JavaScript is disabled in your browser. Please enable JavaScript to view this website.
AB150906

Anti-UNC119-binding protein C5orf30 antibody

Be the first to review this product! Submit a review

|

(1 Publication)

Rabbit Polyclonal UNC119-binding protein C5orf30 antibody. Suitable for IHC-P, WB, ICC/IF and reacts with Human samples. Cited in 1 publication. Immunogen corresponding to Recombinant Fragment Protein within Human MACIR aa 1-100.

View Alternative Names

C5orf30, MACIR, Macrophage immunometabolism regulator

3 Images
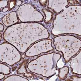
Immunohistochemistry (Formalin/PFA-fixed paraffin-embedded sections) - Anti-UNC119-binding protein C5orf30 antibody (AB150906)
  • IHC-P

Unknown

Immunohistochemistry (Formalin/PFA-fixed paraffin-embedded sections) - Anti-UNC119-binding protein C5orf30 antibody (AB150906)

Immunohistochemical analysis of paraffin embedded Human thyroid gland tissue labeling UNC119-binding protein C5orf30 with ab150906 antibody at 1/200.

Immunocytochemistry/ Immunofluorescence - Anti-UNC119-binding protein C5orf30 antibody (AB150906)
  • ICC/IF

Unknown

Immunocytochemistry/ Immunofluorescence - Anti-UNC119-binding protein C5orf30 antibody (AB150906)

Immunofluorescent staining of Human cell line U-251 MG shows positivity in nucleoli and mitochondria. Recommended concentration of ab150906 1-4 µg/ml. Cells treated with PFA/Triton X-100.

Western blot - Anti-UNC119-binding protein C5orf30 antibody (AB150906)
  • WB

Supplier Data

Western blot - Anti-UNC119-binding protein C5orf30 antibody (AB150906)

All lanes:

Western blot - Anti-UNC119-binding protein C5orf30 antibody (ab150906)

Lane 1:

Marker

Lane 2:

HEK293T cell lysate - vector only transfected

Lane 3:

HEK293T cell lysate - overexpressing UNC119-binding protein C5orf30 with a C-terminal myc-DDK tag (~3.1kDa)

Predicted band size: 23 kDa

false

Key facts

Host species

Rabbit

Clonality

Polyclonal

Isotype

IgG

Carrier free

No

Reacts with

Human

Applications

ICC/IF, IHC-P, WB

applications

Immunogen

Recombinant Fragment Protein within Human MACIR aa 1-100. The exact immunogen used to generate this antibody is proprietary information.

Q96GV9

Reactivity data

{ "title": "Reactivity Data", "filters": { "stats": ["", "Species", "Dilution Info", "Notes"], "tabs": { "all-applications": {"fullname" : "All Applications", "shortname": "All Applications"}, "IHCP" : {"fullname" : "Immunohistochemistry (Formalin/PFA-fixed paraffin-embedded sections)", "shortname":"IHC-P"}, "WB" : {"fullname" : "Western blot", "shortname":"WB"}, "ICCIF" : {"fullname" : "Immunocytochemistry/ Immunofluorescence", "shortname":"ICC/IF"} }, "product-promise": { "all": "all", "testedAndGuaranteed": "tested", "guaranteed": "expected", "predicted": "predicted", "notRecommended": "not-recommended" } }, "values": { "Human": { "IHCP-species-checked": "testedAndGuaranteed", "IHCP-species-dilution-info": "1/200 - 1/500", "IHCP-species-notes": "<p></p> Perform heat-mediated antigen retrieval with citrate buffer pH 6 before commencing with IHC staining protocol.", "WB-species-checked": "testedAndGuaranteed", "WB-species-dilution-info": "0.04-0.4 µg/mL", "WB-species-notes": "<p></p>", "ICCIF-species-checked": "testedAndGuaranteed", "ICCIF-species-dilution-info": "1-4 µg/mL", "ICCIF-species-notes": "<p>Recommend PFA Fixation and Triton X-100 treatment</p>" }, "Mouse": { "IHCP-species-checked": "predicted", "IHCP-species-dilution-info": "", "IHCP-species-notes": "", "WB-species-checked": "predicted", "WB-species-dilution-info": "", "WB-species-notes": "", "ICCIF-species-checked": "predicted", "ICCIF-species-dilution-info": "", "ICCIF-species-notes": "" }, "Rat": { "IHCP-species-checked": "predicted", "IHCP-species-dilution-info": "", "IHCP-species-notes": "", "WB-species-checked": "predicted", "WB-species-dilution-info": "", "WB-species-notes": "", "ICCIF-species-checked": "predicted", "ICCIF-species-dilution-info": "", "ICCIF-species-notes": "" }, "Chimpanzee": { "IHCP-species-checked": "predicted", "IHCP-species-dilution-info": "", "IHCP-species-notes": "", "WB-species-checked": "predicted", "WB-species-dilution-info": "", "WB-species-notes": "", "ICCIF-species-checked": "predicted", "ICCIF-species-dilution-info": "", "ICCIF-species-notes": "" }, "Cow": { "IHCP-species-checked": "predicted", "IHCP-species-dilution-info": "", "IHCP-species-notes": "", "WB-species-checked": "predicted", "WB-species-dilution-info": "", "WB-species-notes": "", "ICCIF-species-checked": "predicted", "ICCIF-species-dilution-info": "", "ICCIF-species-notes": "" }, "Gorilla": { "IHCP-species-checked": "predicted", "IHCP-species-dilution-info": "", "IHCP-species-notes": "", "WB-species-checked": "predicted", "WB-species-dilution-info": "", "WB-species-notes": "", "ICCIF-species-checked": "predicted", "ICCIF-species-dilution-info": "", "ICCIF-species-notes": "" }, "Guinea pig": { "IHCP-species-checked": "predicted", "IHCP-species-dilution-info": "", "IHCP-species-notes": "", "WB-species-checked": "predicted", "WB-species-dilution-info": "", "WB-species-notes": "", "ICCIF-species-checked": "predicted", "ICCIF-species-dilution-info": "", "ICCIF-species-notes": "" }, "Orangutan": { "IHCP-species-checked": "predicted", "IHCP-species-dilution-info": "", "IHCP-species-notes": "", "WB-species-checked": "predicted", "WB-species-dilution-info": "", "WB-species-notes": "", "ICCIF-species-checked": "predicted", "ICCIF-species-dilution-info": "", "ICCIF-species-notes": "" }, "Pig": { "IHCP-species-checked": "predicted", "IHCP-species-dilution-info": "", "IHCP-species-notes": "", "WB-species-checked": "predicted", "WB-species-dilution-info": "", "WB-species-notes": "", "ICCIF-species-checked": "predicted", "ICCIF-species-dilution-info": "", "ICCIF-species-notes": "" }, "Primates": { "IHCP-species-checked": "predicted", "IHCP-species-dilution-info": "", "IHCP-species-notes": "", "WB-species-checked": "predicted", "WB-species-dilution-info": "", "WB-species-notes": "", "ICCIF-species-checked": "predicted", "ICCIF-species-dilution-info": "", "ICCIF-species-notes": "" } } }

Product details

The antibody solution should be gently mixed before use.

Properties and storage information

Form
Liquid
Purification technique
Affinity purification Immunogen
Storage buffer
pH: 7.2 Preservative: 0.02% Sodium azide Constituents: PBS, 40% Glycerol (glycerin, glycerine)
Shipped at conditions
Blue Ice
Appropriate short-term storage conditions
+4°C
Appropriate long-term storage conditions
-20°C
Aliquoting information
Upon delivery aliquot
Storage information
Avoid freeze / thaw cycle

Supplementary information

This supplementary information is collated from multiple sources and compiled automatically.

UNC119-binding protein C5orf30 also known as C5orf30 is a protein with a known sequence mass of approximately 24 kDa. This protein mechanically interacts with UNC119 a protein involved in the trafficking of proteins to cilia and photoreceptor cells. C5orf30 shows broad expression in many tissues including immune cells and the central nervous system. The interaction with UNC119 suggests a role in processes related to intracellular transport and signaling.
Biological function summary

The function of C5orf30 involves modulating immune response and inflammation. While not a part of a large protein complex C5orf30 influences signal transduction pathways through its interaction with other signaling proteins. It links to the regulation of the immune system where it helps maintain balance and prevents overactivation which can lead to autoimmune issues. Its expression and activity indicate its role in immune regulation.

Pathways

The protein C5orf30 plays a part in the regulation of the JAK-STAT signaling pathway which is essential for immune function and cellular responses to cytokines. It influences the activity of proteins like STAT1 and STAT3 commonly involved in transcriptional regulation and inflammatory responses. Another pathway C5orf30 interacts with is the Wnt signaling pathway impacting cellular proliferation and differentiation. Through these pathways C5orf30 connects with other signaling proteins modulating processes critical for maintaining immune homeostasis.

C5orf30 has been linked to rheumatoid arthritis and inflammatory bowel disease. Both conditions involve dysregulation of the immune system where C5orf30 is believed to play a role in disease progression. The protein associates with other proteins like IL-6 and TNF-alpha which are key regulators of inflammation in these disorders. Understanding C5orf30's interactions may help in developing therapeutic strategies for these diseases.

Product protocols

For this product, it's our understanding that no specific protocols are required. You can visit:

Target data

Regulates the macrophage function, by enhancing the resolution of inflammation and wound repair functions mediated by M2 macrophages (PubMed : 30659109). The regulation of macrophage function is, due at least in part, to its ability to inhibit glycolysis (PubMed : 30659109). May also play a role in trafficking of proteins via its interaction with UNC119 and UNC119B cargo adapters : may help the release of UNC119 and UNC119B cargo or the recycling of UNC119 and UNC119B (PubMed : 22085962). May play a role in ciliary membrane localization via its interaction with UNC119B and protein transport into photoreceptor cells (PubMed : 22085962).
See full target information MACIR

Publications (1)

Recent publications for all applications. Explore the full list and refine your search

Journal of translational medicine 21:253 PubMed37041638

2023

HIGD2A silencing impairs hepatocellular carcinoma growth via inhibiting mitochondrial function and the MAPK/ERK pathway.

Applications

Unspecified application

Species

Unspecified reactive species

Kuiyuan Huang,Ziying Liu,Zhanglian Xie,Xiaoran Li,Haixing Zhang,Yu Chen,Yiran Wang,Zimo Lin,Chuanjiang Li,Hongyan Liu,Xiaoyong Zhang
View all publications

Product promise

We are committed to supporting your work with high-quality reagents, and we're here for you every step of the way. In the unlikely event that one of our products does not perform as expected, you're protected by our Product Promise.
For full details, please see our Terms & Conditions

Please note: All products are 'FOR RESEARCH USE ONLY. NOT FOR USE IN DIAGNOSTIC OR THERAPEUTIC PROCEDURES'.

For licensing inquiries, please contact partnerships@abcam.com