JavaScript is disabled in your browser. Please enable JavaScript to view this website.
AB133508

Anti-UCH37 antibody [EP4897]

3

(1 Review)

|

(18 Publications)

Rabbit Recombinant Monoclonal UCH37 antibody. Suitable for WB, IHC-P and reacts with Human, Mouse, Rat samples. Cited in 18 publications.

View Alternative Names

UCH37, AD-019, CGI-70, UCHL5, Ubiquitin carboxyl-terminal hydrolase isozyme L5, UCH-L5, Ubiquitin C-terminal hydrolase UCH37, Ubiquitin thioesterase L5

5 Images
Immunohistochemistry (Formalin/PFA-fixed paraffin-embedded sections) - Anti-UCH37 antibody [EP4897] (AB133508)
  • IHC-P

Supplier Data

Immunohistochemistry (Formalin/PFA-fixed paraffin-embedded sections) - Anti-UCH37 antibody [EP4897] (AB133508)

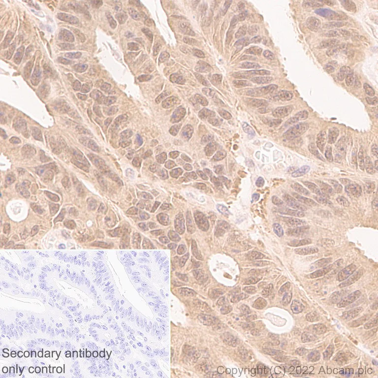
Immunohistochemical analysis of paraffin-embedded Human colorectal carcinoma tissue labelling UCH37 with ab133508 at 1/1000 dilution, followed by a ready to use LeicaDS9800 (Bond™ Polymer Refine Detection). Positive staining on Human colorectal carcinoma. The immunostaining was performed on a Leica Biosystems BOND® RX instrument. Secondary antibody only control : Secondary antibody is a ready to use LeicaDS9800 (Bond™ Polymer Refine Detection). Heat mediated antigen retrieval was performed with Tris-EDTA buffer (pH 9.0, epitope retrieval Solution2) for 30 mins. Counterstained with hematoxylin.

Immunohistochemistry (Formalin/PFA-fixed paraffin-embedded sections) - Anti-UCH37 antibody [EP4897] (AB133508)
  • IHC-P

Supplier Data

Immunohistochemistry (Formalin/PFA-fixed paraffin-embedded sections) - Anti-UCH37 antibody [EP4897] (AB133508)

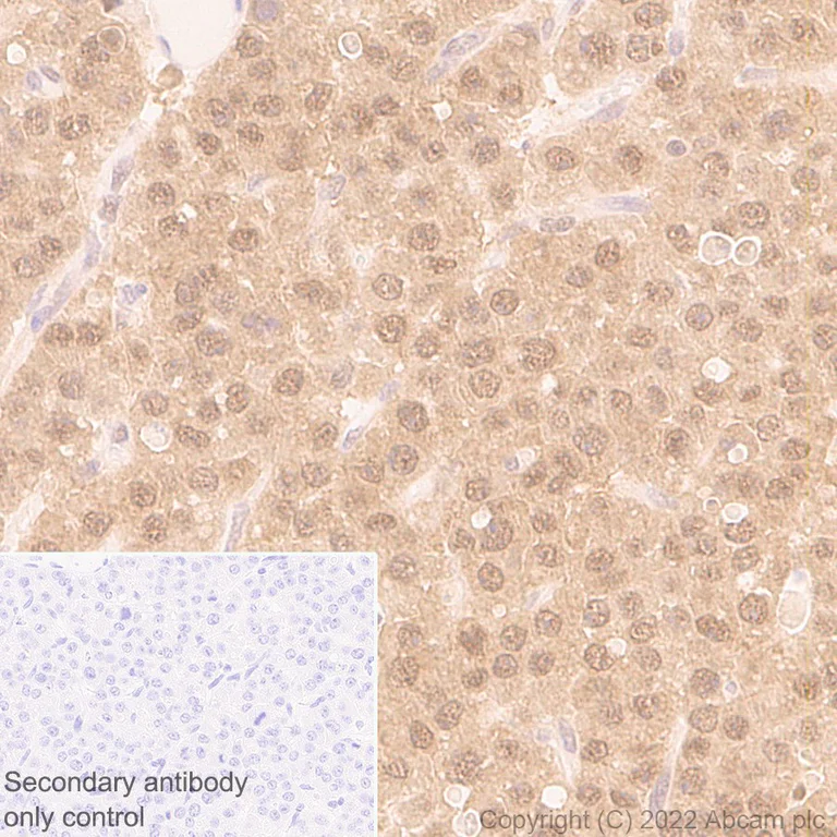
Immunohistochemical analysis of paraffin-embedded Mouse liver tissue labelling UCH37 with ab133508 at 1/1000 dilution, followed by a ready to use LeicaDS9800 (Bond™ Polymer Refine Detection). Positive staining on Mouse liver. The immunostaining was performed on a Leica Biosystems BOND® RX instrument. Secondary antibody only control : Secondary antibody is a ready to use LeicaDS9800 (Bond™ Polymer Refine Detection). Heat mediated antigen retrieval was performed with Tris-EDTA buffer (pH 9.0, epitope retrieval Solution2) for 30 mins. Counterstained with hematoxylin.

Immunohistochemistry (Formalin/PFA-fixed paraffin-embedded sections) - Anti-UCH37 antibody [EP4897] (AB133508)
  • IHC-P

Supplier Data

Immunohistochemistry (Formalin/PFA-fixed paraffin-embedded sections) - Anti-UCH37 antibody [EP4897] (AB133508)

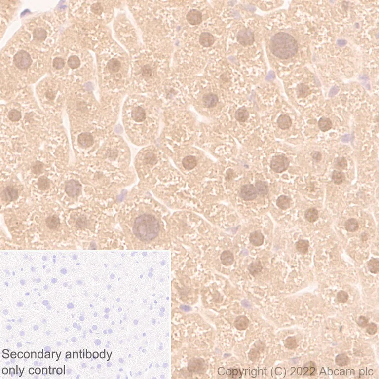
Immunohistochemical analysis of paraffin-embedded Mouse liver cancer tissue labelling UCH37 with ab133508 at 1/1000 dilution, followed by a ready to use LeicaDS9800 (Bond™ Polymer Refine Detection). Positive staining on Mouse liver cancer. The immunostaining was performed on a Leica Biosystems BOND® RX instrument. Secondary antibody only control : Secondary antibody is a ready to use LeicaDS9800 (Bond™ Polymer Refine Detection). Heat mediated antigen retrieval was performed with Tris-EDTA buffer (pH 9.0, epitope retrieval Solution2) for 30 mins. Counterstained with hematoxylin.

Immunohistochemistry (Formalin/PFA-fixed paraffin-embedded sections) - Anti-UCH37 antibody [EP4897] (AB133508)
  • IHC-P

Supplier Data

Immunohistochemistry (Formalin/PFA-fixed paraffin-embedded sections) - Anti-UCH37 antibody [EP4897] (AB133508)

Immunohistochemical analysis of paraffin-embedded Rat liver tissue labelling UCH37 with ab133508 at 1/1000 dilution, followed by a ready to use LeicaDS9800 (Bond™ Polymer Refine Detection). Positive staining on Rat liver. The immunostaining was performed on a Leica Biosystems BOND® RX instrument. Secondary antibody only control : Secondary antibody is a ready to use LeicaDS9800 (Bond™ Polymer Refine Detection). Heat mediated antigen retrieval was performed with Tris-EDTA buffer (pH 9.0, epitope retrieval Solution2) for 30 mins. Counterstained with hematoxylin.

Western blot - Anti-UCH37 antibody [EP4897] (AB133508)
  • WB

Supplier Data

Western blot - Anti-UCH37 antibody [EP4897] (AB133508)

Blocking and diluting buffer : 5% NFDM/TBST.

All lanes:

Western blot - Anti-UCH37 antibody [EP4897] (ab133508) at 1/10000 dilution

Lane 1:

Human colon lysate at 20 µg

Lane 2:

Mouse breast lysate at 20 µg

Lane 3:

Rat brain lysate at 20 µg

Observed band size: 36 kDa

false

Key facts

Host species

Rabbit

Clonality

Monoclonal

Clone number

EP4897

Isotype

IgG

Carrier free

No

Reacts with

Mouse, Rat, Human

Applications

WB, IHC-P

applications

Immunogen

The exact immunogen used to generate this antibody is proprietary information.

Reactivity data

{ "title": "Reactivity Data", "filters": { "stats": ["", "Species", "Dilution Info", "Notes"], "tabs": { "all-applications": {"fullname" : "All Applications", "shortname": "All Applications"}, "WB" : {"fullname" : "Western blot", "shortname":"WB"}, "IHCP" : {"fullname" : "Immunohistochemistry (Formalin/PFA-fixed paraffin-embedded sections)", "shortname":"IHC-P"}, "FlowCyt" : {"fullname" : "Flow Cytometry", "shortname":"Flow Cyt"} }, "product-promise": { "all": "all", "testedAndGuaranteed": "tested", "guaranteed": "expected", "predicted": "predicted", "notRecommended": "not-recommended" } }, "values": { "Human": { "WB-species-checked": "testedAndGuaranteed", "WB-species-dilution-info": "1/10000 - 1/50000", "WB-species-notes": "<p></p>", "IHCP-species-checked": "testedAndGuaranteed", "IHCP-species-dilution-info": "1/1000", "IHCP-species-notes": "<p></p> Perform heat-mediated antigen retrieval with citrate buffer pH 6 before commencing with IHC staining protocol.", "FlowCyt-species-checked": "notRecommended", "FlowCyt-species-dilution-info": "", "FlowCyt-species-notes": "<p></p>" }, "Mouse": { "WB-species-checked": "testedAndGuaranteed", "WB-species-dilution-info": "1/10000", "WB-species-notes": "<p></p>", "IHCP-species-checked": "testedAndGuaranteed", "IHCP-species-dilution-info": "1/1000", "IHCP-species-notes": "<p></p> Perform heat-mediated antigen retrieval with Tris/EDTA buffer pH 9.0 before commencing with IHC staining protocol.", "FlowCyt-species-checked": "notRecommended", "FlowCyt-species-dilution-info": "", "FlowCyt-species-notes": "" }, "Rat": { "WB-species-checked": "testedAndGuaranteed", "WB-species-dilution-info": "1/10000", "WB-species-notes": "<p></p>", "IHCP-species-checked": "testedAndGuaranteed", "IHCP-species-dilution-info": "1/1000", "IHCP-species-notes": "<p></p> Perform heat-mediated antigen retrieval with Tris/EDTA buffer pH 9.0 before commencing with IHC staining protocol.", "FlowCyt-species-checked": "notRecommended", "FlowCyt-species-dilution-info": "", "FlowCyt-species-notes": "" } } }

Product details

Patented technology
Our RabMAb® technology is a patented hybridoma-based technology for making rabbit monoclonal antibodies. For details on our patents, please refer to RabMAb® patents.

What are the advantages of a recombinant monoclonal antibody?
This product is a recombinant monoclonal antibody, which offers several advantages including:

  • - High batch-to-batch consistency and reproducibility
  • - Improved sensitivity and specificity
  • - Long-term security of supply
  • - Animal-free batch production

For more information, read more on recombinant antibodies.

Properties and storage information

Form
Liquid
Purification technique
Affinity purification Protein A
Storage buffer
pH: 7.2 - 7.4 Preservative: 0.01% Sodium azide Constituents: PBS, 40% Glycerol (glycerin, glycerine), 0.05% BSA
Shipped at conditions
Blue Ice
Appropriate short-term storage conditions
+4°C
Appropriate long-term storage conditions
-20°C
Storage information
Stable for 12 months at -20°C

Supplementary information

This supplementary information is collated from multiple sources and compiled automatically.

UCH37 also known as ubiquitin carboxyl-terminal hydrolase L5 (UCHL5) is a deubiquitinating enzyme of approximately 37 kDa mass. This protein functions by cleaving ubiquitin moieties from polyubiquitin chains facilitating protein degradation or recycling processes. UCH37 expression is observed in various tissues with higher expression noted in the liver and kidney indicating its significant cellular roles in these organs.
Biological function summary

UCH37 plays a role in the ubiquitin-proteasome system where it is an integral component of the 19S regulatory particle of the 26S proteasome complex. Through this association UCH37 participates in the removal of ubiquitin from substrates targeted for proteasomal degradation. This action regulates protein turnover and prevents unnecessary degradation of proteins which is important for maintaining cell homeostasis and controlling protein quality.

Pathways

The modulation of proteostasis by UCH37 directly influences the ubiquitin-proteasome pathway and the associated cellular stress responses. Its activity can impact the NF-kappaB signaling pathway by regulating the stability of components within this pathway interacting with other proteins such as the proteasome subunit RPN13 and proteasome-associated DUBs. The precise regulation of protein levels within these pathways ensures that cells respond appropriately to stress and inflammation.

Abnormal regulation or expression of UCH37 contributes to several pathological conditions. Cancer and neurodegenerative disorders are two prominent examples in which UCH37 plays a role. Elevated levels or dysfunctional UCH37 activity can disrupt proteostasis leading to uncontrolled cell proliferation or cell death resistance in cancer or the accumulation of misfolded proteins in conditions like Alzheimer’s disease. Additionally interactions of UCH37 with oncogenic proteins or tau proteins in neurodegenerative conditions reflect its relevance in the progression of these diseases.

Product protocols

For this product, it's our understanding that no specific protocols are required. You can visit:

Target data

Protease that specifically cleaves 'Lys-48'-linked polyubiquitin chains. Deubiquitinating enzyme associated with the 19S regulatory subunit of the 26S proteasome. Putative regulatory component of the INO80 complex; however is inactive in the INO80 complex and is activated by a transient interaction of the INO80 complex with the proteasome via ADRM1.
See full target information UCHL5

Publications (18)

Recent publications for all applications. Explore the full list and refine your search

Molecular cell 84:522-537.e8 PubMed38151017

2023

hRpn13 shapes the proteome and transcriptome through epigenetic factors HDAC8, PADI4, and transcription factor NF-κB p50.

Applications

Unspecified application

Species

Unspecified reactive species

Vasty Osei-Amponsa,Monika Chandravanshi,Xiuxiu Lu,Valentin Magidson,Sudipto Das,Thorkell Andresson,Marzena Dyba,Venkata R Sabbasani,Rolf E Swenson,Caroline Fromont,Biraj Shrestha,Yongmei Zhao,Michelle E Clapp,Raj Chari,Kylie J Walters

Frontiers in immunology 14:1252827 PubMed37841261

2023

Modified activities of macrophages' deubiquitinating enzymes after infection.

Applications

Unspecified application

Species

Unspecified reactive species

Vera Vozandychova,Pavel Rehulka,Kamil Hercik,Petra Spidlova,Pavla Pavlik,Jaroslav Hanus,Romana Hadravova,Jiri Stulik

Acta pharmacologica Sinica 44:2537-2548 PubMed37528233

2023

Targeting proteasomal deubiquitinases USP14 and UCHL5 with b-AP15 reduces 5-fluorouracil resistance in colorectal cancer cells.

Applications

Unspecified application

Species

Unspecified reactive species

Wa Ding,Jin-Xiang Wang,Jun-Zheng Wu,Ao-Chu Liu,Li-Ling Jiang,Hai-Chuan Zhang,Yi Meng,Bing-Yuan Liu,Guan-Jie Peng,En-Zhe Lou,Qiong Mao,Huan Zhou,Dao-Lin Tang,Xin Chen,Jin-Bao Liu,Xian-Ping Shi

International journal of biological sciences 19:936-949 PubMed36778113

2023

NLRP3 Regulates Mandibular Healing through Interaction with UCHL5 in MSCs.

Applications

Unspecified application

Species

Unspecified reactive species

Wenhua Zhao,Yanan Cao,Yue Chen,Yuyi Chen,Tianxiao Wang,Lu Li,Yan Xu,Hua Yuan,Hua Wang,Ruixia Wang,Wen Sun

Fundamental research 5:296-306 PubMed40166102

2022

Epigenetics disruptions enabled by porphyrin-derived metal-organic frameworks disarm resistances to sonocatalytic ROS anti-tumor actions.

Applications

Unspecified application

Species

Unspecified reactive species

Yan Zhang,Dou Du,Chao Fang,Xin Yu,Yujia Fang,Xinyu Liu,Di Ou,Haohao Yin,Hui Liu,Taixia Wang,Lu Lu,Xiaolong Li,Kun Zhang

Frontiers in pharmacology 13:858901 PubMed35600879

2022

ARV-771 Acts as an Inducer of Cell Cycle Arrest and Apoptosis to Suppress Hepatocellular Carcinoma Progression.

Applications

Unspecified application

Species

Unspecified reactive species

Yuanfei Deng,Cuifu Yu,Lushi Chen,Xin Zhang,Qiucheng Lei,Qing Liu,Gengxi Cai,Fang Liu

Nature communications 12:7318 PubMed34916494

2021

Structure-guided bifunctional molecules hit a DEUBAD-lacking hRpn13 species upregulated in multiple myeloma.

Applications

Unspecified application

Species

Unspecified reactive species

Xiuxiu Lu,Venkata R Sabbasani,Vasty Osei-Amponsa,Christine N Evans,Julianna C King,Sergey G Tarasov,Marzena Dyba,Sudipto Das,King C Chan,Charles D Schwieters,Sulbha Choudhari,Caroline Fromont,Yongmei Zhao,Bao Tran,Xiang Chen,Hiroshi Matsuo,Thorkell Andresson,Raj Chari,Rolf E Swenson,Nadya I Tarasova,Kylie J Walters

eLife 10: PubMed34761751

2021

Branched ubiquitin chain binding and deubiquitination by UCH37 facilitate proteasome clearance of stress-induced inclusions.

Applications

Unspecified application

Species

Unspecified reactive species

Aixin Song,Zachary Hazlett,Dulith Abeykoon,Jeremy Dortch,Andrew Dillon,Justin Curtiss,Sarah Bollinger Martinez,Christopher P Hill,Clinton Yu,Lan Huang,David Fushman,Robert E Cohen,Tingting Yao

Cell death & disease 12:42 PubMed33414446

2021

TRIB2 modulates proteasome function to reduce ubiquitin stability and protect liver cancer cells against oxidative stress.

Applications

Unspecified application

Species

Unspecified reactive species

Susu Guo,Yuxin Chen,Yueyue Yang,Xiao Zhang,Lifang Ma,Xiangfei Xue,Yongxia Qiao,Jiayi Wang

Cell chemical biology 27:1371-1382.e6 PubMed32857985

2020

Physical and Functional Analysis of the Putative Rpn13 Inhibitor RA190.

Applications

Unspecified application

Species

Unspecified reactive species

Paige Dickson,Daniel Abegg,Ekaterina Vinogradova,Junichiro Takaya,Hongchan An,Scott Simanski,Benjamin F Cravatt,Alexander Adibekian,Thomas Kodadek
View all publications

Product promise

We are committed to supporting your work with high-quality reagents, and we're here for you every step of the way. In the unlikely event that one of our products does not perform as expected, you're protected by our Product Promise.
For full details, please see our Terms & Conditions

Please note: All products are 'FOR RESEARCH USE ONLY. NOT FOR USE IN DIAGNOSTIC OR THERAPEUTIC PROCEDURES'.

For licensing inquiries, please contact partnerships@abcam.com