JavaScript is disabled in your browser. Please enable JavaScript to view this website.
AB251147

Anti-UCHL5IP antibody [EPR15341-56] - BSA and Azide free

Be the first to review this product! Submit a review

|

(0 Publication)

Rabbit Recombinant Monoclonal UCHL5IP antibody. Carrier free. Suitable for IP, WB, Flow Cyt (Intra), IHC-P and reacts with Human, Mouse samples.

View Alternative Names

UCHL5IP, UIP1, HAUS7, HAUS augmin-like complex subunit 7, 26S proteasome-associated UCH37-interacting protein 1, UCHL5-interacting protein, X-linked protein STS1769

7 Images
Western blot - Anti-UCHL5IP antibody [EPR15341-56] - BSA and Azide free (AB251147)
  • WB

Supplier Data

Western blot - Anti-UCHL5IP antibody [EPR15341-56] - BSA and Azide free (AB251147)

This data was developed using ab192616, the same antibody clone in a different buffer formulation.

All lanes:

Western blot - Anti-UCHL5IP antibody [EPR15341-56] (<a href='/en-us/products/primary-antibodies/uchl5ip-antibody-epr15341-56-ab192616'>ab192616</a>) at 1/1000 dilution

Lane 1:

HeLa cell lysate at 20 µg

Lane 2:

Jurkat cell lysate at 20 µg

Secondary

All lanes:

Goat Anti-Rabbit IgG, (H+L), Peroxidase conjugate at 1/1000 dilution

Predicted band size: 40 kDa

false

Immunoprecipitation - Anti-UCHL5IP antibody [EPR15341-56] - BSA and Azide free (AB251147)
  • IP

Supplier Data

Immunoprecipitation - Anti-UCHL5IP antibody [EPR15341-56] - BSA and Azide free (AB251147)

This data was developed using ab192616, the same antibody clone in a different buffer formulation.

Western blot analysis of immunoprecipitation pellet from Jurkat cell lysate immunoprecipitated using ab192616 at 1/150 dilution (lane 1) or PBS control (lane 2).
Secondary : Anti-Rabbit IgG (HRP), specific to the non-reduced form of IgG at 1/1500 dilution.

All lanes:

Immunoprecipitation - Anti-UCHL5IP antibody [EPR15341-56] (<a href='/en-us/products/primary-antibodies/uchl5ip-antibody-epr15341-56-ab192616'>ab192616</a>)

Predicted band size: 40 kDa

false

Immunohistochemistry (Formalin/PFA-fixed paraffin-embedded sections) - Anti-UCHL5IP antibody [EPR15341-56] - BSA and Azide free (AB251147)
  • IHC-P

Supplier Data

Immunohistochemistry (Formalin/PFA-fixed paraffin-embedded sections) - Anti-UCHL5IP antibody [EPR15341-56] - BSA and Azide free (AB251147)

This data was developed using ab192616, the same antibody clone in a different buffer formulation.

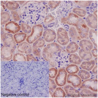
Immunohistochemical analysis of paraffin-embedded Mouse kidney tissue labeling UCHL5IP with ab192616 at 1/500 dilution (5μg/ml) dilution followed by pre-diluted HRP Polymer for Rabbit/Mouse IgG secondary antibody and counter-stained with Hematoxylin. (inset : negative control).

Perform heat mediated antigen retrieval with Tris/EDTA buffer pH 9.0 before commencing with IHC staining protocol.

Western blot - Anti-UCHL5IP antibody [EPR15341-56] - BSA and Azide free (AB251147)
  • WB

Supplier Data

Western blot - Anti-UCHL5IP antibody [EPR15341-56] - BSA and Azide free (AB251147)

This data was developed using ab192616, the same antibody clone in a different buffer formulation.

All lanes:

Western blot - Anti-UCHL5IP antibody [EPR15341-56] (<a href='/en-us/products/primary-antibodies/uchl5ip-antibody-epr15341-56-ab192616'>ab192616</a>) at 1/1000 dilution

All lanes:

RAW 264.7 cell lysate at 10 µg

Secondary

All lanes:

Goat anti-rabbit IgG, (H+L), peroxidase conjugated at 1/1000 dilution

Predicted band size: 25 kDa,31 kDa,40 kDa,48 kDa,50 kDa,54 kDa,84 kDa,90 kDa

Observed band size: 50 kDa,54 kDa

false

Immunohistochemistry (Formalin/PFA-fixed paraffin-embedded sections) - Anti-UCHL5IP antibody [EPR15341-56] - BSA and Azide free (AB251147)
  • IHC-P

Supplier Data

Immunohistochemistry (Formalin/PFA-fixed paraffin-embedded sections) - Anti-UCHL5IP antibody [EPR15341-56] - BSA and Azide free (AB251147)

This data was developed using ab192616, the same antibody clone in a different buffer formulation.

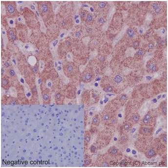
Immunohistochemical analysis of paraffin-embedded Human liver tissue labeling UCHL5IP with ab192616 at 1/500 dilution (5μg/ml) followed by pre-diluted HRP Polymer for Rabbit/Mouse IgG secondary antibody and counter-stained with Hematoxylin. (inset : negative control).

Perform heat mediated antigen retrieval with Tris/EDTA buffer pH 9.0 before commencing with IHC staining protocol.

Immunohistochemistry (Formalin/PFA-fixed paraffin-embedded sections) - Anti-UCHL5IP antibody [EPR15341-56] - BSA and Azide free (AB251147)
  • IHC-P

Supplier Data

Immunohistochemistry (Formalin/PFA-fixed paraffin-embedded sections) - Anti-UCHL5IP antibody [EPR15341-56] - BSA and Azide free (AB251147)

This data was developed using ab192616, the same antibody clone in a different buffer formulation.

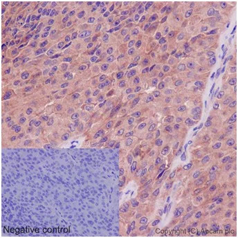
Immunohistochemical analysis of paraffin-embedded Human endometrium adenocarcinoma tissue labeling UCHL5IP with ab192616 at 1/500 dilution (5μg/ml) followed by pre-diluted HRP Polymer for Rabbit/Mouse IgG secondary antibody and counter-stained with Hematoxylin. (inset : negative control).

Perform heat mediated antigen retrieval with Tris/EDTA buffer pH 9.0 before commencing with IHC staining protocol.

Flow Cytometry (Intracellular) - Anti-UCHL5IP antibody [EPR15341-56] - BSA and Azide free (AB251147)
  • Flow Cyt (Intra)

Supplier Data

Flow Cytometry (Intracellular) - Anti-UCHL5IP antibody [EPR15341-56] - BSA and Azide free (AB251147)

This data was developed using ab192616, the same antibody clone in a different buffer formulation.

Intracellular flow cytometric analysis of Jurkat cells (paraformaldehyde-fixed, 2%) labeling UCHL5IP with ab192616 at 1/480 dilution (red) or a rabbit IgG (negative) (black), unlabeled cells (blue) followed by Goat anti rabbit IgG (FITC) secondary at 1/150 dilution.

Key facts

Host species

Rabbit

Clonality

Monoclonal

Clone number

EPR15341-56

Isotype

IgG

Carrier free

Yes

Reacts with

Mouse, Human

Applications

IP, Flow Cyt (Intra), IHC-P, WB

applications

Immunogen

The exact immunogen used to generate this antibody is proprietary information.

Reactivity data

{ "title": "Reactivity Data", "filters": { "stats": ["", "Species", "Dilution Info", "Notes"], "tabs": { "all-applications": {"fullname" : "All Applications", "shortname": "All Applications"}, "IP" : {"fullname" : "Immunoprecipitation", "shortname":"IP"}, "WB" : {"fullname" : "Western blot", "shortname":"WB"}, "FlowCytIntra" : {"fullname" : "Flow Cytometry (Intracellular)", "shortname":"Flow Cyt (Intra)"}, "IHCP" : {"fullname" : "Immunohistochemistry (Formalin/PFA-fixed paraffin-embedded sections)", "shortname":"IHC-P"} }, "product-promise": { "all": "all", "testedAndGuaranteed": "tested", "guaranteed": "expected", "predicted": "predicted", "notRecommended": "not-recommended" } }, "values": { "Human": { "IP-species-checked": "testedAndGuaranteed", "IP-species-dilution-info": "", "IP-species-notes": "<p></p> Perform heat-mediated antigen retrieval with Tris/EDTA buffer pH 9.0 before commencing with IHC staining protocol.", "WB-species-checked": "testedAndGuaranteed", "WB-species-dilution-info": "", "WB-species-notes": "<p></p>", "FlowCytIntra-species-checked": "testedAndGuaranteed", "FlowCytIntra-species-dilution-info": "", "FlowCytIntra-species-notes": "<p></p>", "IHCP-species-checked": "guaranteed", "IHCP-species-dilution-info": "", "IHCP-species-notes": "" }, "Mouse": { "IP-species-checked": "guaranteed", "IP-species-dilution-info": "", "IP-species-notes": "", "WB-species-checked": "guaranteed", "WB-species-dilution-info": "", "WB-species-notes": "", "FlowCytIntra-species-checked": "guaranteed", "FlowCytIntra-species-dilution-info": "", "FlowCytIntra-species-notes": "", "IHCP-species-checked": "testedAndGuaranteed", "IHCP-species-dilution-info": "", "IHCP-species-notes": "<p></p> Perform heat-mediated antigen retrieval with Tris/EDTA buffer pH 9.0 before commencing with IHC staining protocol." } } }

Product details

ab251147 is the carrier-free version of ab192616.

Patented technology
Our RabMAb® technology is a patented hybridoma-based technology for making rabbit monoclonal antibodies. For details on our patents, please refer to RabMAb® patents.

What are the advantages of a recombinant monoclonal antibody?
This product is a recombinant monoclonal antibody, which offers several advantages including:

  • - High batch-to-batch consistency and reproducibility
  • - Improved sensitivity and specificity
  • - Long-term security of supply
  • - Animal-free batch production

For more information, read more on recombinant antibodies.

Conjugation ready
Our carrier-free antibodies are typically supplied in a PBS-only formulation, purified and free of BSA, sodium azide and glycerol. This conjugation-ready format is designed for use with fluorochromes, metal isotopes, oligonucleotides, and enzymes, which makes them ideal for antibody labelling, functional and cell-based assays, flow-based assays (e.g. mass cytometry) and Multiplex Imaging applications.

Use our conjugation kits for antibody conjugates that are ready-to-use in as little as 20 minutes with 1 minute hands-on-time and 100% antibody recovery: available for fluorescent dyes, HRP, biotin and gold.

Compatibility
This product is compatible with the Maxpar® Antibody Labeling Kit from Fluidigm, without the need for antibody preparation. Maxpar® is a trademark of Fluidigm Canada Inc.

Properties and storage information

Form
Liquid
Purification technique
Affinity purification Protein A
Storage buffer
pH: 7.2 - 7.4 Constituents: PBS
Shipped at conditions
Blue Ice
Appropriate short-term storage conditions
+4°C
Appropriate long-term storage conditions
+4°C
Storage information
Do Not Freeze

Supplementary information

This supplementary information is collated from multiple sources and compiled automatically.

UCHL5IP also known as Ubiquitin Carboxyl-terminal Hydrolase L5 Interacting Protein functions as an important protein supporting the role of UCHL5 in protein degradation. UCHL5IP is involved in deubiquitination processes and has closely-related functions with enzymes in removing ubiquitin from proteins. Its molecular mass is approximately 26 kDa. UCHL5IP is broadly expressed in various tissues suggesting its involvement in several cellular processes.
Biological function summary

UCHL5IP regulates protein turnover by assisting the function of UCHL5. It forms part of a complex with the proteasome which is important for maintaining protein homeostasis. This interaction helps the proteasome properly degrade misfolded or excessive proteins enhancing cellular regulation. The involvement of UCHL5IP in maintaining protein quality control underlines its significance in cellular integrity and function.

Pathways

Scientists recognize UCHL5IP's participation in the ubiquitin-proteasome pathway a major cellular mechanism controlling protein degradation. It interacts with UCHL5 a component of the protease interacting with the proteasome. The pathway is responsible for regulating protein levels and maintaining cellular balance. Additionally UCHL5IP might have connections to signaling pathways through roles in modulating protein levels linking it to broader networks of cellular communication and response.

Researchers have linked UCHL5IP to neurodegenerative diseases due to its involvement in proteasome function. Malfunction in protein degradation pathways contributes to disorders such as Parkinson’s disease. UCHL5IP through its interaction with UCHL5 can influence the build-up of misfolded proteins which are necessary for disease development. Continued study on UCHL5IP might provide further insights into its role in these conditions and potential therapeutic targets.

Product protocols

For this product, it's our understanding that no specific protocols are required. You can visit:

Target data

Contributes to mitotic spindle assembly, maintenance of centrosome integrity and completion of cytokinesis as part of the HAUS augmin-like complex.
See full target information HAUS7

Product promise

We are committed to supporting your work with high-quality reagents, and we're here for you every step of the way. In the unlikely event that one of our products does not perform as expected, you're protected by our Product Promise.
For full details, please see our Terms & Conditions

Please note: All products are 'FOR RESEARCH USE ONLY. NOT FOR USE IN DIAGNOSTIC OR THERAPEUTIC PROCEDURES'.

For licensing inquiries, please contact partnerships@abcam.com