JavaScript is disabled in your browser. Please enable JavaScript to view this website.
AB231050

Anti-UCN2/SRP antibody

Be the first to review this product! Submit a review

|

(0 Publication)

Rabbit Polyclonal UCN2/SRP antibody. Suitable for WB, IHC-P and reacts with Rat, Pig, Human, Cow samples. Immunogen corresponding to Recombinant Fragment Protein within Human UCN2 aa 1 to C-terminus.

View Alternative Names

SRP, URP, UCN2, Urocortin-2, Stresscopin-related peptide, Urocortin II, Urocortin-related peptide, Ucn II

6 Images
Western blot - Anti-UCN2/SRP antibody (AB231050)
  • WB

Supplier Data

Western blot - Anti-UCN2/SRP antibody (AB231050)

All lanes:

Western blot - Anti-UCN2/SRP antibody (ab231050) at 2 µg/mL

All lanes:

Human urine

Predicted band size: 12 kDa

false

Western blot - Anti-UCN2/SRP antibody (AB231050)
  • WB

Supplier Data

Western blot - Anti-UCN2/SRP antibody (AB231050)

All lanes:

Western blot - Anti-UCN2/SRP antibody (ab231050) at 2 µg/mL

All lanes:

Rat adrenal gland lysate

Predicted band size: 12 kDa,28 kDa,33 kDa,35 kDa

false

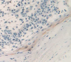
Immunohistochemistry (Formalin/PFA-fixed paraffin-embedded sections) - Anti-UCN2/SRP antibody (AB231050)
  • IHC-P

Supplier Data

Immunohistochemistry (Formalin/PFA-fixed paraffin-embedded sections) - Anti-UCN2/SRP antibody (AB231050)

Formalin-fixed, paraffin-embedded human skin cancer tissue stained for UCN2/SRP using ab231050 at 20 μg/ml in immunohistochemical analysis.

Western blot - Anti-UCN2/SRP antibody (AB231050)
  • WB

Supplier Data

Western blot - Anti-UCN2/SRP antibody (AB231050)

All lanes:

Western blot - Anti-UCN2/SRP antibody (ab231050) at 2 µg/mL

All lanes:

Recombinant human UCN2/SRP protein

Predicted band size: 12 kDa

false

Western blot - Anti-UCN2/SRP antibody (AB231050)
  • WB

Supplier Data

Western blot - Anti-UCN2/SRP antibody (AB231050)

All lanes:

Western blot - Anti-UCN2/SRP antibody (ab231050) at 2 µg/mL

All lanes:

Pig adrenal gland lysate

Predicted band size: 12 kDa

false

Western blot - Anti-UCN2/SRP antibody (AB231050)
  • WB

Supplier Data

Western blot - Anti-UCN2/SRP antibody (AB231050)

All lanes:

Western blot - Anti-UCN2/SRP antibody (ab231050) at 2 µg/mL

All lanes:

Cow kidney lysate

Predicted band size: 12 kDa

false

Key facts

Host species

Rabbit

Clonality

Polyclonal

Isotype

IgG

Carrier free

No

Reacts with

Rat, Cow, Human, Pig

Applications

WB, IHC-P

applications

Immunogen

Recombinant Fragment Protein within Human UCN2 aa 1 to C-terminus. The exact immunogen used to generate this antibody is proprietary information.

Q96RP3

Reactivity data

{ "title": "Reactivity Data", "filters": { "stats": ["", "Species", "Dilution Info", "Notes"], "tabs": { "all-applications": {"fullname" : "All Applications", "shortname": "All Applications"}, "WB" : {"fullname" : "Western blot", "shortname":"WB"}, "IHCP" : {"fullname" : "Immunohistochemistry (Formalin/PFA-fixed paraffin-embedded sections)", "shortname":"IHC-P"} }, "product-promise": { "all": "all", "testedAndGuaranteed": "tested", "guaranteed": "expected", "predicted": "predicted", "notRecommended": "not-recommended" } }, "values": { "Human": { "WB-species-checked": "testedAndGuaranteed", "WB-species-dilution-info": "0.2-2 µg/mL", "WB-species-notes": "<p></p>", "IHCP-species-checked": "testedAndGuaranteed", "IHCP-species-dilution-info": "5-20 µg/mL", "IHCP-species-notes": "<p></p>" }, "Rat": { "WB-species-checked": "testedAndGuaranteed", "WB-species-dilution-info": "0.2-2 µg/mL", "WB-species-notes": "<p></p>", "IHCP-species-checked": "guaranteed", "IHCP-species-dilution-info": "", "IHCP-species-notes": "" }, "Cow": { "WB-species-checked": "testedAndGuaranteed", "WB-species-dilution-info": "0.2-2 µg/mL", "WB-species-notes": "<p></p>", "IHCP-species-checked": "guaranteed", "IHCP-species-dilution-info": "", "IHCP-species-notes": "" }, "Pig": { "WB-species-checked": "testedAndGuaranteed", "WB-species-dilution-info": "0.2-2 µg/mL", "WB-species-notes": "<p></p>", "IHCP-species-checked": "guaranteed", "IHCP-species-dilution-info": "", "IHCP-species-notes": "" } } }

Properties and storage information

Form
Liquid
Purification technique
Affinity purification Immunogen
Purification notes
ab231050 was purified by antigen-specific affinity chromatography followed by Protein A affinity chromatography.
Storage buffer
pH: 7.4 Preservative: 0.011% Proclin 300 Constituents: 55.77% Glycerol (glycerin, glycerine), 44.219% PBS
Shipped at conditions
Blue Ice
Appropriate short-term storage duration
1-2 weeks
Appropriate short-term storage conditions
+4°C
Appropriate long-term storage conditions
-20°C
Aliquoting information
Upon delivery aliquot
Storage information
Avoid freeze / thaw cycle

Supplementary information

This supplementary information is collated from multiple sources and compiled automatically.

UCN2 also known as urocortin 2 or stresscopin-related peptide (SRP) is a peptide hormone with a molecular weight of approximately 5 kilodaltons. This protein is abundant in several tissues including skeletal muscle and the central nervous system. It acts through the corticotropin-releasing factor receptor 2 (CRF2R) which is where UCN2/SRP exerts its effects. Due to its expression pattern UCN2/SRP holds significance in coordinating responses to stress and energy regulation.
Biological function summary

UCN2/SRP plays an important role in the modulation of cardiovascular function and energy homeostasis. It is part of a molecular complex with CRF2R initiating signaling that influences heart rate and blood pressure regulation. UCN2/SRP impacts thermogenic regulation and glucose metabolism indicating its role in energy balance. By interacting with CRF2R UCN2 may modulate anxiety-related behavior and help to mitigate stress responses due to changes in physiological states.

Pathways

UCN2/SRP participates in the stress-response pathway and the metabolic regulation pathway. Through the stress-response pathway it helps mediate the body's adaptive response to physical and psychological stress impacting the hypothalamic-pituitary-adrenal axis. In metabolic regulation UCN2/SRP works alongside proteins like corticotropin-releasing hormone (CRH) to control glucose levels and lipolysis. These pathways highlight the diverse influence of UCN2/SRP in managing bodily responses to environmental changes.

UCN2/SRP has been linked to conditions such as heart failure and metabolic syndrome. Increased expression of UCN2/SRP may provide protective effects in heart failure by enhancing cardiac output and reducing vascular resistance. In metabolic syndrome UCN2/SRP is associated with improved insulin sensitivity and lipid profiles working in part through its interaction with CRH. Understanding these connections helps in developing therapeutic strategies that target UCN2/SRP for the treatment of such disorders using techniques like 'anti-SRP antibodies' and their applications in clinical studies.

Product protocols

For this product, it's our understanding that no specific protocols are required. You can visit:

Target data

Suppresses food intake, delays gastric emptying and decreases heat-induced edema. Might represent an endogenous ligand for maintaining homeostasis after stress.
See full target information UCN2

Product promise

We are committed to supporting your work with high-quality reagents, and we're here for you every step of the way. In the unlikely event that one of our products does not perform as expected, you're protected by our Product Promise.
For full details, please see our Terms & Conditions

Please note: All products are 'FOR RESEARCH USE ONLY. NOT FOR USE IN DIAGNOSTIC OR THERAPEUTIC PROCEDURES'.

For licensing inquiries, please contact partnerships@abcam.com