JavaScript is disabled in your browser. Please enable JavaScript to view this website.
AB155117

Anti-UCP1 antibody

Be the first to review this product! Submit a review

|

(41 Publications)

Anti-UCP1 antibody (ab155117) is a rabbit polyclonal antibody detecting UCP1 in Western Blot, IHC-P. Suitable for Human, Mouse.

- Over 40 publications

View Alternative Names

SLC25A7, UCP, UCP1, Mitochondrial brown fat uncoupling protein 1, UCP 1, Solute carrier family 25 member 7, Thermogenin

2 Images
Western blot - Anti-UCP1 antibody (AB155117)
  • WB

Unknown

Western blot - Anti-UCP1 antibody (AB155117)

10% SDS PAGE

All lanes:

Western blot - Anti-UCP1 antibody (ab155117) at 1/1000 dilution

All lanes:

Mouse interscapular brown adipose tissue whole cell lysate at 2.5 µg

Predicted band size: 33 kDa

false

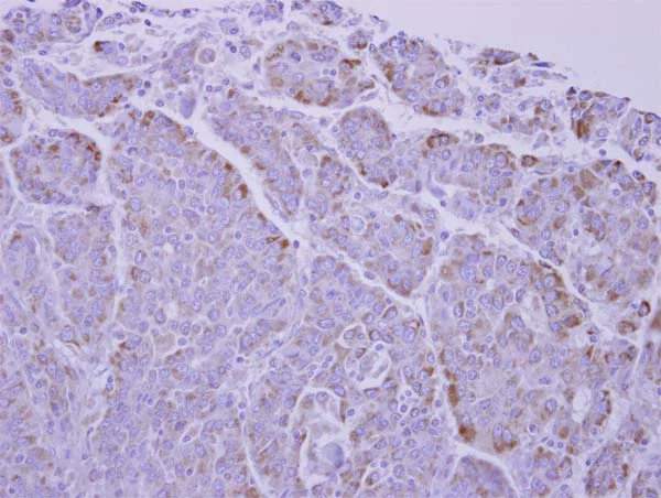
Immunohistochemistry (Formalin/PFA-fixed paraffin-embedded sections) - Anti-UCP1 antibody (AB155117)
  • IHC-P

Unknown

Immunohistochemistry (Formalin/PFA-fixed paraffin-embedded sections) - Anti-UCP1 antibody (AB155117)

Immunohistochemical analysis of paraffin-embedded Human colon carcinoma tissue, labeling UCP1 with ab155117 at 1/250 dilution.

Key facts

Host species

Rabbit

Clonality

Polyclonal

Isotype

IgG

Carrier free

No

Reacts with

Mouse, Human

Applications

WB, IHC-P

applications

Immunogen

Recombinant Fragment Protein within Human UCP1 aa 1-300. The exact immunogen used to generate this antibody is proprietary information.

P25874

Reactivity data

{ "title": "Reactivity Data", "filters": { "stats": ["", "Species", "Dilution Info", "Notes"], "tabs": { "all-applications": {"fullname" : "All Applications", "shortname": "All Applications"}, "IHCP" : {"fullname" : "Immunohistochemistry (Formalin/PFA-fixed paraffin-embedded sections)", "shortname":"IHC-P"}, "WB" : {"fullname" : "Western blot", "shortname":"WB"} }, "product-promise": { "all": "all", "testedAndGuaranteed": "tested", "guaranteed": "expected", "predicted": "predicted", "notRecommended": "not-recommended" } }, "values": { "Human": { "IHCP-species-checked": "testedAndGuaranteed", "IHCP-species-dilution-info": "1/100 - 1/1000", "IHCP-species-notes": "<p>Alternative antigen retrieval buffer: Tris-EDTA buffer pH 8.</p> Perform heat-mediated antigen retrieval with citrate buffer pH 6 before commencing with IHC staining protocol.", "WB-species-checked": "guaranteed", "WB-species-dilution-info": "", "WB-species-notes": "" }, "Mouse": { "IHCP-species-checked": "guaranteed", "IHCP-species-dilution-info": "", "IHCP-species-notes": "", "WB-species-checked": "testedAndGuaranteed", "WB-species-dilution-info": "1/500 - 1/3000", "WB-species-notes": "<p></p>" } } }

Have you thought about this alternative?

AB234430

Anti-UCP1 antibody [EPR23004-34]

0
0 Reviews
View product

We’re constantly upgrading our range to offer the highest quality products. We have selected this alternative product for your review because it gives improved performance, is easier and more convenient to use, or is available faster.

Product details

What is this antibody validated in?
Anti-UCP1 antibody (ab155117) is a rabbit polyclonal antibody and is validated for use in Western Blot (WB), Immunohistochemistry (IHC-P) in Human, Mouse samples.

What is the molecular weight of UCP1?
Anti-UCP1 (ab155117) specifically detects a band for UCP1 (UniProt: P25874) at a molecular weight of 33kDa.

Trusted by the scientific community
Anti-UCP1 (ab155117) was first used in a scientific publication in 2013 and has been cited over 40 times in peer-reviewed journals.

Properties and storage information

Form
Liquid
Purification technique
Affinity purification Immunogen
Storage buffer
pH: 7 Preservative: 0.025% Proclin 300 Constituents: 79% PBS, 20% Glycerol (glycerin, glycerine)
Shipped at conditions
Blue Ice
Appropriate short-term storage conditions
+4°C
Appropriate long-term storage conditions
-20°C
Aliquoting information
Upon delivery aliquot
Storage information
Avoid freeze / thaw cycle

Supplementary information

This supplementary information is collated from multiple sources and compiled automatically.

Uncoupling Protein 1 (UCP1) also known as thermogenin is an important protein found in the mitochondria of brown adipose tissue (BAT). It has a molecular mass of approximately 33 kDa. UCP1 functions as a mitochondrial carrier specifically involved in the process of proton transport across the inner mitochondrial membrane. It leads to the dissipation of the proton gradient producing heat instead of ATP. This process is called non-shivering thermogenesis. UCP1 is mainly expressed in brown adipose tissue an area important for heat production in mammals.
Biological function summary

UCP1 plays an essential role in energy metabolism by activating thermogenesis in brown adipocytes. It does not form a larger multi-protein complex but acts as an independent protein facilitating a significant amount of heat production. By uncoupling oxidative phosphorylation UCP1 controls energy expenditure and is central to maintaining body temperature in cold environments. Its function regulates metabolic rate and prevents excess fat accumulation connecting with mechanisms involved in energy balance.

Pathways

UCP1 is an integral component of the metabolic pathway for thermogenesis. The PPAR signaling pathway regulates its expression emphasizing its role in energy homeostasis. Additionally UCP1 interacts with proteins like PGC-1α an important regulator of energy metabolism and mitochondrial biogenesis. This interaction highlights UCP1's involvement in mitochondrial activity and adaptation to changes in temperature or diet linking it to important metabolic functions.

UCP1 has been connected with obesity and metabolic syndrome. Its dysregulation can lead to impaired thermogenic responses and reduced metabolic rate contributing to metabolic disorders. UCP1 is related to leptin a protein that regulates appetite and energy balance which is impacted in cases of obesity. Understanding this relationship helps in exploring potential therapeutic targets for tackling obesity and related metabolic diseases by modulating UCP1 activity.

Product protocols

For this product, it's our understanding that no specific protocols are required. You can visit:

Target data

Mitochondrial protein responsible for thermogenic respiration, a specialized capacity of brown adipose tissue and beige fat that participates in non-shivering adaptive thermogenesis to temperature and diet variations and more generally to the regulation of energy balance (By similarity). Functions as a long-chain fatty acid/LCFA and proton symporter, simultaneously transporting one LCFA and one proton through the inner mitochondrial membrane (PubMed : 24196960, PubMed : 28781081). However, LCFAs remaining associated with the transporter via their hydrophobic tails, it results in an apparent transport of protons activated by LCFAs. Thereby, dissipates the mitochondrial proton gradient and converts the energy of substrate oxydation into heat instead of ATP. Regulates the production of reactive oxygen species/ROS by mitochondria (By similarity).
See full target information UCP1

Publications (41)

Recent publications for all applications. Explore the full list and refine your search

Nutrients 15: PubMed37299553

2023

Pecans and Its Polyphenols Prevent Obesity, Hepatic Steatosis and Diabetes by Reducing Dysbiosis, Inflammation, and Increasing Energy Expenditure in Mice Fed a High-Fat Diet.

Applications

Unspecified application

Species

Unspecified reactive species

Claudia Delgadillo-Puga,Ivan Torre-Villalvazo,Lilia G Noriega,Leonardo A Rodríguez-López,Gabriela Alemán,Erik A Torre-Anaya,Yonatan Y Cariño-Cervantes,Berenice Palacios-Gonzalez,Janette Furuzawa-Carballeda,Armando R Tovar,Luis Cisneros-Zevallos

International journal of molecular sciences 24: PubMed37175691

2023

Pods or a Polyphenolic Extract Derived from Them Exert Immunomodulatory, Metabolic, Renoprotective, and Prebiotic Effects in Mice Fed a High-Fat Diet.

Applications

Unspecified application

Species

Unspecified reactive species

Claudia Delgadillo-Puga,Dulce R Sánchez-Castillo,Yonatan Y Cariño-Cervantes,Ivan Torre-Villalvazo,Claudia Tovar-Palacio,Sarai Vásquez-Reyes,Janette Furuzawa-Carballeda,Joshua Ayork Acevedo-Carabantes,María Del Rayo Camacho-Corona,Jorge Luis Guzmán-Mar,Luis Cisneros-Zevallos,Armando R Tovar,Rosa Rebollar-Vega,Georgina Hernández-Montes,Alfredo Ulloa-Aguirre,Berenice Palacios-Gonzalez,Lilia G Noriega

International journal of molecular sciences 24: PubMed36835337

2023

Cardamom ( (L.) Maton) Seeds Intake Increases Energy Expenditure and Reduces Fat Mass in Mice by Modulating Neural Circuits That Regulate Adipose Tissue Lipolysis and Mitochondrial Oxidative Metabolism in Liver and Skeletal Muscle.

Applications

Unspecified application

Species

Unspecified reactive species

Claudia Delgadillo-Puga,Ivan Torre-Villalvazo,Yonatan Y Cariño-Cervantes,Cinthia García-Luna,Paulina Soberanes-Chávez,Patricia de Gortari,Lilia G Noriega,Claudia J Bautista,Luis Cisneros-Zevallos

Antioxidants (Basel, Switzerland) 12: PubMed36829970

2023

Inhibition of Mitochondrial Uncoupling Proteins Arrests Human Spermatozoa Motility without Compromising Viability.

Applications

Unspecified application

Species

Unspecified reactive species

David F Carrageta,Laís Freire-Brito,Bárbara Guerra-Carvalho,João C Ribeiro,Bruno S Monteiro,Alberto Barros,Pedro F Oliveira,Mariana P Monteiro,Marco G Alves

Frontiers in physiology 13:950619 PubMed36051914

2022

Overexpression of Pregnancy Zone Protein in Fat Antagonizes Diet-Induced Obesity Under an Intermittent Fasting Regime.

Applications

Unspecified application

Species

Unspecified reactive species

Xiaoxiao Jiang,Jun Lin,Meng Dong,Xiaomeng Liu,Yuanyuan Huang,Hanlin Zhang,Rongcai Ye,Huiqiao Zhou,Chunlong Yan,Shouli Yuan,Li Chen,Rui Jiang,Kexin Zheng,Wanzhu Jin

Metabolites 12: PubMed36005620

2022

Drug-Initiated Activity Metabolomics Identifies Myristoylglycine as a Potent Endogenous Metabolite for Human Brown Fat Differentiation.

Applications

Unspecified application

Species

Unspecified reactive species

Carlos Guijas,Andrew To,J Rafael Montenegro-Burke,Xavier Domingo-Almenara,Zaida Alipio-Gloria,Bernard P Kok,Enrique Saez,Nicole H Alvarez,Kristen A Johnson,Gary Siuzdak

Nature communications 13:3301 PubMed35676256

2022

Targeting parvalbumin promotes M2 macrophage polarization and energy expenditure in mice.

Applications

Unspecified application

Species

Unspecified reactive species

Shaojian Lin,Anke Zhang,Ling Yuan,Yufan Wang,Chuan Zhang,Junkun Jiang,Houshi Xu,Huiwen Yuan,Hui Yao,Qianying Zhang,Yong Zhang,Meiqing Lou,Ping Wang,Zhen-Ning Zhang,Bing Luan

International journal of biological sciences 18:2949-2961 PubMed35541900

2022

Mitochondrial Protein UCP1 Inhibits the Malignant Behaviors of Triple-negative Breast Cancer through Activation of Mitophagy and Pyroptosis.

Applications

Unspecified application

Species

Unspecified reactive species

Jing Xia,Changbin Chu,Wanqing Li,Hong Chen,Wenhua Xie,Rui Cheng,Kai Hu,Xi Li

Nature communications 13:1074 PubMed35228549

2022

SIRT1 selectively exerts the metabolic protective effects of hepatocyte nicotinamide phosphoribosyltransferase.

Applications

Unspecified application

Species

Unspecified reactive species

Cassandra B Higgins,Allyson L Mayer,Yiming Zhang,Michael Franczyk,Samuel Ballentine,Jun Yoshino,Brian J DeBosch

Advanced science (Weinheim, Baden-Wurttemberg, Germany) 8:e2101991 PubMed34514733

2021

Hepatokine Pregnancy Zone Protein Governs the Diet-Induced Thermogenesis Through Activating Brown Adipose Tissue.

Applications

Unspecified application

Species

Unspecified reactive species

Jun Lin,Xiaoxiao Jiang,Meng Dong,Xiaomeng Liu,Qiwei Shen,Yuanyuan Huang,Hanlin Zhang,Rongcai Ye,Huiqiao Zhou,Chunlong Yan,Shouli Yuan,Xiangnan Wu,Li Chen,Yanfang Wang,Min He,Yi Tao,Zhaoyun Zhang,Wanzhu Jin
View all publications

Product promise

We are committed to supporting your work with high-quality reagents, and we're here for you every step of the way. In the unlikely event that one of our products does not perform as expected, you're protected by our Product Promise.
For full details, please see our Terms & Conditions

Associated Products

Select an associated product type
Alternative Product
Primary Antibodies

AB23841

Anti-UCP1 antibody

primary-antibodies

ucp1-antibody-ab23841

4

(9 reviews)

Alternative Product
Primary Antibodies

AB225489

Alexa Fluor® 647 Anti-UCP1 antibody [EPR20381]

primary-antibodies

alexa-fluor-647-ucp1-antibody-epr20381-ab225489

0

(0 reviews)

Alternative Product
Primary Antibodies

AB209483

Anti-UCP1 antibody [EPR20381]

primary-antibodies

ucp1-antibody-epr20381-ab209483

5

(4 reviews)

Alternative Product
Primary Antibodies

AB225490

Alexa Fluor® 488 Anti-UCP1 antibody [EPR20381]

primary-antibodies

alexa-fluor-488-ucp1-antibody-epr20381-ab225490

0

(0 reviews)

Alternative Product
Primary Antibodies

AB10983

Anti-UCP1 antibody

primary-antibodies

ucp1-antibody-ab10983

4

(23 reviews)

Alternative Product
Primary Antibodies

AB222397

Anti-UCP1 antibody [EPR20381] - BSA and Azide free

primary-antibodies

ucp1-antibody-epr20381-bsa-and-azide-free-ab222397

0

(0 reviews)

Please note: All products are 'FOR RESEARCH USE ONLY. NOT FOR USE IN DIAGNOSTIC OR THERAPEUTIC PROCEDURES'.

For licensing inquiries, please contact partnerships@abcam.com