JavaScript is disabled in your browser. Please enable JavaScript to view this website.
AB248168

Anti-UCKL1 antibody [EPR7384] - BSA and Azide free

Be the first to review this product! Submit a review

|

(1 Publication)

Rabbit Recombinant Monoclonal UCKL1 antibody. Carrier free. Suitable for IHC-P, WB and reacts with Human samples. Cited in 1 publication.

View Alternative Names

URKL1, F538, UCKL1, Uridine-cytidine kinase-like 1

3 Images
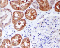
Immunohistochemistry (Formalin/PFA-fixed paraffin-embedded sections) - Anti-UCKL1 antibody [EPR7384] - BSA and Azide free (AB248168)
  • IHC-P

Unknown

Immunohistochemistry (Formalin/PFA-fixed paraffin-embedded sections) - Anti-UCKL1 antibody [EPR7384] - BSA and Azide free (AB248168)

This data was developed using ab126754, the same antibody clone in a different buffer formulation.

ab126754, at 1/100 dilution, staining UCKL1 in paraffin-embedded Human kidney tissue by Immunohistochemistry.

Perform heat mediated antigen retrieval before commencing with IHC staining protocol.

Western blot - Anti-UCKL1 antibody [EPR7384] - BSA and Azide free (AB248168)
  • WB

Unknown

Western blot - Anti-UCKL1 antibody [EPR7384] - BSA and Azide free (AB248168)

This data was developed using ab126754, the same antibody clone in a different buffer formulation.

All lanes:

Western blot - Anti-UCKL1 antibody [EPR7384] (<a href='/en-us/products/primary-antibodies/uckl1-antibody-epr7384-ab126754'>ab126754</a>) at 1/1000 dilution

Lane 1:

293T (Human embryonic kidney epithelial cell) cell lysate at 10 µg

Lane 2:

HeLa cell lysate at 10 µg

Secondary

All lanes:

HRP-conjugated goat anti-rabbit at 1/2000 dilution

Predicted band size: 61 kDa

false

OI-RD Scanning - Anti-UCKL1 antibody [EPR7384] - BSA and Azide free (AB248168)
  • OI-RD Scanning

Unknown

OI-RD Scanning - Anti-UCKL1 antibody [EPR7384] - BSA and Azide free (AB248168)

We have systematically measured KD (the equilibrium dissociation constant between the antibody and its antigen), of more than 840 recombinant antibodies to assess not only their individual KD values but also to see the average affinity of antibody. Based on the comparison with published literature values for mouse monoclonal antibodies, Recombinant antibodies appear to be on average 1-2 order of magnitude higher affinity.

Key facts

Host species

Rabbit

Clonality

Monoclonal

Clone number

EPR7384

Isotype

IgG

Carrier free

Yes

Reacts with

Human

Applications

IHC-P, WB

applications

Immunogen

The exact immunogen used to generate this antibody is proprietary information.

Reactivity data

{ "title": "Reactivity Data", "filters": { "stats": ["", "Species", "Dilution Info", "Notes"], "tabs": { "all-applications": {"fullname" : "All Applications", "shortname": "All Applications"}, "IHCP" : {"fullname" : "Immunohistochemistry (Formalin/PFA-fixed paraffin-embedded sections)", "shortname":"IHC-P"}, "IP" : {"fullname" : "Immunoprecipitation", "shortname":"IP"}, "FlowCyt" : {"fullname" : "Flow Cytometry", "shortname":"Flow Cyt"}, "WB" : {"fullname" : "Western blot", "shortname":"WB"}, "ICCIF" : {"fullname" : "Immunocytochemistry/ Immunofluorescence", "shortname":"ICC/IF"} }, "product-promise": { "all": "all", "testedAndGuaranteed": "tested", "guaranteed": "expected", "predicted": "predicted", "notRecommended": "not-recommended" } }, "values": { "Human": { "IHCP-species-checked": "testedAndGuaranteed", "IHCP-species-dilution-info": "", "IHCP-species-notes": "<p></p>", "IP-species-checked": "notRecommended", "IP-species-dilution-info": "", "IP-species-notes": "<p></p>", "FlowCyt-species-checked": "notRecommended", "FlowCyt-species-dilution-info": "", "FlowCyt-species-notes": "<p></p>", "WB-species-checked": "testedAndGuaranteed", "WB-species-dilution-info": "", "WB-species-notes": "<p></p>", "ICCIF-species-checked": "notRecommended", "ICCIF-species-dilution-info": "", "ICCIF-species-notes": "<p></p>" }, "Mouse": { "IHCP-species-checked": "predicted", "IHCP-species-dilution-info": "", "IHCP-species-notes": "", "IP-species-checked": "notRecommended", "IP-species-dilution-info": "", "IP-species-notes": "", "FlowCyt-species-checked": "notRecommended", "FlowCyt-species-dilution-info": "", "FlowCyt-species-notes": "", "WB-species-checked": "predicted", "WB-species-dilution-info": "", "WB-species-notes": "", "ICCIF-species-checked": "notRecommended", "ICCIF-species-dilution-info": "", "ICCIF-species-notes": "" } } }

Product details

ab248168 is the carrier-free version of ab126754.

Patented technology
Our RabMAb® technology is a patented hybridoma-based technology for making rabbit monoclonal antibodies. For details on our patents, please refer to RabMAb® patents.

What are the advantages of a recombinant monoclonal antibody?
This product is a recombinant monoclonal antibody, which offers several advantages including:

  • - High batch-to-batch consistency and reproducibility
  • - Improved sensitivity and specificity
  • - Long-term security of supply
  • - Animal-free batch production

For more information, read more on recombinant antibodies.

Species reactivity
Rat: We have preliminary internal testing data to indicate this antibody may not react with this species.
Please contact us for more information.

Conjugation ready
Our carrier-free antibodies are typically supplied in a PBS-only formulation, purified and free of BSA, sodium azide and glycerol. This conjugation-ready format is designed for use with fluorochromes, metal isotopes, oligonucleotides, and enzymes, which makes them ideal for antibody labelling, functional and cell-based assays, flow-based assays (e.g. mass cytometry) and Multiplex Imaging applications.

Use our conjugation kits for antibody conjugates that are ready-to-use in as little as 20 minutes with 1 minute hands-on-time and 100% antibody recovery: available for fluorescent dyes, HRP, biotin and gold.

Compatibility
This product is compatible with the Maxpar® Antibody Labeling Kit from Fluidigm, without the need for antibody preparation. Maxpar® is a trademark of Fluidigm Canada Inc.

Properties and storage information

Form
Liquid
Purification technique
Affinity purification Protein A
Storage buffer
pH: 7.2 - 7.4 Constituents: PBS
Shipped at conditions
Blue Ice
Appropriate short-term storage conditions
+4°C
Appropriate long-term storage conditions
+4°C
Storage information
Do Not Freeze

Supplementary information

This supplementary information is collated from multiple sources and compiled automatically.

Uridine-cytidine kinase-like 1 (UCKL1) also known as FLJ10540 is an enzyme with a molecular mass of approximately 38 kDa. It catalyzes the phosphorylation of uridine and cytidine to their corresponding monophosphate forms. UCKL1 localizes in the cytoplasm and nucleus of cells and expresses highly in testis tissues but also appears in liver pancreas and certain tumor cells. Its ability to phosphorylate nucleosides makes it an important player in nucleotide metabolism.
Biological function summary

UCKL1 plays a significant role in cellular nucleotide synthesis. It supports the salvage pathways which provide an efficient route for nucleotide production. This protein is not part of a larger complex but interacts with other nucleotide synthesis enzymes to maintain adequate levels of nucleotides in cells. Through these interactions it helps regulate cellular proliferation by ensuring adequate nucleotide supply for DNA and RNA synthesis.

Pathways

UCKL1 is involved in nucleotide metabolism with particular importance in the pyrimidine salvage pathway. It works closely with other kinases and enzymes like nucleoside diphosphate kinases which further phosphorylate the monophosphates. This salvage pathway complements the de novo synthesis of nucleotides ensuring rapid cell proliferation required during cell growth and repair.

UCKL1 has associations with cancer development and progression particularly in hepatocellular carcinoma. Its overexpression links to increased cellular proliferation and tumor progression. UCKL1 may intersect with proteins like p53 influencing cancer cell survival pathways. Additionally high levels of UCKL1 correlate with autoimmune disorders although the precise mechanism is not fully understood. The binding interactions of UCKL1 with pathological proteins require further research to clarify these disease connections.

Product protocols

For this product, it's our understanding that no specific protocols are required. You can visit:

Target data

May contribute to UTP accumulation needed for blast transformation and proliferation.
See full target information UCKL1

Publications (1)

Recent publications for all applications. Explore the full list and refine your search

Nature communications 13:5945 PubMed36209205

2022

Hepatocyte phosphatase DUSP22 mitigates NASH-HCC progression by targeting FAK.

Applications

Unspecified application

Species

Unspecified reactive species

Chenxu Ge,Jun Tan,Xianling Dai,Qin Kuang,Shaoyu Zhong,Lili Lai,Chao Yi,Yan Sun,Jing Luo,Chufeng Zhang,Liancai Zhu,Bochu Wang,Minxuan Xu
View all publications

Product promise

We are committed to supporting your work with high-quality reagents, and we're here for you every step of the way. In the unlikely event that one of our products does not perform as expected, you're protected by our Product Promise.
For full details, please see our Terms & Conditions

Please note: All products are 'FOR RESEARCH USE ONLY. NOT FOR USE IN DIAGNOSTIC OR THERAPEUTIC PROCEDURES'.

For licensing inquiries, please contact partnerships@abcam.com