JavaScript is disabled in your browser. Please enable JavaScript to view this website.
AB86738

Anti-UBR4/p600 antibody

4

(2 Reviews)

|

(24 Publications)

Rabbit Polyclonal UBR4/p600 antibody. Suitable for IHC-P, WB and reacts with Human samples. Cited in 24 publications. Immunogen corresponding to Synthetic Peptide within Human UBR4 aa 5100 to C-terminus.

View Alternative Names

KIAA0462, KIAA1307, RBAF600, ZUBR1, UBR4, E3 ubiquitin-protein ligase UBR4, 600 kDa retinoblastoma protein-associated factor, N-recognin-4, Retinoblastoma-associated factor of 600 kDa, p600

2 Images
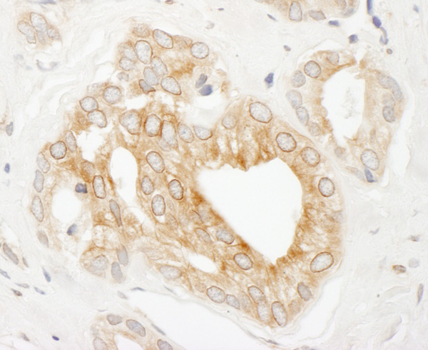
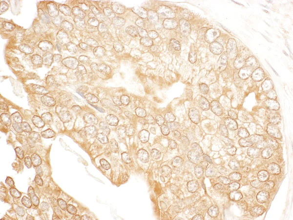
Immunohistochemistry (Formalin/PFA-fixed paraffin-embedded sections) - Anti-UBR4/p600 antibody (AB86738)
  • IHC-P

Unknown

Immunohistochemistry (Formalin/PFA-fixed paraffin-embedded sections) - Anti-UBR4/p600 antibody (AB86738)

Immunohistochemistry (Formalin/PFA-fixed paraffin-embedded sections) analysis of human prostate carcinoma tissue labelling UBR4 with ab86738 at 1/200 (1µg/ml). Detection : DAB.

Western blot - Anti-UBR4/p600 antibody (AB86738)
  • WB

Unknown

Western blot - Anti-UBR4/p600 antibody (AB86738)

All lanes:

Western blot - Anti-UBR4/p600 antibody (ab86738) at 0.04 µg/mL

Lane 1:

HeLa whole cell lysate at 5 µg

Lane 2:

HeLa whole cell lysate at 15 µg

Lane 3:

HeLa whole cell lysate at 50 µg

Predicted band size: 574 kDa

true

Exposure time: 30s

Key facts

Host species

Rabbit

Clonality

Polyclonal

Isotype

IgG

Carrier free

No

Reacts with

Human

Applications

IHC-P, WB

applications

Immunogen

Synthetic Peptide within Human UBR4 aa 5100 to C-terminus. The exact immunogen used to generate this antibody is proprietary information.

Q5T4S7

Reactivity data

{ "title": "Reactivity Data", "filters": { "stats": ["", "Species", "Dilution Info", "Notes"], "tabs": { "all-applications": {"fullname" : "All Applications", "shortname": "All Applications"}, "IHCP" : {"fullname" : "Immunohistochemistry (Formalin/PFA-fixed paraffin-embedded sections)", "shortname":"IHC-P"}, "WB" : {"fullname" : "Western blot", "shortname":"WB"} }, "product-promise": { "all": "all", "testedAndGuaranteed": "tested", "guaranteed": "expected", "predicted": "predicted", "notRecommended": "not-recommended" } }, "values": { "Human": { "IHCP-species-checked": "testedAndGuaranteed", "IHCP-species-dilution-info": "1/100 - 1/500", "IHCP-species-notes": "<p></p> Perform heat-mediated antigen retrieval with citrate buffer pH 6 before commencing with IHC staining protocol.", "WB-species-checked": "testedAndGuaranteed", "WB-species-dilution-info": "1/2000 - 1/10000", "WB-species-notes": "<p></p>" }, "Mouse": { "IHCP-species-checked": "predicted", "IHCP-species-dilution-info": "", "IHCP-species-notes": "", "WB-species-checked": "predicted", "WB-species-dilution-info": "", "WB-species-notes": "" }, "Rat": { "IHCP-species-checked": "predicted", "IHCP-species-dilution-info": "", "IHCP-species-notes": "", "WB-species-checked": "predicted", "WB-species-dilution-info": "", "WB-species-notes": "" }, "Bat": { "IHCP-species-checked": "predicted", "IHCP-species-dilution-info": "", "IHCP-species-notes": "", "WB-species-checked": "predicted", "WB-species-dilution-info": "", "WB-species-notes": "" }, "Chimpanzee": { "IHCP-species-checked": "predicted", "IHCP-species-dilution-info": "", "IHCP-species-notes": "", "WB-species-checked": "predicted", "WB-species-dilution-info": "", "WB-species-notes": "" }, "Gorilla": { "IHCP-species-checked": "predicted", "IHCP-species-dilution-info": "", "IHCP-species-notes": "", "WB-species-checked": "predicted", "WB-species-dilution-info": "", "WB-species-notes": "" }, "Horse": { "IHCP-species-checked": "predicted", "IHCP-species-dilution-info": "", "IHCP-species-notes": "", "WB-species-checked": "predicted", "WB-species-dilution-info": "", "WB-species-notes": "" }, "Orangutan": { "IHCP-species-checked": "predicted", "IHCP-species-dilution-info": "", "IHCP-species-notes": "", "WB-species-checked": "predicted", "WB-species-dilution-info": "", "WB-species-notes": "" }, "Pig": { "IHCP-species-checked": "predicted", "IHCP-species-dilution-info": "", "IHCP-species-notes": "", "WB-species-checked": "predicted", "WB-species-dilution-info": "", "WB-species-notes": "" }, "Rhesus monkey": { "IHCP-species-checked": "predicted", "IHCP-species-dilution-info": "", "IHCP-species-notes": "", "WB-species-checked": "predicted", "WB-species-dilution-info": "", "WB-species-notes": "" } } }

Product details

Immunoglobulin concentration was determined by extinction coefficient: absorbance at 280 nm of 1.4 equals 1.0 mg of IgG.

Properties and storage information

Form
Liquid
Purification technique
Affinity purification Immunogen
Storage buffer
pH: 6.8 - 7.4 Preservative: 0.09% Sodium azide Constituents: Tris buffered saline, 0.1% BSA
Shipped at conditions
Blue Ice
Appropriate short-term storage conditions
+4°C
Appropriate long-term storage conditions
+4°C
Aliquoting information
Upon delivery aliquot
Storage information
Avoid freeze / thaw cycle|Do Not Freeze

Supplementary information

This supplementary information is collated from multiple sources and compiled automatically.

UBR4 also known as p600 is a large protein with a molecular weight of approximately 600 kDa. It functions as an E3 ubiquitin ligase participating in the ubiquitin-proteasome system by tagging substrates for degradation. UBR4 is widely expressed in various tissues indicating its diverse functional impact throughout the body. It interacts with different proteins and contributes to many cellular processes influencing protein quality control and turnover.
Biological function summary

UBR4/p600 plays a role in cellular proliferation migration and adhesion. It is part of a complex involved in cytoskeleton organization and interacts with actin and microtubules. The protein supports cell shape and mechanical signaling especially during cellular differentiation and embryonic development. UBR4 also participates in autophagy contributing to cellular homeostasis and survival under stress conditions.

Pathways

UBR4/p600 is involved in the ubiquitin-mediated proteolysis pathway which regulates protein stability and activity. It is associated with the Wnt signaling pathway where it influences cell fate determination and tissue homeostasis. UBR4 interacts with other proteins like β-catenin and APC which are important in transmitting and modulating the Wnt signals affecting various developmental processes.

UBR4/p600 has been linked to neurodegenerative diseases like Alzheimer's disease and developmental disorders. Its aberrant regulation can impact protein degradation pathways contributing to protein aggregation and neuronal cell death. The protein is related to diseases through its interaction with tau a protein known to form pathological aggregates in Alzheimer’s. Additionally mutations in UBR4 have been associated with Joubert syndrome highlighting its role in cilia function and cerebellar development.

Product protocols

For this product, it's our understanding that no specific protocols are required. You can visit:

Target data

E3 ubiquitin-protein ligase involved in different protein quality control pathways in the cytoplasm (PubMed : 25582440, PubMed : 29033132, PubMed : 34893540, PubMed : 37891180, PubMed : 38030679, PubMed : 38182926, PubMed : 38297121). Component of the N-end rule pathway : ubiquitinates proteins bearing specific N-terminal residues that are destabilizing according to the N-end rule, leading to their degradation (PubMed : 34893540, PubMed : 37891180, PubMed : 38030679). Recognizes both type-1 and type-2 N-degrons, containing positively charged amino acids (Arg, Lys and His) and bulky and hydrophobic amino acids, respectively (PubMed : 38030679). Does not ubiquitinate proteins that are acetylated at the N-terminus (PubMed : 37891180). Together with UBR5, part of a cytoplasm protein quality control pathway that prevents protein aggregation by catalyzing assembly of heterotypic 'Lys-11'-/'Lys-48'-linked branched ubiquitin chains on aggregated proteins, leading to substrate recognition by the segregase p97/VCP and degradation by the proteasome : UBR4 probably synthesizes mixed chains containing multiple linkages, while UBR5 is likely branching multiple 'Lys-48'-linked chains of substrates initially modified (PubMed : 29033132). Together with KCMF1, part of a protein quality control pathway that catalyzes ubiquitination and degradation of proteins that have been oxidized in response to reactive oxygen species (ROS) : recognizes proteins with an Arg-CysO3(H) degron at the N-terminus, and mediates assembly of heterotypic 'Lys-63'-/'Lys-27'-linked branched ubiquitin chains on oxidized proteins, leading to their degradation by autophagy (PubMed : 34893540). Catalytic component of the SIFI complex, a multiprotein complex required to inhibit the mitochondrial stress response after a specific stress event has been resolved : ubiquitinates and degrades (1) components of the HRI-mediated signaling of the integrated stress response, such as DELE1 and EIF2AK1/HRI, as well as (2) unimported mitochondrial precursors (PubMed : 38297121). Within the SIFI complex, UBR4 initiates ubiquitin chain that are further elongated or branched by KCMF1 (PubMed : 38297121). Mediates ubiquitination of ACLY, leading to its subsequent degradation (PubMed : 23932781). Together with clathrin, forms meshwork structures involved in membrane morphogenesis and cytoskeletal organization (PubMed : 16214886).
See full target information UBR4

Publications (24)

Recent publications for all applications. Explore the full list and refine your search

The Journal of biological chemistry 301:110449 PubMed40615042

2025

Targeted degradation of α-synuclein by arginine-based PROTACs.

Applications

Unspecified application

Species

Unspecified reactive species

Linjing Shen,Jianchao Zhang,Zhaoran Wang,Yaxuan Liu,Shengjin Cui,Hai Rao

Molecular cell 85:815-828.e10 PubMed39879985

2025

Convergence of orphan quality control pathways at a ubiquitin chain-elongating ligase.

Applications

Unspecified application

Species

Unspecified reactive species

Sara Carrillo Roas,Yuichi Yagita,Paul Murphy,Robert Kurzbauer,Tim Clausen,Eszter Zavodszky,Ramanujan S Hegde

Autophagy 21:1019-1038 PubMed39723606

2024

Regulation of N-degron recognin-mediated autophagy by the SARS-CoV-2 PLpro ubiquitin deconjugase.

Applications

Unspecified application

Species

Unspecified reactive species

Carlos Ayala-Torres,Jiangnan Liu,Nico P Dantuma,Maria G Masucci

Advanced science (Weinheim, Baden-Wurttemberg, Germany) 12:e2404107 PubMed39555688

2024

WAC Facilitates Mitophagy-mediated MSC Osteogenesis and New Bone Formation via Protecting PINK1 from Ubiquitination-Dependent Degradation.

Applications

Unspecified application

Species

Unspecified reactive species

Shuai Fan,Jinteng Li,Guan Zheng,Ziyue Ma,Xiaoshuai Peng,Zhongyu Xie,Wenjie Liu,Wenhui Yu,Jiajie Lin,Zepeng Su,Peitao Xu,Peng Wang,Yanfeng Wu,Huiyong Shen,Guiwen Ye

Nature structural & molecular biology 31:351-363 PubMed38182926

2024

UBE2A and UBE2B are recruited by an atypical E3 ligase module in UBR4.

Applications

Unspecified application

Species

Unspecified reactive species

Lucy Barnsby-Greer,Peter D Mabbitt,Marc-Andre Dery,Daniel R Squair,Nicola T Wood,Frederic Lamoliatte,Sven M Lange,Satpal Virdee

Nature communications 14:6774 PubMed37891180

2023

N-terminal acetylation shields proteins from degradation and promotes age-dependent motility and longevity.

Applications

Unspecified application

Species

Unspecified reactive species

Sylvia Varland,Rui Duarte Silva,Ine Kjosås,Alexandra Faustino,Annelies Bogaert,Maximilian Billmann,Hadi Boukhatmi,Barbara Kellen,Michael Costanzo,Adrian Drazic,Camilla Osberg,Katherine Chan,Xiang Zhang,Amy Hin Yan Tong,Simonetta Andreazza,Juliette J Lee,Lyudmila Nedyalkova,Matej Ušaj,Alexander J Whitworth,Brenda J Andrews,Jason Moffat,Chad L Myers,Kris Gevaert,Charles Boone,Rui Gonçalo Martinho,Thomas Arnesen

PLoS biology 21:e3002337 PubMed37871017

2023

Spatacsin regulates directionality of lysosome trafficking by promoting the degradation of its partner AP5Z1.

Applications

Unspecified application

Species

Unspecified reactive species

Alexandre Pierga,Raphaël Matusiak,Margaux Cauhapé,Julien Branchu,Lydia Danglot,Maxime Boutry,Frédéric Darios

Genetics 221: PubMed35731217

2022

FMRP-dependent production of large dosage-sensitive proteins is highly conserved.

Applications

Unspecified application

Species

Unspecified reactive species

Keegan Flanagan,Alireza Baradaran-Heravi,Qi Yin,Khanh Dao Duc,Allan C Spradling,Ethan J Greenblatt

Experimental cell research 414:113083 PubMed35227662

2022

Evidence that the transcriptional repressor ICER is regulated via the N-end rule for ubiquitination.

Applications

Unspecified application

Species

Unspecified reactive species

Angelo Cirinelli,Justin Wheelan,Christopher Grieg,Carlos A Molina

eLife 11: PubMed35179492

2022

The mA reader YTHDF2 is a negative regulator for dendrite development and maintenance of retinal ganglion cells.

Applications

Unspecified application

Species

Unspecified reactive species

Fugui Niu,Peng Han,Jian Zhang,Yuanchu She,Lixin Yang,Jun Yu,Mengru Zhuang,Kezhen Tang,Yuwei Shi,Baisheng Yang,Chunqiao Liu,Bo Peng,Sheng-Jian Ji
View all publications

Product promise

We are committed to supporting your work with high-quality reagents, and we're here for you every step of the way. In the unlikely event that one of our products does not perform as expected, you're protected by our Product Promise.
For full details, please see our Terms & Conditions

Please note: All products are 'FOR RESEARCH USE ONLY. NOT FOR USE IN DIAGNOSTIC OR THERAPEUTIC PROCEDURES'.

For licensing inquiries, please contact partnerships@abcam.com