JavaScript is disabled in your browser. Please enable JavaScript to view this website.
AB281829

Anti-ULBP3 antibody [EPR24076-49] - BSA and Azide free

Be the first to review this product! Submit a review

|

(0 Publication)

Rabbit Recombinant Monoclonal ULBP3 antibody. Carrier free. Suitable for IP, WB and reacts with Human samples.

View Alternative Names

N2DL3, RAET1N, ULBP3, UL16-binding protein 3, ALCAN-gamma, NKG2D ligand 3, Retinoic acid early transcript 1N, N2DL-3, NKG2DL3

4 Images
Western blot - Anti-ULBP3 antibody [EPR24076-49] - BSA and Azide free (AB281829)
  • WB

Lab

Western blot - Anti-ULBP3 antibody [EPR24076-49] - BSA and Azide free (AB281829)

This data was developed using 259988, the same antibody clone in a different buffer formulation.

Blocking and diluting buffer and concentration : 5% NFDM/TBST.

Exposure time : 3 minutes.

All lanes:

Western blot - Anti-ULBP3 antibody [EPR24076-49] (<a href='/en-us/products/primary-antibodies/ulbp3-antibody-epr24076-49-ab259988'>ab259988</a>) at 1/1000 dilution

All lanes:

Human testis tissue lysate at 20 µg

Secondary

All lanes:

Goat Anti-Rabbit IgG, (H+L), Peroxidase conjugated at 1/2000 dilution

Predicted band size: 28 kDa

Observed band size: 30 kDa

false

Immunoprecipitation - Anti-ULBP3 antibody [EPR24076-49] - BSA and Azide free (AB281829)
  • IP

Supplier Data

Immunoprecipitation - Anti-ULBP3 antibody [EPR24076-49] - BSA and Azide free (AB281829)

This data was developed using ab259988, the same antibody clone in a different buffer formulation.

ULBP3 was immunoprecipitated from 0.35 mg MDA-MB-231 (human breast adenocarcinoma epithelial cell) whole cell lysate with ab259988 at 1/30 dilution (2ug in 0.35mg lysates). Western blot was performed on the immunoprecipitate using ab259988 at 1/1000 dilution. VeriBlot for IP Detection Reagent (HRP)(ab131366) was used at 1/5000 dilution.

Lane 1 : MDA-MB-231 (human breast adenocarcinoma epithelial cell) whole cell lysate 10 ug

Lane 2 : ab259988 IP in MDA-MB-231 whole cell lysate

Lane 3 : Rabbit monoclonal IgG (ab172730) instead of ab259988 in MDA-MB-231 whole cell lysate

Blocking and dilution buffer and concentration : 5% NFDM/TBST.

Exposure time : 10 seconds.

All lanes:

Immunoprecipitation - Anti-ULBP3 antibody [EPR24076-49] (<a href='/en-us/products/primary-antibodies/ulbp3-antibody-epr24076-49-ab259988'>ab259988</a>)

Predicted band size: 28 kDa

Observed band size: 30 kDa

false

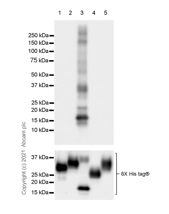
Western blot - Anti-ULBP3 antibody [EPR24076-49] - BSA and Azide free (AB281829)
  • WB

Lab

Western blot - Anti-ULBP3 antibody [EPR24076-49] - BSA and Azide free (AB281829)

Blocking and diluting buffer and concentration : 5% NFDM/TBST.

Exposure time : 3 seconds.

All lanes:

Western blot - Anti-ULBP3 antibody [EPR24076-49] (<a href='/en-us/products/primary-antibodies/ulbp3-antibody-epr24076-49-ab259988'>ab259988</a>) at 1/1000 dilution

Lane 1:

His-tagged human ULBP1 recombinant protein (aa 29-216) at 0.02 µg

Lane 2:

His-tagged human ULBP2 recombinant protein (aa 26-216) at 0.02 µg

Lane 3:

His-tagged human ULBP3 recombinant protein (aa 30-171) at 0.02 µg

Lane 4:

His-tagged human ULBP5 recombinant protein (aa 1-210) at 0.02 µg

Lane 5:

His-tagged human ULBP6 recombinant protein ( aa 1-218) at 0.02 µg

Secondary

All lanes:

Western blot - Goat Anti-Rabbit IgG H&L (HRP) (<a href='/en-us/products/secondary-antibodies/goat-rabbit-igg-h-l-hrp-ab97051'>ab97051</a>) at 1/100000 dilution

Predicted band size: 28 kDa

false

Western blot - Anti-ULBP3 antibody [EPR24076-49] - BSA and Azide free (AB281829)
  • WB

Lab

Western blot - Anti-ULBP3 antibody [EPR24076-49] - BSA and Azide free (AB281829)

This data was developed using 259988, the same antibody clone in a different buffer formulation.

Blocking and diluting buffer and concentration : 5% NFDM/TBST.

Low expression : Raji (PMID : 12414645).

A 50 kDa undetermined band was observed in SW480 cell lysate.

Exposure time : 3 minutes.

All lanes:

Western blot - Anti-ULBP3 antibody [EPR24076-49] (<a href='/en-us/products/primary-antibodies/ulbp3-antibody-epr24076-49-ab259988'>ab259988</a>) at 1/1000 dilution

Lane 1:

SW480 (human colorectal adenocarcinoma epithelial cell) whole cell lysate at 20 µg

Lane 2:

MDA-MB-231 (human breast adenocarcinoma epithelial cell) whole cell lysate at 20 µg

Lane 3:

Raji (human Burkitts lymphoma b lymphocyte) whole cell lysate at 40 µg

Secondary

All lanes:

Western blot - Goat Anti-Rabbit IgG H&L (HRP) (<a href='/en-us/products/secondary-antibodies/goat-rabbit-igg-h-l-hrp-ab97051'>ab97051</a>) at 1/100000 dilution

Predicted band size: 28 kDa

Observed band size: 30 kDa

false

Key facts

Host species

Rabbit

Clonality

Monoclonal

Clone number

EPR24076-49

Isotype

IgG

Carrier free

Yes

Reacts with

Human

Applications

WB, IP

applications

Immunogen

The exact immunogen used to generate this antibody is proprietary information.

Reactivity data

{ "title": "Reactivity Data", "filters": { "stats": ["", "Species", "Dilution Info", "Notes"], "tabs": { "all-applications": {"fullname" : "All Applications", "shortname": "All Applications"}, "ICCIF" : {"fullname" : "Immunocytochemistry/ Immunofluorescence", "shortname":"ICC/IF"}, "IP" : {"fullname" : "Immunoprecipitation", "shortname":"IP"}, "FlowCyt" : {"fullname" : "Flow Cytometry", "shortname":"Flow Cyt"}, "WB" : {"fullname" : "Western blot", "shortname":"WB"}, "IHCP" : {"fullname" : "Immunohistochemistry (Formalin/PFA-fixed paraffin-embedded sections)", "shortname":"IHC-P"} }, "product-promise": { "all": "all", "testedAndGuaranteed": "tested", "guaranteed": "expected", "predicted": "predicted", "notRecommended": "not-recommended" } }, "values": { "Human": { "ICCIF-species-checked": "notRecommended", "ICCIF-species-dilution-info": "", "ICCIF-species-notes": "<p></p>", "IP-species-checked": "testedAndGuaranteed", "IP-species-dilution-info": "", "IP-species-notes": "<p></p>", "FlowCyt-species-checked": "notRecommended", "FlowCyt-species-dilution-info": "", "FlowCyt-species-notes": "<p></p>", "WB-species-checked": "testedAndGuaranteed", "WB-species-dilution-info": "", "WB-species-notes": "<p></p>", "IHCP-species-checked": "notRecommended", "IHCP-species-dilution-info": "", "IHCP-species-notes": "<p></p>" }, "Mouse": { "ICCIF-species-checked": "notRecommended", "ICCIF-species-dilution-info": "", "ICCIF-species-notes": "", "IP-species-checked": "notRecommended", "IP-species-dilution-info": "", "IP-species-notes": "", "FlowCyt-species-checked": "notRecommended", "FlowCyt-species-dilution-info": "", "FlowCyt-species-notes": "", "WB-species-checked": "notRecommended", "WB-species-dilution-info": "", "WB-species-notes": "<p></p>", "IHCP-species-checked": "notRecommended", "IHCP-species-dilution-info": "", "IHCP-species-notes": "<p></p>" }, "Rat": { "ICCIF-species-checked": "notRecommended", "ICCIF-species-dilution-info": "", "ICCIF-species-notes": "", "IP-species-checked": "notRecommended", "IP-species-dilution-info": "", "IP-species-notes": "", "FlowCyt-species-checked": "notRecommended", "FlowCyt-species-dilution-info": "", "FlowCyt-species-notes": "", "WB-species-checked": "notRecommended", "WB-species-dilution-info": "", "WB-species-notes": "<p></p>", "IHCP-species-checked": "notRecommended", "IHCP-species-dilution-info": "", "IHCP-species-notes": "<p></p>" } } }

Product details

ab281829 is the carrier-free version of ab259988.

Patented technology
Our RabMAb® technology is a patented hybridoma-based technology for making rabbit monoclonal antibodies. For details on our patents, please refer to RabMAb® patents.

What are the advantages of a recombinant monoclonal antibody?
This product is a recombinant monoclonal antibody, which offers several advantages including:

  • - High batch-to-batch consistency and reproducibility
  • - Improved sensitivity and specificity
  • - Long-term security of supply
  • - Animal-free batch production

For more information, read more on recombinant antibodies.

Conjugation ready
Our carrier-free antibodies are typically supplied in a PBS-only formulation, purified and free of BSA, sodium azide and glycerol. This conjugation-ready format is designed for use with fluorochromes, metal isotopes, oligonucleotides, and enzymes, which makes them ideal for antibody labelling, functional and cell-based assays, flow-based assays (e.g. mass cytometry) and Multiplex Imaging applications.

Use our conjugation kits for antibody conjugates that are ready-to-use in as little as 20 minutes with 1 minute hands-on-time and 100% antibody recovery: available for fluorescent dyes, HRP, biotin and gold.

Compatibility
This product is compatible with the Maxpar® Antibody Labeling Kit from Fluidigm, without the need for antibody preparation. Maxpar® is a trademark of Fluidigm Canada Inc.

Properties and storage information

Form
Liquid
Purification technique
Affinity purification Protein A
Storage buffer
Constituents: PBS
Shipped at conditions
Blue Ice
Appropriate short-term storage conditions
+4°C
Appropriate long-term storage conditions
+4°C

Supplementary information

This supplementary information is collated from multiple sources and compiled automatically.

ULBP3 also known as UL16 binding protein 3 plays a significant role in immune surveillance. The protein is a member of the NKG2D ligand family and has a mass of approximately 30 kDa. ULBP3 is expressed on the cell surface of many human tissues predominantly in stressed transformed or infected cells where it becomes more prominent. The expression of ULBP3 signals to immune cells especially natural killer (NK) cells and some subsets of T-cells acting as an essential point of recognition and interaction.
Biological function summary

ULBP3 interacts with the activating receptor NKG2D to initiate immune responses against tumor cells or pathogen-infected cells. The binding of ULBP3 to NKG2D forms a part of the recognition process leading to the activation of NK cells and cytotoxic T cells enhancing their ability to destroy target cells. ULBP3 operates independently and not as part of a larger ligand complex making its interactions directly important for regulating immune function across different environments and conditions aiding in the maintenance of cellular homeostasis.

Pathways

ULBP3 participates integrally in immune signaling pathways like the NKG2D receptor-mediated pathway. Within this pathway its role in signaling enhances NK cell cytotoxicity and cytokine production. ULBP3 is related to other NKG2D ligands like MICA MICB and other ULBP molecules through this immune recognition pathway collectively contributing to immune defense mechanisms. These pathways form a critical element of the broader immune surveillance mechanism in the human body.

ULBP3 has associations with various cancers and infectious diseases. Overexpression of ULBP3 has been observed in certain types of cancers such as lymphoma where it promotes recognition by the NK cells. Another area of interest is its role in viral infections where pathogens may modulate ULBP3 expression to evade the immune system. ULBP3's interaction with proteins like NKG2D is vital in modulating immune responses during these diseases highlighting its potential both as a target for therapeutic intervention and a biomarker for disease progression.

Product protocols

For this product, it's our understanding that no specific protocols are required. You can visit:

Target data

Binds and activates the KLRK1/NKG2D receptor, mediating natural killer cell cytotoxicity.
See full target information ULBP3

Product promise

We are committed to supporting your work with high-quality reagents, and we're here for you every step of the way. In the unlikely event that one of our products does not perform as expected, you're protected by our Product Promise.
For full details, please see our Terms & Conditions

Please note: All products are 'FOR RESEARCH USE ONLY. NOT FOR USE IN DIAGNOSTIC OR THERAPEUTIC PROCEDURES'.

For licensing inquiries, please contact partnerships@abcam.com