JavaScript is disabled in your browser. Please enable JavaScript to view this website.
AB88517

Anti-UGT1A9 antibody

4

(1 Review)

|

(4 Publications)

Mouse Polyclonal UGT1A9 antibody. Carrier free. Suitable for WB, IHC-P and reacts with Human samples. Cited in 4 publications. Immunogen corresponding to Recombinant Full Length Protein corresponding to Human UDP-glucuronosyltransferase 1A9.

View Alternative Names

GNT1, UGT1, UGT1A9, UDP-glucuronosyltransferase 1A9, UDP-glucuronosyltransferase 1-9, UDP-glucuronosyltransferase 1-I, lugP4, UDPGT 1-9, UGT1*9, UGT1-09, UGT1.9, UGT-1I, UGT1I

3 Images
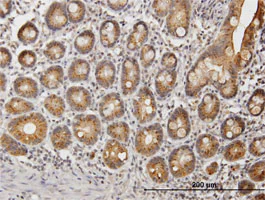
Immunohistochemistry (Formalin/PFA-fixed paraffin-embedded sections) - Anti-UGT1A9 antibody (AB88517)
  • IHC-P

Unknown

Immunohistochemistry (Formalin/PFA-fixed paraffin-embedded sections) - Anti-UGT1A9 antibody (AB88517)

Immunoperoxidase staining of Human small intestine tissue using ab88517 at 3 μg/ml

Western blot - Anti-UGT1A9 antibody (AB88517)
  • WB

Unknown

Western blot - Anti-UGT1A9 antibody (AB88517)

All lanes:

Western blot - Anti-UGT1A9 antibody (ab88517) at 1 µg/mL

All lanes:

Human liver tissue lysate at 50 µg

Secondary

All lanes:

Goat anti-mouse IgG at 1/5000 dilution

Predicted band size: 60 kDa

false

Western blot - Anti-UGT1A9 antibody (AB88517)
  • WB

Unknown

Western blot - Anti-UGT1A9 antibody (AB88517)

All lanes:

Western blot - Anti-UGT1A9 antibody (ab88517) at 1 µg/mL

Lane 1:

UGT1A9 transfected 293T cell lysate at 25 µg

Lane 2:

Untransfected 293T cell lysate at 25 µg

Secondary

All lanes:

Goat anti-mouse IgG at 1/5000 dilution

Predicted band size: 60 kDa

Observed band size: 58 kDa

false

Key facts

Host species

Mouse

Clonality

Polyclonal

Isotype

IgG

Carrier free

Yes

Reacts with

Human

Applications

WB, IHC-P

applications

Immunogen

Recombinant Full Length Protein corresponding to Human UDP-glucuronosyltransferase 1A9.

O60656

Reactivity data

{ "title": "Reactivity Data", "filters": { "stats": ["", "Species", "Dilution Info", "Notes"], "tabs": { "all-applications": {"fullname" : "All Applications", "shortname": "All Applications"}, "WB" : {"fullname" : "Western blot", "shortname":"WB"}, "IHCP" : {"fullname" : "Immunohistochemistry (Formalin/PFA-fixed paraffin-embedded sections)", "shortname":"IHC-P"} }, "product-promise": { "all": "all", "testedAndGuaranteed": "tested", "guaranteed": "expected", "predicted": "predicted", "notRecommended": "not-recommended" } }, "values": { "Human": { "WB-species-checked": "testedAndGuaranteed", "WB-species-dilution-info": "1 µg/mL", "WB-species-notes": "<p></p>", "IHCP-species-checked": "testedAndGuaranteed", "IHCP-species-dilution-info": "3 µg/mL", "IHCP-species-notes": "<p></p>" } } }

Properties and storage information

Form
Liquid
Purification technique
Affinity purification Protein A
Storage buffer
pH: 7.4 Constituents: PBS
Shipped at conditions
Blue Ice
Appropriate short-term storage conditions
+4°C
Appropriate long-term storage conditions
-20°C
Aliquoting information
Upon delivery aliquot
Storage information
Avoid freeze / thaw cycle

Supplementary information

This supplementary information is collated from multiple sources and compiled automatically.

UGT1A9 also known as UDP-glucuronosyltransferase 1-9 mechanistically catalyzes the glucuronidation of a variety of substrates including pharmaceuticals endogenous compounds and xenobiotics. It belongs to the UGT1A family with an approximate mass of 56 kDa. UGT1A9 is mainly expressed in the liver but it also shows expression in other tissues like the kidney and the small intestine. The enzyme plays an important role in increasing the solubility of drugs aiding their excretion from the body.
Biological function summary

UGT1A9 is involved in phase II metabolism contributing to the detoxification processes within the liver. It functions by adding glucuronic acid to lipophilic molecules making them more water-soluble. This glucuronidation process is essential for the clearance of bilirubin steroids and various drugs. UGT1A9 exists as a part of a larger enzyme complex that includes other UGT1A family members. Together these enzymes regulate action and metabolism of diverse physiological substances.

Pathways

The UGT1A9 enzyme contributes significantly to the glucuronidation pathway and assists in the drug metabolism pathway. It shares functional relationships with other UGT1A enzymes like UGT1A1 particularly in the metabolism of bilirubin. In the drug metabolism pathway UGT1A9 interacts with cytochrome P450 enzymes playing an important role in the reduction of drug toxicity and facilitation of drug clearance.

UGT1A9 has been linked to Gilbert's syndrome and drug-induced hepatotoxicity. Mutations or polymorphisms in the UGT1A9 gene can lead to impaired ability of the enzyme to glucuronidate bilirubin potentially contributing to hyperbilirubinemia in Gilbert's syndrome. UGT1A9 also interacts with proteins such as UGT1A1 in the context of drug-induced liver injury affecting the metabolism of certain therapeutic drugs leading to potential toxic buildup.

Product protocols

For this product, it's our understanding that no specific protocols are required. You can visit:

Target data

Isoform 1. UDP-glucuronosyltransferase (UGT) that catalyzes phase II biotransformation reactions in which lipophilic substrates are conjugated with glucuronic acid to increase the metabolite's water solubility, thereby facilitating excretion into either the urine or bile (PubMed : 12181437, PubMed : 15470161, PubMed : 15472229, PubMed : 18004212, PubMed : 18052087, PubMed : 18674515, PubMed : 19545173). Essential for the elimination and detoxification of drugs, xenobiotics and endogenous compounds (PubMed : 12181437, PubMed : 18004212). Catalyzes the glucuronidation of endogenous estrogen hormones such as estradiol and estrone (PubMed : 15472229). Also catalyzes the glucuronidation of the isoflavones genistein, daidzein, glycitein, formononetin, biochanin A and prunetin, which are phytoestrogens with anticancer and cardiovascular properties (PubMed : 18052087, PubMed : 19545173). Involved in the glucuronidation of the AGTR1 angiotensin receptor antagonist caderastan, a drug which can inhibit the effect of angiotensin II (PubMed : 18674515). Involved in the biotransformation of 7-ethyl-10-hydroxycamptothecin (SN-38), the pharmacologically active metabolite of the anticancer drug irinotecan (PubMed : 12181437, PubMed : 20610558). Also metabolizes mycophenolate, an immunosuppressive agent (PubMed : 15470161, PubMed : 18004212).. Isoform 2. Lacks UGT glucuronidation activity but acts as a negative regulator of isoform 1.
See full target information UDP-glucuronosyltransferase 1A9

Publications (4)

Recent publications for all applications. Explore the full list and refine your search

Frontiers in pharmacology 16:1518481 PubMed39931687

2025

The gut-kidney axis is regulated by astragaloside IV to inhibit cyclosporine A-induced nephrotoxicity.

Applications

Unspecified application

Species

Unspecified reactive species

Cong Han,Ran-Ran Gao,Le Zhou,Wei Li

Cancers 16: PubMed39410048

2024

Honey Targets Ribosome Biogenesis Components to Suppress the Growth of Human Pancreatic Cancer Cells.

Applications

Unspecified application

Species

Unspecified reactive species

Aun Ali Bangash,Sahir Sultan Alvi,Muhammad Ali Bangash,Haider Ahsan,Shiza Khan,Rida Shareef,Georgina Villanueva,Divyam Bansal,Mudassier Ahmad,Dae Joon Kim,Subhash C Chauhan,Bilal Bin Hafeez

Frontiers in pharmacology 13:1053610 PubMed36408246

2022

Dysregulated hepatic UDP-glucuronosyltransferases and flavonoids glucuronidation in experimental colitis.

Applications

Unspecified application

Species

Unspecified reactive species

Wanying Zeng,Xiaojing Liu,Yangyang Wu,Yuting Cai,Zhennan Li,Fei Ye,Yuanhong Sun,Feng Li,Huijie Xing,Shuai Wang

Cell transplantation 23:1229-42 PubMed23803290

2013

Neonatal livers: a source for the isolation of good-performing hepatocytes for cell transplantation.

Applications

Unspecified application

Species

Unspecified reactive species

Laia Tolosa,Eugenia Pareja-Ibars,M Teresa Donato,Miriam Cortés,Silvia López,Nuria Jiménez,José Mir,José V Castell,M José Gómez-Lechón
View all publications

Product promise

We are committed to supporting your work with high-quality reagents, and we're here for you every step of the way. In the unlikely event that one of our products does not perform as expected, you're protected by our Product Promise.
For full details, please see our Terms & Conditions

Please note: All products are 'FOR RESEARCH USE ONLY. NOT FOR USE IN DIAGNOSTIC OR THERAPEUTIC PROCEDURES'.

For licensing inquiries, please contact partnerships@abcam.com