JavaScript is disabled in your browser. Please enable JavaScript to view this website.
AB207170

Anti-UMOD antibody [EPR20071]

  • RabMAb
  • Recombinant
  • KO Validated
  • 20ul selling size
  • What is this?

5

(3 Reviews)

|

(18 Publications)

Anti-UMOD antibody [EPR20071] (ab207170) is a rabbit monoclonal antibody detecting UMOD in Western Blot, IP, IHC-P. Suitable for Human, Mouse, Rat.

- Biophysical QC for unrivalled batch-batch consistency

View Alternative Names

Uromodulin, Tamm-Horsfall urinary glycoprotein, THP, UMOD

9 Images
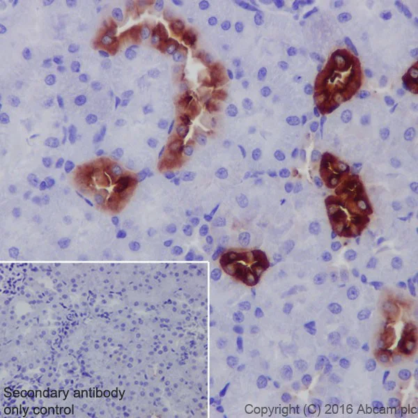
Immunohistochemistry (Formalin/PFA-fixed paraffin-embedded sections) - Anti-UMOD antibody [EPR20071] (AB207170)
  • IHC-P

Supplier Data

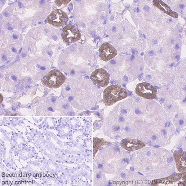
Immunohistochemistry (Formalin/PFA-fixed paraffin-embedded sections) - Anti-UMOD antibody [EPR20071] (AB207170)

Immunohistochemical analysis of paraffin-embedded human kidney tissue labeling UMOD with ab207170 at 1/1000 dilution, followed by Goat Anti-Rabbit IgG H&L (HRP) (ab97051) at 1/500 dilution.

Strong cytoplasmic staining on distal convoluted is observed [PMID : 23988501].

Counter stained with Hematoxylin.

Secondary antibody only control : Used PBS instead of primary antibody, secondary antibody is Goat Anti-Rabbit IgG H&L (HRP) (ab97051) at 1/500 dilution.

Perform heat mediated antigen retrieval with Tris/EDTA buffer pH 9.0 before commencing with IHC staining protocol.

Immunoprecipitation - Anti-UMOD antibody [EPR20071] (AB207170)
  • IP

Supplier Data

Immunoprecipitation - Anti-UMOD antibody [EPR20071] (AB207170)

UMOD was immunoprecipitated from 0.35 mg of human kidney lysate with ab207170 at 1/30 dilution.

Western blot was performed from the immunoprecipitate using ab207170 at 1/1000 dilution.

VeriBlot for IP Detection Reagent (HRP) (ab131366), was used for detection at 1/1000 dilution.

Lane 1 : Human kidney lysate 10μg (Input).

Lane 2 : ab207170 IP in human kidney lysate.

Lane 3 : Rabbit IgG, monoclonal [EPR25A] - Isotype Control (ab172730) instead of ab207170 in human kidney lysate.

Blocking and dilution buffer and concentration : 5% NFDM/TBST.

Exposure time : 0.5 second.

All lanes:

Immunoprecipitation - Anti-UMOD antibody [EPR20071] (ab207170)

Predicted band size: 70 kDa

false

Immunohistochemistry (Formalin/PFA-fixed paraffin-embedded sections) - Anti-UMOD antibody [EPR20071] (AB207170)
  • IHC-P

Supplier Data

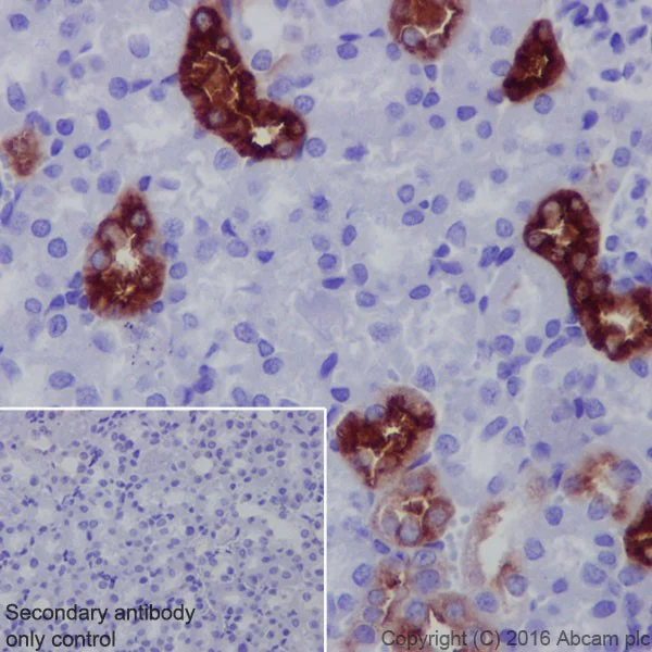
Immunohistochemistry (Formalin/PFA-fixed paraffin-embedded sections) - Anti-UMOD antibody [EPR20071] (AB207170)

Immunohistochemical analysis of paraffin-embedded mouse kidney tissue labeling UMOD with ab207170 at 1/1000 dilution, followed by Goat Anti-Rabbit IgG H&L (HRP) (ab97051) at 1/500 dilution.

Strong cytoplasmic staining on distal convoluted tubules of mouse kidney is observed [PMID : 23988501].

Counter stained with Hematoxylin.

Secondary antibody only control : Used PBS instead of primary antibody, secondary antibody is Goat Anti-Rabbit IgG H&L (HRP) (ab97051) at 1/500 dilution.

Perform heat mediated antigen retrieval with Tris/EDTA buffer pH 9.0 before commencing with IHC staining protocol.

Immunohistochemistry (Formalin/PFA-fixed paraffin-embedded sections) - Anti-UMOD antibody [EPR20071] (AB207170)
  • IHC-P

Supplier Data

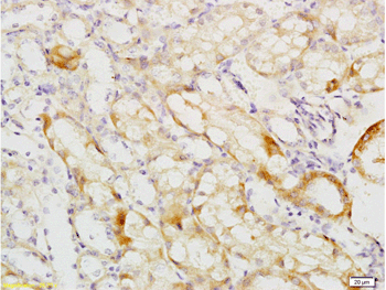
Immunohistochemistry (Formalin/PFA-fixed paraffin-embedded sections) - Anti-UMOD antibody [EPR20071] (AB207170)

Immunohistochemical analysis of paraffin-embedded rat kidney tissue labeling UMOD with ab207170 at 1/1000 dilution, followed by Goat Anti-Rabbit IgG H&L (HRP) (ab97051) at 1/500 dilution.

Strong cytoplasmic staining on distal convoluted tubules of rat kidney is observed [PMID : 23988501].

Counter stained with Hematoxylin.

Secondary antibody only control : Used PBS instead of primary antibody, secondary antibody is Goat Anti-Rabbit IgG H&L (HRP) (ab97051) at 1/500 dilution.

Perform heat mediated antigen retrieval with Tris/EDTA buffer pH 9.0 before commencing with IHC staining protocol.

Immunohistochemistry (Formalin/PFA-fixed paraffin-embedded sections) - Anti-UMOD antibody [EPR20071] (AB207170)
  • IHC-P

Lab

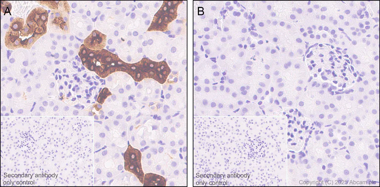
Immunohistochemistry (Formalin/PFA-fixed paraffin-embedded sections) - Anti-UMOD antibody [EPR20071] (AB207170)

Immunohistochemical analysis of paraffin-embedded (A) Kidney tissue from wild-type C57BL/6J mice and (B) Kidney tissue from Umod knockout mice labelling UMOD with ab207170 at 1/5000 (0.213 ug/ml) dilution, followed by a ready to use LeicaDS9800 (Bond™ Polymer Refine Detection).

Positive staining on (A) Kidney tissue from wild-type C57BL/6J mice, no staining on (B) Kidney tissue from UMOD knockout mice. The primary antibody was incubated for 10 mins at room temperature.

The immunostaining was performed on a Leica Biosystems BOND® RX instrument.

The tissue samples were kindly provided by GemPharmatech. C57BL/6JGpt wildtype mice and Umod-KO homozygous mice (Strain ID : T014822).

Heat mediated antigen retrieval was performed with Citrate buffer (pH 6.0, Epitope Retrieval Solution 1) for 20 mins.

Immunoprecipitation - Anti-UMOD antibody [EPR20071] (AB207170)
  • IP

Supplier Data

Immunoprecipitation - Anti-UMOD antibody [EPR20071] (AB207170)

UMOD was immunoprecipitated from 0.35 mg of mouse kidney lysate with ab207170 at 1/30 dilution.

Western blot was performed from the immunoprecipitate using ab207170 at 1/1000 dilution.

VeriBlot for IP Detection Reagent (HRP) (ab131366), was used for detection at 1/1000 dilution.

Lane 1 : Human kidney lysate 10μg (Input).

Lane 2 : ab207170 IP in human kidney lysate.

Lane 3 : Rabbit IgG, monoclonal [EPR25A] - Isotype Control (ab172730) instead of ab207170 in human kidney lysate.

Blocking and dilution buffer and concentration : 5% NFDM/TBST.

Exposure time : 0.5 second.

All lanes:

Immunoprecipitation - Anti-UMOD antibody [EPR20071] (ab207170)

Predicted band size: 70 kDa

false

Western blot - Anti-UMOD antibody [EPR20071] (AB207170)
  • WB

Supplier Data

Western blot - Anti-UMOD antibody [EPR20071] (AB207170)

Blocking/Dilution buffer : 5% NFDM/TBST.

The MW observed is consistent with the literature (PMID : 18310901).

All lanes:

Western blot - Anti-UMOD antibody [EPR20071] (ab207170) at 1/10000 dilution

Lane 1:

Human urine at 10 µg

Lane 2:

Human fetal kidney lysate at 10 µg

Secondary

All lanes:

Goat Anti-Rabbit IgG Peroxidase Conjugate, specific to the non-reduced form of IgG at 1/100000 dilution

Predicted band size: 70 kDa

Observed band size: 110 kDa

false

Exposure time: 5s

Western blot - Anti-UMOD antibody [EPR20071] (AB207170)
  • WB

Supplier Data

Western blot - Anti-UMOD antibody [EPR20071] (AB207170)

Blocking/Dilution buffer : 5% NFDM/TBST.

The MW observed is consistent with the literature (PMID : 18310901).

All lanes:

Western blot - Anti-UMOD antibody [EPR20071] (ab207170) at 1/1000 dilution

Lane 1:

Mouse kidney lysate at 10 µg

Lane 2:

Rat kidney lysate at 10 µg

Secondary

All lanes:

Western blot - Goat Anti-Rabbit IgG H&L (HRP) (<a href='/en-us/products/secondary-antibodies/goat-rabbit-igg-h-l-hrp-ab97051'>ab97051</a>) at 1/100000 dilution

Predicted band size: 70 kDa

Observed band size: 110 kDa

false

Exposure time: 1s

Western blot - Anti-UMOD antibody [EPR20071] (AB207170)
  • WB

Lab

Western blot - Anti-UMOD antibody [EPR20071] (AB207170)

Blocking and diluting buffer and concentration : 5% NFDM/TBST.

The tissue samples were kindly provided by GemPharmatech. C57BL/6JGpt wildtype mice and Umod-KO homozygous mice (Strain ID : T014822).

All lanes:

Western blot - Anti-UMOD antibody [EPR20071] (ab207170) at 1/1000 dilution

Lane 1:

Wild-type mouse kidney tissue lysate (male) at 20 µg

Lane 2:

Wild-type mouse kidney tissue lysate (female) at 20 µg

Lane 3:

Umod knockout mouse kidney tissue lysate (male case1) at 20 µg

Lane 4:

Umod knockout mouse kidney tissue lysate (male case2) at 20 µg

Secondary

All lanes:

Western blot - Goat Anti-Rabbit IgG H&L (HRP) (<a href='/en-us/products/secondary-antibodies/goat-rabbit-igg-h-l-hrp-ab97051'>ab97051</a>) at 1/50000 dilution

Observed band size: 120 kDa

false

Exposure time: 4s

  • Carrier free

    Anti-UMOD antibody [EPR20071] - BSA and Azide free

Key facts

Host species

Rabbit

Clonality

Monoclonal

Clone number

EPR20071

Isotype

IgG

Carrier free

No

Reacts with

Mouse, Rat, Human

Applications

IHC-P, IP, WB

applications

Immunogen

The exact immunogen used to generate this antibody is proprietary information.

Reactivity data

{ "title": "Reactivity Data", "filters": { "stats": ["", "Species", "Dilution Info", "Notes"], "tabs": { "all-applications": {"fullname" : "All Applications", "shortname": "All Applications"}, "IP" : {"fullname" : "Immunoprecipitation", "shortname":"IP"}, "WB" : {"fullname" : "Western blot", "shortname":"WB"}, "IHCP" : {"fullname" : "Immunohistochemistry (Formalin/PFA-fixed paraffin-embedded sections)", "shortname":"IHC-P"} }, "product-promise": { "all": "all", "testedAndGuaranteed": "tested", "guaranteed": "expected", "predicted": "predicted", "notRecommended": "not-recommended" } }, "values": { "Human": { "IP-species-checked": "testedAndGuaranteed", "IP-species-dilution-info": "1/30", "IP-species-notes": "<p></p>", "WB-species-checked": "testedAndGuaranteed", "WB-species-dilution-info": "1/1000", "WB-species-notes": "<p></p>", "IHCP-species-checked": "testedAndGuaranteed", "IHCP-species-dilution-info": "1/1000", "IHCP-species-notes": "<p></p> Perform heat-mediated antigen retrieval with Tris/EDTA buffer pH 9.0 before commencing with IHC staining protocol." }, "Mouse": { "IP-species-checked": "testedAndGuaranteed", "IP-species-dilution-info": "1/30", "IP-species-notes": "<p></p>", "WB-species-checked": "testedAndGuaranteed", "WB-species-dilution-info": "1/1000", "WB-species-notes": "<p></p>", "IHCP-species-checked": "testedAndGuaranteed", "IHCP-species-dilution-info": "1/1000", "IHCP-species-notes": "<p></p> Perform heat-mediated antigen retrieval with Tris/EDTA buffer pH 9.0 before commencing with IHC staining protocol." }, "Rat": { "IP-species-checked": "guaranteed", "IP-species-dilution-info": "", "IP-species-notes": "", "WB-species-checked": "testedAndGuaranteed", "WB-species-dilution-info": "1/1000", "WB-species-notes": "<p></p>", "IHCP-species-checked": "testedAndGuaranteed", "IHCP-species-dilution-info": "1/1000", "IHCP-species-notes": "<p></p> Perform heat-mediated antigen retrieval with Tris/EDTA buffer pH 9.0 before commencing with IHC staining protocol." } } }

Product details

What is this antibody validated in?
Anti-UMOD antibody [EPR20071] (ab207170) is a rabbit recombinant monoclonal antibody and is validated for use in Western Blot (WB), Immunoprecipitation (IP), Immunohistochemistry (IHC-P) in Human, Mouse, Rat samples.

What is the molecular weight of UMOD?
Anti-UMOD [EPR20071] (ab207170) specifically detects a band for UMOD (UniProt: P07911) at a molecular weight of 70kDa.

Trial sizes available!
Test your antibody or perform pre-screening before committing to a larger quantity. Sold in 20µl. Discover our selection of trial-size antibodies.

Other related products
We have a range of other formats of antibody clone [EPR20071] also available for your convenience: ab207170, Carrier free - ab223540

Patented technology
Our RabMAb® technology is a patented hybridoma-based technology for making rabbit monoclonal antibodies. For details on our patents, please refer to RabMAb® patents.

What are the advantages of a recombinant monoclonal antibody?
This product is a recombinant monoclonal antibody, which offers several advantages including:

  • - High batch-to-batch consistency and reproducibility
  • - Improved sensitivity and specificity
  • - Long-term security of supply
  • - Animal-free batch production

For more information, read more on recombinant antibodies.

Properties and storage information

Form
Liquid
Purification technique
Affinity purification Protein A
Storage buffer
pH: 7.2 - 7.4 Preservative: 0.01% Sodium azide Constituents: PBS, 40% Glycerol (glycerin, glycerine), 0.05% BSA
Shipped at conditions
Blue Ice
Appropriate short-term storage duration
1-2 weeks
Appropriate short-term storage conditions
+4°C
Appropriate long-term storage conditions
-20°C
Aliquoting information
Upon delivery aliquot
Storage information
Avoid freeze / thaw cycle

Supplementary information

This supplementary information is collated from multiple sources and compiled automatically.

UMOD also known as uromodulin or Tamm-Horsfall protein is a glycoprotein with an approximate mass of 85 to 90 kDa. This protein is mostly expressed in the thick ascending limb of the loop of Henle in the kidney. Uromodulin is secreted into urine and represents the most abundant protein in normal urine. Its function is to contribute to the water impermeability of the thick ascending limb impact on concentration of urine and provide a barrier to bacteria adhering in the urinary tract.
Biological function summary

Uromodulin plays a role in preventing urinary tract infections by inhibiting the adhesion of bacteria through its glycoprotein structure. It forms a gel-like layer in the urinary tract that traps pathogens. Uromodulin also participates in immune regulation serving as a modulator by interacting with immune cells. Additionally it influences renal handling of ions which impacts blood pressure regulation.

Pathways

Uromodulin is involved in pathways associated with water and salt balance in the kidneys. This protein interacts with NKCC2 the sodium-potassium-chloride cotransporter to mediate ion transport in the thick ascending limb of the loop of Henle. Uromodulin also connects to the renin-angiotensin system helping to regulate blood pressure by influencing sodium reabsorption and vascular functions.

Uromodulin is linked to disorders such as familial juvenile hyperuricemic nephropathy and medullary cystic kidney disease type 2. These conditions stem from mutations in the UMOD gene leading to abnormal protein folding. It's noted that UMOD mutations can alter interactions with proteins like NKCC2 impacting ion transport and contributing to the pathophysiology of these kidney disorders.

Product protocols

For this product, it's our understanding that no specific protocols are required. You can visit:

Target data

Uromodulin. Functions in biogenesis and organization of the apical membrane of epithelial cells of the thick ascending limb of Henle's loop (TALH), where it promotes formation of complex filamentous gel-like structure that may play a role in the water barrier permeability (Probable). May serve as a receptor for binding and endocytosis of cytokines (IL-1, IL-2) and TNF (PubMed : 3498215). Facilitates neutrophil migration across renal epithelia (PubMed : 20798515).. Uromodulin, secreted form. In the urine, may contribute to colloid osmotic pressure, retards passage of positively charged electrolytes, and inhibits formation of liquid containing supersaturated salts and subsequent formation of salt crystals (By similarity). Protects against urinary tract infections by binding to type 1 fimbriated E.coli (PubMed : 11134021, PubMed : 32616672). Binds to bacterial adhesin fimH which mediates the stable formation of bacterial aggregates, prevents the binding of E.coli to uroplakins UPK1A and UPK1B which act as urothelial receptors for type I fimbriae, and allows for pathogen clearance through micturation (PubMed : 11134021, PubMed : 32616672). Also promotes aggregation of other bacteria including K.pneumoniae, P.aeruginosa and S.mitis and so may also protect against other uropathogens (PubMed : 32616672).
See full target information Uromodulin

Publications (18)

Recent publications for all applications. Explore the full list and refine your search

PLoS neglected tropical diseases 19:e0013141 PubMed40446069

2025

Repeat Ascaris challenge reduces worm intensity through gastric cellular reprograming.

Applications

Unspecified application

Species

Unspecified reactive species

Yifan Wu,Charlie Suarez-Reyes,Nina L Tang,Alexander R Kneubehl,Jill E Weatherhead

Clinical kidney journal 17:sfae221 PubMed39145145

2024

Urine metabolite changes after cardiac surgery predict acute kidney injury.

Applications

Unspecified application

Species

Unspecified reactive species

Qi Zeng,Jinghan Feng,Xinni Zhang,Fangyuan Peng,Ting Ren,Zhouping Zou,Chao Tang,Qian Sun,Xiaoqiang Ding,Ping Jia

Life medicine 2:lnad047 PubMed39872058

2023

Generation of renal tubular organoids from adult SOX9 kidney progenitor cells.

Applications

Unspecified application

Species

Unspecified reactive species

Dewei Zhou,Dandan Li,Hao Nie,Jun Duan,Sarah Liu,Yujia Wang,Wei Zuo

Kidney360 4:e1302-e1307 PubMed37340540

2023

Healthy Women Have Higher Systemic Uromodulin Levels: Identification of Uromodulin as an Estrogen Responsive Gene.

Applications

Unspecified application

Species

Unspecified reactive species

Azuma Nanamatsu,Radmila Micanovic,Shehnaz Khan,Tarek M El-Achkar,Kaice A LaFavers

iScience 26:106646 PubMed37168554

2023

Dynamic cellular changes in acute kidney injury caused by different ischemia time.

Applications

Unspecified application

Species

Unspecified reactive species

Dan Shan,Yin-Ying Wang,Yuan Chang,Hao Cui,Menghao Tao,Yixuan Sheng,Hongen Kang,Peilin Jia,Jiangping Song

International journal of molecular sciences 24: PubMed37047611

2023

The Reduction of Uromodulin, Complement Factor H, and Their Interaction Is Associated with Acute Kidney Injury to Chronic Kidney Disease Transition in a Four-Time Cisplatin-Injected Rat Model.

Applications

Unspecified application

Species

Unspecified reactive species

Zheyu Xing,Kunjing Gong,Nan Hu,Yuqing Chen

Cell reports 42:112131 PubMed36807143

2023

Platelet-instructed SPP1 macrophages drive myofibroblast activation in fibrosis in a CXCL4-dependent manner.

Applications

Unspecified application

Species

Unspecified reactive species

Konrad Hoeft,Gideon J L Schaefer,Hyojin Kim,David Schumacher,Tore Bleckwehl,Qingqing Long,Barbara Mara Klinkhammer,Fabian Peisker,Lars Koch,James Nagai,Maurice Halder,Susanne Ziegler,Elisa Liehn,Christoph Kuppe,Jennifer Kranz,Sylvia Menzel,Ivan Costa,Adam Wahida,Peter Boor,Rebekka K Schneider,Sikander Hayat,Rafael Kramann

Journal of the American Society of Nephrology : JASN 34:988-1002 PubMed36758123

2023

ASH2L Controls Ureteric Bud Morphogenesis through the Regulation of RET/GFRA1 Signaling Activity in a Mouse Model.

Applications

Unspecified application

Species

Unspecified reactive species

Ziyi Zhao,Xuantong Dai,Gengru Jiang,Fujun Lin

iScience 25:105620 PubMed36465115

2022

TWIK-related acid-sensitive K channel 2 promotes renal fibrosis by inducing cell-cycle arrest.

Applications

Unspecified application

Species

Unspecified reactive species

Jian Zhang,Jing Chen,Yufei Lu,Yan Yang,Weize Chen,Bo Shen,Jiachang Hu,Ping Jia,Sujuan Xu,Yiqin Shi,Yichun Ning,Jialin Wang,Yi Fang,Shuan Zhao,Yang Li,Yan Dai,Xiaoyan Zhang,Meng Xiang,Yang Tian,Zhichao Liu,Nana Song,Xiaoqiang Ding

Advanced science (Weinheim, Baden-Wurttemberg, Germany) 9:e2104034 PubMed35315252

2022

Adult Mouse Kidney Stem Cells Orchestrate the De Novo Assembly of a Nephron via Sirt2-Modulated Canonical Wnt/β-Catenin Signaling.

Applications

Unspecified application

Species

Unspecified reactive species

Xiaobin Han,Zhongjie Sun
View all publications

Product promise

We are committed to supporting your work with high-quality reagents, and we're here for you every step of the way. In the unlikely event that one of our products does not perform as expected, you're protected by our Product Promise.
For full details, please see our Terms & Conditions

Please note: All products are 'FOR RESEARCH USE ONLY. NOT FOR USE IN DIAGNOSTIC OR THERAPEUTIC PROCEDURES'.

For licensing inquiries, please contact partnerships@abcam.com