JavaScript is disabled in your browser. Please enable JavaScript to view this website.
AB284848

Anti-UFSP2 antibody [EP13424-49] - BSA and Azide free

Be the first to review this product! Submit a review

|

(0 Publication)

Rabbit Monoclonal UFSP2 antibody. Carrier free. Suitable for WB, IHC-P, ICC/IF and reacts with Mouse, Rat, Human samples.

View Alternative Names

C4orf20, UFSP2, Ufm1-specific protease 2, UfSP2

5 Images
Immunocytochemistry/ Immunofluorescence - Anti-UFSP2 antibody [EP13424-49] - BSA and Azide free (AB284848)
  • ICC/IF

Supplier Data

Immunocytochemistry/ Immunofluorescence - Anti-UFSP2 antibody [EP13424-49] - BSA and Azide free (AB284848)

This data was developed using ab192597, the same antibody clone in a different buffer formulation.Immunofluorescence analysis of, paraformaldehyde-fixed, HeLa cells labeling UFSP2 with ab192597 at a 1/100 dilution. A secondary antibody goat anti-rabbit IgG (Alexa Fluor®488) ab150077 was used at a 1/400 dilution. In blue DAPI staining.

Western blot - Anti-UFSP2 antibody [EP13424-49] - BSA and Azide free (AB284848)
  • WB

Supplier Data

Western blot - Anti-UFSP2 antibody [EP13424-49] - BSA and Azide free (AB284848)

This data was developed using ab192597, the same antibody clone in a different buffer formulation.

All lanes:

Western blot - Anti-UFSP2 antibody [EP13424-49] (<a href='/en-us/products/primary-antibodies/ufsp2-antibody-ep13424-49-ab192597'>ab192597</a>) at 1/10000 dilution

Lane 1:

Human fetal kidney lysate at 20 µg

Lane 2:

Human fetal heart lysate at 20 µg

Lane 3:

HeLa cell lysate at 20 µg

Secondary

All lanes:

Anti-Rabbit IgG (HRP), specific to the non-reduced form of IgG at 1/1000 dilution

Predicted band size: 53 kDa

Observed band size: 53 kDa

true

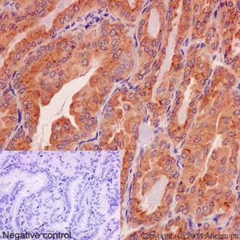
Immunohistochemistry (Formalin/PFA-fixed paraffin-embedded sections) - Anti-UFSP2 antibody [EP13424-49] - BSA and Azide free (AB284848)
  • IHC-P

Supplier Data

Immunohistochemistry (Formalin/PFA-fixed paraffin-embedded sections) - Anti-UFSP2 antibody [EP13424-49] - BSA and Azide free (AB284848)

This data was developed using ab192597, the same antibody clone in a different buffer formulation.Immunohistochemical analysis of paraffin-embedded, Human thyroid carcinoma tissue labeling UFSP2 with ab192597 at a 1/100 dilution. Counter stained with hematoxylin. Negative control also shown.

Perform heat mediated antigen retrieval with Tris/EDTA buffer pH 9.0 before commencing with IHC staining protocol.

Western blot - Anti-UFSP2 antibody [EP13424-49] - BSA and Azide free (AB284848)
  • WB

Supplier Data

Western blot - Anti-UFSP2 antibody [EP13424-49] - BSA and Azide free (AB284848)

This data was developed using ab192597, the same antibody clone in a different buffer formulation.

All lanes:

Western blot - Anti-UFSP2 antibody [EP13424-49] (<a href='/en-us/products/primary-antibodies/ufsp2-antibody-ep13424-49-ab192597'>ab192597</a>) at 1/1000 dilution

Lane 1:

Mouse spleen lysate at 10 µg

Lane 2:

rat C6 cell lysate at 10 µg

Lane 3:

mouse Raw 264.7 cell lysate at 10 µg

Lane 4:

mouse NIH 3T3 cell lysate at 10 µg

Secondary

All lanes:

goat anti-rabbit IgG, (H+L), peroxidase conjugated at 1/1000 dilution

Predicted band size: 53 kDa

Observed band size: 53 kDa

true

Western blot - Anti-UFSP2 antibody [EP13424-49] - BSA and Azide free (AB284848)
  • WB

Lab

Western blot - Anti-UFSP2 antibody [EP13424-49] - BSA and Azide free (AB284848)

This data was developed using ab192597, the same antibody clone in a different buffer formulation.

Lanes 1-3 : Merged signal (red and green). Green - ab192597 observed at 53 kDa. Red - loading control ab8245 observed at 36 kDa.

ab192597 Anti-UFSP2 antibody [EP13424-49] was shown to specifically react with UFSP2 in wild-type HEK293T cells. Loss of signal was observed when knockout cell line ab266368 (knockout cell lysate ab257782) was used. Wild-type and UFSP2 knockout samples were subjected to SDS-PAGE. ab192597 and Anti-GAPDH antibody [6C5] - Loading Control (ab8245) were incubated at room temperature for 2.5 hours at 1 in 1000 dilution and 1 in 20000 dilution respectively. Blots were developed with Goat anti-Rabbit IgG H&L (IRDye® 800CW) preadsorbed (ab216773) and Goat anti-Mouse IgG H&L (IRDye® 680RD) preadsorbed (ab216776) secondary antibodies at 1 in 20000 dilution for 1 hour at room temperature before imaging.

All lanes:

Western blot - Anti-UFSP2 antibody [EP13424-49] (<a href='/en-us/products/primary-antibodies/ufsp2-antibody-ep13424-49-ab192597'>ab192597</a>) at 1/1000 dilution

Lane 1:

Wild-type HEK293T cell lysate at 20 µg

Lane 2:

UFSP2 knockout HEK293T cell lysate at 20 µg

Lane 2:

Western blot - Human UFSP2 knockout HEK-293T cell line (<a href='/en-us/products/cell-lines/human-ufsp2-knockout-hek-293t-cell-line-ab266368'>ab266368</a>)

Lane 3:

HeLa cell lysate at 20 µg

Secondary

All lanes:

Western blot - Goat anti-Rabbit IgG H&L (IRDye® 800CW) preadsorbed (<a href='/en-us/products/secondary-antibodies/goat-rabbit-igg-h-l-irdye-800cw-preadsorbed-ab216773'>ab216773</a>) at 1/10000 dilution

Predicted band size: 53 kDa

Observed band size: 53 kDa

false

Key facts

Host species

Rabbit

Clonality

Monoclonal

Clone number

EP13424-49

Isotype

IgG

Carrier free

Yes

Reacts with

Rat, Human, Mouse

Applications

ICC/IF, WB, IHC-P

applications

Immunogen

The exact immunogen used to generate this antibody is proprietary information.

Reactivity data

{ "title": "Reactivity Data", "filters": { "stats": ["", "Species", "Dilution Info", "Notes"], "tabs": { "all-applications": {"fullname" : "All Applications", "shortname": "All Applications"}, "WB" : {"fullname" : "Western blot", "shortname":"WB"}, "IHCP" : {"fullname" : "Immunohistochemistry (Formalin/PFA-fixed paraffin-embedded sections)", "shortname":"IHC-P"}, "ICCIF" : {"fullname" : "Immunocytochemistry/ Immunofluorescence", "shortname":"ICC/IF"} }, "product-promise": { "all": "all", "testedAndGuaranteed": "tested", "guaranteed": "expected", "predicted": "predicted", "notRecommended": "not-recommended" } }, "values": { "Human": { "WB-species-checked": "testedAndGuaranteed", "WB-species-dilution-info": "", "WB-species-notes": "<p></p>", "IHCP-species-checked": "testedAndGuaranteed", "IHCP-species-dilution-info": "", "IHCP-species-notes": "<p></p> Perform heat-mediated antigen retrieval with Tris/EDTA buffer pH 9.0 before commencing with IHC staining protocol.", "ICCIF-species-checked": "testedAndGuaranteed", "ICCIF-species-dilution-info": "", "ICCIF-species-notes": "<p></p>" }, "Mouse": { "WB-species-checked": "testedAndGuaranteed", "WB-species-dilution-info": "", "WB-species-notes": "<p></p>", "IHCP-species-checked": "guaranteed", "IHCP-species-dilution-info": "", "IHCP-species-notes": "", "ICCIF-species-checked": "guaranteed", "ICCIF-species-dilution-info": "", "ICCIF-species-notes": "" }, "Rat": { "WB-species-checked": "testedAndGuaranteed", "WB-species-dilution-info": "", "WB-species-notes": "<p></p>", "IHCP-species-checked": "guaranteed", "IHCP-species-dilution-info": "", "IHCP-species-notes": "", "ICCIF-species-checked": "guaranteed", "ICCIF-species-dilution-info": "", "ICCIF-species-notes": "" } } }

Product details

ab284848 is the carrier-free version of ab192597

Patented technology
Our RabMAb® technology is a patented hybridoma-based technology for making rabbit monoclonal antibodies. For details on our patents, please refer to RabMAb® patents.

Conjugation ready
Our carrier-free antibodies are typically supplied in a PBS-only formulation, purified and free of BSA, sodium azide and glycerol. This conjugation-ready format is designed for use with fluorochromes, metal isotopes, oligonucleotides, and enzymes, which makes them ideal for antibody labelling, functional and cell-based assays, flow-based assays (e.g. mass cytometry) and Multiplex Imaging applications.

Use our conjugation kits for antibody conjugates that are ready-to-use in as little as 20 minutes with 1 minute hands-on-time and 100% antibody recovery: available for fluorescent dyes, HRP, biotin and gold.

Compatibility
This product is compatible with the Maxpar® Antibody Labeling Kit from Fluidigm, without the need for antibody preparation. Maxpar® is a trademark of Fluidigm Canada Inc.

Properties and storage information

Form
Liquid
Purification technique
Affinity purification Protein A
Storage buffer
pH: 7.2 - 7.4 Constituents: 100% PBS
Shipped at conditions
Blue Ice
Appropriate short-term storage conditions
+4°C
Appropriate long-term storage conditions
+4°C

Supplementary information

This supplementary information is collated from multiple sources and compiled automatically.

UFSP2 also known as Ubiquitin-Fold Modifier 1-Specific Peptidase 2 is a protein with a molecular mass of approximately 53 kDa. This protein functions as a cysteine protease involved in the processing and maturation of ubiquitin-fold modifier 1 (UFM1). UFSP2 cleaves precursor UFM1 to expose the glycine residue necessary for its conjugation to target proteins. Expression of UFSP2 occurs in various tissues but is particularly high in the testis brain and skeletal muscle indicating its roles in diverse biological functions.
Biological function summary

UFSP2 plays a significant role in the UFMylation pathway which is a post-translational modification process involving UFM1. This enzyme does not operate alone; it acts as part of a functional complex where its peptidase activity is essential for recycling UFM1 molecules after they detach from substrate proteins. The activation and deactivation of UFM1-modified proteins regulate several cellular processes such as protein translation cellular stress responses and maintenance of endoplasmic reticulum homeostasis.

Pathways

The UFSP2 protein contributes to the wider ubiquitin-like modification systems particularly impacting the protein quality control system and the endoplasmic reticulum-associated degradation (ERAD) pathway. It maintains protein folding and ensures degradation of misfolded proteins. UFSP2 interacts with other proteins such as UFL1 which acts as a specific E3 ligase for UFM1 establishing a cycle for efficient modification and de-modification in these pathways.

Alterations in UFSP2 function link to pathologies including autosomal-dominant osteosclerosis with the novel symptom of cranial sclerosis (ADOCS). Mutations in the UFSP2 gene can lead to defective bone formation due to dysregulation of protein homeostasis pathways. Furthermore anomalies in UFSP2 have associations with neurodegenerative diseases where it interacts with proteins involved in cellular stress responses. This highlights its importance in both skeletal and nervous system-related disorders.

Product protocols

For this product, it's our understanding that no specific protocols are required. You can visit:

Target data

Thiol-dependent isopeptidase that specifically cleaves UFM1, a ubiquitin-like modifier protein, from conjugated proteins, such as CD274/PD-L1, CYB5R3, DDRGK1, MRE11, RPL26/uL24, TRIP4 and RPL26/uL24 (PubMed : 25219498, PubMed : 27351204, PubMed : 27926783, PubMed : 30783677, PubMed : 31595041, PubMed : 32160526, PubMed : 33473208, PubMed : 35394863, PubMed : 35926457, PubMed : 36543799, PubMed : 36893266, PubMed : 37795761, PubMed : 38383785). While it is also able to mediate the processing of UFM1 precursors, a prerequisite for conjugation reactions, UFSP2 mainly acts as a protein deUFMylase that mediates deconjugation of UFM1 from target proteins (PubMed : 27926783). Mediates deUFMylation of RPL26/uL24, a critical step to release the UFM1 ribosome E3 ligase (UREL) complex during the recycling of 60S ribosome subunits from the endoplasmic reticulum (PubMed : 38383785). Catalyzes deUFMylation of TRIP4, regulating intracellular nuclear receptors transactivation and thereby regulate cell proliferation and differentiation (PubMed : 25219498).
See full target information UFSP2

Product promise

We are committed to supporting your work with high-quality reagents, and we're here for you every step of the way. In the unlikely event that one of our products does not perform as expected, you're protected by our Product Promise.
For full details, please see our Terms & Conditions

Please note: All products are 'FOR RESEARCH USE ONLY. NOT FOR USE IN DIAGNOSTIC OR THERAPEUTIC PROCEDURES'.

For licensing inquiries, please contact partnerships@abcam.com