JavaScript is disabled in your browser. Please enable JavaScript to view this website.
AB154683

Anti-UGGT2 antibody

Be the first to review this product! Submit a review

|

(1 Publication)

Rabbit Polyclonal UGGT2 antibody. Suitable for WB, IHC-P and reacts with Human samples. Cited in 1 publication. Immunogen corresponding to Recombinant Fragment Protein within Human UGGT2 aa 650-1200.

View Alternative Names

UGCGL2, UGT2, UGGT2, UDP-glucose:glycoprotein glucosyltransferase 2, hUGT2, UDP--Glc:glycoprotein glucosyltransferase 2, UDP-glucose ceramide glucosyltransferase-like 1

2 Images
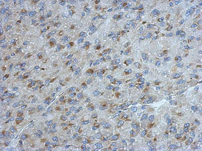
Immunohistochemistry (Formalin/PFA-fixed paraffin-embedded sections) - Anti-UGGT2 antibody (AB154683)
  • IHC-P

Unknown

Immunohistochemistry (Formalin/PFA-fixed paraffin-embedded sections) - Anti-UGGT2 antibody (AB154683)

Immunohistochemical analysis of paraffin-embedded U87 xenograft tissue labeling UGGT2 with ab154683 at 1/500 dilution.

Western blot - Anti-UGGT2 antibody (AB154683)
  • WB

Unknown

Western blot - Anti-UGGT2 antibody (AB154683)

5% SDS PAGE

All lanes:

Western blot - Anti-UGGT2 antibody (ab154683) at 1/1000 dilution

All lanes:

HeLa whole cell lysate at 30 µg/mL

Predicted band size: 175 kDa

false

Key facts

Host species

Rabbit

Clonality

Polyclonal

Isotype

IgG

Carrier free

No

Reacts with

Human

Applications

WB, IHC-P

applications

Immunogen

Recombinant Fragment Protein within Human UGGT2 aa 650-1200. The exact immunogen used to generate this antibody is proprietary information.

Q9NYU1

Reactivity data

{ "title": "Reactivity Data", "filters": { "stats": ["", "Species", "Dilution Info", "Notes"], "tabs": { "all-applications": {"fullname" : "All Applications", "shortname": "All Applications"}, "WB" : {"fullname" : "Western blot", "shortname":"WB"}, "IHCP" : {"fullname" : "Immunohistochemistry (Formalin/PFA-fixed paraffin-embedded sections)", "shortname":"IHC-P"} }, "product-promise": { "all": "all", "testedAndGuaranteed": "tested", "guaranteed": "expected", "predicted": "predicted", "notRecommended": "not-recommended" } }, "values": { "Human": { "WB-species-checked": "testedAndGuaranteed", "WB-species-dilution-info": "1/500 - 1/3000", "WB-species-notes": "<p></p>", "IHCP-species-checked": "testedAndGuaranteed", "IHCP-species-dilution-info": "1/100 - 1/1000", "IHCP-species-notes": "<p></p>" } } }

Properties and storage information

Form
Liquid
Purification technique
Affinity purification Immunogen
Storage buffer
pH: 7 Preservative: 0.01% Thimerosal (merthiolate) Constituents: PBS, 20% Glycerol (glycerin, glycerine)
Shipped at conditions
Blue Ice
Appropriate short-term storage conditions
+4°C
Appropriate long-term storage conditions
-20°C
Aliquoting information
Upon delivery aliquot
Storage information
Avoid freeze / thaw cycle

Supplementary information

This supplementary information is collated from multiple sources and compiled automatically.

UGGT2 also known as UDP-glucose glycoprotein glucosyltransferase 2 is an enzyme involved in protein quality control. It plays a mechanical role in the glycoprotein folding process by adding glucose to improperly folded glycoproteins. The molecular weight of UGGT2 is approximately 170 kilodaltons. It is expressed in a variety of tissues with notable presence in the endoplasmic reticulum.
Biological function summary

UGGT2 functions to ensure proper glycoprotein folding and stability. It is essential in the calnexin/calreticulin cycle a chaperone system in the endoplasmic reticulum where it selectively glucosylates misfolded glycoproteins. This process permits the recognition and binding of these glycoproteins by the chaperone proteins calnexin and calreticulin assisting their proper refolding or targeting them for degradation if refolding fails.

Pathways

UGGT2 is integrated into the endoplasmic reticulum-associated degradation (ERAD) and the unfolded protein response (UPR) pathways. Within the ERAD pathway UGGT2 works in conjunction with other proteins like EDEM1 to recognize and retain misfolded glycoproteins for further processing. In the UPR pathway UGGT2 plays a role in maintaining cellular homeostasis by managing the load of unfolded proteins which is important in the response to cellular stress.

UGGT2 is connected to conditions related to protein misfolding and cellular stress such as neurodegenerative diseases. Aberrant function of UGGT2 may contribute to diseases like Alzheimer's disease where protein aggregates are prevalent. It also interacts with proteins such as APP implicated in neurodegeneration showcasing its significance in understanding these disorders.

Product protocols

For this product, it's our understanding that no specific protocols are required. You can visit:

Target data

Recognizes glycoproteins with minor folding defects. Reglucosylates single N-glycans near the misfolded part of the protein, thus providing quality control for protein folding in the endoplasmic reticulum. Reglucosylated proteins are recognized by calreticulin for recycling to the endoplasmic reticulum and refolding or degradation.
See full target information UGGT2

Publications (1)

Recent publications for all applications. Explore the full list and refine your search

Cell transplantation 29:963689720961070 PubMed32951448

2020

Circ_0000079 Decoys the RNA-Binding Protein FXR1 to Interrupt Formation of the FXR1/PRCKI Complex and Decline Their Mediated Cell Invasion and Drug Resistance in NSCLC.

Applications

Unspecified application

Species

Unspecified reactive species

Chen Chen,Min Zhang,Yan Zhang
View all publications

Product promise

We are committed to supporting your work with high-quality reagents, and we're here for you every step of the way. In the unlikely event that one of our products does not perform as expected, you're protected by our Product Promise.
For full details, please see our Terms & Conditions

Please note: All products are 'FOR RESEARCH USE ONLY. NOT FOR USE IN DIAGNOSTIC OR THERAPEUTIC PROCEDURES'.

For licensing inquiries, please contact partnerships@abcam.com