JavaScript is disabled in your browser. Please enable JavaScript to view this website.
AB238331

Anti-ULBP1 antibody

Be the first to review this product! Submit a review

|

(3 Publications)

Rabbit Polyclonal ULBP1 antibody. Suitable for IHC-P, ICC/IF and reacts with Human samples. Cited in 3 publications. Immunogen corresponding to Recombinant Full Length Protein corresponding to Human ULBP1.

View Alternative Names

N2DL1, RAET1I, ULBP1, UL16-binding protein 1, ALCAN-beta, NKG2D ligand 1, Retinoic acid early transcript 1I, N2DL-1, NKG2DL1

3 Images
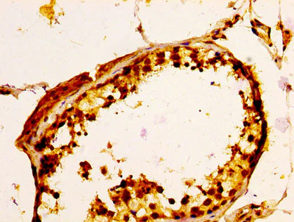
Immunohistochemistry (Formalin/PFA-fixed paraffin-embedded sections) - Anti-ULBP1 antibody (AB238331)
  • IHC-P

Supplier Data

Immunohistochemistry (Formalin/PFA-fixed paraffin-embedded sections) - Anti-ULBP1 antibody (AB238331)

Paraffin-embedded human testis tissue stained for ULBP1 with ab238331 at a 1/100 dilution in immunohistochemical analysis.

After dewaxing and hydration, antigen retrieval was mediated by high pressure in a citrate buffer (pH 6.0). Section was blocked with 10% normal goat serum 30 minutes at RT. Then primary antibody (1% BSA) was incubated at 4°C overnight. The primary is detected by a biotinylated secondary antibody and visualized using an HRP conjugated SP system.

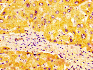
Immunohistochemistry (Formalin/PFA-fixed paraffin-embedded sections) - Anti-ULBP1 antibody (AB238331)
  • IHC-P

Supplier Data

Immunohistochemistry (Formalin/PFA-fixed paraffin-embedded sections) - Anti-ULBP1 antibody (AB238331)

Paraffin-embedded human liver tissue stained for ULBP1 with ab238331 at a 1/100 dilution in immunohistochemical analysis.

After dewaxing and hydration, antigen retrieval was mediated by high pressure in a citrate buffer (pH 6.0). Section was blocked with 10% normal goat serum 30 minutes at RT. Then primary antibody (1% BSA) was incubated at 4°C overnight. The primary is detected by a biotinylated secondary antibody and visualized using an HRP conjugated SP system.

Immunocytochemistry/ Immunofluorescence - Anti-ULBP1 antibody (AB238331)
  • ICC/IF

Supplier Data

Immunocytochemistry/ Immunofluorescence - Anti-ULBP1 antibody (AB238331)

HEK-293 (human epithelial cell line from embryonic kidney) cells stained for ULBP1 using ab238331 at a dilution of 1/33 in ICC/IF.

The cells were fixed in 4% formaldehyde, permeabilized using 0.2% Triton X-100 and blocked in 10% normal goat serum. The cells were then incubated with the primary antibody overnight at 4°C. Secondary used is an Alexa-Fluor®488-conjugated Goat Anti-Rabbit IgG (H+L). Counterstained with DAPI.

Key facts

Host species

Rabbit

Clonality

Polyclonal

Isotype

IgG

Carrier free

No

Reacts with

Human

Applications

IHC-P, ICC/IF

applications

Immunogen

Recombinant Full Length Protein corresponding to Human ULBP1.

Q9BZM6

Reactivity data

{ "title": "Reactivity Data", "filters": { "stats": ["", "Species", "Dilution Info", "Notes"], "tabs": { "all-applications": {"fullname" : "All Applications", "shortname": "All Applications"}, "IHCP" : {"fullname" : "Immunohistochemistry (Formalin/PFA-fixed paraffin-embedded sections)", "shortname":"IHC-P"}, "ICCIF" : {"fullname" : "Immunocytochemistry/ Immunofluorescence", "shortname":"ICC/IF"} }, "product-promise": { "all": "all", "testedAndGuaranteed": "tested", "guaranteed": "expected", "predicted": "predicted", "notRecommended": "not-recommended" } }, "values": { "Human": { "IHCP-species-checked": "testedAndGuaranteed", "IHCP-species-dilution-info": "1/20 - 1/200", "IHCP-species-notes": "<p></p>", "ICCIF-species-checked": "testedAndGuaranteed", "ICCIF-species-dilution-info": "1/20 - 1/200", "ICCIF-species-notes": "<p></p>" } } }

Properties and storage information

Form
Liquid
Purification technique
Affinity purification Protein G
Purification notes
Purity 95%
Storage buffer
pH: 7.4 Preservative: 0.03% Proclin 300 Constituents: PBS, 50% Glycerol (glycerin, glycerine)
Shipped at conditions
Blue Ice
Appropriate short-term storage duration
1-2 weeks
Appropriate short-term storage conditions
+4°C
Appropriate long-term storage conditions
-20°C
Aliquoting information
Upon delivery aliquot
Storage information
Avoid freeze / thaw cycle

Supplementary information

This supplementary information is collated from multiple sources and compiled automatically.

ULBP1 also known as UL16-binding protein 1 is a member of the MHC class I-related molecules. It weighs approximately 28 kDa. ULBP1 acts mechanically as a ligand for the NKG2D receptor part of the activating receptor on natural killer (NK) cells and certain T cells. It is primarily expressed on the surface of various cells including epithelial and some tumor cells. Its expression can be induced by cellular stress or infection.
Biological function summary

This protein plays a critical role in immune surveillance and response to malignancies and infections. ULBP1 does not form a complex on its own but it works closely with other NKG2D ligands contributing to the immune system's ability to recognize and eliminate abnormal cells. Its presence can enhance immune cell-mediated cytotoxicity indicating its role in immune defense.

Pathways

The protein takes an active part in the immune system activation interacting notably within the NK cell-mediated cytotoxicity pathway. It functions alongside other NKG2D ligands like MICA/MICB to modulate the activity of NK cells and T cells. This connection to the NKG2D pathway ensures a critical interface between innate and adaptive immunity reinforcing defense against infected or tumor cells.

Researchers have noted associations between ULBP1 and cancer progression or immune evasion. Its upregulation on tumor cells can lead to tumor clearance; however some cancers may shed ULBP1 to escape immune detection. In autoimmune diseases such as rheumatoid arthritis altered expression of ULBP1 and its interaction with NKG2D can potentially exacerbate inflammation. These interactions emphasize the balance that ULBP1 maintains in managing immune responses and its implications in pathology.

Product protocols

For this product, it's our understanding that no specific protocols are required. You can visit:

Target data

Binds and activates the KLRK1/NKG2D receptor, mediating natural killer cell cytotoxicity.
See full target information ULBP1

Publications (3)

Recent publications for all applications. Explore the full list and refine your search

Oncology letters 29:15 PubMed39492940

2024

UL16‑binding protein 1 is a significant prognostic and diagnostic marker for breast cancer.

Applications

Unspecified application

Species

Unspecified reactive species

Xiaowei Zhang,Shuhong Dai,Liang Li,Pengyun Wang,Mingxin Dong

Heliyon 10:e24499 PubMed38298727

2024

CPY27B1-related vitamin D deficiency contributes to the impaired function of CD4T cells in Recurrent spontaneous miscarriage.

Applications

Unspecified application

Species

Unspecified reactive species

Chaoyan Yue,Yanhui Ma,Mingyan Wang,Minmin Yuan,Yi Meng,Zhiheng Wang,Chunmei Ying

Cancer medicine 12:6337-6347 PubMed36210637

2022

A signature based on NKG2D ligands to predict the recurrence of hepatocellular carcinoma after radical resection.

Applications

Unspecified application

Species

Unspecified reactive species

Dongbo Chen,Jie Gao,Liying Ren,Pu Chen,Yao Yang,Shaoping She,Yong Xie,Weijia Liao,Hongsong Chen
View all publications

Product promise

We are committed to supporting your work with high-quality reagents, and we're here for you every step of the way. In the unlikely event that one of our products does not perform as expected, you're protected by our Product Promise.
For full details, please see our Terms & Conditions

Please note: All products are 'FOR RESEARCH USE ONLY. NOT FOR USE IN DIAGNOSTIC OR THERAPEUTIC PROCEDURES'.

For licensing inquiries, please contact partnerships@abcam.com