JavaScript is disabled in your browser. Please enable JavaScript to view this website.
AB248034

Anti-UGGT/UGT1 antibody [EPR5105] - BSA and Azide free

Be the first to review this product! Submit a review

|

(1 Publication)

Rabbit Recombinant Monoclonal UGGT/UGT1 antibody. Carrier free. Suitable for IHC-P, WB and reacts with Human samples. Cited in 1 publication.

View Alternative Names

GT, UGCGL1, UGGT, UGT1, UGTR, UGGT1, UDP-glucose:glycoprotein glucosyltransferase 1, hUGT1, UDP--Glc:glycoprotein glucosyltransferase, UDP-glucose ceramide glucosyltransferase-like 1

2 Images
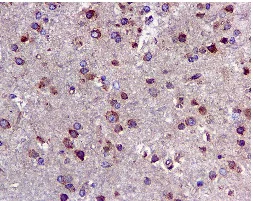
Immunohistochemistry (Formalin/PFA-fixed paraffin-embedded sections) - Anti-UGGT/UGT1 antibody [EPR5105] - BSA and Azide free (AB248034)
  • IHC-P

Unknown

Immunohistochemistry (Formalin/PFA-fixed paraffin-embedded sections) - Anti-UGGT/UGT1 antibody [EPR5105] - BSA and Azide free (AB248034)

This data was developed using ab124879, the same antibody clone in a different buffer formulation.

Staining of UGGT/UGT1 in Paraffin-embedded Human brain tissue by Immunohistochemistry using ab124879 at a dilution of 1/100.

Perform heat mediated antigen retrieval with citrate buffer pH 6 before commencing with IHC staining protocol.

Western blot - Anti-UGGT/UGT1 antibody [EPR5105] - BSA and Azide free (AB248034)
  • WB

Unknown

Western blot - Anti-UGGT/UGT1 antibody [EPR5105] - BSA and Azide free (AB248034)

This data was developed using ab124879, the same antibody clone in a different buffer formulation.

All lanes:

Western blot - Anti-UGGT/UGT1 antibody [EPR5105] (<a href='/en-us/products/primary-antibodies/uggt-ugt1-antibody-epr5105-ab124879'>ab124879</a>) at 1/10000 dilution

Lane 1:

Human skeletal muscle lysate at 10 µg

Lane 2:

BXPC-3 cell lysate at 10 µg

Lane 3:

SH-SY5Y cell lysate at 10 µg

Lane 4:

MCF7 cell lysate at 10 µg

Secondary

All lanes:

HRP labelled goat anti-rabbit at 1/2000 dilution

Predicted band size: 177 kDa

false

Key facts

Host species

Rabbit

Clonality

Monoclonal

Clone number

EPR5105

Isotype

IgG

Carrier free

Yes

Reacts with

Human

Applications

WB, IHC-P

applications

Immunogen

The exact immunogen used to generate this antibody is proprietary information.

Reactivity data

{ "title": "Reactivity Data", "filters": { "stats": ["", "Species", "Dilution Info", "Notes"], "tabs": { "all-applications": {"fullname" : "All Applications", "shortname": "All Applications"}, "IHCP" : {"fullname" : "Immunohistochemistry (Formalin/PFA-fixed paraffin-embedded sections)", "shortname":"IHC-P"}, "ICCIF" : {"fullname" : "Immunocytochemistry/ Immunofluorescence", "shortname":"ICC/IF"}, "IP" : {"fullname" : "Immunoprecipitation", "shortname":"IP"}, "FlowCyt" : {"fullname" : "Flow Cytometry", "shortname":"Flow Cyt"}, "WB" : {"fullname" : "Western blot", "shortname":"WB"} }, "product-promise": { "all": "all", "testedAndGuaranteed": "tested", "guaranteed": "expected", "predicted": "predicted", "notRecommended": "not-recommended" } }, "values": { "Human": { "IHCP-species-checked": "testedAndGuaranteed", "IHCP-species-dilution-info": "", "IHCP-species-notes": "<p></p>", "ICCIF-species-checked": "notRecommended", "ICCIF-species-dilution-info": "", "ICCIF-species-notes": "<p></p>", "IP-species-checked": "notRecommended", "IP-species-dilution-info": "", "IP-species-notes": "<p></p>", "FlowCyt-species-checked": "notRecommended", "FlowCyt-species-dilution-info": "", "FlowCyt-species-notes": "<p></p>", "WB-species-checked": "testedAndGuaranteed", "WB-species-dilution-info": "", "WB-species-notes": "<p></p>" }, "Mouse": { "IHCP-species-checked": "predicted", "IHCP-species-dilution-info": "", "IHCP-species-notes": "", "ICCIF-species-checked": "notRecommended", "ICCIF-species-dilution-info": "", "ICCIF-species-notes": "", "IP-species-checked": "notRecommended", "IP-species-dilution-info": "", "IP-species-notes": "", "FlowCyt-species-checked": "notRecommended", "FlowCyt-species-dilution-info": "", "FlowCyt-species-notes": "", "WB-species-checked": "predicted", "WB-species-dilution-info": "", "WB-species-notes": "" }, "Rat": { "IHCP-species-checked": "predicted", "IHCP-species-dilution-info": "", "IHCP-species-notes": "", "ICCIF-species-checked": "notRecommended", "ICCIF-species-dilution-info": "", "ICCIF-species-notes": "", "IP-species-checked": "notRecommended", "IP-species-dilution-info": "", "IP-species-notes": "", "FlowCyt-species-checked": "notRecommended", "FlowCyt-species-dilution-info": "", "FlowCyt-species-notes": "", "WB-species-checked": "predicted", "WB-species-dilution-info": "", "WB-species-notes": "" } } }

Product details

ab248034 is the carrier-free version of ab124879.

Patented technology
Our RabMAb® technology is a patented hybridoma-based technology for making rabbit monoclonal antibodies. For details on our patents, please refer to RabMAb® patents.

What are the advantages of a recombinant monoclonal antibody?
This product is a recombinant monoclonal antibody, which offers several advantages including:

  • - High batch-to-batch consistency and reproducibility
  • - Improved sensitivity and specificity
  • - Long-term security of supply
  • - Animal-free batch production

For more information, read more on recombinant antibodies.

Conjugation ready
Our carrier-free antibodies are typically supplied in a PBS-only formulation, purified and free of BSA, sodium azide and glycerol. This conjugation-ready format is designed for use with fluorochromes, metal isotopes, oligonucleotides, and enzymes, which makes them ideal for antibody labelling, functional and cell-based assays, flow-based assays (e.g. mass cytometry) and Multiplex Imaging applications.

Use our conjugation kits for antibody conjugates that are ready-to-use in as little as 20 minutes with 1 minute hands-on-time and 100% antibody recovery: available for fluorescent dyes, HRP, biotin and gold.

Compatibility
This product is compatible with the Maxpar® Antibody Labeling Kit from Fluidigm, without the need for antibody preparation. Maxpar® is a trademark of Fluidigm Canada Inc.

Properties and storage information

Form
Liquid
Purification technique
Affinity purification Protein A
Storage buffer
pH: 7.2 - 7.4 Constituents: PBS
Shipped at conditions
Blue Ice
Appropriate short-term storage conditions
+4°C
Appropriate long-term storage conditions
+4°C
Storage information
Do Not Freeze

Supplementary information

This supplementary information is collated from multiple sources and compiled automatically.

UGGT also known as UGT1 is a protein that catalyzes the addition of glucose to misfolded glycoproteins in the endoplasmic reticulum (ER). This enzyme weighs approximately 170 kDa and is found mainly in the ER. It functions by recognizing improperly folded proteins and facilitating their retention in the ER through tagging with a glucose moiety for quality control. The targeting of these proteins ensures only properly folded proteins proceed to the Golgi apparatus.
Biological function summary

UGGT/UGT1 plays an important role in the cellular quality control system. It works as part of the calnexin cycle interacting with chaperones like calnexin and calreticulin which recognize the glycosylated proteins. This cycle ensures that proteins fold correctly before they leave the ER. If proteins remain misfolded UGGT/UGT1 continues to add the glucose tag preventing their exit from the ER until correct folding occurs.

Pathways

UGGT/UGT1 is important for the proper functioning of the ER-associated degradation (ERAD) pathway and the unfolded protein response (UPR). In the ERAD pathway UGGT collaborates with proteins such as EDEM and mannosidase I recognizing and degrading misfolded glycoproteins. By doing so UGGT/UGT1 helps maintain cellular homeostasis balancing protein synthesis and degradation within the ER environment to prevent stress and potential damage.

UGGT/UGT1 has connections to conditions like cystic fibrosis and certain congenital disorders of glycosylation. Cystic fibrosis involves improper protein folding where mutations lead to defective protein cycling and mismanagement of chloride channels like CFTR. In cases of congenital disorders of glycosylation UGGT/UGT1 interacts with proteins involved in glycosylation processes leading to altered glycoprotein profiles with varied clinical outcomes. Understanding UGGT/UGT1's interactions can aid in developing therapeutic strategies targeting protein misfolding.

Product protocols

For this product, it's our understanding that no specific protocols are required. You can visit:

Target data

Recognizes glycoproteins with minor folding defects. Reglucosylates single N-glycans near the misfolded part of the protein, thus providing quality control for protein folding in the endoplasmic reticulum. Reglucosylated proteins are recognized by calreticulin for recycling to the endoplasmic reticulum and refolding or degradation.
See full target information UGGT1

Publications (1)

Recent publications for all applications. Explore the full list and refine your search

Journal of virology 97:e0190722 PubMed36946735

2023

Characterization of the Impact of Merkel Cell Polyomavirus-Induced Interferon Signaling on Viral Infection.

Applications

Unspecified application

Species

Unspecified reactive species

Ranran Wang,June F Yang,Taylor E Senay,Wei Liu,Jianxin You
View all publications

Product promise

We are committed to supporting your work with high-quality reagents, and we're here for you every step of the way. In the unlikely event that one of our products does not perform as expected, you're protected by our Product Promise.
For full details, please see our Terms & Conditions

Please note: All products are 'FOR RESEARCH USE ONLY. NOT FOR USE IN DIAGNOSTIC OR THERAPEUTIC PROCEDURES'.

For licensing inquiries, please contact partnerships@abcam.com