JavaScript is disabled in your browser. Please enable JavaScript to view this website.
AB322403

Anti-ULK1 (phospho S467+S556+S638) antibody [RM1162]

Be the first to review this product! Submit a review

|

(0 Publication)

Rabbit Recombinant Multiclonal ULK1 phospho S467 + S556 + S638 antibody. Suitable for WB, Dot and reacts with Transfected cell lysate - Human, Synthetic peptide samples.

View Alternative Names

KIAA0722, Serine/threonine-protein kinase ULK1, Autophagy-related protein 1 homolog, Unc-51-like kinase 1, ATG1, hATG1

3 Images
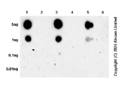
Dot Blot - Anti-ULK1 (phospho S467+S556+S638) antibody [RM1162] (AB322403)
  • Dot

Supplier Data

Dot Blot - Anti-ULK1 (phospho S467+S556+S638) antibody [RM1162] (AB322403)

Dot blot analysis of ULK1 (phospho S467+S556+S638) using ab322403 at 1 : 1000 dilution (0.507 ug/ml) followed by a Goat Anti-Rabbit IgG, (H+L), Peroxidase conjugated (ab97051) at 1 : 100,000 dilution.

Lane1 : Human ULK1 (phospho S467) peptide
Lane2 : Human ULK1 peptide
Lane3 : Human ULK1 (phospho S556) peptide
Lane4 : Human ULK1 peptide
Lane5 : Human ULK1 (phospho S638) peptide
Lane6 : Human ULK1 peptide

Exposure time : 180 seconds.

Blocking and diluting buffer and concentration : 5% NFDM/TBST.

All lanes:

Dot Blot - Anti-ULK1 (phospho S467+S556+S638) antibody [RM1162] (ab322403) at 1/1000 dilution

Lane 1:

Human ULK1 (phospho S467) peptide

Lanes 2, 4 and 6:

Human ULK1 peptide

Lane 3:

Human ULK1 (phospho S556) peptide

Lane 5:

Human ULK1 (phospho S638) peptide

Secondary

All lanes:

Dot Blot - Goat Anti-Rabbit IgG H&L (HRP) (<a href='/en-us/products/secondary-antibodies/goat-rabbit-igg-h-l-hrp-ab97051'>ab97051</a>) at 1/100000 dilution

false

Exposure time: 180s

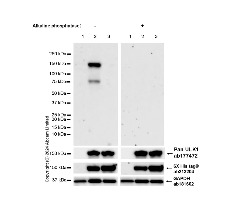
Western blot - Anti-ULK1 (phospho S467+S556+S638) antibody [RM1162] (AB322403)
  • WB

Supplier Data

Western blot - Anti-ULK1 (phospho S467+S556+S638) antibody [RM1162] (AB322403)

Blocking and diluting buffer and concentration : 5% NFDM/TBST.

The identity of the lower MW band at approximately 75 kDa (in lane 2) is unknown.

In Western blot, Anti-GAPDH antibody [EPR16891] - Loading Control (ab181602) staining at 1/200000 dilution.

In Western blot, Anti-ULK1 antibody [EPR6153 (2)] (ab177472) staining at 1/1000 dilution.

All lanes:

Western blot - Anti-ULK1 (phospho S467+S556+S638) antibody [RM1162] (ab322403) at 1/1000 dilution

Lane 1:

HEK-293T (human embryonic kidney epithelial cell) transfected with an empty vector containing a His-tag, whole cell lysate (untreated membrane) at 20 µg

Lane 2:

HEK-293T transfected with a human ULK1 expression vector containing a His-tag, whole cell lysate (untreated membrane) at 20 µg

Lane 3:

HEK-293T transfected with a human ULK1 (S467A, S556A, S638A) expression vector containing a His-tag, whole cell lysate (untreated membrane) at 20 µg

Secondary

All lanes:

Western blot - Goat Anti-Rabbit IgG H&L (HRP) (<a href='/en-us/products/secondary-antibodies/goat-rabbit-igg-h-l-hrp-ab97051'>ab97051</a>) at 1/100000 dilution

Observed band size: 150 kDa,36 kDa

false

Exposure time: 180s

Western blot - Anti-ULK1 (phospho S467+S556+S638) antibody [RM1162] (AB322403)
  • WB

Supplier Data

Western blot - Anti-ULK1 (phospho S467+S556+S638) antibody [RM1162] (AB322403)

Blocking and diluting buffer and concentration : 5% NFDM/TBST.

The identity of the lower MW band at approximately 75 kDa (in lane 2 and 3) is unknown.

In Western blot, Anti-GAPDH antibody [EPR16891] - Loading Control (ab181602) staining at 1/200000 dilution.

All lanes:

Western blot - Anti-ULK1 (phospho S467+S556+S638) antibody [RM1162] (ab322403) at 1/1000 dilution

Lane 1:

Untreated HEK-293T (human embryonic kidney epithelial cell) transfected with an empty vector containing a His-tag, whole cell lysate at 40 µg

Lane 2:

HEK-293T transfected with an empty vector containing a His-tag were treated with 2mM Metformin for 2 hours, whole cell lysate at 40 µg

Lane 3:

Untreated HEK-293T transfected with a human ULK1 expression vector containing a His-tag, whole cell lysate at 40 µg

Lane 4:

HEK-293T transfected with a human ULK1 expression vector containing a His-tag were treated with 2mM Metformin for 2 hours, whole cell lysate at 40 µg

Lane 5:

Untreated HEK-293T transfected with a human ULK1 (S467A, S556A, S638A) expression vector containing a His-tag, whole cell lysate at 40 µg

Lane 6:

HEK-293T transfected with a human ULK1 (S467A, S556A, S638A) expression vector containing a His-tag were treated with 2mM Metformin for 2 hours, whole cell lysate at 40 µg

Secondary

All lanes:

Western blot - Goat Anti-Rabbit IgG H&L (HRP) (<a href='/en-us/products/secondary-antibodies/goat-rabbit-igg-h-l-hrp-ab97051'>ab97051</a>) at 1/20000 dilution

Observed band size: 150 kDa,36 kDa

false

Exposure time: 26s

Key facts

Host species

Rabbit

Clonality

Multiclonal

Clone number

RM1162

Isotype

IgG

Carrier free

No

Reacts with

Human

Applications

Dot, WB

applications

Immunogen

This product was produced with the following immunogens:

The exact immunogen used to generate this antibody is proprietary information.

The exact immunogen used to generate this antibody is proprietary information.

Reactivity data

{ "title": "Reactivity Data", "filters": { "stats": ["", "Species", "Dilution Info", "Notes"], "tabs": { "all-applications": {"fullname" : "All Applications", "shortname": "All Applications"}, "WB" : {"fullname" : "Western blot", "shortname":"WB"}, "IHCP" : {"fullname" : "Immunohistochemistry (Formalin/PFA-fixed paraffin-embedded sections)", "shortname":"IHC-P"}, "ICCIF" : {"fullname" : "Immunocytochemistry/ Immunofluorescence", "shortname":"ICC/IF"}, "FlowCytIntra" : {"fullname" : "Flow Cytometry (Intracellular)", "shortname":"Flow Cyt (Intra)"}, "Dot" : {"fullname" : "Dot Blot", "shortname":"Dot"} }, "product-promise": { "all": "all", "testedAndGuaranteed": "tested", "guaranteed": "expected", "predicted": "predicted", "notRecommended": "not-recommended" } }, "values": { "Human": { "WB-species-checked": "predicted", "WB-species-dilution-info": "", "WB-species-notes": "", "IHCP-species-checked": "notRecommended", "IHCP-species-dilution-info": "", "IHCP-species-notes": "<p></p>", "ICCIF-species-checked": "notRecommended", "ICCIF-species-dilution-info": "", "ICCIF-species-notes": "<p></p>", "FlowCytIntra-species-checked": "notRecommended", "FlowCytIntra-species-dilution-info": "", "FlowCytIntra-species-notes": "<p></p>", "Dot-species-checked": "predicted", "Dot-species-dilution-info": "", "Dot-species-notes": "" }, "Mouse": { "WB-species-checked": "notRecommended", "WB-species-dilution-info": "", "WB-species-notes": "", "IHCP-species-checked": "notRecommended", "IHCP-species-dilution-info": "", "IHCP-species-notes": "<p></p>", "ICCIF-species-checked": "notRecommended", "ICCIF-species-dilution-info": "", "ICCIF-species-notes": "", "FlowCytIntra-species-checked": "notRecommended", "FlowCytIntra-species-dilution-info": "", "FlowCytIntra-species-notes": "", "Dot-species-checked": "notRecommended", "Dot-species-dilution-info": "", "Dot-species-notes": "" }, "Rat": { "WB-species-checked": "notRecommended", "WB-species-dilution-info": "", "WB-species-notes": "", "IHCP-species-checked": "notRecommended", "IHCP-species-dilution-info": "", "IHCP-species-notes": "<p></p>", "ICCIF-species-checked": "notRecommended", "ICCIF-species-dilution-info": "", "ICCIF-species-notes": "", "FlowCytIntra-species-checked": "notRecommended", "FlowCytIntra-species-dilution-info": "", "FlowCytIntra-species-notes": "", "Dot-species-checked": "notRecommended", "Dot-species-dilution-info": "", "Dot-species-notes": "" }, "Synthetic peptide": { "WB-species-checked": "notRecommended", "WB-species-dilution-info": "", "WB-species-notes": "", "IHCP-species-checked": "notRecommended", "IHCP-species-dilution-info": "", "IHCP-species-notes": "", "ICCIF-species-checked": "notRecommended", "ICCIF-species-dilution-info": "", "ICCIF-species-notes": "", "FlowCytIntra-species-checked": "notRecommended", "FlowCytIntra-species-dilution-info": "", "FlowCytIntra-species-notes": "", "Dot-species-checked": "testedAndGuaranteed", "Dot-species-dilution-info": "1/1000", "Dot-species-notes": "<p></p>" }, "Transfected cell lysate - Human": { "WB-species-checked": "testedAndGuaranteed", "WB-species-dilution-info": "1/1000", "WB-species-notes": "<p></p>", "IHCP-species-checked": "notRecommended", "IHCP-species-dilution-info": "", "IHCP-species-notes": "", "ICCIF-species-checked": "notRecommended", "ICCIF-species-dilution-info": "", "ICCIF-species-notes": "", "FlowCytIntra-species-checked": "notRecommended", "FlowCytIntra-species-dilution-info": "", "FlowCytIntra-species-notes": "", "Dot-species-checked": "notRecommended", "Dot-species-dilution-info": "", "Dot-species-notes": "" } } }

Product details

What are recombinant multiclonals?
Recombinant multiclonals are a mixture of recombinant antibodies co-expressed from a library of heavy and light chains. They offer several advantages including:

  • - The sensitivity of polyclonal antibodies by recognising multiple epitopes
  • - High batch-to-batch consistency and reproducibility
  • - Improved sensitivity and specificity
  • - Long-term security of supply
  • - Animal-free batch production

View our range of recombinant multiclonal antibodies.

Patented technology
Our RabMAb® technology is a patented hybridoma-based technology for making rabbit monoclonal antibodies. For details on our patents, please refer to RabMAb® patents.

Properties and storage information

Form
Liquid
Purification technique
Affinity purification Protein A
Storage buffer
pH: 7.2 - 7.4 Preservative: 0.01% Sodium azide Constituents: PBS, 40% Glycerol (glycerin, glycerine), 0.05% BSA
Shipped at conditions
Blue Ice
Appropriate short-term storage duration
1-2 weeks
Appropriate short-term storage conditions
+4°C
Appropriate long-term storage conditions
-20°C
Aliquoting information
Upon delivery aliquot
Storage information
Avoid freeze / thaw cycle

Product protocols

For this product, it's our understanding that no specific protocols are required. You can visit:

Target data

Serine/threonine-protein kinase involved in autophagy in response to starvation (PubMed : 18936157, PubMed : 21460634, PubMed : 21795849, PubMed : 23524951, PubMed : 25040165, PubMed : 29487085, PubMed : 31123703). Acts upstream of phosphatidylinositol 3-kinase PIK3C3 to regulate the formation of autophagophores, the precursors of autophagosomes (PubMed : 18936157, PubMed : 21460634, PubMed : 21795849, PubMed : 25040165). Part of regulatory feedback loops in autophagy : acts both as a downstream effector and negative regulator of mammalian target of rapamycin complex 1 (mTORC1) via interaction with RPTOR (PubMed : 21795849). Activated via phosphorylation by AMPK and also acts as a regulator of AMPK by mediating phosphorylation of AMPK subunits PRKAA1, PRKAB2 and PRKAG1, leading to negatively regulate AMPK activity (PubMed : 21460634). May phosphorylate ATG13/KIAA0652 and RPTOR; however such data need additional evidences (PubMed : 18936157). Plays a role early in neuronal differentiation and is required for granule cell axon formation (PubMed : 11146101). Also phosphorylates SESN2 and SQSTM1 to regulate autophagy (PubMed : 25040165, PubMed : 37306101). Phosphorylates FLCN, promoting autophagy (PubMed : 25126726). Phosphorylates AMBRA1 in response to autophagy induction, releasing AMBRA1 from the cytoskeletal docking site to induce autophagosome nucleation (PubMed : 20921139). Phosphorylates ATG4B, leading to inhibit autophagy by decreasing both proteolytic activation and delipidation activities of ATG4B (PubMed : 28821708).
See full target information ULK1 phospho S467 + S556 + S638

Product promise

We are committed to supporting your work with high-quality reagents, and we're here for you every step of the way. In the unlikely event that one of our products does not perform as expected, you're protected by our Product Promise.
For full details, please see our Terms & Conditions

Please note: All products are 'FOR RESEARCH USE ONLY. NOT FOR USE IN DIAGNOSTIC OR THERAPEUTIC PROCEDURES'.

For licensing inquiries, please contact partnerships@abcam.com