHCP" : {"fullname" : "Immunohistochemistry (Formalin/PFA-fixed paraffin-embedded sections)", "shortname":"IHC-P"} }, "product-promise": { "all": "all", "testedAndGuaranteed": "tested", "guaranteed": "expected", "predicted": "predicted", "notRecommended": "not-recommended" } }, "values": { "Human": { "Dot-species-checked": "guaranteed", "Dot-species-dilution-info": "", "Dot-species-notes": "", "ICCIF-species-checked": "testedAndGuaranteed", "ICCIF-species-dilution-info": "1/50", "ICCIF-species-notes": "<p></p>", "WB-species-checked": "testedAndGuaranteed", "WB-species-dilution-info": "1/1000", "WB-species-notes": "<p></p>", "IHCP-species-checked": "testedAndGuaranteed", "IHCP-species-dilution-info": "1/8000", "IHCP-species-notes": "<p></p> Perform heat-mediated antigen retrieval with Tris/EDTA buffer pH 9.0 before commencing with IHC staining protocol." }, "Mouse": { "Dot-species-checked": "guaranteed", "Dot-species-dilution-info": "", "Dot-species-notes": "", "ICCIF-species-checked": "testedAndGuaranteed", "ICCIF-species-dilution-info": "1/50", "ICCIF-species-notes": "<p></p>", "WB-species-checked": "testedAndGuaranteed", "WB-species-dilution-info": "1/1000", "WB-species-notes": "<p></p>", "IHCP-species-checked": "testedAndGuaranteed", "IHCP-species-dilution-info": "1/8000", "IHCP-species-notes": "<p></p> Perform heat-mediated antigen retrieval with Tris/EDTA buffer pH 9.0 before commencing with IHC staining protocol." }, "Rat": { "Dot-species-checked": "guaranteed", "Dot-species-dilution-info": "", "Dot-species-notes": "", "ICCIF-species-checked": "testedAndGuaranteed", "ICCIF-species-dilution-info": "1/50", "ICCIF-species-notes": "<p></p>", "WB-species-checked": "testedAndGuaranteed", "WB-species-dilution-info": "1/1000", "WB-species-notes": "<p></p>", "IHCP-species-checked": "testedAndGuaranteed", "IHCP-species-dilution-info": "1/8000", "IHCP-species-notes": "<p></p> Perform heat-mediated antigen retrieval with Tris/EDTA buffer pH 9.0 before commencing with IHC staining protocol." }, "Transfected cell lysate - Human": { "Dot-species-checked": "testedAndGuaranteed", "Dot-species-dilution-info": "1/1000", "Dot-species-notes": "<p></p>", "ICCIF-species-checked": "notRecommended", "ICCIF-species-dilution-info": "", "ICCIF-species-notes": "", "WB-species-checked": "notRecommended", "WB-species-dilution-info": "", "WB-species-notes": "", "IHCP-species-checked": "notRecommended", "IHCP-species-dilution-info": "", "IHCP-species-notes": "" } } }

Product details

Patented technology
Our RabMAb® technology is a patented hybridoma-based technology for making rabbit monoclonal antibodies. For details on our patents, please refer to RabMAb® patents.

What are the advantages of a recombinant monoclonal antibody?
This product is a recombinant monoclonal antibody, which offers several advantages including:

  • - High batch-to-batch consistency and reproducibility
  • - Improved sensitivity and specificity
  • - Long-term security of supply
  • - Animal-free batch production

For more information, read more on recombinant antibodies.

Properties and storage information

Form
Liquid
Purification technique
Affinity purification Protein A
Storage buffer
pH: 7.2 - 7.4 Preservative: 0.01% Sodium azide Constituents: PBS, 40% Glycerol (glycerin, glycerine), 0.05% BSA
Shipped at conditions
Blue Ice
Appropriate short-term storage duration
1-2 weeks
Appropriate short-term storage conditions
+4°C
Appropriate long-term storage conditions
-20°C
Aliquoting information
Upon delivery aliquot
Storage information
Avoid freeze / thaw cycle

Product protocols

For this product, it's our understanding that no specific protocols are required. You can visit:

Target data

Plays an important role in the regulation of different protein degradation mechanisms and pathways including ubiquitin-proteasome system (UPS), autophagy and the endoplasmic reticulum-associated protein degradation (ERAD) pathway. Mediates the proteasomal targeting of misfolded or accumulated proteins for degradation by binding (via UBA domain) to their polyubiquitin chains and by interacting (via ubiquitin-like domain) with the subunits of the proteasome (PubMed : 10983987). Plays a role in the ERAD pathway via its interaction with ER-localized proteins FAF2/UBXD8 and HERPUD1 and may form a link between the polyubiquitinated ERAD substrates and the proteasome (PubMed : 18307982, PubMed : 24215460). Involved in the regulation of macroautophagy and autophagosome formation; required for maturation of autophagy-related protein LC3 from the cytosolic form LC3-I to the membrane-bound form LC3-II and may assist in the maturation of autophagosomes to autolysosomes by mediating autophagosome-lysosome fusion (PubMed : 19148225, PubMed : 20529957). Negatively regulates the endocytosis of GPCR receptors : AVPR2 and ADRB2, by specifically reducing the rate at which receptor-arrestin complexes concentrate in clathrin-coated pits (CCPs) (PubMed : 18199683).
See full target information UBQLN2

Product promise

We are committed to supporting your work with high-quality reagents, and we're here for you every step of the way. In the unlikely event that one of our products does not perform as expected, you're protected by our Product Promise.
For full details, please see our Terms & Conditions

Please note: All products are 'FOR RESEARCH USE ONLY. NOT FOR USE IN DIAGNOSTIC OR THERAPEUTIC PROCEDURES'.

For licensing inquiries, please contact partnerships@abcam.com