JavaScript is disabled in your browser. Please enable JavaScript to view this website.
AB203207

Anti-ULK1 (phospho S556) antibody

5

(2 Reviews)

|

(24 Publications)

Rabbit Polyclonal ULK1 phospho S556 antibody. Suitable for WB, IHC-P and reacts with Mouse, Rat, Human samples. Cited in 24 publications. Immunogen corresponding to Synthetic Peptide within Human ULK1 phospho S556 aa 500-600 conjugated to Keyhole Limpet Haemocyanin.

View Alternative Names

KIAA0722, ULK1, Serine/threonine-protein kinase ULK1, Autophagy-related protein 1 homolog, Unc-51-like kinase 1, ATG1, hATG1

2 Images
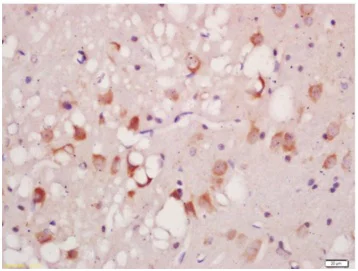
Immunohistochemistry (Formalin/PFA-fixed paraffin-embedded sections) - Anti-ULK1 (phospho S556) antibody (AB203207)
  • IHC-P

Supplier Data

Immunohistochemistry (Formalin/PFA-fixed paraffin-embedded sections) - Anti-ULK1 (phospho S556) antibody (AB203207)

Immunohistochemical analysis of formalin-fixed and paraffin embedded Rat brain tissue labeling ULK1 (phospho S556) using ab203207 at 1/200 dilution, followed by conjugation to the secondary antibody and DAB staining.

Western blot - Anti-ULK1 (phospho S556) antibody (AB203207)
  • WB

Supplier Data

Western blot - Anti-ULK1 (phospho S556) antibody (AB203207)

12% Gel.

All lanes:

Western blot - Anti-ULK1 (phospho S556) antibody (ab203207) at 1/200 dilution

Lane 1:

Mouse brain tissue lysate

Lane 2:

Mouse heart tissue lysate

Secondary

All lanes:

Goat Anti-Rabbit IgG Antibody (H+L), HRP Conjugated at 1/3000 dilution

Predicted band size: 112 kDa

false

Key facts

Host species

Rabbit

Clonality

Polyclonal

Isotype

IgG

Carrier free

No

Reacts with

Mouse, Rat, Human

Applications

WB, IHC-P

applications

Immunogen

Synthetic Peptide within Human ULK1 phospho S556 aa 500-600 conjugated to Keyhole Limpet Haemocyanin. The exact immunogen used to generate this antibody is proprietary information.

O75385

Reactivity data

{ "title": "Reactivity Data", "filters": { "stats": ["", "Species", "Dilution Info", "Notes"], "tabs": { "all-applications": {"fullname" : "All Applications", "shortname": "All Applications"}, "WB" : {"fullname" : "Western blot", "shortname":"WB"}, "IHCP" : {"fullname" : "Immunohistochemistry (Formalin/PFA-fixed paraffin-embedded sections)", "shortname":"IHC-P"} }, "product-promise": { "all": "all", "testedAndGuaranteed": "tested", "guaranteed": "expected", "predicted": "predicted", "notRecommended": "not-recommended" } }, "values": { "Human": { "WB-species-checked": "guaranteed", "WB-species-dilution-info": "", "WB-species-notes": "<p></p>", "IHCP-species-checked": "predicted", "IHCP-species-dilution-info": "", "IHCP-species-notes": "" }, "Mouse": { "WB-species-checked": "testedAndGuaranteed", "WB-species-dilution-info": "1/100 - 1/1000", "WB-species-notes": "<p></p>", "IHCP-species-checked": "guaranteed", "IHCP-species-dilution-info": "", "IHCP-species-notes": "" }, "Rat": { "WB-species-checked": "guaranteed", "WB-species-dilution-info": "", "WB-species-notes": "", "IHCP-species-checked": "testedAndGuaranteed", "IHCP-species-dilution-info": "1/100 - 1/500", "IHCP-species-notes": "<p>Use at 1/50 - 1/200 with fluorescent detection methods.</p> Perform heat-mediated antigen retrieval with citrate buffer pH 6 before commencing with IHC staining protocol." } } }

Properties and storage information

Form
Liquid
Purification technique
Affinity purification Protein A
Storage buffer
pH: 7.4 Preservative: 0.02% Proclin 300 Constituents: 50% Glycerol (glycerin, glycerine), 48.98% TBS, 1X, 1% BSA
Shipped at conditions
Blue Ice
Appropriate short-term storage duration
1-2 weeks
Appropriate short-term storage conditions
+4°C
Appropriate long-term storage conditions
-20°C
Aliquoting information
Upon delivery aliquot
Storage information
Avoid freeze / thaw cycle

Supplementary information

This supplementary information is collated from multiple sources and compiled automatically.

ULK1 also known as Unc-51-like kinase 1 is a serine/threonine-protein kinase with a molecular mass of approximately 112 kDa. ULK1 is expressed in many tissues including the brain heart and skeletal muscle and plays a significant mechanical role in initializing autophagy—a process vital for cellular recycling and homeostasis. The protein interacts with several autophagy-related proteins to facilitate its functions.
Biological function summary

This protein serves as an essential part of the ULK1 complex which includes ATG13 FIP200 and ATG101. This complex acts as an important regulator in the initiation stage of autophagy responding to cellular nutrient status and energy levels. ULK1 activity promotes the formation of the phagophore which is important for capturing and degrading cytoplasmic content.

Pathways

ULK1 plays a major role in autophagy and mTOR signaling pathways. The mTOR complex 1 (mTORC1) inhibits ULK1 activity under nutrient-rich conditions preventing unnecessary autophagy. When nutrients are scarce mTORC1 inhibition releases ULK1 enhancing autophagy initiation. ULK1 also interacts with AMPK an energy-sensing kinase adjusting cellular processes according to energy levels and promoting autophagy when necessary.

Research links ULK1 to cancer and neurodegenerative diseases. Deregulation of autophagy pathways influenced by impaired ULK1 activity associates with cancer progression and tumor growth. Cancer cells often exploit autophagy to survive in nutrient-poor environments. In neurodegenerative diseases such as Alzheimer's ULK1-mediated autophagy activity can help clear protein aggregates. Understanding ULK1 interactions with proteins like AMPK in these contexts could offer advancements in therapeutic approaches.

Product protocols

For this product, it's our understanding that no specific protocols are required. You can visit:

Target data

Serine/threonine-protein kinase involved in autophagy in response to starvation (PubMed : 18936157, PubMed : 21460634, PubMed : 21795849, PubMed : 23524951, PubMed : 25040165, PubMed : 29487085, PubMed : 31123703). Acts upstream of phosphatidylinositol 3-kinase PIK3C3 to regulate the formation of autophagophores, the precursors of autophagosomes (PubMed : 18936157, PubMed : 21460634, PubMed : 21795849, PubMed : 25040165). Part of regulatory feedback loops in autophagy : acts both as a downstream effector and negative regulator of mammalian target of rapamycin complex 1 (mTORC1) via interaction with RPTOR (PubMed : 21795849). Activated via phosphorylation by AMPK and also acts as a regulator of AMPK by mediating phosphorylation of AMPK subunits PRKAA1, PRKAB2 and PRKAG1, leading to negatively regulate AMPK activity (PubMed : 21460634). May phosphorylate ATG13/KIAA0652 and RPTOR; however such data need additional evidences (PubMed : 18936157). Plays a role early in neuronal differentiation and is required for granule cell axon formation (PubMed : 11146101). Also phosphorylates SESN2 and SQSTM1 to regulate autophagy (PubMed : 25040165, PubMed : 37306101). Phosphorylates FLCN, promoting autophagy (PubMed : 25126726). Phosphorylates AMBRA1 in response to autophagy induction, releasing AMBRA1 from the cytoskeletal docking site to induce autophagosome nucleation (PubMed : 20921139). Phosphorylates ATG4B, leading to inhibit autophagy by decreasing both proteolytic activation and delipidation activities of ATG4B (PubMed : 28821708).
See full target information ULK1 phospho S556

Publications (24)

Recent publications for all applications. Explore the full list and refine your search

Genes & diseases 12:101507 PubMed40641524

2025

XPR1 promotes ovarian cancer growth and regulates MHC-I through autophagy.

Applications

Unspecified application

Species

Unspecified reactive species

Hui Wang,Xiaodong Luo,Bo Yang,Furong Tang,Xingwei Jiang,Hongtao Zhu,Jianguo Hu

Histology and histopathology 40:1013-1039 PubMed39600260

2024

Identification of new tissue markers for the monitoring and standardization of penile cancer according to the degree of differentiation.

Applications

Unspecified application

Species

Unspecified reactive species

Carlos Casanova-Martín,Diego Liviu Boaru,Oscar Fraile-Martinez,Cielo Garcia-Montero,Diego De Leon-Oliva,Patricia De Castro-Martinez,Maria José Gimeno-Longas,Julia Bujan,Natalio García-Honduvilla,Luis G Guijarro,Raquel Gragera,Laura Lopez-Gonzalez,Miguel A Saez,Connie Ferrara-Coppola,Víctor Baena-Romero,Raul Diaz-Pedrero,Melchor Alvarez-Mon,María Val Toledo-Lobo,Miguel A Ortega

iScience 27:111042 PubMed39559753

2024

Irisin reduces senile osteoporosis by inducing osteocyte mitophagy through Ampk activation.

Applications

Unspecified application

Species

Unspecified reactive species

Honghan Li,Deqing Luo,Wei Xie,Wenbin Ye,Jinlong Chen,Paolo Alberton,Mingzhu Zhang,Eryou Feng,Denitsa Docheva,Dasheng Lin

FASEB journal : official publication of the Federation of American Societies for Experimental Biology 38:e70118 PubMed39439252

2024

m6A demethylase FTO transcriptionally activated by SP1 improves ischemia reperfusion-triggered acute kidney injury by activating Ambra1/ULK1-mediated autophagy.

Applications

Unspecified application

Species

Unspecified reactive species

Yan Chen,Yuanfei Liu,Weiping Tu,Yanxia Chen,Chengyun Xu,Chong Huang

PeerJ 12:e17837 PubMed39099653

2024

Low-dose hexavalent chromium induces mitophagy in rat liver via the AMPK-related PINK1/Parkin signaling pathway.

Applications

Unspecified application

Species

Unspecified reactive species

Ningning Li,Xiaoying Li,Xiuzhi Zhang,Lixia Zhang,Hui Wu,Yue Yu,Guang Jia,Shanfa Yu

Advanced science (Weinheim, Baden-Wurttemberg, Germany) 11:e2404080 PubMed39041921

2024

PP2Ac Regulates Autophagy via Mediating mTORC1 and ULK1 During Osteoclastogenesis in the Subchondral Bone of Osteoarthritis.

Applications

Unspecified application

Species

Unspecified reactive species

Haifeng Zhang,Gaoran Ge,Wei Zhang,Houyi Sun,Xiaolong Liang,Yu Xia,Jiacheng Du,Zerui Wu,Jiaxiang Bai,Huilin Yang,Xing Yang,Jun Zhou,Yaozeng Xu,Dechun Geng

International journal of molecular sciences 25: PubMed38396708

2024

Exploring the Importance of Differential Expression of Autophagy Markers in Term Placentas from Late-Onset Preeclamptic Pregnancies.

Applications

Unspecified application

Species

Unspecified reactive species

Luis M Garcia-Puente,Cielo García-Montero,Oscar Fraile-Martinez,Julia Bujan,Juan A De León-Luis,Coral Bravo,Patrocinio Rodríguez-Benitez,Laura López-González,Raul Díaz-Pedrero,Melchor Álvarez-Mon,Natalio García-Honduvilla,Miguel A Saez,Miguel A Ortega

Cellular and molecular gastroenterology and hepatology 17:539-551 PubMed38122985

2023

Apolipoprotein A-1 Accelerated Liver Regeneration Through Regulating Autophagy Via AMPK-ULK1 Pathway.

Applications

Unspecified application

Species

Unspecified reactive species

Zi Yi Wang,Rui Xiang Chen,Ji Fei Wang,Shuo Chen Liu,Xiao Xu,Tao Zhou,Yan An Lan Chen,Yao Dong Zhang,Xiang Cheng Li,Chang Xian Li

Frontiers in immunology 13:993788 PubMed36263059

2022

Deficiency of in endometriosis related peritoneal macrophages promoted the autophagy of ectopic endometrial stromal cells by IL-10.

Applications

Unspecified application

Species

Unspecified reactive species

Yufei Huang,Shumin Yan,Xiaoyu Dong,Xue Jiao,Shuang Wang,Dong Li,Guoyun Wang

Evidence-based complementary and alternative medicine : eCAM 2022:3960834 PubMed36193128

2022

The Evaluation of Xiaozeng Qianggu Tablets for Treating Postmenopausal Osteoporosis via up-Regulated Autophagy.

Applications

Unspecified application

Species

Unspecified reactive species

Mingquan Wu,Huabing Lai,Qing Deng,Xi Peng,Jingshou Shen,Xu Zhou,Wei Peng,Liyang Zhu,He Tu,Xia Li
View all publications

Product promise

We are committed to supporting your work with high-quality reagents, and we're here for you every step of the way. In the unlikely event that one of our products does not perform as expected, you're protected by our Product Promise.
For full details, please see our Terms & Conditions

Please note: All products are 'FOR RESEARCH USE ONLY. NOT FOR USE IN DIAGNOSTIC OR THERAPEUTIC PROCEDURES'.

For licensing inquiries, please contact partnerships@abcam.com