JavaScript is disabled in your browser. Please enable JavaScript to view this website.
AB213223

Anti-UHRF1 antibody [EPR18803-11]

5

(2 Reviews)

|

(13 Publications)

Rabbit Recombinant Monoclonal UHRF1 antibody. Suitable for IP, WB, ICC/IF, Flow Cyt (Intra), IHC-P and reacts with Human samples. Cited in 13 publications.

View Alternative Names

ICBP90, NP95, RNF106, UHRF1, E3 ubiquitin-protein ligase UHRF1, Inverted CCAAT box-binding protein of 90 kDa, Nuclear protein 95, Nuclear zinc finger protein Np95, RING finger protein 106, RING-type E3 ubiquitin transferase UHRF1, Transcription factor ICBP90, Ubiquitin-like PHD and RING finger domain-containing protein 1, Ubiquitin-like-containing PHD and RING finger domains protein 1, HuNp95, hNp95, hUHRF1

9 Images
Immunocytochemistry/ Immunofluorescence - Anti-UHRF1 antibody [EPR18803-11] (AB213223)
  • ICC/IF

Supplier Data

Immunocytochemistry/ Immunofluorescence - Anti-UHRF1 antibody [EPR18803-11] (AB213223)

Immunofluorescent analysis of 4% paraformaldehyde-fixed, 0.1% Triton X-100 permeabilized Jurkat (Human T cell leukemia cell line from peripheral blood) cells labeling UHRF1 with ab213223 at 1/500 dilution, followed by Goat Anti-Rabbit IgG (Alexa Fluor®488) (ab150077) secondary antibody at 1/1000 dilution (green).

Confocal image showing nuclear staining on HeLa cell line.

The nuclear counterstain is DAPI (blue).

Tubulin is detected with ab7291 (anti-Tubulin mouse mAb) at 1/1000 dilution and ab150120 (Goat anti-Mouse IgG (Alexa Fluor® 594)) at 1/1000 dilution (red).

The negative controls are as follows : -

-ve control 1 : ab213223 at 1/500 dilution followed by ab150120 at 1/1000 dilution.

-ve control 2 : ab7291 at 1/1000 dilution followed by ab150077 at 1/1000 dilution.

Immunohistochemistry (Formalin/PFA-fixed paraffin-embedded sections) - Anti-UHRF1 antibody [EPR18803-11] (AB213223)
  • IHC-P

Supplier Data

Immunohistochemistry (Formalin/PFA-fixed paraffin-embedded sections) - Anti-UHRF1 antibody [EPR18803-11] (AB213223)

Immunohistochemical analysis of paraffin-embedded Human tonsil tissue labeling UHRF1 with ab213223 at 1/100 dilution, followed by Goat Anti-Rabbit IgG H&L (HRP) (ab97051) at 1/500 dilution.

Nucleus staining on Human tonsil germinal center is observed.

Counter stained with Hematoxylin.

Secondary antibody only control : Used PBS instead of primary antibody, secondary antibody is ab97051 at 1/500 dilution.

Perform heat mediated antigen retrieval with EDTA buffer pH 9 before commencing with IHC staining protocol.

Immunocytochemistry/ Immunofluorescence - Anti-UHRF1 antibody [EPR18803-11] (AB213223)
  • ICC/IF

Supplier Data

Immunocytochemistry/ Immunofluorescence - Anti-UHRF1 antibody [EPR18803-11] (AB213223)

Immunofluorescent analysis of 4% paraformaldehyde-fixed, 0.1% Triton X-100 permeabilized HeLa (Human epithelial cell line from cervix adenocarcinoma) cells labeling UHRF1 with ab213223 at 1/500 dilution, followed by Goat Anti-Rabbit IgG (Alexa Fluor®488) (ab150077) secondary antibody at 1/1000 dilution (green).

Confocal image showing nuclear staining on HeLa cell line.

The nuclear counterstain is DAPI (blue).

Tubulin is detected with ab7291 (anti-Tubulin mouse mAb) at 1/1000 dilution and ab150120 (Goat anti-Mouse IgG (Alexa Fluor® 594)) at 1/1000 dilution (red).

The negative controls are as follows : -

-ve control 1 : ab213223 at 1/500 dilution followed by ab150120 at 1/1000 dilution.

-ve control 2 : ab7291 at 1/1000 dilution followed by ab150077 at 1/1000 dilution.

Flow Cytometry (Intracellular) - Anti-UHRF1 antibody [EPR18803-11] (AB213223)
  • Flow Cyt (Intra)

Supplier Data

Flow Cytometry (Intracellular) - Anti-UHRF1 antibody [EPR18803-11] (AB213223)

Intracellular flow cytometric analysis of 4% paraformaldehyde-fixed Jurkat (Human T cell leukemia cell line from peripheral blood) cells labeling UHRF1with ab213223 at 1/70 dilution (red) compared with a Rabbit IgG,monoclonal [EPR25A] - Isotype control (ab172730) (black) and an unlabelled control (cells without incubation with primary antibody and secondary antibody) (blue). Goat anti Rabbit IgG (Alexa Fluor® 488) at 1/2000 dilution was used as the secondary antibody.

Immunohistochemistry (Formalin/PFA-fixed paraffin-embedded sections) - Anti-UHRF1 antibody [EPR18803-11] (AB213223)
  • IHC-P

Supplier Data

Immunohistochemistry (Formalin/PFA-fixed paraffin-embedded sections) - Anti-UHRF1 antibody [EPR18803-11] (AB213223)

Immunohistochemical analysis of paraffin-embedded Human colon cancer tissue labeling UHRF1 with ab213223 at 1/100 dilution, followed by Goat Anti-Rabbit IgG H&L (HRP) (ab97051) at 1/500 dilution.

Nucleus staining on Human colon cancer is observed.

Counter stained with Hematoxylin.

Secondary antibody only control : Used PBS instead of primary antibody, secondary antibody is ab97051 at 1/500 dilution.

Perform heat mediated antigen retrieval with EDTA buffer pH 9 before commencing with IHC staining protocol.

Immunoprecipitation - Anti-UHRF1 antibody [EPR18803-11] (AB213223)
  • IP

Supplier Data

Immunoprecipitation - Anti-UHRF1 antibody [EPR18803-11] (AB213223)

UHRF1 was immunoprecipitated from 0.35 mg of HeLa (Human epithelial cell line from cervix adenocarcinoma) whole cell lysate with ab213223 at 1/30 dilution.

Western blot was performed from the immunoprecipitate using ab213223 at 1/1000 dilution.

VeriBlot for IP Detection Reagent (HRP) (ab131366), was used for detection at 1/10,000 dilution

Lane 1 : HeLa whole cell lysate, 10μg (Input).

Lane 2 : ab213223 IP in HeLa whole cell lysate.

Lane 3 : Rabbit IgG,monoclonal [EPR25A]-Isotype Control (ab172730) instead of ab213223 in HeLa whole cell lysate.

Blocking and dilution buffer and concentration : 5% NFDM/TBST.

Exposure time : 1 second.

All lanes:

Immunoprecipitation - Anti-UHRF1 antibody [EPR18803-11] (ab213223)

Predicted band size: 89 kDa

false

Western blot - Anti-UHRF1 antibody [EPR18803-11] (AB213223)
  • WB

Lab

Western blot - Anti-UHRF1 antibody [EPR18803-11] (AB213223)

Blocking and diluting buffer and concentration : 5% NFDM/TBST. UHRF1 has two isoforms. UHRF1 undergo degradation under normal conditions as well as in response to DNA damage. (PMID : 23297342, PMID : 36593255)

All lanes:

Western blot - Anti-UHRF1 antibody [EPR18803-11] (ab213223) at 1/1000 dilution

Lane 1:

Human colon tissue lysate at 20 µg

Lane 2:

Human thymus tissue lysate at 20 µg

Secondary

All lanes:

Goat Anti-Rabbit IgG (HRP) with minimal cross-reactivity with human IgG at 1/20000 dilution

Predicted band size: 89 kDa

false

Exposure time: 20s

Western blot - Anti-UHRF1 antibody [EPR18803-11] (AB213223)
  • WB

Supplier Data

Western blot - Anti-UHRF1 antibody [EPR18803-11] (AB213223)

Blocking/Dilution buffer : 5% NFDM/TBST.

Exposure time : Lane 1 and 2 : 5 seconds; Lane 3 : 30 seconds.

All lanes:

Western blot - Anti-UHRF1 antibody [EPR18803-11] (ab213223) at 1/5000 dilution

Lane 1:

HeLa (Human epithelial cell line from cervix adenocarcinoma) whole cell lysate at 20 µg

Lane 2:

Jurkat (Human T cell leukemia cell line from peripheral blood) whole cell lysate at 20 µg

Lane 3:

HepG2 (Human liver hepatocellular carcinoma cell line) whole cell lysate at 20 µg

Secondary

All lanes:

Western blot - Goat Anti-Rabbit IgG H&L (HRP) (<a href='/en-us/products/secondary-antibodies/goat-rabbit-igg-h-l-hrp-ab97051'>ab97051</a>) at 1/100000 dilution

Predicted band size: 89 kDa

Observed band size: 97 kDa

false

Western blot - Anti-UHRF1 antibody [EPR18803-11] (AB213223)
  • WB

Lab

Western blot - Anti-UHRF1 antibody [EPR18803-11] (AB213223)

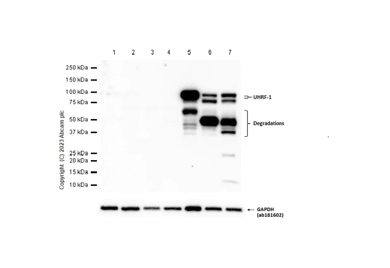
Blocking and diluting buffer and concentration : 5% NFDM/TBST. ab181602 was used as GAPDH loading control. UHRF1 has two isoforms. UHRF1 undergo degradation under normal conditions as well as in response to DNA damage. (PMID : 23297342, PMID : 36593255)

All lanes:

Western blot - Anti-UHRF1 antibody [EPR18803-11] (ab213223) at 1/1000 dilution

Lane 1:

Human brain tissue lysate at 20 µg

Lane 2:

Human kidney tissue lysate at 20 µg

Lane 3:

Human spleen tissue lysate at 20 µg

Lane 4:

Human colon tissue lysate at 20 µg

Lane 5:

HeLa (Human cervix adenocarcinoma epithelial cell) whole cell lysate at 20 µg

Lane 6:

HepG2 (Human hepatocellular carcinoma epithelial cell) whole cell lysate at 20 µg

Lane 7:

U-937 (Human histiocytic lymphoma monocyte) whole cell lysate at 20 µg

Secondary

All lanes:

Goat Anti-Rabbit IgG (HRP) with minimal cross-reactivity with human IgG at 1/20000 dilution

Predicted band size: 89 kDa

false

Exposure time: 20s

  • Carrier free

    Anti-UHRF1 antibody [EPR18803-11] - BSA and Azide free

Key facts

Host species

Rabbit

Clonality

Monoclonal

Clone number

EPR18803-11

Isotype

IgG

Carrier free

No

Reacts with

Human

Applications

ICC/IF, IHC-P, WB, IP, Flow Cyt (Intra)

applications

Immunogen

The exact immunogen used to generate this antibody is proprietary information.

Specificity

UHRF1 is aboundant in tissues like thymus, bone marrow. For other tissues with low expression level, please upload higher amount of tissue lysate or use lower antibody dilution.

Reactivity data

{ "title": "Reactivity Data", "filters": { "stats": ["", "Species", "Dilution Info", "Notes"], "tabs": { "all-applications": {"fullname" : "All Applications", "shortname": "All Applications"}, "IP" : {"fullname" : "Immunoprecipitation", "shortname":"IP"}, "WB" : {"fullname" : "Western blot", "shortname":"WB"}, "ICCIF" : {"fullname" : "Immunocytochemistry/ Immunofluorescence", "shortname":"ICC/IF"}, "FlowCytIntra" : {"fullname" : "Flow Cytometry (Intracellular)", "shortname":"Flow Cyt (Intra)"}, "IHCP" : {"fullname" : "Immunohistochemistry (Formalin/PFA-fixed paraffin-embedded sections)", "shortname":"IHC-P"} }, "product-promise": { "all": "all", "testedAndGuaranteed": "tested", "guaranteed": "expected", "predicted": "predicted", "notRecommended": "not-recommended" } }, "values": { "Human": { "IP-species-checked": "testedAndGuaranteed", "IP-species-dilution-info": "1/30", "IP-species-notes": "<p></p>", "WB-species-checked": "testedAndGuaranteed", "WB-species-dilution-info": "1/1000", "WB-species-notes": "<p></p>", "ICCIF-species-checked": "testedAndGuaranteed", "ICCIF-species-dilution-info": "1/500", "ICCIF-species-notes": "<p>Recommended for human only</p>", "FlowCytIntra-species-checked": "testedAndGuaranteed", "FlowCytIntra-species-dilution-info": "1/70", "FlowCytIntra-species-notes": "<p></p>", "IHCP-species-checked": "testedAndGuaranteed", "IHCP-species-dilution-info": "1/100", "IHCP-species-notes": "<p>Recommended for human only</p>" }, "Mouse": { "IP-species-checked": "notRecommended", "IP-species-dilution-info": "", "IP-species-notes": "", "WB-species-checked": "notRecommended", "WB-species-dilution-info": "", "WB-species-notes": "", "ICCIF-species-checked": "notRecommended", "ICCIF-species-dilution-info": "1/500", "ICCIF-species-notes": "<p>Recommended for human only</p>", "FlowCytIntra-species-checked": "notRecommended", "FlowCytIntra-species-dilution-info": "", "FlowCytIntra-species-notes": "", "IHCP-species-checked": "notRecommended", "IHCP-species-dilution-info": "", "IHCP-species-notes": "" } } }

Product details

Patented technology
Our RabMAb® technology is a patented hybridoma-based technology for making rabbit monoclonal antibodies. For details on our patents, please refer to RabMAb® patents.

What are the advantages of a recombinant monoclonal antibody?
This product is a recombinant monoclonal antibody, which offers several advantages including:

  • - High batch-to-batch consistency and reproducibility
  • - Improved sensitivity and specificity
  • - Long-term security of supply
  • - Animal-free batch production

For more information, read more on recombinant antibodies.

Properties and storage information

Form
Liquid
Purification technique
Affinity purification Protein A
Storage buffer
pH: 7.2 - 7.4 Preservative: 0.01% Sodium azide Constituents: PBS, 40% Glycerol (glycerin, glycerine), 0.05% BSA
Shipped at conditions
Blue Ice
Appropriate short-term storage duration
1-2 weeks
Appropriate short-term storage conditions
+4°C
Appropriate long-term storage conditions
-20°C
Aliquoting information
Upon delivery aliquot
Storage information
Avoid freeze / thaw cycle

Supplementary information

This supplementary information is collated from multiple sources and compiled automatically.

UHRF1 also known as ICBP90 or Np95 is a nuclear protein playing key roles in epigenetic regulation. It weighs approximately 90 kDa. UHRF1 is expressed in various tissues most highly in proliferating cells. Functionally UHRF1 recognizes hemimethylated DNA and recruits DNA methyltransferase 1 (DNMT1) to maintain DNA methylation after replication. This ability to interact with both DNA and chromatin makes UHRF1 central to chromatin modification processes.
Biological function summary

UHRF1 engages in preserving the DNA methylation landscape ensuring proper gene expression patterns. It is part of a multi-protein complex and processes both histone modification and DNA methylation. Its presence is critical for gene silencing through the recruitment of DNMT1 and histone deacetylases. UHRF1 therefore influences regulatory regions of genes important for cell cycle progression and development.

Pathways

UHRF1 integrates into methylation-dependent gene silencing and cell cycle regulation. It actively participates in DNA damage repair pathways by modulating the p53 pathway aiding cell survival post-DNA damage. UHRF1 closely interacts with epigenetic regulators such as DNMT1 and histone deacetylases bridging methylation and chromatin remodeling to ensure proper cell cycle and transcriptional control.

UHRF1's dysregulation links to cancers including breast and lung cancer due to its role in maintaining aberrant methylation. Abnormal UHRF1 expression leads to improper silencing of tumor suppressor genes. UHRF1's interaction with DNMT1 and modulation of pathways involving p53 are important for cancer cell proliferation making it a potential target for cancer therapies.

Product protocols

For this product, it's our understanding that no specific protocols are required. You can visit:

Target data

Multidomain protein that acts as a key epigenetic regulator by bridging DNA methylation and chromatin modification. Specifically recognizes and binds hemimethylated DNA at replication forks via its YDG domain and recruits DNMT1 methyltransferase to ensure faithful propagation of the DNA methylation patterns through DNA replication. In addition to its role in maintenance of DNA methylation, also plays a key role in chromatin modification : through its tudor-like regions and PHD-type zinc fingers, specifically recognizes and binds histone H3 trimethylated at 'Lys-9' (H3K9me3) and unmethylated at 'Arg-2' (H3R2me0), respectively, and recruits chromatin proteins. Enriched in pericentric heterochromatin where it recruits different chromatin modifiers required for this chromatin replication. Also localizes to euchromatic regions where it negatively regulates transcription possibly by impacting DNA methylation and histone modifications. Has E3 ubiquitin-protein ligase activity by mediating the ubiquitination of target proteins such as histone H3 and PML. It is still unclear how E3 ubiquitin-protein ligase activity is related to its role in chromatin in vivo. Plays a role in DNA repair by cooperating with UHRF2 to ensure recruitment of FANCD2 to interstrand cross-links (ICLs) leading to FANCD2 activation. Acts as a critical player of proper spindle architecture by catalyzing the 'Lys-63'-linked ubiquitination of KIF11, thereby controlling KIF11 localization on the spindle (PubMed : 37728657).
See full target information UHRF1

Publications (13)

Recent publications for all applications. Explore the full list and refine your search

Discover oncology 16:1835 PubMed41060497

2025

Development of a novel 4-protein signature for prognostic prediction in hepatitis B virus-induced hepatocellular carcinoma.

Applications

Unspecified application

Species

Unspecified reactive species

HaiFeng Xie,Yuhong Zhao,Xianzhong Luo,Heran Zhou,Pengcheng Tong

Clinical and translational medicine 15:e70380 PubMed40579780

2025

T-cell differentiation stage block bias confers hypermethylation and mediastinal preference in T-cell lymphoblastic lymphoma.

Applications

Unspecified application

Species

Unspecified reactive species

Jiali Wang,Bo Qian,Xiaowen Yu,Yidan Zhang,Chunlei Zhou,Tingting Yang,Le Xia,Gang Zhang,Yi-Xuan Zhang,Yaping Wang,Yongjun Fang

Cell & bioscience 14:153 PubMed39709438

2024

SIRT6 deficiency impairs the deacetylation and ubiquitination of UHRF1 to strengthen glycolysis and lactate secretion in bladder cancer.

Applications

Unspecified application

Species

Unspecified reactive species

Xiaojing Wang,Peipei Zhang,Jiaqi Yan,Jingyi Huang,Yan Shen,Hongchao He,Hongjing Dou

Nature cell biology 26:1943-1957 PubMed39482354

2024

Caspase-2 is a condensate-mediated deubiquitinase in protein quality control.

Applications

Unspecified application

Species

Unspecified reactive species

Yingwei Ge,Lijie Zhou,Yesheng Fu,Lijuan He,Yi Chen,Dingchang Li,Yuping Xie,Jun Yang,Haitao Wu,Hongmiao Dai,Zhiqiang Peng,Yong Zhang,Shaoqiong Yi,Bo Wu,Xin Zhang,Yangjun Zhang,Wantao Ying,Chun-Ping Cui,Cui Hua Liu,Lingqiang Zhang

Acta biochimica et biophysica Sinica 56:1633-1643 PubMed39308302

2024

knockdown induces cell cycle arrest and apoptosis in breast cancer cells through the ZBTB16/ANXA7/Cyclin B1 axis.

Applications

Unspecified application

Species

Unspecified reactive species

Di Liu,Qin Du,Yuxuan Zhu,Yize Guo,Ya Guo

Journal of cellular and molecular medicine 28:e18541 PubMed39046429

2024

Novel candidate metastasis-associated genes for synovial sarcoma.

Applications

Unspecified application

Species

Unspecified reactive species

Zhiqing Zhao,Jianfang Niu,Jichuan Wang,Ranxin Zhang,Haijie Liang,Yingteng Ma,Alexander Ferrena,Wei Wang,Rui Yang,David S Geller,Wei Guo,Tingting Ren,Bang H Hoang,Xiaodong Tang,Taiqiang Yan

Journal of gastroenterology and hepatology 39:596-607 PubMed38059880

2023

Circ ubiquitin-like-containing plant homeodomain and RING finger domains protein 1 increases the stability of G9a and ubiquitin-like-containing plant homeodomain and RING finger domains protein 1 messenger RNA through recruiting eukaryotic translation initiation factor 4A3, transcriptionally inhibiting PDZ and homeobox protein domain protein 1, and promotes the metastasis of hepatocellular carcinoma.

Applications

Unspecified application

Species

Unspecified reactive species

Xin Huang,Li-Zhi Zhou,Wan-Jiang Feng,Yu-Qing Liu,Mi Chen,Lan-Yan Tang,Ze-Ying Gan,Pan Zhang

Frontiers in pharmacology 14:1148611 PubMed37144221

2023

Berberine stimulates lysosomal AMPK independent of PEN2 and maintains cellular AMPK activity through inhibiting the dephosphorylation regulator UHRF1.

Applications

Unspecified application

Species

Unspecified reactive species

Gang Ren,Yu-Wei Ding,Lu-Lu Wang,Jian-Dong Jiang

iScience 26:106544 PubMed37123229

2023

Identification and characterization of the CDK1-BMAL1-UHRF1 pathway driving tumor progression.

Applications

Unspecified application

Species

Unspecified reactive species

Dan Wang,Fenglin Wang,Shengfeng Wang,Ling Chu,Daolin Tang,Pan Chen,Minghua Yang

Open medicine (Warsaw, Poland) 18:20220624 PubMed36712589

2023

WDR79 promotes aerobic glycolysis of pancreatic ductal adenocarcinoma (PDAC) by the suppression of SIRT4.

Applications

Unspecified application

Species

Unspecified reactive species

Wenke Yin,Xiaoyan Song,Yue Xiang
View all publications

Product promise

We are committed to supporting your work with high-quality reagents, and we're here for you every step of the way. In the unlikely event that one of our products does not perform as expected, you're protected by our Product Promise.
For full details, please see our Terms & Conditions

Please note: All products are 'FOR RESEARCH USE ONLY. NOT FOR USE IN DIAGNOSTIC OR THERAPEUTIC PROCEDURES'.

For licensing inquiries, please contact partnerships@abcam.com