JavaScript is disabled in your browser. Please enable JavaScript to view this website.
AB275034

Anti-ULBP2 antibody [EPR22303-124] - BSA and Azide free

Be the first to review this product! Submit a review

|

(0 Publication)

Rabbit Recombinant Monoclonal ULBP2 antibody. Carrier free. Suitable for IP, WB and reacts with Human samples.

View Alternative Names

N2DL2, RAET1H, UNQ463/PRO791, ULBP2, UL16-binding protein 2, ALCAN-alpha, NKG2D ligand 2, Retinoic acid early transcript 1H, N2DL-2, NKG2DL2

2 Images
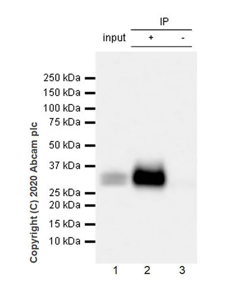
Immunoprecipitation - Anti-ULBP2 antibody [EPR22303-124] - BSA and Azide free (AB275034)
  • IP

Unknown

Immunoprecipitation - Anti-ULBP2 antibody [EPR22303-124] - BSA and Azide free (AB275034)

This data was developed using ab275023, the same antibody clone in a different buffer formulation.

ULBP2 was immunoprecipitated from 0.35 mg BxPC-3 (human pancreas adenocarcinoma epithelial cell), whole cell lysate with ab275023 at 1/30 dilution (2μg in 0.35mg lysates). Western blot was performed on the immunoprecipitate using ab275023 at 1/1000 dilution. VeriBlot for IP Detection Reagent (HRP)(ab131366) was used at 1/5000 dilution.

Lane 1 : BxPC-3 whole cell lysate 10 μg

Lane 2 : ab275023 IP in BxPC-3 whole cell lysate

Lane 3 : Rabbit monoclonal IgG (ab172730) instead of ab275023 in BxPC-3 whole cell lysate

Blocking and dilution buffer and concentration : 5% NFDM/TBST.

Exposure time : 5.5 seconds.

All lanes:

Immunoprecipitation - Anti-ULBP2 antibody [EPR22303-124] (<a href='/en-us/products/primary-antibodies/ulbp2-antibody-epr22303-124-ab275023'>ab275023</a>)

Predicted band size: 27 kDa

Observed band size: 27 kDa

false

Western blot - Anti-ULBP2 antibody [EPR22303-124] - BSA and Azide free (AB275034)
  • WB

Supplier Data

Western blot - Anti-ULBP2 antibody [EPR22303-124] - BSA and Azide free (AB275034)

This data was developed using ab275023, the same antibody clone in a different buffer formulation.

Blocking and dilution buffer : 5% NFDM/TBST.

Exposure times : Lane 1 : 10 seconds Lane 2-7 : 3 minutes.

Negative control : Raji, Daudi (PMID : 12414645).

All lanes:

Western blot - Anti-ULBP2 antibody [EPR22303-124] (<a href='/en-us/products/primary-antibodies/ulbp2-antibody-epr22303-124-ab275023'>ab275023</a>) at 1/1000 dilution

Lane 1:

BxPC-3 (human pancreas adenocarcinoma epithelial cell), whole cell lysate at 20 µg

Lane 2:

MOLT-4 (human lymphoblastic leukemia T lymphoblast), whole cell lysate at 20 µg

Lane 3:

Raji (human Burkitt's lymphoma B lymphocyte), whole cell lysate at 20 µg

Lane 4:

Daudi (human Burkitt's lymphoma lymphoblast), whole cell lysate at 20 µg

Lane 5:

HeLa (human cervix adenocarcinoma epithelial cell), whole cell lysate at 20 µg

Lane 6:

HCT116 (human colorectal carcinoma epithelial cell), whole cell lysate at 20 µg

Lane 7:

U-87 MG (human glioblastoma-astrocytoma epithelial cell), whole cell lysate at 20 µg

Secondary

All lanes:

Goat Anti-Rabbit IgG, (H+L), Peroxidase conjugated (<a href='/en-us/products/secondary-antibodies/goat-rabbit-igg-h-l-hrp-ab97051'>ab97051</a>) at 1/100000 dilution

Predicted band size: 27 kDa

Observed band size: 27 kDa

false

Key facts

Host species

Rabbit

Clonality

Monoclonal

Clone number

EPR22303-124

Isotype

IgG

Carrier free

Yes

Reacts with

Human

Applications

WB, IP

applications

Immunogen

The exact immunogen used to generate this antibody is proprietary information.

Specificity

We have preliminary internal testing data to indicate this antibody weakly cross reacts with recombinant human ULBP5 protein in WB. Please contact us for more information.

Reactivity data

{ "title": "Reactivity Data", "filters": { "stats": ["", "Species", "Dilution Info", "Notes"], "tabs": { "all-applications": {"fullname" : "All Applications", "shortname": "All Applications"}, "ICCIF" : {"fullname" : "Immunocytochemistry/ Immunofluorescence", "shortname":"ICC/IF"}, "IP" : {"fullname" : "Immunoprecipitation", "shortname":"IP"}, "FlowCyt" : {"fullname" : "Flow Cytometry", "shortname":"Flow Cyt"}, "WB" : {"fullname" : "Western blot", "shortname":"WB"}, "IHCP" : {"fullname" : "Immunohistochemistry (Formalin/PFA-fixed paraffin-embedded sections)", "shortname":"IHC-P"} }, "product-promise": { "all": "all", "testedAndGuaranteed": "tested", "guaranteed": "expected", "predicted": "predicted", "notRecommended": "not-recommended" } }, "values": { "Human": { "ICCIF-species-checked": "notRecommended", "ICCIF-species-dilution-info": "", "ICCIF-species-notes": "<p></p>", "IP-species-checked": "testedAndGuaranteed", "IP-species-dilution-info": "", "IP-species-notes": "<p></p>", "FlowCyt-species-checked": "notRecommended", "FlowCyt-species-dilution-info": "", "FlowCyt-species-notes": "<p></p>", "WB-species-checked": "testedAndGuaranteed", "WB-species-dilution-info": "", "WB-species-notes": "<p></p>", "IHCP-species-checked": "notRecommended", "IHCP-species-dilution-info": "", "IHCP-species-notes": "<p></p>" }, "Mouse": { "ICCIF-species-checked": "notRecommended", "ICCIF-species-dilution-info": "", "ICCIF-species-notes": "", "IP-species-checked": "notRecommended", "IP-species-dilution-info": "", "IP-species-notes": "", "FlowCyt-species-checked": "notRecommended", "FlowCyt-species-dilution-info": "", "FlowCyt-species-notes": "", "WB-species-checked": "notRecommended", "WB-species-dilution-info": "", "WB-species-notes": "<p></p>", "IHCP-species-checked": "notRecommended", "IHCP-species-dilution-info": "", "IHCP-species-notes": "<p></p>" }, "Rat": { "ICCIF-species-checked": "notRecommended", "ICCIF-species-dilution-info": "", "ICCIF-species-notes": "", "IP-species-checked": "notRecommended", "IP-species-dilution-info": "", "IP-species-notes": "", "FlowCyt-species-checked": "notRecommended", "FlowCyt-species-dilution-info": "", "FlowCyt-species-notes": "", "WB-species-checked": "notRecommended", "WB-species-dilution-info": "", "WB-species-notes": "<p></p>", "IHCP-species-checked": "notRecommended", "IHCP-species-dilution-info": "", "IHCP-species-notes": "<p></p>" } } }

Product details

ab275034 is the carrier-free version of ab275023.

Patented technology
Our RabMAb® technology is a patented hybridoma-based technology for making rabbit monoclonal antibodies. For details on our patents, please refer to RabMAb® patents.

What are the advantages of a recombinant monoclonal antibody?
This product is a recombinant monoclonal antibody, which offers several advantages including:

  • - High batch-to-batch consistency and reproducibility
  • - Improved sensitivity and specificity
  • - Long-term security of supply
  • - Animal-free batch production

For more information, read more on recombinant antibodies.

Conjugation ready
Our carrier-free antibodies are typically supplied in a PBS-only formulation, purified and free of BSA, sodium azide and glycerol. This conjugation-ready format is designed for use with fluorochromes, metal isotopes, oligonucleotides, and enzymes, which makes them ideal for antibody labelling, functional and cell-based assays, flow-based assays (e.g. mass cytometry) and Multiplex Imaging applications.

Use our conjugation kits for antibody conjugates that are ready-to-use in as little as 20 minutes with 1 minute hands-on-time and 100% antibody recovery: available for fluorescent dyes, HRP, biotin and gold.

Compatibility
This product is compatible with the Maxpar® Antibody Labeling Kit from Fluidigm, without the need for antibody preparation. Maxpar® is a trademark of Fluidigm Canada Inc.

Properties and storage information

Form
Liquid
Purification technique
Affinity purification Protein A
Storage buffer
Constituents: PBS
Shipped at conditions
Blue Ice
Appropriate short-term storage conditions
+4°C
Appropriate long-term storage conditions
+4°C
Storage information
Do Not Freeze

Supplementary information

This supplementary information is collated from multiple sources and compiled automatically.

ULBP2 also known as UL16-binding protein 2 and N2DL2 is a glycoprotein with a mass of approximately 30 kDa. It belongs to the family of NKG2D ligands and plays an essential role in the immune response. This protein is expressed on the surface of a variety of cells including epithelial cells fibroblasts and activated immune cells. Its expression can be induced by cellular stress infection or transformation making it an important player in the regulation of the immune system.
Biological function summary

The function of ULBP2 is to facilitate the activation of natural killer (NK) cells and cytotoxic T lymphocytes through binding to the NKG2D receptor. ULBP2 is not a part of a complex but acts independently to trigger immune responses. By interacting with NKG2D ULBP2 promotes the release of cytokines and enhances the cytolytic activity of these immune cells leading to the destruction of infected or transformed cells. This mechanism allows the immune system to efficiently target and eliminate compromised cells.

Pathways

The interaction between ULBP2 and the NKG2D receptor forms a critical part of the immune surveillance pathway. This pathway detects and responds to cellular abnormalities such as tumorigenesis or viral infections. ULBP2's activity relates closely with other NKG2D ligands and components of the immune checkpoint pathways notably involving proteins like MICA and MICB. Additionally ULBP2’s interaction impacts the balance between activating and inhibitory signals within the NK cell cascade thereby influencing immune system homeostasis.

ULBP2 expression has significant implications in cancer and autoimmune conditions. Elevated levels of ULBP2 are frequently associated with various types of cancer where they can either stimulate anti-tumor immunity or be shed to evade immune detection. In this context the protein interacts with NKG2D which is also expressed on tumor-infiltrating lymphocytes. Additionally altered expression of ULBP2 has been observed in inflammatory disorders potentially contributing to tissue damage due to sustained immune activation. Understanding these interactions is important for developing therapeutic strategies targeting ULBP2-related pathways.

Product protocols

For this product, it's our understanding that no specific protocols are required. You can visit:

Target data

Binds and activates the KLRK1/NKG2D receptor, mediating natural killer cell cytotoxicity.
See full target information ULBP2

Product promise

We are committed to supporting your work with high-quality reagents, and we're here for you every step of the way. In the unlikely event that one of our products does not perform as expected, you're protected by our Product Promise.
For full details, please see our Terms & Conditions

Please note: All products are 'FOR RESEARCH USE ONLY. NOT FOR USE IN DIAGNOSTIC OR THERAPEUTIC PROCEDURES'.

For licensing inquiries, please contact partnerships@abcam.com