JavaScript is disabled in your browser. Please enable JavaScript to view this website.
AB189251

Anti-UFC1 antibody [EPR15014]

Be the first to review this product! Submit a review

|

(8 Publications)

Rabbit Recombinant Monoclonal UFC1 antibody. Suitable for WB, IHC-P and reacts with Rat, Human, Mouse samples. Cited in 8 publications.

View Alternative Names

CGI-126, HSPC155, UFC1, Ubiquitin-fold modifier-conjugating enzyme 1, Ufm1-conjugating enzyme 1

6 Images
Immunohistochemistry (Formalin/PFA-fixed paraffin-embedded sections) - Anti-UFC1 antibody [EPR15014] (AB189251)
  • IHC-P

Supplier Data

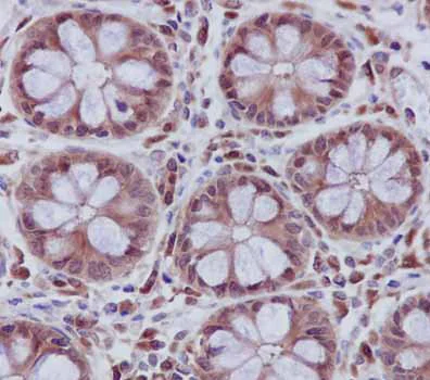
Immunohistochemistry (Formalin/PFA-fixed paraffin-embedded sections) - Anti-UFC1 antibody [EPR15014] (AB189251)

Immunohistochemical analysis of paraffin-embedded Human colon tissue labeling UFC1 with ab189251 at 1/100 dilution, followed by prediluted HRP Polymer for Rabbit IgG. Counter stained with hematoxylin.

Perform heat mediated antigen retrieval with Tris/EDTA buffer pH 9.0 before commencing with IHC staining protocol.

Immunohistochemistry (Formalin/PFA-fixed paraffin-embedded sections) - Anti-UFC1 antibody [EPR15014] (AB189251)
  • IHC-P

Supplier Data

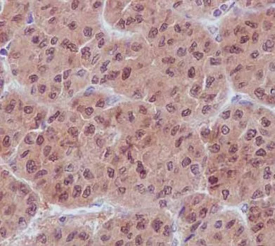
Immunohistochemistry (Formalin/PFA-fixed paraffin-embedded sections) - Anti-UFC1 antibody [EPR15014] (AB189251)

Immunohistochemical analysis of paraffin-embedded Human hepatocellular carcinoma tissue labeling UFC1 with ab189251 at 1/100 dilution, followed by prediluted HRP Polymer for Rabbit IgG. Counter stained with hematoxylin.

Perform heat mediated antigen retrieval with Tris/EDTA buffer pH 9.0 before commencing with IHC staining protocol.

Western blot - Anti-UFC1 antibody [EPR15014] (AB189251)
  • WB

Lab

Western blot - Anti-UFC1 antibody [EPR15014] (AB189251)

Lanes 1 - 4 : Merged signal (red and green). Green - ab189251 observed at 20 kDa. Red - loading control, ab8245 (Mouse anti-GAPDH antibody [6C5]) observed at 37kDa.

ab189251 was shown to react with UFC1 in wild-type HAP1 cells in Western blot. Loss of signal was observed when UFC1 knockout sample was used. Wild-type HAP1 and UFC1 knockout cell lysates were subjected to SDS-PAGE. Membranes were blocked in 3% milk in TBS-T (0.1% Tween®) before incubation with ab189251 and ab8245 (Mouse anti-GAPDH antibody [6C5]) overnight at 4°C at a 1 in 10000 dilution and a 1 in 20000 dilution respectively. Blots were incubated with Goat anti-Rabbit IgG H&L (IRDye® 800CW) preabsorbed (ab216773) and Goat anti-Mouse IgG H&L (IRDye® 680RD) preabsorbed (ab216776) secondary antibodies at 1 in 20000 dilution for 1 hour at room temperature before imaging.

All lanes:

Western blot - Anti-UFC1 antibody [EPR15014] (ab189251) at 1/10000 dilution

Lane 1:

Wild-type HAP1 cell lysate at 20 µg

Lane 2:

UFC1 knockout HAP1 cell lysate at 20 µg

Lane 3:

MCF7 cell lysate at 20 µg

Lane 4:

A549 cell lysate at 20 µg

Predicted band size: 19 kDa

Observed band size: 20 kDa

false

Western blot - Anti-UFC1 antibody [EPR15014] (AB189251)
  • WB

Lab

Western blot - Anti-UFC1 antibody [EPR15014] (AB189251)

Lanes 1- 2 : Merged signal (red and green). Green - ab189251 observed at 20 kDa. Red - Anti-GAPDH antibody [6C5] - Loading Control (ab8245) observed at 37 kDa.

ab189251 was shown to react with UFC1 in wild-type HEK-293T cells in western blot. Loss of signal was observed when knockout cell line ab266814 (knockout cell lysate ab257781) was used. Wild-type HEK-293T and UFC1 HEK-293T KO cell lysates were subjected to SDS-PAGE. Membrane was blocked for 1 hour at room temperature in 0.1% TBST with 3% non-fat dried milk. ab189251 and Anti-GAPDH antibody [6C5] - Loading Control (ab8245) overnight at 4°C at a 1 in 10000 dilution and a 1 in 20000 dilution respectively. Blots were developed with Goat anti-Rabbit IgG H&L (IRDye®800CW) preadsorbed (ab216773) and Goat anti-Mouse IgG H&L (IRDye®680RD) preadsorbed (ab216776) secondary antibodies at 1 in 20000 dilution for 1 hour at room temperature before imaging.

All lanes:

Western blot - Anti-UFC1 antibody [EPR15014] (ab189251) at 1/10000 dilution

Lane 1:

Wild-type HEK-293T cell lysate at 20 µg

Lane 2:

UFC1 knockout HEK-293T cell lysate at 20 µg

Lane 2:

Western blot - Human UFC1 knockout HEK-293T cell line (<a href='/en-us/products/cell-lines/human-ufc1-knockout-hek-293t-cell-line-ab266814'>ab266814</a>)

Predicted band size: 19 kDa

Observed band size: 20 kDa

false

Western blot - Anti-UFC1 antibody [EPR15014] (AB189251)
  • WB

Supplier Data

Western blot - Anti-UFC1 antibody [EPR15014] (AB189251)

All lanes:

Western blot - Anti-UFC1 antibody [EPR15014] (ab189251) at 1/20000 dilution

Lane 1:

Human fetal liver lysate at 20 µg

Lane 2:

A549 cell lysate at 20 µg

Lane 3:

U-87 MG cell lysate at 20 µg

Lane 4:

MCF7 cell lysate at 20 µg

Secondary

All lanes:

Goat anti-rabbit IgG, (H+L), peroxidase conjugate at 1000 µg

Predicted band size: 19 kDa

Observed band size: 19 kDa

false

Western blot - Anti-UFC1 antibody [EPR15014] (AB189251)
  • WB

Supplier Data

Western blot - Anti-UFC1 antibody [EPR15014] (AB189251)

All lanes:

Western blot - Anti-UFC1 antibody [EPR15014] (ab189251) at 1/5000 dilution

Lane 1:

C6 cell lysate at 10 µg

Lane 2:

Raw 264.7 cell lysate at 10 µg

Lane 3:

PC12 cell lysate at 10 µg

Lane 4:

NIH 3T3 cell lysate at 10 µg

Secondary

All lanes:

Goat anti-rabbit IgG, (H+L), peroxidase conjugate at 1/1000 dilution

Predicted band size: 19 kDa

Observed band size: 19 kDa

false

Key facts

Host species

Rabbit

Clonality

Monoclonal

Clone number

EPR15014

Isotype

IgG

Carrier free

No

Reacts with

Mouse, Rat, Human

Applications

IHC-P, WB

applications

Immunogen

The exact immunogen used to generate this antibody is proprietary information.

Reactivity data

{ "title": "Reactivity Data", "filters": { "stats": ["", "Species", "Dilution Info", "Notes"], "tabs": { "all-applications": {"fullname" : "All Applications", "shortname": "All Applications"}, "WB" : {"fullname" : "Western blot", "shortname":"WB"}, "IHCP" : {"fullname" : "Immunohistochemistry (Formalin/PFA-fixed paraffin-embedded sections)", "shortname":"IHC-P"} }, "product-promise": { "all": "all", "testedAndGuaranteed": "tested", "guaranteed": "expected", "predicted": "predicted", "notRecommended": "not-recommended" } }, "values": { "Human": { "WB-species-checked": "testedAndGuaranteed", "WB-species-dilution-info": "1/10000 - 1/50000", "WB-species-notes": "<p></p>", "IHCP-species-checked": "testedAndGuaranteed", "IHCP-species-dilution-info": "1/50 - 1/100", "IHCP-species-notes": "<p></p> Perform heat-mediated antigen retrieval with Tris/EDTA buffer pH 9.0 before commencing with IHC staining protocol." }, "Mouse": { "WB-species-checked": "testedAndGuaranteed", "WB-species-dilution-info": "1/10000 - 1/50000", "WB-species-notes": "<p></p>", "IHCP-species-checked": "guaranteed", "IHCP-species-dilution-info": "", "IHCP-species-notes": "" }, "Rat": { "WB-species-checked": "testedAndGuaranteed", "WB-species-dilution-info": "1/10000 - 1/50000", "WB-species-notes": "<p></p>", "IHCP-species-checked": "guaranteed", "IHCP-species-dilution-info": "", "IHCP-species-notes": "" } } }

Product details

Patented technology
Our RabMAb® technology is a patented hybridoma-based technology for making rabbit monoclonal antibodies. For details on our patents, please refer to RabMAb® patents.

What are the advantages of a recombinant monoclonal antibody?
This product is a recombinant monoclonal antibody, which offers several advantages including:

  • - High batch-to-batch consistency and reproducibility
  • - Improved sensitivity and specificity
  • - Long-term security of supply
  • - Animal-free batch production

For more information, read more on recombinant antibodies.

Properties and storage information

Form
Liquid
Purification technique
Affinity purification Protein A
Storage buffer
pH: 7.2 - 7.4 Preservative: 0.01% Sodium azide Constituents: PBS, 40% Glycerol (glycerin, glycerine), 0.05% BSA
Shipped at conditions
Blue Ice
Appropriate short-term storage duration
1-2 weeks
Appropriate short-term storage conditions
+4°C
Appropriate long-term storage conditions
-20°C
Aliquoting information
Upon delivery aliquot
Storage information
Avoid freeze / thaw cycle

Supplementary information

This supplementary information is collated from multiple sources and compiled automatically.

UFC1 also known as ubiquitin-fold modifier-conjugating enzyme 1 or UFM1-conjugating enzyme 1 functions mechanically by facilitating the conjugation of ubiquitin-fold modifier 1 (UFM1) to target substrates. It exhibits a molecular mass of approximately 20.8 kDa. UFC1 is expressed in a variety of tissues including liver kidney and heart indicating its widespread role in cellular processes. As an essential component in the UFM1 system UFC1 works closely with other proteins to regulate protein modification through UFMylation.
Biological function summary

UFC1 is involved in the process of UFMylation which modifies proteins through the attachment of UFM1 much like ubiquitination influences protein degradation and signaling. UFC1 forms part of a complex that also includes UBA5 and UFL1 the E1 activating enzyme and E3 ligase respectively. This UFMylation system is necessary for endoplasmic reticulum-associated degradation (ERAD) contributing to the maintenance of protein homeostasis within cells. The disruption of this modification process can impact cellular stress response and protein quality control mechanisms.

Pathways

UFC1 plays a critical role in the ER stress response and protein quality control pathways. Within these pathways UFC1 interacts with proteins such as UFM1 and UFL1 to mediate the UFMylation of target proteins during cellular stress. Additionally UFC1 has been linked to pathways regulating autophagy where it indirectly influences the degradation of defective proteins. This interaction ultimately affects the cellular response to misfolded proteins and is pivotal for maintaining cellular equilibrium.

UFC1 has implications in conditions such as cancer and neurological disorders. Abnormalities in UFMylation can contribute to the dysregulation of protein homeostasis which is frequently observed in cancerous cells. In the context of neurological disorders the dysfunctional UFM1 system involving UFC1 can result in impaired neuronal homeostasis. Additionally UFC1's relationship with proteins like UFM1 and UFL1 highlights its importance in the pathological processes of these diseases positioning it as a potential target for therapeutic intervention.

Product protocols

For this product, it's our understanding that no specific protocols are required. You can visit:

Target data

E2-like enzyme which specifically catalyzes the second step in ufmylation (PubMed : 15071506, PubMed : 29868776, PubMed : 30626644, PubMed : 34588452, PubMed : 35394863, PubMed : 36121123, PubMed : 38383789). Accepts the ubiquitin-like modifier UFM1 from the E1 enzyme UBA5 and forms an intermediate with UFM1 via a thioester linkage (PubMed : 15071506, PubMed : 29868776, PubMed : 34588452, PubMed : 38383789). Ufmylation is involved in various processes, such as ribosome recycling, response to DNA damage, interferon response or reticulophagy (also called ER-phagy) (PubMed : 27351204, PubMed : 32160526, PubMed : 35394863, PubMed : 37036982, PubMed : 38383789).
See full target information UFC1

Publications (8)

Recent publications for all applications. Explore the full list and refine your search

Cell reports methods 5:101048 PubMed40347946

2025

Site-specific quantification of the in vivo UFMylome reveals myosin modification in ALS.

Applications

Unspecified application

Species

Unspecified reactive species

Ronnie Blazev,Barry M Zee,Hayley Peckham,Yaan-Kit Ng,Christopher T A Lewis,Chengxin Zhang,James W McNamara,Craig A Goodman,Paul Gregorevic,Julien Ochala,Frederik J Steyn,Shyuan T Ngo,Matthew P Stokes,Benjamin L Parker

Autophagy 21:996-1018 PubMed39842454

2025

The Epstein-Barr virus deubiquitinase BPLF1 regulates stress-induced ribosome UFMylation and reticulophagy.

Applications

Unspecified application

Species

Unspecified reactive species

Jiangnan Liu,Noemi Nagy,Carlos Ayala-Torres,Solenne Bleuse,Francisco Aguilar-Alonso,Ola Larsson,Maria G Masucci

Cell death & disease 15:544 PubMed39085203

2024

Eg5 UFMylation promotes spindle organization during mitosis.

Applications

Unspecified application

Species

Unspecified reactive species

Guangxu Li,Yuanjiang Huang,Wenbo Han,Liyi Wei,Hongjing Huang,Yingbao Zhu,Qiao Xiao,Zujia Wang,Wen Huang,Ranhui Duan

Nature 627:445-452 PubMed38383785

2024

UFM1 E3 ligase promotes recycling of 60S ribosomal subunits from the ER.

Applications

Unspecified application

Species

Unspecified reactive species

Paul A DaRosa,Ivan Penchev,Samantha C Gumbin,Francesco Scavone,Magda Wąchalska,Joao A Paulo,Alban Ordureau,Joshua J Peter,Yogesh Kulathu,J Wade Harper,Thomas Becker,Roland Beckmann,Ron R Kopito

Cell reports 40:111168 PubMed35926457

2022

Human UFSP1 is an active protease that regulates UFM1 maturation and UFMylation.

Applications

Unspecified application

Species

Unspecified reactive species

David Millrine,Thomas Cummings,Stephen P Matthews,Joshua J Peter,Helge M Magnussen,Sven M Lange,Thomas Macartney,Frederic Lamoliatte,Axel Knebel,Yogesh Kulathu

International journal of molecular sciences 22: PubMed34299007

2021

A Concerted Action of UBA5 C-Terminal Unstructured Regions Is Important for Transfer of Activated UFM1 to UFC1.

Applications

Unspecified application

Species

Unspecified reactive species

Nicole Wesch,Frank Löhr,Natalia Rogova,Volker Dötsch,Vladimir V Rogov

Brain : a journal of neurology 141:1934-1945 PubMed29868776

2018

Biallelic UFM1 and UFC1 mutations expand the essential role of ufmylation in brain development.

Applications

Unspecified application

Species

Unspecified reactive species

Michael S Nahorski,Sateesh Maddirevula,Ryosuke Ishimura,Saud Alsahli,Angela F Brady,Anaïs Begemann,Tsunehiro Mizushima,Francisco J Guzmán-Vega,Miki Obata,Yoshinobu Ichimura,Hessa S Alsaif,Shams Anazi,Niema Ibrahim,Firdous Abdulwahab,Mais Hashem,Dorota Monies,Mohamed Abouelhoda,Brian F Meyer,Majid Alfadhel,Wafa Eyaid,Markus Zweier,Katharina Steindl,Anita Rauch,Stefan T Arold,C Geoffrey Woods,Masaaki Komatsu,Fowzan S Alkuraya

American journal of human genetics 99:695-703 PubMed27545681

2016

Biallelic Variants in UBA5 Reveal that Disruption of the UFM1 Cascade Can Result in Early-Onset Encephalopathy.

Applications

Unspecified application

Species

Unspecified reactive species

Estelle Colin,Jens Daniel,Alban Ziegler,Jamal Wakim,Aurora Scrivo,Tobias B Haack,Salim Khiati,Anne-Sophie Denommé,Patrizia Amati-Bonneau,Majida Charif,Vincent Procaccio,Pascal Reynier,Kyrieckos A Aleck,Lorenzo D Botto,Claudia Lena Herper,Charlotte Sophia Kaiser,Rima Nabbout,Sylvie N'Guyen,José Antonio Mora-Lorca,Birgit Assmann,Stine Christ,Thomas Meitinger,Tim M Strom,Holger Prokisch,Antonio Miranda-Vizuete,Georg F Hoffmann,Guy Lenaers,Pascale Bomont,Eva Liebau,Dominique Bonneau
View all publications

Product promise

We are committed to supporting your work with high-quality reagents, and we're here for you every step of the way. In the unlikely event that one of our products does not perform as expected, you're protected by our Product Promise.
For full details, please see our Terms & Conditions

Please note: All products are 'FOR RESEARCH USE ONLY. NOT FOR USE IN DIAGNOSTIC OR THERAPEUTIC PROCEDURES'.

For licensing inquiries, please contact partnerships@abcam.com