JavaScript is disabled in your browser. Please enable JavaScript to view this website.
AB114109

Anti-UBR4/p600 antibody

Be the first to review this product! Submit a review

|

(1 Publication)

Rabbit Polyclonal UBR4/p600 antibody. Suitable for IHC-P, IP and reacts with Human samples. Cited in 1 publication. Immunogen corresponding to Synthetic Peptide within Human UBR4 aa 150-200.

View Alternative Names

KIAA0462, KIAA1307, RBAF600, ZUBR1, UBR4, E3 ubiquitin-protein ligase UBR4, 600 kDa retinoblastoma protein-associated factor, N-recognin-4, Retinoblastoma-associated factor of 600 kDa, p600

2 Images
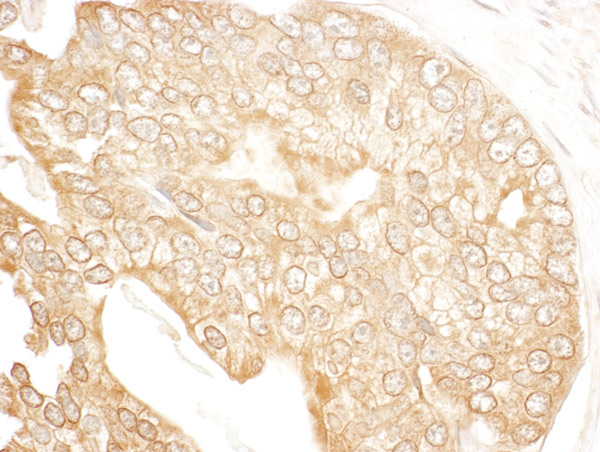
Immunohistochemistry (Formalin/PFA-fixed paraffin-embedded sections) - Anti-UBR4/p600 antibody (AB114109)
  • IHC-P

Unknown

Immunohistochemistry (Formalin/PFA-fixed paraffin-embedded sections) - Anti-UBR4/p600 antibody (AB114109)

Immunohistochemistry (Formalin/PFA-fixed paraffin-embedded sections) analysis of human prostate carcinoma tissue labelling UBR4 with ab114109 at 1/1000 (1µg/ml). Detection : DAB.

Immunoprecipitation - Anti-UBR4/p600 antibody (AB114109)
  • IP

Unknown

Immunoprecipitation - Anti-UBR4/p600 antibody (AB114109)

Detection of Human UBR4/p600 by Western blot of Immunoprecipitate.
UBR4/p600 was immunoprecipitated from HeLa whole cell lysate, using ab114109 at 10 μg/mg lysate (1 mg for IP, 20% of IP loaded). An affinity purified rabbit anti-UBR4/p600 antibody was used for the subsequent WB at 1 μg/ml.
Detection : Chemiluminescence with an exposure time of 10 seconds.

All lanes:

Immunoprecipitation - Anti-UBR4/p600 antibody (ab114109)

Predicted band size: 12 kDa,15 kDa,34 kDa,41 kDa,47 kDa,49 kDa,57 kDa,574 kDa,9 kDa,91 kDa

false

Key facts

Host species

Rabbit

Clonality

Polyclonal

Isotype

IgG

Carrier free

No

Reacts with

Human

Applications

IP, IHC-P

applications

Immunogen

Synthetic Peptide within Human UBR4 aa 150-200. The exact immunogen used to generate this antibody is proprietary information.

Q5T4S7

Reactivity data

{ "title": "Reactivity Data", "filters": { "stats": ["", "Species", "Dilution Info", "Notes"], "tabs": { "all-applications": {"fullname" : "All Applications", "shortname": "All Applications"}, "IHCP" : {"fullname" : "Immunohistochemistry (Formalin/PFA-fixed paraffin-embedded sections)", "shortname":"IHC-P"}, "IP" : {"fullname" : "Immunoprecipitation", "shortname":"IP"} }, "product-promise": { "all": "all", "testedAndGuaranteed": "tested", "guaranteed": "expected", "predicted": "predicted", "notRecommended": "not-recommended" } }, "values": { "Human": { "IHCP-species-checked": "testedAndGuaranteed", "IHCP-species-dilution-info": "1/500 - 1/2000", "IHCP-species-notes": "<p></p> Perform heat-mediated antigen retrieval with citrate buffer pH 6 before commencing with IHC staining protocol.", "IP-species-checked": "testedAndGuaranteed", "IP-species-dilution-info": "10 µg/mg of lysate", "IP-species-notes": "<p></p>" }, "Mouse": { "IHCP-species-checked": "predicted", "IHCP-species-dilution-info": "", "IHCP-species-notes": "", "IP-species-checked": "predicted", "IP-species-dilution-info": "", "IP-species-notes": "" }, "Rat": { "IHCP-species-checked": "predicted", "IHCP-species-dilution-info": "", "IHCP-species-notes": "", "IP-species-checked": "predicted", "IP-species-dilution-info": "", "IP-species-notes": "" }, "Chicken": { "IHCP-species-checked": "predicted", "IHCP-species-dilution-info": "", "IHCP-species-notes": "", "IP-species-checked": "predicted", "IP-species-dilution-info": "", "IP-species-notes": "" }, "Chimpanzee": { "IHCP-species-checked": "predicted", "IHCP-species-dilution-info": "", "IHCP-species-notes": "", "IP-species-checked": "predicted", "IP-species-dilution-info": "", "IP-species-notes": "" }, "Dog": { "IHCP-species-checked": "predicted", "IHCP-species-dilution-info": "", "IHCP-species-notes": "", "IP-species-checked": "predicted", "IP-species-dilution-info": "", "IP-species-notes": "" }, "Ferret": { "IHCP-species-checked": "predicted", "IHCP-species-dilution-info": "", "IHCP-species-notes": "", "IP-species-checked": "predicted", "IP-species-dilution-info": "", "IP-species-notes": "" }, "Gorilla": { "IHCP-species-checked": "predicted", "IHCP-species-dilution-info": "", "IHCP-species-notes": "", "IP-species-checked": "predicted", "IP-species-dilution-info": "", "IP-species-notes": "" }, "Opossum": { "IHCP-species-checked": "predicted", "IHCP-species-dilution-info": "", "IHCP-species-notes": "", "IP-species-checked": "predicted", "IP-species-dilution-info": "", "IP-species-notes": "" }, "Orangutan": { "IHCP-species-checked": "predicted", "IHCP-species-dilution-info": "", "IHCP-species-notes": "", "IP-species-checked": "predicted", "IP-species-dilution-info": "", "IP-species-notes": "" }, "Rabbit": { "IHCP-species-checked": "predicted", "IHCP-species-dilution-info": "", "IHCP-species-notes": "", "IP-species-checked": "predicted", "IP-species-dilution-info": "", "IP-species-notes": "" }, "Rhesus monkey": { "IHCP-species-checked": "predicted", "IHCP-species-dilution-info": "", "IHCP-species-notes": "", "IP-species-checked": "predicted", "IP-species-dilution-info": "", "IP-species-notes": "" }, "Turkey": { "IHCP-species-checked": "predicted", "IHCP-species-dilution-info": "", "IHCP-species-notes": "", "IP-species-checked": "predicted", "IP-species-dilution-info": "", "IP-species-notes": "" } } }

Properties and storage information

Form
Liquid
Purification technique
Affinity purification Immunogen
Purification notes
ab114109 was affinity purified using an epitope specific to UBR4/p600 immobilized on solid support.
Storage buffer
pH: 7 - 8 Preservative: 0.09% Sodium azide Constituents: 99% Tris citrate/phosphate
Shipped at conditions
Blue Ice
Appropriate short-term storage conditions
+4°C
Appropriate long-term storage conditions
-20°C
Aliquoting information
Upon delivery aliquot
Storage information
Avoid freeze / thaw cycle

Supplementary information

This supplementary information is collated from multiple sources and compiled automatically.

UBR4 also known as p600 is a large protein with a molecular weight of approximately 600 kDa. It functions as an E3 ubiquitin ligase participating in the ubiquitin-proteasome system by tagging substrates for degradation. UBR4 is widely expressed in various tissues indicating its diverse functional impact throughout the body. It interacts with different proteins and contributes to many cellular processes influencing protein quality control and turnover.
Biological function summary

UBR4/p600 plays a role in cellular proliferation migration and adhesion. It is part of a complex involved in cytoskeleton organization and interacts with actin and microtubules. The protein supports cell shape and mechanical signaling especially during cellular differentiation and embryonic development. UBR4 also participates in autophagy contributing to cellular homeostasis and survival under stress conditions.

Pathways

UBR4/p600 is involved in the ubiquitin-mediated proteolysis pathway which regulates protein stability and activity. It is associated with the Wnt signaling pathway where it influences cell fate determination and tissue homeostasis. UBR4 interacts with other proteins like β-catenin and APC which are important in transmitting and modulating the Wnt signals affecting various developmental processes.

UBR4/p600 has been linked to neurodegenerative diseases like Alzheimer's disease and developmental disorders. Its aberrant regulation can impact protein degradation pathways contributing to protein aggregation and neuronal cell death. The protein is related to diseases through its interaction with tau a protein known to form pathological aggregates in Alzheimer’s. Additionally mutations in UBR4 have been associated with Joubert syndrome highlighting its role in cilia function and cerebellar development.

Product protocols

For this product, it's our understanding that no specific protocols are required. You can visit:

Target data

E3 ubiquitin-protein ligase involved in different protein quality control pathways in the cytoplasm (PubMed : 25582440, PubMed : 29033132, PubMed : 34893540, PubMed : 37891180, PubMed : 38030679, PubMed : 38182926, PubMed : 38297121). Component of the N-end rule pathway : ubiquitinates proteins bearing specific N-terminal residues that are destabilizing according to the N-end rule, leading to their degradation (PubMed : 34893540, PubMed : 37891180, PubMed : 38030679). Recognizes both type-1 and type-2 N-degrons, containing positively charged amino acids (Arg, Lys and His) and bulky and hydrophobic amino acids, respectively (PubMed : 38030679). Does not ubiquitinate proteins that are acetylated at the N-terminus (PubMed : 37891180). Together with UBR5, part of a cytoplasm protein quality control pathway that prevents protein aggregation by catalyzing assembly of heterotypic 'Lys-11'-/'Lys-48'-linked branched ubiquitin chains on aggregated proteins, leading to substrate recognition by the segregase p97/VCP and degradation by the proteasome : UBR4 probably synthesizes mixed chains containing multiple linkages, while UBR5 is likely branching multiple 'Lys-48'-linked chains of substrates initially modified (PubMed : 29033132). Together with KCMF1, part of a protein quality control pathway that catalyzes ubiquitination and degradation of proteins that have been oxidized in response to reactive oxygen species (ROS) : recognizes proteins with an Arg-CysO3(H) degron at the N-terminus, and mediates assembly of heterotypic 'Lys-63'-/'Lys-27'-linked branched ubiquitin chains on oxidized proteins, leading to their degradation by autophagy (PubMed : 34893540). Catalytic component of the SIFI complex, a multiprotein complex required to inhibit the mitochondrial stress response after a specific stress event has been resolved : ubiquitinates and degrades (1) components of the HRI-mediated signaling of the integrated stress response, such as DELE1 and EIF2AK1/HRI, as well as (2) unimported mitochondrial precursors (PubMed : 38297121). Within the SIFI complex, UBR4 initiates ubiquitin chain that are further elongated or branched by KCMF1 (PubMed : 38297121). Mediates ubiquitination of ACLY, leading to its subsequent degradation (PubMed : 23932781). Together with clathrin, forms meshwork structures involved in membrane morphogenesis and cytoskeletal organization (PubMed : 16214886).
See full target information UBR4

Publications (1)

Recent publications for all applications. Explore the full list and refine your search

Human molecular genetics 25:1328-44 PubMed26792178

2016

The ubiquitin ligase Ubr4 controls stability of podocin/MEC-2 supercomplexes.

Applications

Unspecified application

Species

Unspecified reactive species

Markus M Rinschen,Puneet Bharill,Xiongwu Wu,Priyanka Kohli,Matthäus J Reinert,Oliver Kretz,Isabel Saez,Bernhard Schermer,Martin Höhne,Malte P Bartram,Sriram Aravamudhan,Bernard R Brooks,David Vilchez,Tobias B Huber,Roman-Ulrich Müller,Marcus Krüger,Thomas Benzing
View all publications

Product promise

We are committed to supporting your work with high-quality reagents, and we're here for you every step of the way. In the unlikely event that one of our products does not perform as expected, you're protected by our Product Promise.
For full details, please see our Terms & Conditions

Please note: All products are 'FOR RESEARCH USE ONLY. NOT FOR USE IN DIAGNOSTIC OR THERAPEUTIC PROCEDURES'.

For licensing inquiries, please contact partnerships@abcam.com