JavaScript is disabled in your browser. Please enable JavaScript to view this website.
AB320819

Anti-UBR4/p600 antibody [EPR28593-48]

  • BOND RX™ Validated
  • 20ul selling size
  • Recombinant
  • RabMAb
  • What is this?

Be the first to review this product! Submit a review

|

(0 Publication)

Rabbit Recombinant Monoclonal UBR4/p600 antibody. Suitable for WB, IHC-P and reacts with Human, Mouse samples.

View Alternative Names

KIAA0462, KIAA1307, RBAF600, ZUBR1, UBR4, E3 ubiquitin-protein ligase UBR4, 600 kDa retinoblastoma protein-associated factor, N-recognin-4, Retinoblastoma-associated factor of 600 kDa, p600

5 Images
Immunohistochemistry (Formalin/PFA-fixed paraffin-embedded sections) - Anti-UBR4/p600 antibody [EPR28593-48] (AB320819)
  • IHC-P

Supplier Data

Immunohistochemistry (Formalin/PFA-fixed paraffin-embedded sections) - Anti-UBR4/p600 antibody [EPR28593-48] (AB320819)

Immunohistochemical analysis of paraffin-embedded Human lung tissue labeling UBR4/p600 with ab320819 at 1/200 (2.48 ug/ml) dilution, followed by a ready to use LeicaDS9800 (Bond™ Polymer Refine Detection).

Positive staining on human lung. The section was incubated with ab320819 for 30 mins at room temperature.
The immunostaining was performed on a Leica Biosystems BOND® RX instrument. Incubate slides with 3% Hydrogen Peroxide for 10 mins at room temperature after secondary antibody incubation to reduce the background

Counterstained with Hematoxylin.

Secondary antibody only control : Secondary antibody is a ready to use LeicaDS9800 (Bond™ Polymer Refine Detection).

Heat mediated antigen retrieval was performed with Citrate buffer (pH 6.0, Epitope Retrieval Solution 1) for 20 mins

Immunohistochemistry (Formalin/PFA-fixed paraffin-embedded sections) - Anti-UBR4/p600 antibody [EPR28593-48] (AB320819)
  • IHC-P

Supplier Data

Immunohistochemistry (Formalin/PFA-fixed paraffin-embedded sections) - Anti-UBR4/p600 antibody [EPR28593-48] (AB320819)

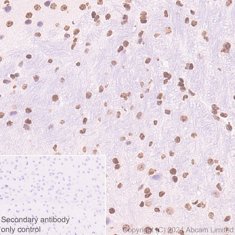
Immunohistochemical analysis of paraffin-embedded Human astrocytoma tissue labeling UBR4/p600 with ab320819 at 1/200 (2.48 ug/ml) dilution, followed by a ready to use LeicaDS9800 (Bond™ Polymer Refine Detection).

Positive staining on human astrocytoma. The section was incubated with ab320819 for 30 mins at room temperature.
The immunostaining was performed on a Leica Biosystems BOND® RX instrument. Incubate slides with 3% Hydrogen Peroxide for 10 mins at room temperature after secondary antibody incubation to reduce the background

Counterstained with Hematoxylin.

Secondary antibody only control : Secondary antibody is a ready to use LeicaDS9800 (Bond™ Polymer Refine Detection).

Heat mediated antigen retrieval was performed with Citrate buffer (pH 6.0, Epitope Retrieval Solution 1) for 20 mins

Immunohistochemistry (Formalin/PFA-fixed paraffin-embedded sections) - Anti-UBR4/p600 antibody [EPR28593-48] (AB320819)
  • IHC-P

Supplier Data

Immunohistochemistry (Formalin/PFA-fixed paraffin-embedded sections) - Anti-UBR4/p600 antibody [EPR28593-48] (AB320819)

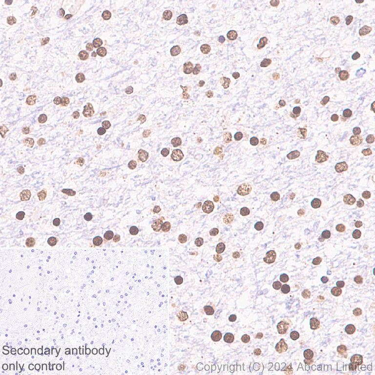
Immunohistochemical analysis of paraffin-embedded Mouse cerebrum tissue labeling UBR4/p600 with ab320819 at 1/200 (2.48 ug/ml) dilution, followed by a ready to use LeicaDS9800 (Bond™ Polymer Refine Detection).

Positive staining on mouse cerebrum. The section was incubated with ab320819 for 30 mins at room temperature.
The immunostaining was performed on a Leica Biosystems BOND® RX instrument. Incubate slides with 3% Hydrogen Peroxide for 10 mins at room temperature after secondary antibody incubation to reduce the background

Counterstained with Hematoxylin.

Secondary antibody only control : Secondary antibody is a ready to use LeicaDS9800 (Bond™ Polymer Refine Detection).

Heat mediated antigen retrieval was performed with Citrate buffer (pH 6.0, Epitope Retrieval Solution 1) for 20 mins

Immunohistochemistry (Formalin/PFA-fixed paraffin-embedded sections) - Anti-UBR4/p600 antibody [EPR28593-48] (AB320819)
  • IHC-P

Supplier Data

Immunohistochemistry (Formalin/PFA-fixed paraffin-embedded sections) - Anti-UBR4/p600 antibody [EPR28593-48] (AB320819)

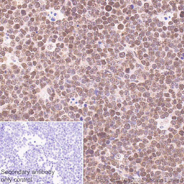
Immunohistochemical analysis of paraffin-embedded Mouse large B cell lymphoma tissue labeling UBR4/p600 with ab320819 at 1/200 (2.48 ug/ml) dilution, followed by a ready to use LeicaDS9800 (Bond™ Polymer Refine Detection).

Positive staining on mouse large B cell lymphoma. The section was incubated with ab320819 for 30 mins at room temperature.
The immunostaining was performed on a Leica Biosystems BOND® RX instrument. Incubate slides with 3% Hydrogen Peroxide for 10 mins at room temperature after secondary antibody incubation to reduce the background

Counterstained with Hematoxylin.

Secondary antibody only control : Secondary antibody is a ready to use LeicaDS9800 (Bond™ Polymer Refine Detection).

Heat mediated antigen retrieval was performed with Citrate buffer (pH 6.0, Epitope Retrieval Solution 1) for 20 mins

Western blot - Anti-UBR4/p600 antibody [EPR28593-48] (AB320819)
  • WB

Supplier Data

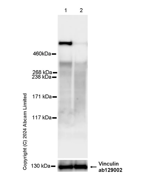
Western blot - Anti-UBR4/p600 antibody [EPR28593-48] (AB320819)

Blocking and diluting buffer and concentration : 5% NFDM/TBST.

Samples are non-boiled as boiling may cause protein aggregation.

In Western blot, Anti-Vinculin antibody [EPR8185] (ab129002) staining at 1/10000 dilution.

All lanes:

Western blot - Anti-UBR4/p600 antibody [EPR28593-48] (ab320819) at 1/1000 dilution

Lane 1:

HeLa (human cervical adenocarcinoma epithelial cell) transfected with scrambled siRNA control whole cell lysate at 20 µg

Lane 2:

HeLa transfected with siRNA specifically targeting UBR4 whole cell lysate at 20 µg

Secondary

All lanes:

Western blot - Goat Anti-Rabbit IgG H&L (HRP) (<a href='/en-us/products/secondary-antibodies/goat-rabbit-igg-h-l-hrp-ab97051'>ab97051</a>) at 1/20000 dilution

Observed band size: 600 kDa,124 kDa

false

Exposure time: 15s

  • Carrier free

    Anti-UBR4/p600 antibody [EPR28593-48] - BSA and Azide free

Key facts

Host species

Rabbit

Clonality

Monoclonal

Clone number

EPR28593-48

Isotype

IgG

Carrier free

No

Reacts with

Human, Mouse

Applications

WB, IHC-P

applications

Immunogen

The exact immunogen used to generate this antibody is proprietary information.

Reactivity data

{ "title": "Reactivity Data", "filters": { "stats": ["", "Species", "Dilution Info", "Notes"], "tabs": { "all-applications": {"fullname" : "All Applications", "shortname": "All Applications"}, "WB" : {"fullname" : "Western blot", "shortname":"WB"}, "IHCP" : {"fullname" : "Immunohistochemistry (Formalin/PFA-fixed paraffin-embedded sections)", "shortname":"IHC-P"} }, "product-promise": { "all": "all", "testedAndGuaranteed": "tested", "guaranteed": "expected", "predicted": "predicted", "notRecommended": "not-recommended" } }, "values": { "Human": { "WB-species-checked": "testedAndGuaranteed", "WB-species-dilution-info": "1/1000", "WB-species-notes": "<p></p>", "IHCP-species-checked": "testedAndGuaranteed", "IHCP-species-dilution-info": "1/200", "IHCP-species-notes": "<p></p> Perform heat-mediated antigen retrieval with citrate buffer pH 6 before commencing with IHC staining protocol." }, "Mouse": { "WB-species-checked": "testedAndGuaranteed", "WB-species-dilution-info": "1/1000", "WB-species-notes": "<p></p>", "IHCP-species-checked": "testedAndGuaranteed", "IHCP-species-dilution-info": "1/200", "IHCP-species-notes": "<p></p> Perform heat-mediated antigen retrieval with citrate buffer pH 6 before commencing with IHC staining protocol." } } }

Product details

Patented technology
Our RabMAb® technology is a patented hybridoma-based technology for making rabbit monoclonal antibodies. For details on our patents, please refer to RabMAb® patents.

What are the advantages of a recombinant monoclonal antibody?
This product is a recombinant monoclonal antibody, which offers several advantages including:

  • - High batch-to-batch consistency and reproducibility
  • - Improved sensitivity and specificity
  • - Long-term security of supply
  • - Animal-free batch production

For more information, read more on recombinant antibodies.

Properties and storage information

Form
Liquid
Purification technique
Affinity purification Protein A
Storage buffer
pH: 7.2 - 7.4 Preservative: 0.01% Sodium azide Constituents: PBS, 40% Glycerol (glycerin, glycerine), 0.05% BSA
Shipped at conditions
Blue Ice
Appropriate short-term storage duration
1-2 weeks
Appropriate short-term storage conditions
+4°C
Appropriate long-term storage conditions
-20°C
Aliquoting information
Upon delivery aliquot
Storage information
Avoid freeze / thaw cycle

Supplementary information

This supplementary information is collated from multiple sources and compiled automatically.

UBR4 also known as p600 is a large protein with a molecular weight of approximately 600 kDa. It functions as an E3 ubiquitin ligase participating in the ubiquitin-proteasome system by tagging substrates for degradation. UBR4 is widely expressed in various tissues indicating its diverse functional impact throughout the body. It interacts with different proteins and contributes to many cellular processes influencing protein quality control and turnover.
Biological function summary

UBR4/p600 plays a role in cellular proliferation migration and adhesion. It is part of a complex involved in cytoskeleton organization and interacts with actin and microtubules. The protein supports cell shape and mechanical signaling especially during cellular differentiation and embryonic development. UBR4 also participates in autophagy contributing to cellular homeostasis and survival under stress conditions.

Pathways

UBR4/p600 is involved in the ubiquitin-mediated proteolysis pathway which regulates protein stability and activity. It is associated with the Wnt signaling pathway where it influences cell fate determination and tissue homeostasis. UBR4 interacts with other proteins like β-catenin and APC which are important in transmitting and modulating the Wnt signals affecting various developmental processes.

UBR4/p600 has been linked to neurodegenerative diseases like Alzheimer's disease and developmental disorders. Its aberrant regulation can impact protein degradation pathways contributing to protein aggregation and neuronal cell death. The protein is related to diseases through its interaction with tau a protein known to form pathological aggregates in Alzheimer’s. Additionally mutations in UBR4 have been associated with Joubert syndrome highlighting its role in cilia function and cerebellar development.

Product protocols

For this product, it's our understanding that no specific protocols are required. You can visit:

Target data

E3 ubiquitin-protein ligase involved in different protein quality control pathways in the cytoplasm (PubMed : 25582440, PubMed : 29033132, PubMed : 34893540, PubMed : 37891180, PubMed : 38030679, PubMed : 38182926, PubMed : 38297121). Component of the N-end rule pathway : ubiquitinates proteins bearing specific N-terminal residues that are destabilizing according to the N-end rule, leading to their degradation (PubMed : 34893540, PubMed : 37891180, PubMed : 38030679). Recognizes both type-1 and type-2 N-degrons, containing positively charged amino acids (Arg, Lys and His) and bulky and hydrophobic amino acids, respectively (PubMed : 38030679). Does not ubiquitinate proteins that are acetylated at the N-terminus (PubMed : 37891180). Together with UBR5, part of a cytoplasm protein quality control pathway that prevents protein aggregation by catalyzing assembly of heterotypic 'Lys-11'-/'Lys-48'-linked branched ubiquitin chains on aggregated proteins, leading to substrate recognition by the segregase p97/VCP and degradation by the proteasome : UBR4 probably synthesizes mixed chains containing multiple linkages, while UBR5 is likely branching multiple 'Lys-48'-linked chains of substrates initially modified (PubMed : 29033132). Together with KCMF1, part of a protein quality control pathway that catalyzes ubiquitination and degradation of proteins that have been oxidized in response to reactive oxygen species (ROS) : recognizes proteins with an Arg-CysO3(H) degron at the N-terminus, and mediates assembly of heterotypic 'Lys-63'-/'Lys-27'-linked branched ubiquitin chains on oxidized proteins, leading to their degradation by autophagy (PubMed : 34893540). Catalytic component of the SIFI complex, a multiprotein complex required to inhibit the mitochondrial stress response after a specific stress event has been resolved : ubiquitinates and degrades (1) components of the HRI-mediated signaling of the integrated stress response, such as DELE1 and EIF2AK1/HRI, as well as (2) unimported mitochondrial precursors (PubMed : 38297121). Within the SIFI complex, UBR4 initiates ubiquitin chain that are further elongated or branched by KCMF1 (PubMed : 38297121). Mediates ubiquitination of ACLY, leading to its subsequent degradation (PubMed : 23932781). Together with clathrin, forms meshwork structures involved in membrane morphogenesis and cytoskeletal organization (PubMed : 16214886).
See full target information UBR4

Product promise

We are committed to supporting your work with high-quality reagents, and we're here for you every step of the way. In the unlikely event that one of our products does not perform as expected, you're protected by our Product Promise.
For full details, please see our Terms & Conditions

Please note: All products are 'FOR RESEARCH USE ONLY. NOT FOR USE IN DIAGNOSTIC OR THERAPEUTIC PROCEDURES'.

For licensing inquiries, please contact partnerships@abcam.com