JavaScript is disabled in your browser. Please enable JavaScript to view this website.
AB280890

Anti-ULBP2 + RAET1G antibody [EPR24077-5] - BSA and Azide free

Be the first to review this product! Submit a review

|

(0 Publication)

Rabbit Recombinant Monoclonal ULBP2 antibody. Carrier free. Suitable for WB and reacts with Recombinant fragment - Human, Human samples.

View Alternative Names

N2DL2, RAET1H, UNQ463/PRO791, ULBP2, UL16-binding protein 2, ALCAN-alpha, NKG2D ligand 2, Retinoic acid early transcript 1H, N2DL-2, NKG2DL2

2 Images
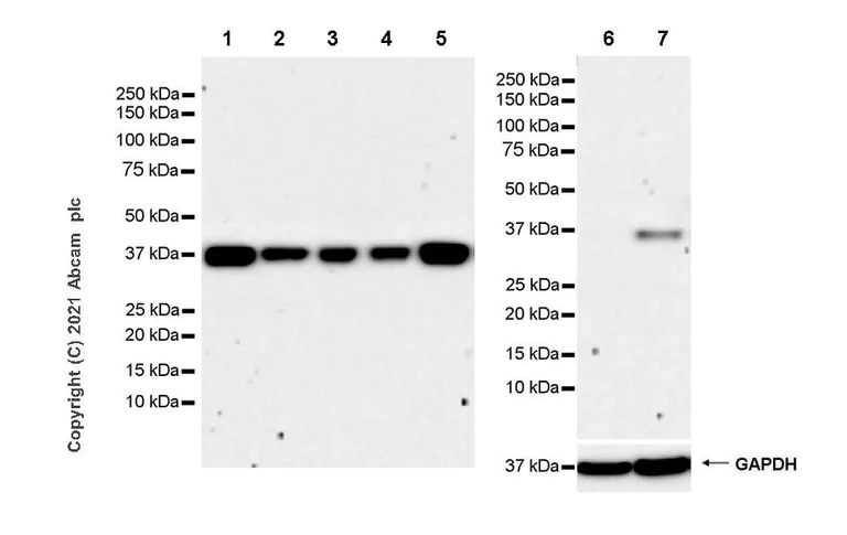
Western blot - Anti-ULBP2 + RAET1G antibody [EPR24077-5] - BSA and Azide free (AB280890)
  • WB

Lab

Western blot - Anti-ULBP2 + RAET1G antibody [EPR24077-5] - BSA and Azide free (AB280890)

This data was developed using ab259955, the same antibody clone in a different buffer formulation.

Blocking and diluting buffer and concentration : 5% NFDM/TBST

Negative control : Human ovary(PMID : 16914326; PMID : 18791713; PMID : 19861434)

Exposure time : 3 minutes

All lanes:

Western blot - Anti-ULBP2 + RAET1G antibody [EPR24077-5] (<a href='/en-us/products/primary-antibodies/ulbp2-raet1g-antibody-epr24077-5-ab259955'>ab259955</a>) at 1/1000 dilution

Lane 1:

K562 (human chronic myelogenous leukemia lymphoblast), whole cell lysate at 20 µg

Lane 2:

NIH:OVCAR-3 (human ovary adenocarcinoma epithelial cell), whole cell lysate at 20 µg

Lane 3:

Jurkat (human T cell leukemia T lymphocyte), whole cell lysate at 20 µg

Lane 4:

HepG2 (human hepatocellar carcinoma epithelial cell), whole cell lysate 20 at 20 µg

Lane 5:

THP-1 (human monocytic leukemia monocyte), whole cell lysate at 20 µg

Lane 6:

Human ovary tissue lysate at 20 µg

Lane 7:

Human ovary cancer tissue lysate at 20 µg

Secondary

All lanes:

Western blot - Goat Anti-Rabbit IgG H&L (HRP) (<a href='/en-us/products/secondary-antibodies/goat-rabbit-igg-h-l-hrp-ab97051'>ab97051</a>) at 1/100000 dilution

Observed band size: 37 kDa

false

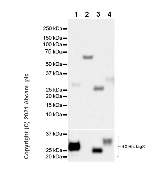
Western blot - Anti-ULBP2 + RAET1G antibody [EPR24077-5] - BSA and Azide free (AB280890)
  • WB

Lab

Western blot - Anti-ULBP2 + RAET1G antibody [EPR24077-5] - BSA and Azide free (AB280890)

This data was developed using ab259955, the same antibody clone in a different buffer formulation.

Blocking and diluting buffer and concentration : 5% NFDM/TBST

We have preliminary internal testing data to indicate this antibody weakly cross reacts with recombinant human ULBP1/6 protein in WB.

Exposure time : 7.75 seconds

All lanes:

Western blot - Anti-ULBP2 + RAET1G antibody [EPR24077-5] (<a href='/en-us/products/primary-antibodies/ulbp2-raet1g-antibody-epr24077-5-ab259955'>ab259955</a>) at 1/1000 dilution

Lane 1:

His-tagged human ULBP1 recombinant protein (aa 29-216) at 0.01 µg

Lane 2:

FC-tagged human ULBP2 recombinant protein (aa 26-217) at 0.01 µg

Lane 3:

His-tagged human ULBP5 recombinant protein (aa 29-210) at 0.01 µg

Lane 4:

His-tagged human ULBP6 recombinant protein (aa 26-218) at 0.01 µg

Secondary

All lanes:

Western blot - Goat Anti-Rabbit IgG H&L (HRP) (<a href='/en-us/products/secondary-antibodies/goat-rabbit-igg-h-l-hrp-ab97051'>ab97051</a>) at 1/100000 dilution

Observed band size: 25-75 kDa

false

Key facts

Host species

Rabbit

Clonality

Monoclonal

Clone number

EPR24077-5

Isotype

IgG

Carrier free

Yes

Reacts with

Human

Applications

WB

applications

Immunogen

The exact immunogen used to generate this antibody is proprietary information.

Reactivity data

{ "title": "Reactivity Data", "filters": { "stats": ["", "Species", "Dilution Info", "Notes"], "tabs": { "all-applications": {"fullname" : "All Applications", "shortname": "All Applications"}, "WB" : {"fullname" : "Western blot", "shortname":"WB"}, "IHCP" : {"fullname" : "Immunohistochemistry (Formalin/PFA-fixed paraffin-embedded sections)", "shortname":"IHC-P"}, "FlowCyt" : {"fullname" : "Flow Cytometry", "shortname":"Flow Cyt"}, "FlowCytIntra" : {"fullname" : "Flow Cytometry (Intracellular)", "shortname":"Flow Cyt (Intra)"}, "IP" : {"fullname" : "Immunoprecipitation", "shortname":"IP"}, "ICCIF" : {"fullname" : "Immunocytochemistry/ Immunofluorescence", "shortname":"ICC/IF"} }, "product-promise": { "all": "all", "testedAndGuaranteed": "tested", "guaranteed": "expected", "predicted": "predicted", "notRecommended": "not-recommended" } }, "values": { "Human": { "WB-species-checked": "testedAndGuaranteed", "WB-species-dilution-info": "", "WB-species-notes": "<p></p>", "IHCP-species-checked": "notRecommended", "IHCP-species-dilution-info": "", "IHCP-species-notes": "<p></p>", "FlowCyt-species-checked": "notRecommended", "FlowCyt-species-dilution-info": "", "FlowCyt-species-notes": "<p></p>", "FlowCytIntra-species-checked": "notRecommended", "FlowCytIntra-species-dilution-info": "", "FlowCytIntra-species-notes": "<p></p>", "IP-species-checked": "notRecommended", "IP-species-dilution-info": "", "IP-species-notes": "<p></p>", "ICCIF-species-checked": "notRecommended", "ICCIF-species-dilution-info": "", "ICCIF-species-notes": "<p></p>" }, "Recombinant fragment - Human": { "WB-species-checked": "testedAndGuaranteed", "WB-species-dilution-info": "", "WB-species-notes": "<p></p>", "IHCP-species-checked": "notRecommended", "IHCP-species-dilution-info": "", "IHCP-species-notes": "", "FlowCyt-species-checked": "notRecommended", "FlowCyt-species-dilution-info": "", "FlowCyt-species-notes": "", "FlowCytIntra-species-checked": "notRecommended", "FlowCytIntra-species-dilution-info": "", "FlowCytIntra-species-notes": "", "IP-species-checked": "notRecommended", "IP-species-dilution-info": "", "IP-species-notes": "", "ICCIF-species-checked": "notRecommended", "ICCIF-species-dilution-info": "", "ICCIF-species-notes": "" } } }

You may be interested in:

AB288172

Human ULBP2 ELISA Kit

0

0 Reviews

View product

We recommend this product because it’s often used in the same experiment or related research.

We advise that you always check the datasheet to ensure it fits your experiments, or contact ourtechnical teamfor help.

Product details

ab280890 is the carrier-free version of ab259955.

Patented technology
Our RabMAb® technology is a patented hybridoma-based technology for making rabbit monoclonal antibodies. For details on our patents, please refer to RabMAb® patents.

What are the advantages of a recombinant monoclonal antibody?
This product is a recombinant monoclonal antibody, which offers several advantages including:

  • - High batch-to-batch consistency and reproducibility
  • - Improved sensitivity and specificity
  • - Long-term security of supply
  • - Animal-free batch production

For more information, read more on recombinant antibodies.

Conjugation ready
Our carrier-free antibodies are typically supplied in a PBS-only formulation, purified and free of BSA, sodium azide and glycerol. This conjugation-ready format is designed for use with fluorochromes, metal isotopes, oligonucleotides, and enzymes, which makes them ideal for antibody labelling, functional and cell-based assays, flow-based assays (e.g. mass cytometry) and Multiplex Imaging applications.

Use our conjugation kits for antibody conjugates that are ready-to-use in as little as 20 minutes with 1 minute hands-on-time and 100% antibody recovery: available for fluorescent dyes, HRP, biotin and gold.

Compatibility
This product is compatible with the Maxpar® Antibody Labeling Kit from Fluidigm, without the need for antibody preparation. Maxpar® is a trademark of Fluidigm Canada Inc.

Properties and storage information

Form
Liquid
Purification technique
Affinity purification Protein A
Storage buffer
Constituents: 100% PBS
Shipped at conditions
Blue Ice
Appropriate short-term storage conditions
+4°C
Appropriate long-term storage conditions
+4°C

Supplementary information

This supplementary information is collated from multiple sources and compiled automatically.

ULBP2 also known as RAET1G is a ligand for the NKG2D receptor. It has a molecular mass of about 26 kDa. This protein expresses mainly on the cell surface of many tissues including the epithelium and immune cells. As a part of the ULBP family ULBP2 shares similarities with other NKG2D ligands playing a important roles in immune recognition processes.
Biological function summary

ULBP2 functions as a stress-induced ligand that activates the immune system by binding to the NKG2D receptor on natural killer (NK) cells and some T cells. This interaction triggers cell-mediated cytotoxicity against the target cells. ULBP2 does not operate within a complex but acts independently to communicate cellular stress or abnormal conditions to the immune system. This protein's action can lead to the elimination of damaged or transformed cells.

Pathways

ULBP2 is engaged in the immune surveillance pathways specifically the activation of NK cells and certain T-cell responses. NKG2D receptor activation by ULBP2 forms an important component of the innate immune response facilitating the recognition and destruction of distressed cells. This pathway overlaps with common immune signaling pathways involving proteins like DAP10 an adaptor protein that links NKG2D to intracellular kinase signaling cascades.

ULBP2 involvement links to cancer and viral infections. Aberrant expression of ULBP2 can occur in conditions where cells experience stress such as in tumor environments where tumor cells may use ULBP2 to evade immune detection partially. Human cytomegalovirus (HCMV) infection leads to modulation of NKG2D ligands such as ULBP2 affecting immune evasion. In these disorders the interaction between ULBP2 and the NKG2D receptor is important for understanding how cells manipulate immune system engagement for survival.

Product protocols

For this product, it's our understanding that no specific protocols are required. You can visit:

Target data

Binds and activates the KLRK1/NKG2D receptor, mediating natural killer cell cytotoxicity.
See full target information ULBP2

Product promise

We are committed to supporting your work with high-quality reagents, and we're here for you every step of the way. In the unlikely event that one of our products does not perform as expected, you're protected by our Product Promise.
For full details, please see our Terms & Conditions

Please note: All products are 'FOR RESEARCH USE ONLY. NOT FOR USE IN DIAGNOSTIC OR THERAPEUTIC PROCEDURES'.

For licensing inquiries, please contact partnerships@abcam.com