JavaScript is disabled in your browser. Please enable JavaScript to view this website.
AB189252

Anti-UFC1 antibody [EPR15014-102]

5

(1 Review)

|

(7 Publications)

Rabbit Recombinant Monoclonal UFC1 antibody. Suitable for IP, WB, IHC-P and reacts with Human samples. Cited in 7 publications.

View Alternative Names

CGI-126, HSPC155, UFC1, Ubiquitin-fold modifier-conjugating enzyme 1, Ufm1-conjugating enzyme 1

8 Images
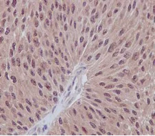
Immunohistochemistry (Formalin/PFA-fixed paraffin-embedded sections) - Anti-UFC1 antibody [EPR15014-102] (AB189252)
  • IHC-P

Supplier Data

Immunohistochemistry (Formalin/PFA-fixed paraffin-embedded sections) - Anti-UFC1 antibody [EPR15014-102] (AB189252)

Immunohistochemical analysis of formalin-fixed, paraffin-embedded Human colon tissue labeling UFC1 with ab189252 at 1/100 dilution followed by pre-diluted HRP Polymer for Rabbit IgG secondary antibody and counter-stained with Hematoxylin.

Perform heat mediated antigen retrieval with Tris/EDTA buffer pH 9.0 before commencing with IHC staining protocol.

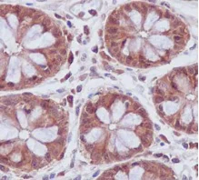
Immunohistochemistry (Formalin/PFA-fixed paraffin-embedded sections) - Anti-UFC1 antibody [EPR15014-102] (AB189252)
  • IHC-P

Supplier Data

Immunohistochemistry (Formalin/PFA-fixed paraffin-embedded sections) - Anti-UFC1 antibody [EPR15014-102] (AB189252)

Immunohistochemical analysis of formalin-fixed, paraffin-embedded Human transitional cell carcinoma of bladder tissue labeling UFC1 with ab189252 at 1/100 dilution followed by pre-diluted HRP Polymer for Rabbit IgG secondary antibody and counter-stained with Hematoxylin.

Perform heat mediated antigen retrieval with Tris/EDTA buffer pH 9.0 before commencing with IHC staining protocol.

Immunoprecipitation - Anti-UFC1 antibody [EPR15014-102] (AB189252)
  • IP

Supplier Data

Immunoprecipitation - Anti-UFC1 antibody [EPR15014-102] (AB189252)

Western blot analysis of immunoprecipitation pellet from MCF7 cell lysate immunoprecipitated using ab189252 at 1/50 dilution (lane 1) or PBS control (lane 2).
Secondary : Anti-Rabbit IgG (HRP), specific to the non-reduced form of IgG at 1/1500 dilution.

All lanes:

Immunoprecipitation - Anti-UFC1 antibody [EPR15014-102] (ab189252)

Predicted band size: 19 kDa

false

Western blot - Anti-UFC1 antibody [EPR15014-102] (AB189252)
  • WB

Lab

Western blot - Anti-UFC1 antibody [EPR15014-102] (AB189252)

Lanes 1- 2 : Merged signal (red and green). Green - ab189252 observed at 20 kDa. Red - Anti-GAPDH antibody [6C5] - Loading Control (ab8245) observed at 37 kDa.

ab189252 was shown to react with UFC1 in wild-type HEK-293T cells in western blot. Loss of signal was observed when knockout cell line ab266814 (knockout cell lysate ab257781) was used. Wild-type HEK-293T and UFC1 HEK-293T KO cell lysates were subjected to SDS-PAGE. Membrane was blocked for 1 hour at room temperature in 0.1% TBST with 3% non-fat dried milk. ab189252 and Anti-GAPDH antibody [6C5] - Loading Control (ab8245) overnight at 4°C at a 1 in 1000 dilution and a 1 in 20000 dilution respectively. Blots were developed with Goat anti-Rabbit IgG H&L (IRDye®800CW) preadsorbed (ab216773) and Goat anti-Mouse IgG H&L (IRDye®680RD) preadsorbed (ab216776) secondary antibodies at 1 in 20000 dilution for 1 hour at room temperature before imaging.

All lanes:

Western blot - Anti-UFC1 antibody [EPR15014-102] (ab189252) at 1/1000 dilution

Lane 1:

Wild-type HEK-293T cell lysate at 20 µg

Lane 2:

UFC1 knockout HEK-293T cell lysate at 20 µg

Lane 2:

Western blot - Human UFC1 knockout HEK-293T cell line (<a href='/en-us/products/cell-lines/human-ufc1-knockout-hek-293t-cell-line-ab266814'>ab266814</a>)

Predicted band size: 19 kDa

Observed band size: 20 kDa

false

Western blot - Anti-UFC1 antibody [EPR15014-102] (AB189252)
  • WB

Lab

Western blot - Anti-UFC1 antibody [EPR15014-102] (AB189252)

Lanes 1 - 4 : Merged signal (red and green). Green - ab189252 observed at 20 kDa. Red - loading control, ab8245 (Mouse anti-GAPDH antibody [6C5]) observed at 37kDa.

ab189252 was shown to react with UFC1 in wild-type HAP1 cells in western blot. Loss of signal was observed when UFC1 knockout sample was used. Wild-type HAP1 and UFC1 knockout cell lysates were subjected to SDS-PAGE. Membranes were blocked in 3% milk in TBS-T (0.1% Tween®) before incubation with ab189252 and ab8245 (Mouse anti-GAPDH antibody [6C5]) overnight at 4°C at a 1 in 10000 dilution and a 1 in 20000 dilution respectively. Blots were incubated with Goat anti-Rabbit IgG H&L (IRDye® 800CW) preabsorbed (ab216773) and Goat anti-Mouse IgG H&L (IRDye® 680RD) preabsorbed (ab216776) secondary antibodies at 1 in 20000 dilution for 1 hour at room temperature before imaging.

All lanes:

Western blot - Anti-UFC1 antibody [EPR15014-102] (ab189252) at 1/10000 dilution

Lane 1:

Wild-type HAP1 cell lysate at 20 µg

Lane 2:

UFC1 knockout HAP1 cell lysate at 20 µg

Lane 3:

MCF7 cell lysate at 20 µg

Lane 4:

A549 cell lysate at 20 µg

Predicted band size: 19 kDa

Observed band size: 20 kDa

false

Western blot - Anti-UFC1 antibody [EPR15014-102] (AB189252)
  • WB

Supplier Data

Western blot - Anti-UFC1 antibody [EPR15014-102] (AB189252)

All lanes:

Western blot - Anti-UFC1 antibody [EPR15014-102] (ab189252) at 1/20000 dilution

Lane 1:

Human fetal liver lysate at 20 µg

Lane 2:

U87-MG cell lysate at 20 µg

Lane 3:

MCF7 cell lysate at 20 µg

Lane 4:

A549 cell lysate at 20 µg

Secondary

All lanes:

Goat Anti-Rabbit IgG, (H+L), Peroxidase conjugated at 1/1000 dilution

Predicted band size: 19 kDa

false

Western blot - Anti-UFC1 antibody [EPR15014-102] (AB189252)
  • WB

Supplier Data

Western blot - Anti-UFC1 antibody [EPR15014-102] (AB189252)

All lanes:

Western blot - Anti-UFC1 antibody [EPR15014-102] (ab189252) at 1/5000 dilution

Lane 1:

RAW 264.7 cell lysate at 10 µg

Lane 2:

NIH 3T3 cell lysate at 10 µg

Secondary

All lanes:

Goat Anti-Rabbit IgG, (H+L), Peroxidase conjugated at 1/1000 dilution

false

Western blot - Anti-UFC1 antibody [EPR15014-102] (AB189252)
  • WB

CiteAb

Western blot - Anti-UFC1 antibody [EPR15014-102] (AB189252)

UFC1 western blot using anti-UFC1 antibody [EPR15014-102] ab189252. Publication image and figure legend from Qin, B., Yu, J., et al., 2019, Nat Commun, PubMed 30886146.

ab189252 was used in this publication in western blot. This may not be the same as the application(s) guaranteed by Abcam. For a full list of applications guaranteed by Abcam for ab189252 please see the product overview.

UFL1 monoufmylates histone H4 and promotes ATM activation. a Selected proteins identified by mass spectrometry from irradiated 293T cell expressing Flag-His vector or Flag-His-UFM1. N = 1 sample in each group was analyzed. The full list of identified proteins is provided in Supplementary Data 1. Among histone proteins, only H4 is enriched in the Flag-His-UFM1 purification (9 unique/20 total peptides) compared to the Flag-His purification (6 unique/7 total peptides), suggesting that H4 might be ufmylated. b Flag-His-ufmylated proteins were purified from 293T cells before and after IR (2 Gy) after purification with nickel beads and anti-Flag agarose. The immunoprecipitates were detected with indicated antibodies. c Flag-His-ufmylated H4 was purified from control and UFL1 knockdown cells with or without 2 Gy IR and blotted with indicated antibodies. d In vitro ufmylation assay. Purified UBA5, UFC1, UFL1, UFM1, and H4 proteins were incubated together in the presence of ATP and MgCl2 at 30 °C for 90 min. The reaction products were probed with indicated antibodies. e Wildtype (WT) histone H4 and 11 different single lysine (K) to arginine (R) mutants were transfected into U2OS cells. Flag and His tandem purification was performed and H4 ufmylation was analyzed. f Constructs expressing WT or K31R H4 were transfected into U2OS tet-on UFL1 shRNA expressing cells, and the cells were treated with doxycycline as indicated. Thirty minutes after 2 Gy IR, the cells were harvested and blotted with indicated antibodies. g Colony formation of U2OS cells expressing WT H4 or H4K31R following IR. The data presented are mean ± s.e.m. for n = 3 independent experiments. Statistical significance was calculated using two-way ANOVA. *p < 0.05, **p < 0.01. h U2OS cells stably expressing UFL1 Tet-on shRNA were treated with doxycycline (Dox) and irradiated with 2 Gy IR. Thirty minute later, cells were harvested. Half of the cells were lysed. Chromatin fractions were isolated from other half of cells. The samples were blotted with indicated antibodies. Source data are provided as a Source Data file

false

  • Carrier free

    Anti-UFC1 antibody [EPR15014-102] - BSA and Azide free

Key facts

Host species

Rabbit

Clonality

Monoclonal

Clone number

EPR15014-102

Isotype

IgG

Carrier free

No

Reacts with

Human

Applications

IHC-P, IP, WB

applications

Immunogen

The exact immunogen used to generate this antibody is proprietary information.

Reactivity data

{ "title": "Reactivity Data", "filters": { "stats": ["", "Species", "Dilution Info", "Notes"], "tabs": { "all-applications": {"fullname" : "All Applications", "shortname": "All Applications"}, "IP" : {"fullname" : "Immunoprecipitation", "shortname":"IP"}, "WB" : {"fullname" : "Western blot", "shortname":"WB"}, "ICCIF" : {"fullname" : "Immunocytochemistry/ Immunofluorescence", "shortname":"ICC/IF"}, "IHCP" : {"fullname" : "Immunohistochemistry (Formalin/PFA-fixed paraffin-embedded sections)", "shortname":"IHC-P"} }, "product-promise": { "all": "all", "testedAndGuaranteed": "tested", "guaranteed": "expected", "predicted": "predicted", "notRecommended": "not-recommended" } }, "values": { "Human": { "IP-species-checked": "testedAndGuaranteed", "IP-species-dilution-info": "1/50", "IP-species-notes": "<p></p>", "WB-species-checked": "testedAndGuaranteed", "WB-species-dilution-info": "1/1000 - 1/10000", "WB-species-notes": "<p></p>", "ICCIF-species-checked": "notRecommended", "ICCIF-species-dilution-info": "1/100", "ICCIF-species-notes": "<p></p>", "IHCP-species-checked": "testedAndGuaranteed", "IHCP-species-dilution-info": "1/50 - 1/100", "IHCP-species-notes": "<p></p>" } } }

Product details

Patented technology
Our RabMAb® technology is a patented hybridoma-based technology for making rabbit monoclonal antibodies. For details on our patents, please refer to RabMAb® patents.

What are the advantages of a recombinant monoclonal antibody?
This product is a recombinant monoclonal antibody, which offers several advantages including:

  • - High batch-to-batch consistency and reproducibility
  • - Improved sensitivity and specificity
  • - Long-term security of supply
  • - Animal-free batch production

For more information, read more on recombinant antibodies.

Properties and storage information

Form
Liquid
Purification technique
Affinity purification Protein A
Storage buffer
pH: 7.2 - 7.4 Preservative: 0.01% Sodium azide Constituents: PBS, 40% Glycerol (glycerin, glycerine), 0.05% BSA
Shipped at conditions
Blue Ice
Appropriate short-term storage duration
1-2 weeks
Appropriate short-term storage conditions
+4°C
Appropriate long-term storage conditions
-20°C
Aliquoting information
Upon delivery aliquot
Storage information
Avoid freeze / thaw cycle

Supplementary information

This supplementary information is collated from multiple sources and compiled automatically.

UFC1 also known as ubiquitin-fold modifier-conjugating enzyme 1 or UFM1-conjugating enzyme 1 functions mechanically by facilitating the conjugation of ubiquitin-fold modifier 1 (UFM1) to target substrates. It exhibits a molecular mass of approximately 20.8 kDa. UFC1 is expressed in a variety of tissues including liver kidney and heart indicating its widespread role in cellular processes. As an essential component in the UFM1 system UFC1 works closely with other proteins to regulate protein modification through UFMylation.
Biological function summary

UFC1 is involved in the process of UFMylation which modifies proteins through the attachment of UFM1 much like ubiquitination influences protein degradation and signaling. UFC1 forms part of a complex that also includes UBA5 and UFL1 the E1 activating enzyme and E3 ligase respectively. This UFMylation system is necessary for endoplasmic reticulum-associated degradation (ERAD) contributing to the maintenance of protein homeostasis within cells. The disruption of this modification process can impact cellular stress response and protein quality control mechanisms.

Pathways

UFC1 plays a critical role in the ER stress response and protein quality control pathways. Within these pathways UFC1 interacts with proteins such as UFM1 and UFL1 to mediate the UFMylation of target proteins during cellular stress. Additionally UFC1 has been linked to pathways regulating autophagy where it indirectly influences the degradation of defective proteins. This interaction ultimately affects the cellular response to misfolded proteins and is pivotal for maintaining cellular equilibrium.

UFC1 has implications in conditions such as cancer and neurological disorders. Abnormalities in UFMylation can contribute to the dysregulation of protein homeostasis which is frequently observed in cancerous cells. In the context of neurological disorders the dysfunctional UFM1 system involving UFC1 can result in impaired neuronal homeostasis. Additionally UFC1's relationship with proteins like UFM1 and UFL1 highlights its importance in the pathological processes of these diseases positioning it as a potential target for therapeutic intervention.

Product protocols

For this product, it's our understanding that no specific protocols are required. You can visit:

Target data

E2-like enzyme which specifically catalyzes the second step in ufmylation (PubMed : 15071506, PubMed : 29868776, PubMed : 30626644, PubMed : 34588452, PubMed : 35394863, PubMed : 36121123, PubMed : 38383789). Accepts the ubiquitin-like modifier UFM1 from the E1 enzyme UBA5 and forms an intermediate with UFM1 via a thioester linkage (PubMed : 15071506, PubMed : 29868776, PubMed : 34588452, PubMed : 38383789). Ufmylation is involved in various processes, such as ribosome recycling, response to DNA damage, interferon response or reticulophagy (also called ER-phagy) (PubMed : 27351204, PubMed : 32160526, PubMed : 35394863, PubMed : 37036982, PubMed : 38383789).
See full target information UFC1

Publications (7)

Recent publications for all applications. Explore the full list and refine your search

Genes 16: PubMed39858578

2025

Systematic Analysis of UFMylation Family Genes in Tissues of Mice with Metabolic Dysfunction-Associated Steatotic Liver Disease.

Applications

Unspecified application

Species

Unspecified reactive species

Mingdi Jiang,Chenlu Zhang,Zhengyao Zhang,Yingying Duan,Shuaiyong Qi,Qingyu Zeng,Jiabao Wang,Jiawen Zhang,Yu Jiang,Ying Wang,Yi Chen,Jiang Liu

Molecular neurodegeneration 19:97 PubMed39696466

2024

The UFMylation pathway is impaired in Alzheimer's disease.

Applications

Unspecified application

Species

Unspecified reactive species

Tingxiang Yan,Michael G Heckman,Emily C Craver,Chia-Chen Liu,Bailey D Rawlinson,Xue Wang,Melissa E Murray,Dennis W Dickson,Nilufer Ertekin-Taner,Zhenkun Lou,Guojun Bu,Wolfdieter Springer,Fabienne C Fiesel

eLife 11: PubMed36472367

2022

Proteome-wide systems genetics identifies UFMylation as a regulator of skeletal muscle function.

Applications

Unspecified application

Species

Unspecified reactive species

Jeffrey Molendijk,Ronnie Blazev,Richard J Mills,Yaan-Kit Ng,Kevin I Watt,Daryn Chau,Paul Gregorevic,Peter J Crouch,James B W Hilton,Leszek Lisowski,Peixiang Zhang,Karen Reue,Aldons J Lusis,James E Hudson,David E James,Marcus M Seldin,Benjamin L Parker

Cell reports 40:111168 PubMed35926457

2022

Human UFSP1 is an active protease that regulates UFM1 maturation and UFMylation.

Applications

Unspecified application

Species

Unspecified reactive species

David Millrine,Thomas Cummings,Stephen P Matthews,Joshua J Peter,Helge M Magnussen,Sven M Lange,Thomas Macartney,Frederic Lamoliatte,Axel Knebel,Yogesh Kulathu

Molecules (Basel, Switzerland) 26: PubMed33430125

2021

The UFM1 Pathway Impacts HCMV US2-Mediated Degradation of HLA Class I.

Applications

Unspecified application

Species

Unspecified reactive species

A B C Schuren,I G J Boer,E M Bouma,M L Van de Weijer,A I Costa,P Hubel,A Pichlmair,R J Lebbink,E J H J Wiertz

Science advances 6:eaax8214 PubMed32537488

2020

STK38 promotes ATM activation by acting as a reader of histone H4 ufmylation.

Applications

Unspecified application

Species

Unspecified reactive species

Bo Qin,Jia Yu,Somaira Nowsheen,Fei Zhao,Liewei Wang,Zhenkun Lou

Nature communications 10:1242 PubMed30886146

2019

UFL1 promotes histone H4 ufmylation and ATM activation.

Applications

Unspecified application

Species

Unspecified reactive species

Bo Qin,Jia Yu,Somaira Nowsheen,Minghui Wang,Xinyi Tu,Tongzheng Liu,Honglin Li,Liewei Wang,Zhenkun Lou
View all publications

Product promise

We are committed to supporting your work with high-quality reagents, and we're here for you every step of the way. In the unlikely event that one of our products does not perform as expected, you're protected by our Product Promise.
For full details, please see our Terms & Conditions

Please note: All products are 'FOR RESEARCH USE ONLY. NOT FOR USE IN DIAGNOSTIC OR THERAPEUTIC PROCEDURES'.

For licensing inquiries, please contact partnerships@abcam.com