JavaScript is disabled in your browser. Please enable JavaScript to view this website.
AB244525

Anti-ULBP3 antibody

Be the first to review this product! Submit a review

|

(1 Publication)

Rabbit Polyclonal ULBP3 antibody. Suitable for IHC-P and reacts with Human samples. Cited in 1 publication. Immunogen corresponding to Recombinant Fragment Protein within Human ULBP3 aa 1-100.

View Alternative Names

N2DL3, RAET1N, ULBP3, UL16-binding protein 3, ALCAN-gamma, NKG2D ligand 3, Retinoic acid early transcript 1N, N2DL-3, NKG2DL3

1 Images
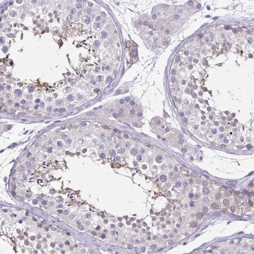
Immunohistochemistry (Formalin/PFA-fixed paraffin-embedded sections) - Anti-ULBP3 antibody (AB244525)
  • IHC-P

Unknown

Immunohistochemistry (Formalin/PFA-fixed paraffin-embedded sections) - Anti-ULBP3 antibody (AB244525)

Paraffin-embedded human testis tissue stained for ULBP3 using ab244525 at 1/500 dilution in immunohistochemical analysis.

Key facts

Host species

Rabbit

Clonality

Polyclonal

Isotype

IgG

Carrier free

No

Reacts with

Human

Applications

IHC-P

applications

Immunogen

Recombinant Fragment Protein within Human ULBP3 aa 1-100. The exact immunogen used to generate this antibody is proprietary information.

Q9BZM4

Reactivity data

{ "title": "Reactivity Data", "filters": { "stats": ["", "Species", "Dilution Info", "Notes"], "tabs": { "all-applications": {"fullname" : "All Applications", "shortname": "All Applications"}, "IHCP" : {"fullname" : "Immunohistochemistry (Formalin/PFA-fixed paraffin-embedded sections)", "shortname":"IHC-P"} }, "product-promise": { "all": "all", "testedAndGuaranteed": "tested", "guaranteed": "expected", "predicted": "predicted", "notRecommended": "not-recommended" } }, "values": { "Human": { "IHCP-species-checked": "testedAndGuaranteed", "IHCP-species-dilution-info": "1/500 - 1/1000", "IHCP-species-notes": "<p></p> Perform heat-mediated antigen retrieval with citrate buffer pH 6 before commencing with IHC staining protocol." } } }

Properties and storage information

Form
Liquid
Purification technique
Affinity purification Immunogen
Storage buffer
pH: 7.2 Preservative: 0.02% Sodium azide Constituents: PBS, 40% Glycerol (glycerin, glycerine)
Shipped at conditions
Blue Ice
Appropriate short-term storage duration
1-2 weeks
Appropriate short-term storage conditions
+4°C
Appropriate long-term storage conditions
-20°C
Aliquoting information
Upon delivery aliquot
Storage information
Avoid freeze / thaw cycle

Supplementary information

This supplementary information is collated from multiple sources and compiled automatically.

ULBP3 also known as UL16 binding protein 3 plays a significant role in immune surveillance. The protein is a member of the NKG2D ligand family and has a mass of approximately 30 kDa. ULBP3 is expressed on the cell surface of many human tissues predominantly in stressed transformed or infected cells where it becomes more prominent. The expression of ULBP3 signals to immune cells especially natural killer (NK) cells and some subsets of T-cells acting as an essential point of recognition and interaction.
Biological function summary

ULBP3 interacts with the activating receptor NKG2D to initiate immune responses against tumor cells or pathogen-infected cells. The binding of ULBP3 to NKG2D forms a part of the recognition process leading to the activation of NK cells and cytotoxic T cells enhancing their ability to destroy target cells. ULBP3 operates independently and not as part of a larger ligand complex making its interactions directly important for regulating immune function across different environments and conditions aiding in the maintenance of cellular homeostasis.

Pathways

ULBP3 participates integrally in immune signaling pathways like the NKG2D receptor-mediated pathway. Within this pathway its role in signaling enhances NK cell cytotoxicity and cytokine production. ULBP3 is related to other NKG2D ligands like MICA MICB and other ULBP molecules through this immune recognition pathway collectively contributing to immune defense mechanisms. These pathways form a critical element of the broader immune surveillance mechanism in the human body.

ULBP3 has associations with various cancers and infectious diseases. Overexpression of ULBP3 has been observed in certain types of cancers such as lymphoma where it promotes recognition by the NK cells. Another area of interest is its role in viral infections where pathogens may modulate ULBP3 expression to evade the immune system. ULBP3's interaction with proteins like NKG2D is vital in modulating immune responses during these diseases highlighting its potential both as a target for therapeutic intervention and a biomarker for disease progression.

Product protocols

For this product, it's our understanding that no specific protocols are required. You can visit:

Target data

Binds and activates the KLRK1/NKG2D receptor, mediating natural killer cell cytotoxicity.
See full target information ULBP3

Publications (1)

Recent publications for all applications. Explore the full list and refine your search

F1000Research 12:308 PubMed37545650

2023

The identification of high-performing antibodies for transmembrane protein 106B (TMEM106B) for use in Western blot, immunoprecipitation, and immunofluorescence.

Applications

Unspecified application

Species

Unspecified reactive species

Riham Ayoubi,Maryam Fotouhi,Kathleen Southern,Ritika Bhajiawala,Rebeka Fanti,Panagiotis Prinos,Peter S McPherson,Carl Laflamme
View all publications

Product promise

We are committed to supporting your work with high-quality reagents, and we're here for you every step of the way. In the unlikely event that one of our products does not perform as expected, you're protected by our Product Promise.
For full details, please see our Terms & Conditions

Please note: All products are 'FOR RESEARCH USE ONLY. NOT FOR USE IN DIAGNOSTIC OR THERAPEUTIC PROCEDURES'.

For licensing inquiries, please contact partnerships@abcam.com