JavaScript is disabled in your browser. Please enable JavaScript to view this website.
AB323384

Anti-UCHL3 antibody [EPR29841-548]

Be the first to review this product! Submit a review

|

(0 Publication)

Rabbit Recombinant Monoclonal UCHL3 antibody. Suitable for WB, IP and reacts with Recombinant fragment - Human, Human, Mouse samples.

View Alternative Names

Ubiquitin carboxyl-terminal hydrolase isozyme L3, UCH-L3, Ubiquitin thioesterase L3, UCHL3

6 Images
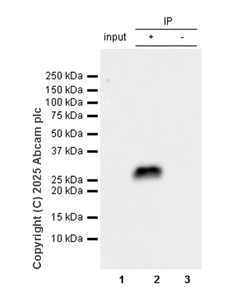
Immunoprecipitation - Anti-UCHL3 antibody [EPR29841-548] (AB323384)
  • IP

Supplier Data

Immunoprecipitation - Anti-UCHL3 antibody [EPR29841-548] (AB323384)

UCHL3 was immunoprecipitated from 0.35 mg HeLa (human cervical adenocarcinoma epithelial cell) whole cell lysate with ab323384 at 1/30 dilution (2ug in 0.35mg lysates). Western blot was performed on the immunoprecipitate using ab323384 at 1000 dilution. VeriBlot for IP secondary antibody(HRP)(ab131366) was used at 1/5000 dilution.

Lane 1 : HeLa (human cervical adenocarcinoma epithelial cell) whole cell lysate
Lane 2 : ab323384 IP in HeLa (human cervical adenocarcinoma epithelial cell) whole cell lysate
Lane 3 : Rabbit monoclonal IgG (ab172730) instead of ab323384 in Hela whole cell lysate

Blocking and dilution buffer and concentration : 5% NFDM/TBST

All lanes:

Immunoprecipitation - Anti-UCHL3 antibody [EPR29841-548] (ab323384) at 1/30 dilution

All lanes:

HeLa (human cervical adenocarcinoma epithelial cell) whole cell lysate

Secondary

All lanes:

Immunoprecipitation - VeriBlot for IP Detection Reagent (HRP) (<a href='/en-us/products/reagents/veriblot-for-ip-detection-reagent-hrp-ab131366'>ab131366</a>) at 1/5000 dilution

false

Exposure time: 24s

Immunoprecipitation - Anti-UCHL3 antibody [EPR29841-548] (AB323384)
  • IP

Supplier Data

Immunoprecipitation - Anti-UCHL3 antibody [EPR29841-548] (AB323384)

UCHL3 was immunoprecipitated from 0.35 mg Neuro-2a (mouse neuroblastoma neuroblast) whole cell lysate with ab323384 at 1/30 dilution (2ug in 0.35mg lysates). Western blot was performed on the immunoprecipitate using ab323384 at 1000 dilution. VeriBlot for IP secondary antibody(HRP)(ab131366) was used at 1/5000 dilution.

Lane 1 : Neuro-2a (mouse neuroblastoma neuroblast) whole cell lysate
Lane 2 : ab323384 IP in Neuro-2a (mouse neuroblastoma neuroblast) whole cell lysate
Lane 3 : Rabbit monoclonal IgG (ab172730) instead of ab323384 in Neuro-2a whole cell lysate

Blocking and dilution buffer and concentration : 5% NFDM/TBST

All lanes:

Immunoprecipitation - Anti-UCHL3 antibody [EPR29841-548] (ab323384) at 1/30 dilution

All lanes:

Neuro-2a (mouse neuroblastoma neuroblast) whole cell lysate

Secondary

All lanes:

Immunoprecipitation - VeriBlot for IP Detection Reagent (HRP) (<a href='/en-us/products/reagents/veriblot-for-ip-detection-reagent-hrp-ab131366'>ab131366</a>) at 1/5000 dilution

false

Exposure time: 10s

Western blot - Anti-UCHL3 antibody [EPR29841-548] (AB323384)
  • WB

Supplier Data

Western blot - Anti-UCHL3 antibody [EPR29841-548] (AB323384)

Blocking and diluting buffer and concentration : 5% NFDM/TBST.

In Western blot, Anti-GAPDH antibody [EPR16891] - Loading Control (ab181602) staining at 1/200000 dilution.

All lanes:

Western blot - Anti-UCHL3 antibody [EPR29841-548] (ab323384) at 1/1000 dilution

Lane 1:

Human lung cancer tissue lysate at 20 µg

Lane 2:

Human pancreas cancer tissue lysate at 20 µg

Lane 3:

Human pancreas tissue lysate at 20 µg

Lane 4:

Mouse testis tissue lysate at 20 µg

Lane 5:

Mouse spleen tissue lysate at 20 µg

Lane 6:

Mouse pancreas tissue lysate at 20 µg

Secondary

All lanes:

Western blot - Goat Anti-Rabbit IgG H&L (HRP) (<a href='/en-us/products/secondary-antibodies/goat-rabbit-igg-h-l-hrp-ab97051'>ab97051</a>) at 1/100000 dilution

Observed band size: 26 kDa,36 kDa

false

Exposure time: 180s

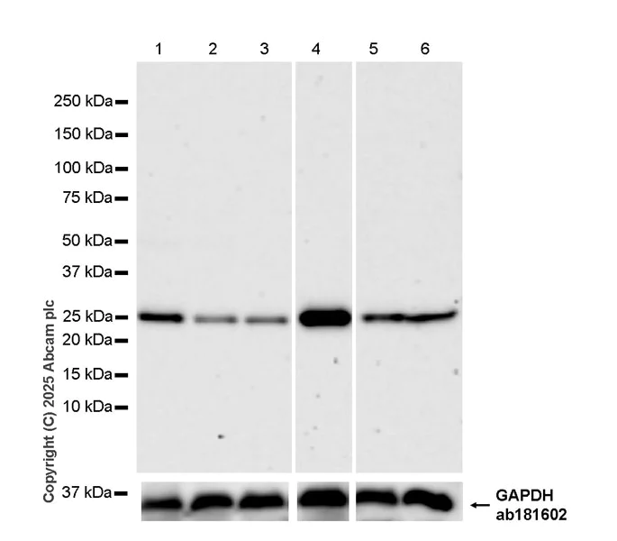
Western blot - Anti-UCHL3 antibody [EPR29841-548] (AB323384)
  • WB

Supplier Data

Western blot - Anti-UCHL3 antibody [EPR29841-548] (AB323384)

Blocking and diluting buffer and concentration : 5% NFDM/TBST.

The identity of the bands higher 30 kDa and lower than 15 kDa are unknown.

In Western blot, Anti-GAPDH antibody [EPR16891] - Loading Control (ab181602) staining at 1/200000 dilution.

All lanes:

Western blot - Anti-UCHL3 antibody [EPR29841-548] (ab323384) at 1/1000 dilution

Lane 1:

HeLa (human cervical adenocarcinoma epithelial cell) transfected with scrambled siRNA control whole cell lysate at 50 µg

Lane 2:

HeLa transfected with siRNA specifically targeting UCHL3 whole cell lysate at 50 µg

Secondary

All lanes:

Western blot - Goat Anti-Rabbit IgG H&L (HRP) (<a href='/en-us/products/secondary-antibodies/goat-rabbit-igg-h-l-hrp-ab97051'>ab97051</a>) at 1/20000 dilution

Observed band size: 26 kDa,36 kDa

false

Exposure time: 37s

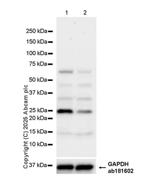
Western blot - Anti-UCHL3 antibody [EPR29841-548] (AB323384)
  • WB

Supplier Data

Western blot - Anti-UCHL3 antibody [EPR29841-548] (AB323384)

Blocking and diluting buffer and concentration : 5% NFDM/TBST.

Low expression : TT.

This blot was developed using a high-sensitivity ECL substrate, allowing for the detection of proteins in the mid-femtogram range.

The identity of the bands higher 30 kDa are unknown.

In Western blot, Anti-GAPDH antibody [EPR16891] - Loading Control (ab181602) staining at 1/200000 dilution.

All lanes:

Western blot - Anti-UCHL3 antibody [EPR29841-548] (ab323384) at 1/1000 dilution

Lane 1:

F9 (mouse embryonal carcinoma epithelial cell) whole cell lysate at 50 µg

Lane 2:

Neuro-2a (mouse neuroblastoma neuroblast) whole cell lysate at 50 µg

Lane 3:

RAW 264.7 (mouse Abelson murine leukemia virus-induced tumor macrophage) whole cell lysate at 50 µg

Lane 4:

Caco-2 (human colorectal adenocarcinoma epithelial cell) whole cell lysate at 50 µg

Lane 5:

TT (human thyroid carcinoma epithelial cell) whole cell lysate at 50 µg

Secondary

All lanes:

Western blot - Goat Anti-Rabbit IgG H&L (HRP) (<a href='/en-us/products/secondary-antibodies/goat-rabbit-igg-h-l-hrp-ab97051'>ab97051</a>) at 1/100000 dilution

Observed band size: 26 kDa,36 kDa

true

Exposure time: 92s

Western blot - Anti-UCHL3 antibody [EPR29841-548] (AB323384)
  • WB

Supplier Data

Western blot - Anti-UCHL3 antibody [EPR29841-548] (AB323384)

Blocking and diluting buffer and concentration : 5% NFDM/TBST.

This antibody does not cross-react with human UCHL1.

In Western blot, Anti-6X His tag® antibody [EPR20547] - ChIP Grade (ab213204) staining at 1/5000 dilution.

All lanes:

Western blot - Anti-UCHL3 antibody [EPR29841-548] (ab323384) at 1/1000 dilution

Lane 1:

His-tagged human UCHL3 recombinant protein at 10 ng

Lane 2:

His-tagged human UCHL1 recombinant protein at 10 ng

Secondary

All lanes:

Western blot - Goat Anti-Rabbit IgG H&L (HRP) (<a href='/en-us/products/secondary-antibodies/goat-rabbit-igg-h-l-hrp-ab97051'>ab97051</a>) at 1/100000 dilution

Observed band size: 23-28 kDa,26 kDa

false

Exposure time: 37s

Key facts

Host species

Rabbit

Clonality

Monoclonal

Clone number

EPR29841-548

Isotype

IgG

Carrier free

No

Reacts with

Human, Mouse

Applications

WB, IP

applications

Immunogen

The exact immunogen used to generate this antibody is proprietary information.

Reactivity data

{ "title": "Reactivity Data", "filters": { "stats": ["", "Species", "Dilution Info", "Notes"], "tabs": { "all-applications": {"fullname" : "All Applications", "shortname": "All Applications"}, "WB" : {"fullname" : "Western blot", "shortname":"WB"}, "IP" : {"fullname" : "Immunoprecipitation", "shortname":"IP"}, "IHCP" : {"fullname" : "Immunohistochemistry (Formalin/PFA-fixed paraffin-embedded sections)", "shortname":"IHC-P"} }, "product-promise": { "all": "all", "testedAndGuaranteed": "tested", "guaranteed": "expected", "predicted": "predicted", "notRecommended": "not-recommended" } }, "values": { "Human": { "WB-species-checked": "testedAndGuaranteed", "WB-species-dilution-info": "1/1000", "WB-species-notes": "<p></p>", "IP-species-checked": "testedAndGuaranteed", "IP-species-dilution-info": "1/30", "IP-species-notes": "<p></p>", "IHCP-species-checked": "notRecommended", "IHCP-species-dilution-info": "", "IHCP-species-notes": "<p></p>" }, "Mouse": { "WB-species-checked": "testedAndGuaranteed", "WB-species-dilution-info": "1/1000", "WB-species-notes": "<p></p>", "IP-species-checked": "testedAndGuaranteed", "IP-species-dilution-info": "1/30", "IP-species-notes": "<p></p>", "IHCP-species-checked": "notRecommended", "IHCP-species-dilution-info": "", "IHCP-species-notes": "<p></p>" }, "Recombinant fragment - Human": { "WB-species-checked": "testedAndGuaranteed", "WB-species-dilution-info": "1/1000", "WB-species-notes": "<p></p>", "IP-species-checked": "notRecommended", "IP-species-dilution-info": "", "IP-species-notes": "", "IHCP-species-checked": "notRecommended", "IHCP-species-dilution-info": "", "IHCP-species-notes": "" } } }

Product details

Patented technology
Our RabMAb® technology is a patented hybridoma-based technology for making rabbit monoclonal antibodies. For details on our patents, please refer to RabMAb® patents.

What are the advantages of a recombinant monoclonal antibody?
This product is a recombinant monoclonal antibody, which offers several advantages including:

  • - High batch-to-batch consistency and reproducibility
  • - Improved sensitivity and specificity
  • - Long-term security of supply
  • - Animal-free batch production

For more information, read more on recombinant antibodies.

Properties and storage information

Form
Liquid
Purification technique
Affinity purification Protein A
Storage buffer
pH: 7.2 - 7.4 Preservative: 0.01% Sodium azide Constituents: PBS, 40% Glycerol (glycerin, glycerine), 0.05% BSA
Shipped at conditions
Blue Ice
Appropriate short-term storage duration
1-2 weeks
Appropriate short-term storage conditions
+4°C
Appropriate long-term storage conditions
-20°C
Aliquoting information
Upon delivery aliquot
Storage information
Avoid freeze / thaw cycle

Product protocols

For this product, it's our understanding that no specific protocols are required. You can visit:

Target data

Deubiquitinating enzyme (DUB) that controls levels of cellular ubiquitin through processing of ubiquitin precursors and ubiquitinated proteins. Thiol protease that recognizes and hydrolyzes a peptide bond at the C-terminal glycine of either ubiquitin or NEDD8. Has a 10-fold preference for Arg and Lys at position P3'', and exhibits a preference towards 'Lys-48'-linked ubiquitin chains. Deubiquitinates ENAC in apical compartments, thereby regulating apical membrane recycling. Indirectly increases the phosphorylation of IGFIR, AKT and FOXO1 and promotes insulin-signaling and insulin-induced adipogenesis. Required for stress-response retinal, skeletal muscle and germ cell maintenance. May be involved in working memory. Can hydrolyze UBB(+1), a mutated form of ubiquitin which is not effectively degraded by the proteasome and is associated with neurogenerative disorders.
See full target information Ubiquitin carboxyl-terminal hydrolase isozyme L3

Additional targets

Uchl3

Product promise

We are committed to supporting your work with high-quality reagents, and we're here for you every step of the way. In the unlikely event that one of our products does not perform as expected, you're protected by our Product Promise.
For full details, please see our Terms & Conditions

Please note: All products are 'FOR RESEARCH USE ONLY. NOT FOR USE IN DIAGNOSTIC OR THERAPEUTIC PROCEDURES'.

For licensing inquiries, please contact partnerships@abcam.com