JavaScript is disabled in your browser. Please enable JavaScript to view this website.
AB232570

Anti-UFM1 antibody [EPR4264(2)] - BSA and Azide free

Be the first to review this product! Submit a review

|

(1 Publication)

Rabbit Recombinant Monoclonal UFM1 antibody. Carrier free. Suitable for IHC-P, IP, WB and reacts with Human, Mouse, Rat samples. Cited in 1 publication.

View Alternative Names

C13orf20, BM-002, UFM1, Ubiquitin-fold modifier 1

7 Images
Immunohistochemistry (Formalin/PFA-fixed paraffin-embedded sections) - Anti-UFM1 antibody [EPR4264(2)] - BSA and Azide free (AB232570)
  • IHC-P

Lab

Immunohistochemistry (Formalin/PFA-fixed paraffin-embedded sections) - Anti-UFM1 antibody [EPR4264(2)] - BSA and Azide free (AB232570)

ab109305 staining UFM1 in human thyroid carcinoma tissue sections by Immunohistochemistry (IHC-P - paraformaldehyde-fixed, paraffin-embedded sections). Tissue was fixed with paraformaldehyde and antigen retrieval was by heat mediation in a EDTA buffer. Samples were incubated with primary antibody at a dilution of 1/100. A goat anti-rabbit IgG H&L (HRP) ab97051 was used as the secondary antibody at a dilution of 1/500.

Negative control 1 : PBS in place of primary antibody.

This data was developed using the same antibody clone in a different buffer formulation containing PBS, BSA, glycerol, and sodium azide (ab109305).

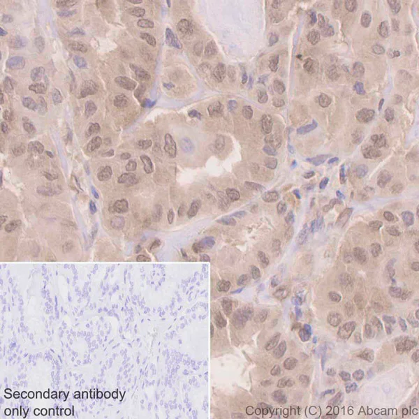
Immunohistochemistry (Formalin/PFA-fixed paraffin-embedded sections) - Anti-UFM1 antibody [EPR4264(2)] - BSA and Azide free (AB232570)
  • IHC-P

Lab

Immunohistochemistry (Formalin/PFA-fixed paraffin-embedded sections) - Anti-UFM1 antibody [EPR4264(2)] - BSA and Azide free (AB232570)

ab109305 staining UFM1 in human kidney tissue sections by Immunohistochemistry (IHC-P - paraformaldehyde-fixed, paraffin-embedded sections). Tissue was fixed with paraformaldehyde and antigen retrieval was by heat mediation in a EDTA buffer. Samples were incubated with primary antibody at a dilution of 1/1000. A goat anti-rabbit IgG H&L (HRP) ab97051 was used as the secondary antibody at a dilution of 1/500.

Negative control 1 : PBS in place of primary antibody.

This data was developed using the same antibody clone in a different buffer formulation containing PBS, BSA, glycerol, and sodium azide (ab109305).

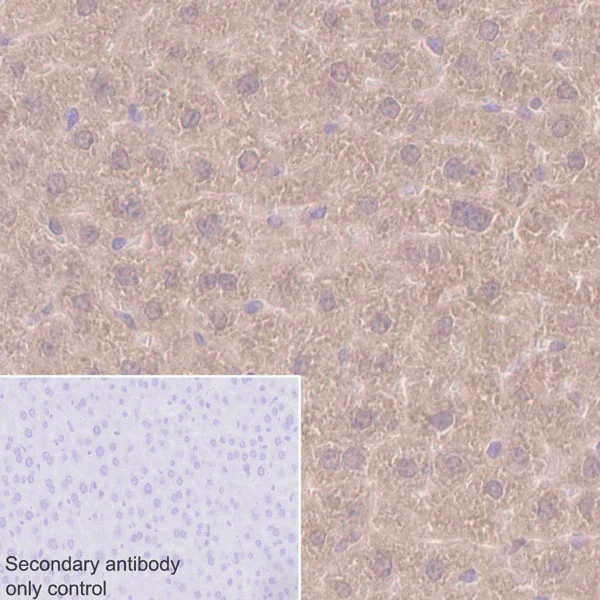
Immunohistochemistry (Formalin/PFA-fixed paraffin-embedded sections) - Anti-UFM1 antibody [EPR4264(2)] - BSA and Azide free (AB232570)
  • IHC-P

Lab

Immunohistochemistry (Formalin/PFA-fixed paraffin-embedded sections) - Anti-UFM1 antibody [EPR4264(2)] - BSA and Azide free (AB232570)

ab109305 staining UFM1 in mouse mouse liver tissue sections by Immunohistochemistry (IHC-P - paraformaldehyde-fixed, paraffin-embedded sections). Tissue was fixed with paraformaldehyde and antigen retrieval was by heat mediation in a EDTA buffer. Samples were incubated with primary antibody at a dilution of 1/100. A goat anti-rabbit IgG H&L (HRP) ab97051 was used as the secondary antibody at a dilution of 1/500.

Negative control 1 : PBS in place of primary antibody.

This data was developed using the same antibody clone in a different buffer formulation containing PBS, BSA, glycerol, and sodium azide (ab109305).

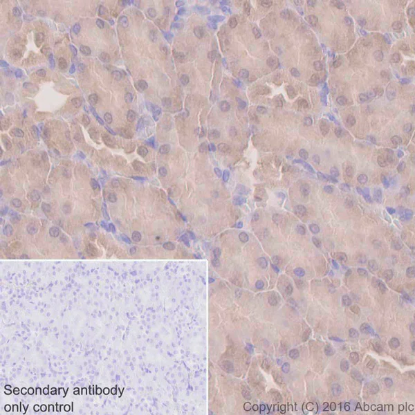
Immunohistochemistry (Formalin/PFA-fixed paraffin-embedded sections) - Anti-UFM1 antibody [EPR4264(2)] - BSA and Azide free (AB232570)
  • IHC-P

Lab

Immunohistochemistry (Formalin/PFA-fixed paraffin-embedded sections) - Anti-UFM1 antibody [EPR4264(2)] - BSA and Azide free (AB232570)

ab109305 staining UFM1 in rat kidney tissue sections by Immunohistochemistry (IHC-P - paraformaldehyde-fixed, paraffin-embedded sections). Tissue was fixed with paraformaldehyde and antigen retrieval was by heat mediation in a EDTA buffer. Samples were incubated with primary antibody at a dilution of 1/1000. A goat anti-rabbit IgG H&L (HRP) ab97051 was used as the secondary antibody at a dilution of 1/500.

Negative control 1 : PBS in place of primary antibody.

This data was developed using the same antibody clone in a different buffer formulation containing PBS, BSA, glycerol, and sodium azide (ab109305).

Western blot - Anti-UFM1 antibody [EPR4264(2)] - BSA and Azide free (AB232570)
  • WB

Lab

Western blot - Anti-UFM1 antibody [EPR4264(2)] - BSA and Azide free (AB232570)

This data was developed using the same antibody clone in a different buffer formulation (abAB109305).

Western blot : Anti-UFM1 antibody [EPR4264(2)] (ab109305) staining at 1/1000 dilution, shown in green; Mouse anti-GAPDH antibody [6C5] (ab8245) loading control staining at 1/20000 dilution, shown in magenta. In Western blot, ab109305 was shown to bind specifically to UFM1. A band was observed at 9/28 kDa in wild-type HEK-293T cell lysates with no signal observed at this size in UFM1 knockout cell line. To generate this image, wild-type and UFM1 knockout HEK-293T cell lysates were analysed. First, samples were run on an SDS-PAGE gel then transferred onto a nitrocellulose membrane. Membranes were blocked in 3 % milk in TBS-0.1 % Tween® 20 (TBS-T) before incubation with primary antibodies overnight at 4 °C. Blots were washed four times in TBS-T, incubated with secondary antibodies for 1 h at room temperature, washed again four times then imaged. Secondary antibodies used were Goat anti-Rabbit IgG H&L 800CW and Goat anti-Mouse IgG H&L 680RD at 1/20000 dilution.

All lanes:

Western blot - Anti-UFM1 antibody [EPR4264(2)] (<a href='/en-us/products/primary-antibodies/ufm1-antibody-epr42642-ab109305'>ab109305</a>) at 1/1000 dilution

Lane 1:

Wild-type HEK-293T cell lysate at 20 µg

Lane 2:

UFM1 knockout HEK-293T cell lysate at 20 µg

Lane 3:

U-2 OS cell lysate at 20 µg

Lane 4:

HepG2 cell lysate at 20 µg

Secondary

All lanes:

Goat anti-Rabbit IgG H&L 800CW and Goat anti-Mouse IgG H&L 680RD at 1/20000 dilution

Observed band size: 9 kDa,28 kDa

false

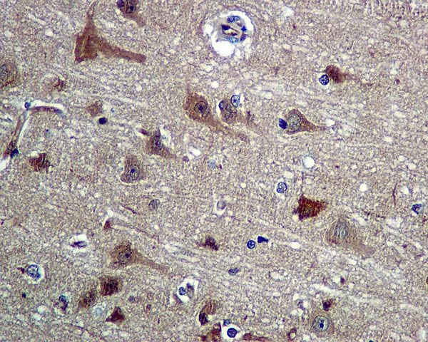
Immunohistochemistry (Formalin/PFA-fixed paraffin-embedded sections) - Anti-UFM1 antibody [EPR4264(2)] - BSA and Azide free (AB232570)
  • IHC-P

Unknown

Immunohistochemistry (Formalin/PFA-fixed paraffin-embedded sections) - Anti-UFM1 antibody [EPR4264(2)] - BSA and Azide free (AB232570)

Immunohistochemical analysis of paraffin-embedded Human brain tissue using ab109305 at 1/250 dilution.

This data was developed using the same antibody clone in a different buffer formulation containing PBS, BSA, glycerol, and sodium azide (ab109305).

Perform heat mediated antigen retrieval with citrate buffer pH 6 before commencing with IHC staining protocol.

Immunoprecipitation - Anti-UFM1 antibody [EPR4264(2)] - BSA and Azide free (AB232570)
  • IP

Lab

Immunoprecipitation - Anti-UFM1 antibody [EPR4264(2)] - BSA and Azide free (AB232570)

ab109305 immunoprecipitating UFM1. 10μg of cell lysate was incubated with primary antibody at a dilution of 1/20 and VeriBlot for IP Detection Reagent (HRP) (ab131366) at a dilution of 1/1000.

Lane 1 : 293 (Human embryonic kidney epithelial cell) whole cell lysate 10ug
Lane 2 : 293 (Human embryonic kidney epithelial cell) whole cell lysate
Lane 3 : Rabbit monoclonal IgG (ab172730) instead of ab109305 in 293 (Human embryonic kidney epithelial cell) whole cell lysate

This data was developed using the same antibody clone in a different buffer formulation containing PBS, BSA, glycerol, and sodium azide (ab109305).

All lanes:

Immunoprecipitation - Anti-UFM1 antibody [EPR4264(2)] (<a href='/en-us/products/primary-antibodies/ufm1-antibody-epr42642-ab109305'>ab109305</a>)

Predicted band size: 9 kDa

false

Key facts

Host species

Rabbit

Clonality

Monoclonal

Clone number

EPR4264(2)

Isotype

IgG

Carrier free

Yes

Reacts with

Mouse, Rat, Human

Applications

IHC-P, WB, IP

applications

Immunogen

The exact immunogen used to generate this antibody is proprietary information.

Reactivity data

{ "title": "Reactivity Data", "filters": { "stats": ["", "Species", "Dilution Info", "Notes"], "tabs": { "all-applications": {"fullname" : "All Applications", "shortname": "All Applications"}, "IHCP" : {"fullname" : "Immunohistochemistry (Formalin/PFA-fixed paraffin-embedded sections)", "shortname":"IHC-P"}, "IP" : {"fullname" : "Immunoprecipitation", "shortname":"IP"}, "WB" : {"fullname" : "Western blot", "shortname":"WB"} }, "product-promise": { "all": "all", "testedAndGuaranteed": "tested", "guaranteed": "expected", "predicted": "predicted", "notRecommended": "not-recommended" } }, "values": { "Human": { "IHCP-species-checked": "testedAndGuaranteed", "IHCP-species-dilution-info": "", "IHCP-species-notes": "<p></p> Perform heat-mediated antigen retrieval with citrate buffer pH 6 before commencing with IHC staining protocol.", "IP-species-checked": "testedAndGuaranteed", "IP-species-dilution-info": "", "IP-species-notes": "<p></p>", "WB-species-checked": "testedAndGuaranteed", "WB-species-dilution-info": "", "WB-species-notes": "<p></p>" }, "Mouse": { "IHCP-species-checked": "predicted", "IHCP-species-dilution-info": "", "IHCP-species-notes": "", "IP-species-checked": "predicted", "IP-species-dilution-info": "", "IP-species-notes": "", "WB-species-checked": "guaranteed", "WB-species-dilution-info": "", "WB-species-notes": "<p></p>" }, "Rat": { "IHCP-species-checked": "predicted", "IHCP-species-dilution-info": "", "IHCP-species-notes": "", "IP-species-checked": "predicted", "IP-species-dilution-info": "", "IP-species-notes": "", "WB-species-checked": "guaranteed", "WB-species-dilution-info": "", "WB-species-notes": "<p></p>" } } }

Product details

ab232570 is the carrier-free version of ab109305.

Patented technology
Our RabMAb® technology is a patented hybridoma-based technology for making rabbit monoclonal antibodies. For details on our patents, please refer to RabMAb® patents.

What are the advantages of a recombinant monoclonal antibody?
This product is a recombinant monoclonal antibody, which offers several advantages including:

  • - High batch-to-batch consistency and reproducibility
  • - Improved sensitivity and specificity
  • - Long-term security of supply
  • - Animal-free batch production

For more information, read more on recombinant antibodies.

Conjugation ready
Our carrier-free antibodies are typically supplied in a PBS-only formulation, purified and free of BSA, sodium azide and glycerol. This conjugation-ready format is designed for use with fluorochromes, metal isotopes, oligonucleotides, and enzymes, which makes them ideal for antibody labelling, functional and cell-based assays, flow-based assays (e.g. mass cytometry) and Multiplex Imaging applications.

Use our conjugation kits for antibody conjugates that are ready-to-use in as little as 20 minutes with 1 minute hands-on-time and 100% antibody recovery: available for fluorescent dyes, HRP, biotin and gold.

Compatibility
This product is compatible with the Maxpar® Antibody Labeling Kit from Fluidigm, without the need for antibody preparation. Maxpar® is a trademark of Fluidigm Canada Inc.

Properties and storage information

Form
Liquid
Purification technique
Affinity purification Protein A
Storage buffer
pH: 7.2 - 7.4 Constituents: PBS
Shipped at conditions
Blue Ice
Appropriate short-term storage conditions
+4°C
Appropriate long-term storage conditions
+4°C
Storage information
Do Not Freeze

Supplementary information

This supplementary information is collated from multiple sources and compiled automatically.

UFM1 also called ubiquitin-fold modifier 1 is a small protein modifier with a mass of approximately 9 kDa. It is part of the ubiquitin-like protein family and primarily expressed in a wide range of tissues. UFM1 is involved in a unique form of post-translational modification known as UFMylation where it conjugates to substrate proteins altering their function and stability. This process plays a role in regulating cell cycle and apoptosis among other cellular processes.
Biological function summary

UFM1 functions as a signaling molecule that influences various cellular pathways. It acts as part of a complex with other enzymes including UBA5 UFC1 and UFL1 which are important for its conjugation process. This modification system plays a role in endoplasmic reticulum (ER) stress response by affecting proteins involved in ER-associated degradation (ERAD). Its interaction with these proteins helps cells manage stress and maintain homeostasis.

Pathways

UFM1 participates in the ER stress response pathway and is also connected to the mTOR signaling pathway. Both pathways are essential for cell growth and survival. Within these pathways UFM1 interacts with proteins like mLST8 in the mTOR pathway integrating signals that coordinate cell metabolism growth and apoptosis. The precise regulation of these pathways highlights UFM1's role in maintaining cellular equilibrium.

UFM1 has been linked to cancer and congenital disorders. Altered UFMylation due to mutations in related genes can contribute to tumor development by affecting protein degradation and cellular stress responses. In hereditary conditions dysfunctional UFM1 activity can lead to rare disorders affecting metabolism and neurological function. Proteins like mLST8 which interact with UFM1 in pathways can also play a role in these disease mechanisms suggesting potential targets for therapeutic intervention.

Product protocols

For this product, it's our understanding that no specific protocols are required. You can visit:

Target data

Ubiquitin-like modifier which can be covalently attached via an isopeptide bond to lysine residues of substrate proteins as a monomer or a lysine-linked polymer (PubMed : 15071506, PubMed : 20018847, PubMed : 27653677, PubMed : 29868776, PubMed : 30626644, PubMed : 38377992, PubMed : 38383785). The so-called ufmylation, requires the UFM1-activating E1 enzyme UBA5, the UFM1-conjugating E2 enzyme UFC1, and the UFM1-ligase E3 enzyme UFL1 (PubMed : 15071506, PubMed : 20018847, PubMed : 27653677, PubMed : 29868776). Ufmylation is involved in various processes, such as ribosome recycling, response to DNA damage, transcription or reticulophagy (also called ER-phagy) induced in response to endoplasmic reticulum stress (PubMed : 25219498, PubMed : 32160526, PubMed : 38383785).
See full target information UFM1

Publications (1)

Recent publications for all applications. Explore the full list and refine your search

iScience 25:104262 PubMed35521516

2022

Neonatal lung-derived SSEA-1 cells exhibited distinct stem/progenitor characteristics and organoid developmental potential.

Applications

Unspecified application

Species

Unspecified reactive species

Chien-Chia Liao,Chiao-Juno Chiu,Yao-Hsu Yang,Bor-Luen Chiang
View all publications

Product promise

We are committed to supporting your work with high-quality reagents, and we're here for you every step of the way. In the unlikely event that one of our products does not perform as expected, you're protected by our Product Promise.
For full details, please see our Terms & Conditions

Please note: All products are 'FOR RESEARCH USE ONLY. NOT FOR USE IN DIAGNOSTIC OR THERAPEUTIC PROCEDURES'.

For licensing inquiries, please contact partnerships@abcam.com