JavaScript is disabled in your browser. Please enable JavaScript to view this website.
AB248062

Anti-UCH37 antibody [EPR4896] - BSA and Azide free

Be the first to review this product! Submit a review

|

(1 Publication)

Rabbit Recombinant Monoclonal UCH37 antibody. Carrier free. Suitable for IHC-P, WB and reacts with Human samples. Cited in 1 publication.

View Alternative Names

UCH37, AD-019, CGI-70, UCHL5, Ubiquitin carboxyl-terminal hydrolase isozyme L5, UCH-L5, Ubiquitin C-terminal hydrolase UCH37, Ubiquitin thioesterase L5

2 Images
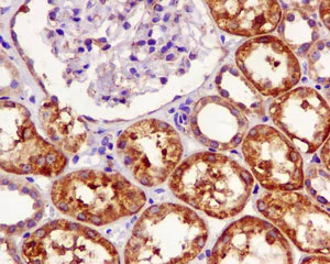
Immunohistochemistry (Formalin/PFA-fixed paraffin-embedded sections) - Anti-UCH37 antibody [EPR4896] - BSA and Azide free (AB248062)
  • IHC-P

Unknown

Immunohistochemistry (Formalin/PFA-fixed paraffin-embedded sections) - Anti-UCH37 antibody [EPR4896] - BSA and Azide free (AB248062)

This data was developed using ab124931, the same antibody clone in a different buffer formulation.

ab124931, at 1/500 dilution, staining UCH37 in paraffin embedded Human kidney tissue by Immunohistochemistry.

Perform heat mediated antigen retrieval before commencing with IHC staining protocol.

Western blot - Anti-UCH37 antibody [EPR4896] - BSA and Azide free (AB248062)
  • WB

Unknown

Western blot - Anti-UCH37 antibody [EPR4896] - BSA and Azide free (AB248062)

This data was developed using ab124931, the same antibody clone in a different buffer formulation.

All lanes:

Western blot - Anti-UCH37 antibody [EPR4896] (<a href='/en-us/products/primary-antibodies/uch37-antibody-epr4896-ab124931'>ab124931</a>) at 1/1000 dilution

Lane 1:

Human fetal kidney cell lysates at 10 µg

Lane 2:

293T cell lysates at 10 µg

Lane 3:

NCCIT cell lysates at 10 µg

Lane 4:

SH-SY5Y cell lysates at 10 µg

Secondary

All lanes:

HRP labelled goat anti-rabbit at 1/2000 dilution

Predicted band size: 38 kDa

false

Key facts

Host species

Rabbit

Clonality

Monoclonal

Clone number

EPR4896

Isotype

IgG

Carrier free

Yes

Reacts with

Human

Applications

IHC-P, WB

applications

Immunogen

The exact immunogen used to generate this antibody is proprietary information.

Reactivity data

{ "title": "Reactivity Data", "filters": { "stats": ["", "Species", "Dilution Info", "Notes"], "tabs": { "all-applications": {"fullname" : "All Applications", "shortname": "All Applications"}, "IHCP" : {"fullname" : "Immunohistochemistry (Formalin/PFA-fixed paraffin-embedded sections)", "shortname":"IHC-P"}, "ICCIF" : {"fullname" : "Immunocytochemistry/ Immunofluorescence", "shortname":"ICC/IF"}, "WB" : {"fullname" : "Western blot", "shortname":"WB"} }, "product-promise": { "all": "all", "testedAndGuaranteed": "tested", "guaranteed": "expected", "predicted": "predicted", "notRecommended": "not-recommended" } }, "values": { "Human": { "IHCP-species-checked": "testedAndGuaranteed", "IHCP-species-dilution-info": "", "IHCP-species-notes": "<p>Heat up to 98 degree C, below boiling, and then let cool for 10-20 min.</p>", "ICCIF-species-checked": "notRecommended", "ICCIF-species-dilution-info": "", "ICCIF-species-notes": "<p></p>", "WB-species-checked": "testedAndGuaranteed", "WB-species-dilution-info": "", "WB-species-notes": "<p></p>" }, "Mouse": { "IHCP-species-checked": "notRecommended", "IHCP-species-dilution-info": "", "IHCP-species-notes": "<p>Heat up to 98 degree C, below boiling, and then let cool for 10-20 min.</p>", "ICCIF-species-checked": "notRecommended", "ICCIF-species-dilution-info": "", "ICCIF-species-notes": "<p></p>", "WB-species-checked": "notRecommended", "WB-species-dilution-info": "", "WB-species-notes": "<p></p>" }, "Rat": { "IHCP-species-checked": "notRecommended", "IHCP-species-dilution-info": "", "IHCP-species-notes": "", "ICCIF-species-checked": "notRecommended", "ICCIF-species-dilution-info": "", "ICCIF-species-notes": "", "WB-species-checked": "notRecommended", "WB-species-dilution-info": "", "WB-species-notes": "" } } }

Product details

ab248062 is the carrier-free version of ab124931.

Patented technology
Our RabMAb® technology is a patented hybridoma-based technology for making rabbit monoclonal antibodies. For details on our patents, please refer to RabMAb® patents.

What are the advantages of a recombinant monoclonal antibody?
This product is a recombinant monoclonal antibody, which offers several advantages including:

  • - High batch-to-batch consistency and reproducibility
  • - Improved sensitivity and specificity
  • - Long-term security of supply
  • - Animal-free batch production

For more information, read more on recombinant antibodies.

Conjugation ready
Our carrier-free antibodies are typically supplied in a PBS-only formulation, purified and free of BSA, sodium azide and glycerol. This conjugation-ready format is designed for use with fluorochromes, metal isotopes, oligonucleotides, and enzymes, which makes them ideal for antibody labelling, functional and cell-based assays, flow-based assays (e.g. mass cytometry) and Multiplex Imaging applications.

Use our conjugation kits for antibody conjugates that are ready-to-use in as little as 20 minutes with 1 minute hands-on-time and 100% antibody recovery: available for fluorescent dyes, HRP, biotin and gold.

Compatibility
This product is compatible with the Maxpar® Antibody Labeling Kit from Fluidigm, without the need for antibody preparation. Maxpar® is a trademark of Fluidigm Canada Inc.

Properties and storage information

Form
Liquid
Purification technique
Affinity purification Protein A
Storage buffer
pH: 7.2 - 7.4 Constituents: PBS
Shipped at conditions
Blue Ice
Appropriate short-term storage conditions
+4°C
Appropriate long-term storage conditions
+4°C
Storage information
Do Not Freeze

Supplementary information

This supplementary information is collated from multiple sources and compiled automatically.

UCH37 also known as ubiquitin carboxyl-terminal hydrolase L5 (UCHL5) is a deubiquitinating enzyme of approximately 37 kDa mass. This protein functions by cleaving ubiquitin moieties from polyubiquitin chains facilitating protein degradation or recycling processes. UCH37 expression is observed in various tissues with higher expression noted in the liver and kidney indicating its significant cellular roles in these organs.
Biological function summary

UCH37 plays a role in the ubiquitin-proteasome system where it is an integral component of the 19S regulatory particle of the 26S proteasome complex. Through this association UCH37 participates in the removal of ubiquitin from substrates targeted for proteasomal degradation. This action regulates protein turnover and prevents unnecessary degradation of proteins which is important for maintaining cell homeostasis and controlling protein quality.

Pathways

The modulation of proteostasis by UCH37 directly influences the ubiquitin-proteasome pathway and the associated cellular stress responses. Its activity can impact the NF-kappaB signaling pathway by regulating the stability of components within this pathway interacting with other proteins such as the proteasome subunit RPN13 and proteasome-associated DUBs. The precise regulation of protein levels within these pathways ensures that cells respond appropriately to stress and inflammation.

Abnormal regulation or expression of UCH37 contributes to several pathological conditions. Cancer and neurodegenerative disorders are two prominent examples in which UCH37 plays a role. Elevated levels or dysfunctional UCH37 activity can disrupt proteostasis leading to uncontrolled cell proliferation or cell death resistance in cancer or the accumulation of misfolded proteins in conditions like Alzheimer’s disease. Additionally interactions of UCH37 with oncogenic proteins or tau proteins in neurodegenerative conditions reflect its relevance in the progression of these diseases.

Product protocols

For this product, it's our understanding that no specific protocols are required. You can visit:

Target data

Protease that specifically cleaves 'Lys-48'-linked polyubiquitin chains. Deubiquitinating enzyme associated with the 19S regulatory subunit of the 26S proteasome. Putative regulatory component of the INO80 complex; however is inactive in the INO80 complex and is activated by a transient interaction of the INO80 complex with the proteasome via ADRM1.
See full target information UCHL5

Publications (1)

Recent publications for all applications. Explore the full list and refine your search

Journal of virology 97:e0190722 PubMed36946735

2023

Characterization of the Impact of Merkel Cell Polyomavirus-Induced Interferon Signaling on Viral Infection.

Applications

Unspecified application

Species

Unspecified reactive species

Ranran Wang,June F Yang,Taylor E Senay,Wei Liu,Jianxin You
View all publications

Product promise

We are committed to supporting your work with high-quality reagents, and we're here for you every step of the way. In the unlikely event that one of our products does not perform as expected, you're protected by our Product Promise.
For full details, please see our Terms & Conditions

Please note: All products are 'FOR RESEARCH USE ONLY. NOT FOR USE IN DIAGNOSTIC OR THERAPEUTIC PROCEDURES'.

For licensing inquiries, please contact partnerships@abcam.com