JavaScript is disabled in your browser. Please enable JavaScript to view this website.
AB249123

Anti-UGPase antibody [EPR10627(B)] - BSA and Azide free

Be the first to review this product! Submit a review

|

(0 Publication)

Rabbit Recombinant Monoclonal UGPase antibody. Carrier free. Suitable for IHC-P, WB, Flow Cyt (Intra) and reacts with Human, Mouse samples.

View Alternative Names

UGP1, UGP2, UTP--glucose-1-phosphate uridylyltransferase, UDP-glucose pyrophosphorylase, UDPGP, UGPase

8 Images
Immunohistochemistry (Formalin/PFA-fixed paraffin-embedded sections) - Anti-UGPase antibody [EPR10627(B)] - BSA and Azide free (AB249123)
  • IHC-P

Unknown

Immunohistochemistry (Formalin/PFA-fixed paraffin-embedded sections) - Anti-UGPase antibody [EPR10627(B)] - BSA and Azide free (AB249123)

This data was developed using ab154817, the same antibody clone in a different buffer formulation.

Immunohistochemical analysis of paraffin embedded Human normal heart tissue using ab154817 showing +ve staining.

Perform heat mediated antigen retrieval with citrate buffer pH 6 before commencing with IHC staining protocol.

Immunohistochemistry (Formalin/PFA-fixed paraffin-embedded sections) - Anti-UGPase antibody [EPR10627(B)] - BSA and Azide free (AB249123)
  • IHC-P

Unknown

Immunohistochemistry (Formalin/PFA-fixed paraffin-embedded sections) - Anti-UGPase antibody [EPR10627(B)] - BSA and Azide free (AB249123)

This data was developed using ab154817, the same antibody clone in a different buffer formulation.

Immunohistochemical analysis of paraffin embedded Human normal liver tissue using ab154817 showing +ve staining.

Perform heat mediated antigen retrieval with citrate buffer pH 6 before commencing with IHC staining protocol.

Immunohistochemistry (Formalin/PFA-fixed paraffin-embedded sections) - Anti-UGPase antibody [EPR10627(B)] - BSA and Azide free (AB249123)
  • IHC-P

Unknown

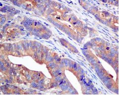
Immunohistochemistry (Formalin/PFA-fixed paraffin-embedded sections) - Anti-UGPase antibody [EPR10627(B)] - BSA and Azide free (AB249123)

This data was developed using ab154817, the same antibody clone in a different buffer formulation.

Immunohistochemical analysis of paraffin-embedded Human colon adenocarcinoma labeling UGPase using ab154817 at 1/50 dilution.

Perform heat mediated antigen retrieval with citrate buffer pH 6 before commencing with IHC staining protocol.

Immunohistochemistry (Formalin/PFA-fixed paraffin-embedded sections) - Anti-UGPase antibody [EPR10627(B)] - BSA and Azide free (AB249123)
  • IHC-P

Unknown

Immunohistochemistry (Formalin/PFA-fixed paraffin-embedded sections) - Anti-UGPase antibody [EPR10627(B)] - BSA and Azide free (AB249123)

This data was developed using ab154817, the same antibody clone in a different buffer formulation.

Immunohistochemical analysis of paraffin embedded Human skeletal muscle tissue using ab154817 showing +ve staining.

Perform heat mediated antigen retrieval with citrate buffer pH 6 before commencing with IHC staining protocol.

Immunohistochemistry (Formalin/PFA-fixed paraffin-embedded sections) - Anti-UGPase antibody [EPR10627(B)] - BSA and Azide free (AB249123)
  • IHC-P

Unknown

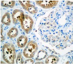
Immunohistochemistry (Formalin/PFA-fixed paraffin-embedded sections) - Anti-UGPase antibody [EPR10627(B)] - BSA and Azide free (AB249123)

This data was developed using ab154817, the same antibody clone in a different buffer formulation.

Immunohistochemical analysis of paraffin-embedded Human kidney labeling UGPase using ab154817 at 1/50 dilution.

Perform heat mediated antigen retrieval with citrate buffer pH 6 before commencing with IHC staining protocol.

Immunohistochemistry (Formalin/PFA-fixed paraffin-embedded sections) - Anti-UGPase antibody [EPR10627(B)] - BSA and Azide free (AB249123)
  • IHC-P

Unknown

Immunohistochemistry (Formalin/PFA-fixed paraffin-embedded sections) - Anti-UGPase antibody [EPR10627(B)] - BSA and Azide free (AB249123)

This data was developed using ab154817, the same antibody clone in a different buffer formulation.

Immunohistochemical analysis of paraffin embedded Human normal colon tissue using ab154817 showing +ve staining.

Perform heat mediated antigen retrieval with citrate buffer pH 6 before commencing with IHC staining protocol.

Flow Cytometry (Intracellular) - Anti-UGPase antibody [EPR10627(B)] - BSA and Azide free (AB249123)
  • Flow Cyt (Intra)

Unknown

Flow Cytometry (Intracellular) - Anti-UGPase antibody [EPR10627(B)] - BSA and Azide free (AB249123)

This data was developed using ab154817, the same antibody clone in a different buffer formulation.

Intracellular flow cytometric analysis of permeabilized NIH 3T3 cells labeling UGPase using ab154817 (red) at 1/10 dilution or a rabbit IgG (negative) (green).

Western blot - Anti-UGPase antibody [EPR10627(B)] - BSA and Azide free (AB249123)
  • WB

Unknown

Western blot - Anti-UGPase antibody [EPR10627(B)] - BSA and Azide free (AB249123)

This data was developed using ab154817, the same antibody clone in a different buffer formulation.

All lanes:

Western blot - Anti-UGPase antibody [EPR10627(B)] (<a href='/en-us/products/primary-antibodies/ugpase-antibody-epr10627b-ab154817'>ab154817</a>) at 1/1000 dilution

Lane 1:

HepG2 cell lysate at 10 µg

Lane 2:

HeLa cell lysate at 10 µg

Lane 3:

NIH 3T3 cell lysate at 10 µg

Lane 4:

Human fetal liver tissue lysate at 10 µg

Predicted band size: 57 kDa

false

Key facts

Host species

Rabbit

Clonality

Monoclonal

Clone number

EPR10627(B)

Isotype

IgG

Carrier free

Yes

Reacts with

Mouse, Human

Applications

Flow Cyt (Intra), IHC-P, WB

applications

Immunogen

The exact immunogen used to generate this antibody is proprietary information.

Reactivity data

{ "title": "Reactivity Data", "filters": { "stats": ["", "Species", "Dilution Info", "Notes"], "tabs": { "all-applications": {"fullname" : "All Applications", "shortname": "All Applications"}, "IHCP" : {"fullname" : "Immunohistochemistry (Formalin/PFA-fixed paraffin-embedded sections)", "shortname":"IHC-P"}, "IP" : {"fullname" : "Immunoprecipitation", "shortname":"IP"}, "WB" : {"fullname" : "Western blot", "shortname":"WB"}, "ICCIF" : {"fullname" : "Immunocytochemistry/ Immunofluorescence", "shortname":"ICC/IF"}, "FlowCytIntra" : {"fullname" : "Flow Cytometry (Intracellular)", "shortname":"Flow Cyt (Intra)"} }, "product-promise": { "all": "all", "testedAndGuaranteed": "tested", "guaranteed": "expected", "predicted": "predicted", "notRecommended": "not-recommended" } }, "values": { "Human": { "IHCP-species-checked": "testedAndGuaranteed", "IHCP-species-dilution-info": "", "IHCP-species-notes": "<p></p>", "IP-species-checked": "notRecommended", "IP-species-dilution-info": "", "IP-species-notes": "<p></p>", "WB-species-checked": "testedAndGuaranteed", "WB-species-dilution-info": "", "WB-species-notes": "<p></p>", "ICCIF-species-checked": "notRecommended", "ICCIF-species-dilution-info": "", "ICCIF-species-notes": "<p></p>", "FlowCytIntra-species-checked": "guaranteed", "FlowCytIntra-species-dilution-info": "", "FlowCytIntra-species-notes": "" }, "Mouse": { "IHCP-species-checked": "guaranteed", "IHCP-species-dilution-info": "", "IHCP-species-notes": "", "IP-species-checked": "notRecommended", "IP-species-dilution-info": "", "IP-species-notes": "<p></p>", "WB-species-checked": "guaranteed", "WB-species-dilution-info": "", "WB-species-notes": "", "ICCIF-species-checked": "notRecommended", "ICCIF-species-dilution-info": "", "ICCIF-species-notes": "<p></p>", "FlowCytIntra-species-checked": "testedAndGuaranteed", "FlowCytIntra-species-dilution-info": "", "FlowCytIntra-species-notes": "<p></p>" }, "Rat": { "IHCP-species-checked": "predicted", "IHCP-species-dilution-info": "", "IHCP-species-notes": "", "IP-species-checked": "notRecommended", "IP-species-dilution-info": "", "IP-species-notes": "", "WB-species-checked": "predicted", "WB-species-dilution-info": "", "WB-species-notes": "", "ICCIF-species-checked": "notRecommended", "ICCIF-species-dilution-info": "", "ICCIF-species-notes": "", "FlowCytIntra-species-checked": "predicted", "FlowCytIntra-species-dilution-info": "", "FlowCytIntra-species-notes": "" }, "Pig": { "IHCP-species-checked": "predicted", "IHCP-species-dilution-info": "", "IHCP-species-notes": "", "IP-species-checked": "notRecommended", "IP-species-dilution-info": "", "IP-species-notes": "", "WB-species-checked": "predicted", "WB-species-dilution-info": "", "WB-species-notes": "", "ICCIF-species-checked": "notRecommended", "ICCIF-species-dilution-info": "", "ICCIF-species-notes": "", "FlowCytIntra-species-checked": "predicted", "FlowCytIntra-species-dilution-info": "", "FlowCytIntra-species-notes": "" } } }

Product details

ab249123 is the carrier-free version of ab154817.

Patented technology
Our RabMAb® technology is a patented hybridoma-based technology for making rabbit monoclonal antibodies. For details on our patents, please refer to RabMAb® patents.

What are the advantages of a recombinant monoclonal antibody?
This product is a recombinant monoclonal antibody, which offers several advantages including:

  • - High batch-to-batch consistency and reproducibility
  • - Improved sensitivity and specificity
  • - Long-term security of supply
  • - Animal-free batch production

For more information, read more on recombinant antibodies.

Conjugation ready
Our carrier-free antibodies are typically supplied in a PBS-only formulation, purified and free of BSA, sodium azide and glycerol. This conjugation-ready format is designed for use with fluorochromes, metal isotopes, oligonucleotides, and enzymes, which makes them ideal for antibody labelling, functional and cell-based assays, flow-based assays (e.g. mass cytometry) and Multiplex Imaging applications.

Use our conjugation kits for antibody conjugates that are ready-to-use in as little as 20 minutes with 1 minute hands-on-time and 100% antibody recovery: available for fluorescent dyes, HRP, biotin and gold.

Compatibility
This product is compatible with the Maxpar® Antibody Labeling Kit from Fluidigm, without the need for antibody preparation. Maxpar® is a trademark of Fluidigm Canada Inc.

Properties and storage information

Form
Liquid
Purification technique
Affinity purification
Storage buffer
pH: 7.2 - 7.4 Constituents: PBS
Shipped at conditions
Blue Ice
Appropriate short-term storage conditions
+4°C
Appropriate long-term storage conditions
+4°C
Storage information
Do Not Freeze

Supplementary information

This supplementary information is collated from multiple sources and compiled automatically.

UGPase also known as UDP-glucose pyrophosphorylase plays an important role in carbohydrate metabolism by catalyzing the reversible formation of UDP-glucose and pyrophosphate from glucose-1-phosphate and UTP. The enzyme has a mass of about 52 kDa. UGPase is expressed in many tissues but especially in liver muscle and brain where carbohydrate metabolism is highly active. Its presence ensures the availability of UDP-glucose which serves as a glycosyl donor in the synthesis of glycogen.
Biological function summary

UGPase provides UDP-glucose a central metabolite in carbohydrate biosynthesis. It does not function as part of a complex but independently supports various biosynthetic pathways. UDP-glucose acts as a precursor not only for glycogen but also for glycoproteins glycolipids and proteoglycans. UGPase activity is critical for maintaining glucose homeostasis and its regulation directly affects carbohydrate allocation and storage.

Pathways

UGPase operates in the glycogen synthesis pathway and the pentose phosphate pathway. In the glycogen synthesis pathway UGPase works closely with glycogen synthase which converts UDP-glucose into glycogen helping in energy storage. In the pentose phosphate pathway UDP-glucose serves as a substrate for enzymes modifying carbohydrate structures. These pathway interactions place UGPase as an essential node linking carbohydrate metabolism routes.

The dysregulation of UGPase affects disorders like glycogen storage diseases and diabetes. An abnormal UGPase activity can lead to inefficient glycogen storage impacting energy balance and contributing to these conditions. The enzyme also connects with proteins like glycogen synthase in glycogen storage diseases illustrating how alterations in its function can disturb glycogen synthesis and storage. Understanding UGPase activity therefore offers insights into metabolic imbalances seen in these diseases.

Product protocols

For this product, it's our understanding that no specific protocols are required. You can visit:

Target data

UTP--glucose-1-phosphate uridylyltransferase catalyzing the conversion of glucose-1-phosphate into UDP-glucose, a crucial precursor for the production of glycogen.
See full target information UGP2

Product promise

We are committed to supporting your work with high-quality reagents, and we're here for you every step of the way. In the unlikely event that one of our products does not perform as expected, you're protected by our Product Promise.
For full details, please see our Terms & Conditions

Please note: All products are 'FOR RESEARCH USE ONLY. NOT FOR USE IN DIAGNOSTIC OR THERAPEUTIC PROCEDURES'.

For licensing inquiries, please contact partnerships@abcam.com