JavaScript is disabled in your browser. Please enable JavaScript to view this website.
AB308253

Anti-UCK2 antibody [EPR27020-82] - BSA and Azide free

Be the first to review this product! Submit a review

|

(0 Publication)

Rabbit Recombinant Monoclonal UCK2 antibody. Carrier free. Suitable for WB and reacts with Human, Transfected cell lysate - Human, Mouse samples.

View Alternative Names

UMPK, UCK2, Uridine-cytidine kinase 2, UCK 2, Cytidine monophosphokinase 2, Testis-specific protein TSA903, Uridine monophosphokinase 2

3 Images
Western blot - Anti-UCK2 antibody [EPR27020-82] - BSA and Azide free (AB308253)
  • WB

Supplier Data

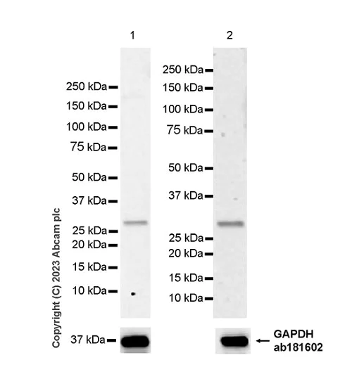
Western blot - Anti-UCK2 antibody [EPR27020-82] - BSA and Azide free (AB308253)

This data was produced using ab308252, the same clone but in a different formulation. Blocking and diluting buffer and concentration : 5% NFDM/TBST. Low expression : Huh7 and U-2 OS(PMID : 35583288). In Western blot, anti-GAPDH antibody (ab181602) loading control staining at 1/200000 dilution. Exposure time : 92 seconds.

All lanes:

Western blot - Anti-UCK2 antibody [EPR27020-82] (<a href='/en-us/products/primary-antibodies/uck2-antibody-epr27020-82-ab308252'>ab308252</a>) at 1/1000 dilution

Lane 1:

K-562 (human chronic myelogenous leukemia lymphoblast) whole cell lysate at 20 µg

Lane 2:

Jurkat (human T cell leukemia T lymphocyte) whole cell lysate at 20 µg

Lane 3:

Huh7 (human hepatocellular carcinoma epithelial cell) whole cell lysate at 20 µg

Lane 4:

U-2 OS (human bone osteosarcoma epithelial cell) whole cell lysate at 20 µg

Secondary

All lanes:

Western blot - Goat Anti-Rabbit IgG H&L (HRP) (<a href='/en-us/products/secondary-antibodies/goat-rabbit-igg-h-l-hrp-ab97051'>ab97051</a>) at 1/100000 dilution

Observed band size: 30 kDa

false

Western blot - Anti-UCK2 antibody [EPR27020-82] - BSA and Azide free (AB308253)
  • WB

Supplier Data

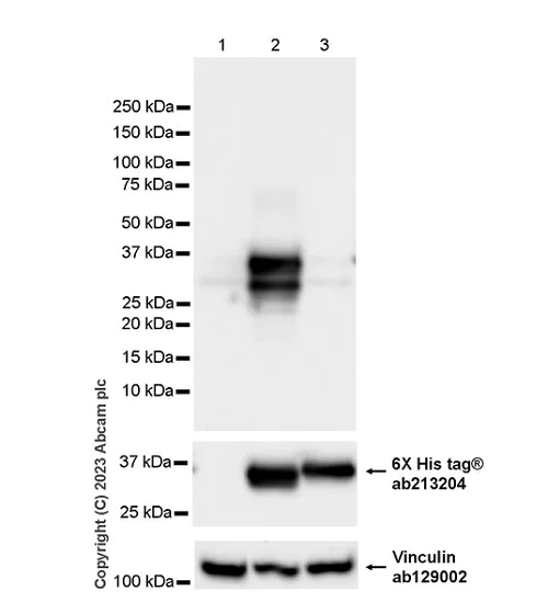
Western blot - Anti-UCK2 antibody [EPR27020-82] - BSA and Azide free (AB308253)

This data was produced using ab308252, the same clone but in a different formulation. Blocking and diluting buffer and concentration : 5% NFDM/TBST. This antibody does not cross-react with human UCK1. In Western blot, anti-His antibody (ab213204) staining at 1/5000 dilution. In Western blot, anti- Vinculin antibody (ab129002) loading control staining at 1/10000 dilution. Exposure time : 6 seconds.

All lanes:

Western blot - Anti-UCK2 antibody [EPR27020-82] (<a href='/en-us/products/primary-antibodies/uck2-antibody-epr27020-82-ab308252'>ab308252</a>) at 1/1000 dilution

Lane 1:

293T cells transfected with an empty vector containing a His tag whole cell lysate at 20 µg

Lane 2:

293T cells transfected with a Human UCK2 expression vector containing a His-tag whole cell lysate at 20 µg

Lane 3:

293T cells transfected with a Human UCK1 expression vector containing a His-tag whole cell lysate at 20 µg

Secondary

All lanes:

Western blot - Goat Anti-Rabbit IgG H&L (HRP) (<a href='/en-us/products/secondary-antibodies/goat-rabbit-igg-h-l-hrp-ab97051'>ab97051</a>) at 1/100000 dilution

Observed band size: 30 kDa

false

Western blot - Anti-UCK2 antibody [EPR27020-82] - BSA and Azide free (AB308253)
  • WB

Supplier Data

Western blot - Anti-UCK2 antibody [EPR27020-82] - BSA and Azide free (AB308253)

This data was produced using ab308252, the same clone but in a different formulation. Blocking and diluting buffer and concentration : 5% NFDM/TBST. Positive control : YAC-1(PMID : 35583288). Lane 2 was freshly made and used for Western blotting immediately to minimize protein degradation. In Western blot, anti-GAPDH antibody (ab181602) loading control staining at 1/200000 dilution. Exposure time : 180 seconds.

All lanes:

Western blot - Anti-UCK2 antibody [EPR27020-82] (<a href='/en-us/products/primary-antibodies/uck2-antibody-epr27020-82-ab308252'>ab308252</a>) at 1/1000 dilution

Lane 1:

YAC-1 (mouse Moloney leukemia virus induced lymphoma lymphoblast) whole cell lysate at 20 µg

Lane 2:

Mouse placenta tissue lysate at 20 µg

Secondary

All lanes:

Western blot - Goat Anti-Rabbit IgG H&L (HRP) (<a href='/en-us/products/secondary-antibodies/goat-rabbit-igg-h-l-hrp-ab97051'>ab97051</a>) at 1/100000 dilution

false

Key facts

Host species

Rabbit

Clonality

Monoclonal

Clone number

EPR27020-82

Isotype

IgG

Carrier free

Yes

Reacts with

Human, Mouse

Applications

WB

applications

Immunogen

The exact immunogen used to generate this antibody is proprietary information.

Reactivity data

{ "title": "Reactivity Data", "filters": { "stats": ["", "Species", "Dilution Info", "Notes"], "tabs": { "all-applications": {"fullname" : "All Applications", "shortname": "All Applications"}, "WB" : {"fullname" : "Western blot", "shortname":"WB"}, "IHCP" : {"fullname" : "Immunohistochemistry (Formalin/PFA-fixed paraffin-embedded sections)", "shortname":"IHC-P"}, "ICCIF" : {"fullname" : "Immunocytochemistry/ Immunofluorescence", "shortname":"ICC/IF"}, "FlowCytIntra" : {"fullname" : "Flow Cytometry (Intracellular)", "shortname":"Flow Cyt (Intra)"}, "IP" : {"fullname" : "Immunoprecipitation", "shortname":"IP"} }, "product-promise": { "all": "all", "testedAndGuaranteed": "tested", "guaranteed": "expected", "predicted": "predicted", "notRecommended": "not-recommended" } }, "values": { "Human": { "WB-species-checked": "testedAndGuaranteed", "WB-species-dilution-info": "", "WB-species-notes": "<p></p>", "IHCP-species-checked": "notRecommended", "IHCP-species-dilution-info": "", "IHCP-species-notes": "<p></p>", "ICCIF-species-checked": "notRecommended", "ICCIF-species-dilution-info": "", "ICCIF-species-notes": "<p></p>", "FlowCytIntra-species-checked": "notRecommended", "FlowCytIntra-species-dilution-info": "", "FlowCytIntra-species-notes": "<p></p>", "IP-species-checked": "notRecommended", "IP-species-dilution-info": "", "IP-species-notes": "<p></p>" }, "Mouse": { "WB-species-checked": "testedAndGuaranteed", "WB-species-dilution-info": "", "WB-species-notes": "<p></p>", "IHCP-species-checked": "notRecommended", "IHCP-species-dilution-info": "", "IHCP-species-notes": "<p></p>", "ICCIF-species-checked": "notRecommended", "ICCIF-species-dilution-info": "", "ICCIF-species-notes": "<p></p>", "FlowCytIntra-species-checked": "notRecommended", "FlowCytIntra-species-dilution-info": "", "FlowCytIntra-species-notes": "<p></p>", "IP-species-checked": "notRecommended", "IP-species-dilution-info": "", "IP-species-notes": "<p></p>" }, "Transfected cell lysate - Human": { "WB-species-checked": "testedAndGuaranteed", "WB-species-dilution-info": "", "WB-species-notes": "<p></p>", "IHCP-species-checked": "notRecommended", "IHCP-species-dilution-info": "", "IHCP-species-notes": "", "ICCIF-species-checked": "notRecommended", "ICCIF-species-dilution-info": "", "ICCIF-species-notes": "", "FlowCytIntra-species-checked": "notRecommended", "FlowCytIntra-species-dilution-info": "", "FlowCytIntra-species-notes": "", "IP-species-checked": "notRecommended", "IP-species-dilution-info": "", "IP-species-notes": "" } } }

Product details

Patented technology
Our RabMAb® technology is a patented hybridoma-based technology for making rabbit monoclonal antibodies. For details on our patents, please refer to RabMAb® patents.

What are the advantages of a recombinant monoclonal antibody?
This product is a recombinant monoclonal antibody, which offers several advantages including:

  • - High batch-to-batch consistency and reproducibility
  • - Improved sensitivity and specificity
  • - Long-term security of supply
  • - Animal-free batch production

For more information, read more on recombinant antibodies.

Conjugation ready
Our carrier-free antibodies are typically supplied in a PBS-only formulation, purified and free of BSA, sodium azide and glycerol. This conjugation-ready format is designed for use with fluorochromes, metal isotopes, oligonucleotides, and enzymes, which makes them ideal for antibody labelling, functional and cell-based assays, flow-based assays (e.g. mass cytometry) and Multiplex Imaging applications.

Use our conjugation kits for antibody conjugates that are ready-to-use in as little as 20 minutes with 1 minute hands-on-time and 100% antibody recovery: available for fluorescent dyes, HRP, biotin and gold.

Compatibility
This product is compatible with the Maxpar® Antibody Labeling Kit from Fluidigm, without the need for antibody preparation. Maxpar® is a trademark of Fluidigm Canada Inc.

Properties and storage information

Form
Liquid
Purification technique
Affinity purification Protein A
Storage buffer
pH: 7.2 - 7.4 Constituents: 100% PBS
Shipped at conditions
Blue Ice
Appropriate short-term storage conditions
+4°C
Appropriate long-term storage conditions
+4°C

Supplementary information

This supplementary information is collated from multiple sources and compiled automatically.

Uridine-cytidine kinase 2 (UCK2) also known as CaCK2 is an enzyme responsible for catalyzing the phosphorylation of uridine and cytidine to their respective monophosphate forms. It has a molecular mass of about 30 kDa. Expressed in various tissues UCK2 is particularly active in tumor tissues where it plays a role in nucleoside metabolism. Its activity is important for the salvage pathways recycling pyrimidine bases and maintaining nucleotide pool balance in cells.
Biological function summary

UCK2 serves a critical role in nucleotide metabolism by converting nucleosides into nucleotides which are essential for nucleic acid synthesis and cellular proliferation. UCK2 is not part of a larger protein complex but interacts closely with other enzymes in the salvage pathway. The enzymatic activity of UCK2 allows cells to maintain efficient pyrimidine recycling which is important for cellular energy balance and DNA replication.

Pathways

Uridine-cytidine kinase 2 participates mainly in the pyrimidine salvage pathway. It is linked to the nucleotide biosynthesis pathway ensuring a supply of nucleotides independent of de novo synthesis. UCK2 interacts with related enzymes such as cytidine deaminase and uridine phosphorylase which also play key roles in these pathways. The proper function of this pathway supports DNA replication and repair processes which are essential to maintain cell division and function.

UCK2 is often associated with various cancers including pancreatic and colorectal cancer. Raised expression of UCK2 is observed in tumors linking it to cell proliferation. The enzyme's role in cancer development involves its interaction and overlap with proteins such as thymidylate synthase which are important for DNA synthesis and repair. Abnormal UCK2 activity or expression levels can contribute to tumor growth and resistance to certain chemotherapy drugs that target nucleotide metabolism.

Product protocols

For this product, it's our understanding that no specific protocols are required. You can visit:

Target data

Phosphorylates uridine and cytidine to uridine monophosphate and cytidine monophosphate (PubMed : 11306702, PubMed : 11494055). Does not phosphorylate deoxyribonucleosides or purine ribonucleosides (PubMed : 11306702). Can use ATP or GTP as a phosphate donor (PubMed : 11306702). Can also phosphorylate cytidine and uridine nucleoside analogs such as 6-azauridine, 5-fluorouridine, 4-thiouridine, 5-bromouridine, N(4)-acetylcytidine, N(4)-benzoylcytidine, 5-fluorocytidine, 2-thiocytidine, 5-methylcytidine, and N(4)-anisoylcytidine (PubMed : 11306702).
See full target information UCK2

Product promise

We are committed to supporting your work with high-quality reagents, and we're here for you every step of the way. In the unlikely event that one of our products does not perform as expected, you're protected by our Product Promise.
For full details, please see our Terms & Conditions

Please note: All products are 'FOR RESEARCH USE ONLY. NOT FOR USE IN DIAGNOSTIC OR THERAPEUTIC PROCEDURES'.

For licensing inquiries, please contact partnerships@abcam.com