JavaScript is disabled in your browser. Please enable JavaScript to view this website.
AB324867

Anti-UNC119-binding protein C5orf30 antibody [EPR30038-27]

Be the first to review this product! Submit a review

|

(0 Publication)

Rabbit Recombinant Monoclonal UNC119-binding protein C5orf30 antibody. Suitable for WB and reacts with Human samples.

View Alternative Names

C5orf30, MACIR, Macrophage immunometabolism regulator

2 Images
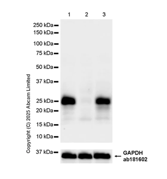
Western blot - Anti-UNC119-binding protein C5orf30 antibody [EPR30038-27] (AB324867)
  • WB

Supplier Data

Western blot - Anti-UNC119-binding protein C5orf30 antibody [EPR30038-27] (AB324867)

Blocking and diluting buffer and concentration : 5% NFDM/TBST.

In Western blot, Anti-GAPDH antibody [EPR16891] - Loading Control (ab181602) staining at 1/200000 dilution.

All lanes:

Western blot - Anti-UNC119-binding protein C5orf30 antibody [EPR30038-27] (ab324867) at 1/1000 dilution

Lane 1:

HeLa (human cervical adenocarcinoma epithelial cell) transfected with scrambled siRNA control whole cell lysate at 20 µg

Lane 2:

HeLa transfected with siRNA specifically targeting UNC119-binding protein C5orf30 whole cell lysate at 20 µg

Lane 3:

Raji (human burkitt's lymphoma b lymphocyte) whole cell lysate at 20 µg

Secondary

All lanes:

Western blot - Goat Anti-Rabbit IgG H&L (HRP) (<a href='/en-us/products/secondary-antibodies/goat-rabbit-igg-h-l-hrp-ab97051'>ab97051</a>) at 1/20000 dilution

false

Exposure time: 26s

Western blot - Anti-UNC119-binding protein C5orf30 antibody [EPR30038-27] (AB324867)
  • WB

Supplier Data

Western blot - Anti-UNC119-binding protein C5orf30 antibody [EPR30038-27] (AB324867)

Blocking and diluting buffer and concentration : 5% NFDM/TBST.

Low expression : Daudi, Jurkat (PMID : 26316022).

The identity of the bands higher than 37 kDa and lower than 20 kDa are unknown.

In Western blot, Anti-GAPDH antibody [EPR16891] - Loading Control (ab181602) staining at 1/200000 dilution.

All lanes:

Western blot - Anti-UNC119-binding protein C5orf30 antibody [EPR30038-27] (ab324867) at 1/1000 dilution

Lane 1:

HeLa (human cervical adenocarcinoma epithelial cell) whole cell lysate at 20 µg

Lane 2:

Daudi (human burkitt's lymphoma lymphoblast) whole cell lysate at 20 µg

Lane 3:

Jurkat (human t cell leukemia t lymphocyte from peripheral blood) whole cell lysate at 20 µg

Lane 4:

HT-1376 (human urinary bladder carcinoma epithelial cell) whole cell lysate at 20 µg

Lane 5:

HDLM-2 (human hodgkin lymphoma cell) whole cell lysate at 20 µg

Secondary

All lanes:

Western blot - Goat Anti-Rabbit IgG H&L (HRP) (<a href='/en-us/products/secondary-antibodies/goat-rabbit-igg-h-l-hrp-ab97051'>ab97051</a>) at 1/20000 dilution

false

Exposure time: 26s

Key facts

Host species

Rabbit

Clonality

Monoclonal

Clone number

EPR30038-27

Isotype

IgG

Carrier free

No

Reacts with

Human

Applications

WB

applications

Immunogen

The exact immunogen used to generate this antibody is proprietary information.

Reactivity data

{ "title": "Reactivity Data", "filters": { "stats": ["", "Species", "Dilution Info", "Notes"], "tabs": { "all-applications": {"fullname" : "All Applications", "shortname": "All Applications"}, "WB" : {"fullname" : "Western blot", "shortname":"WB"}, "FlowCytIntra" : {"fullname" : "Flow Cytometry (Intracellular)", "shortname":"Flow Cyt (Intra)"}, "ICCIF" : {"fullname" : "Immunocytochemistry/ Immunofluorescence", "shortname":"ICC/IF"}, "IHCP" : {"fullname" : "Immunohistochemistry (Formalin/PFA-fixed paraffin-embedded sections)", "shortname":"IHC-P"} }, "product-promise": { "all": "all", "testedAndGuaranteed": "tested", "guaranteed": "expected", "predicted": "predicted", "notRecommended": "not-recommended" } }, "values": { "Human": { "WB-species-checked": "testedAndGuaranteed", "WB-species-dilution-info": "1/1000", "WB-species-notes": "<p></p>", "FlowCytIntra-species-checked": "notRecommended", "FlowCytIntra-species-dilution-info": "", "FlowCytIntra-species-notes": "<p></p>", "ICCIF-species-checked": "notRecommended", "ICCIF-species-dilution-info": "", "ICCIF-species-notes": "<p></p>", "IHCP-species-checked": "notRecommended", "IHCP-species-dilution-info": "", "IHCP-species-notes": "<p></p>" } } }

Product details

Patented technology
Our RabMAb® technology is a patented hybridoma-based technology for making rabbit monoclonal antibodies. For details on our patents, please refer to RabMAb® patents.

What are the advantages of a recombinant monoclonal antibody?
This product is a recombinant monoclonal antibody, which offers several advantages including:

  • - High batch-to-batch consistency and reproducibility
  • - Improved sensitivity and specificity
  • - Long-term security of supply
  • - Animal-free batch production

For more information, read more on recombinant antibodies.

Properties and storage information

Form
Liquid
Purification technique
Affinity purification Protein A
Storage buffer
pH: 7.2 - 7.4 Preservative: 0.01% Sodium azide Constituents: PBS, 40% Glycerol (glycerin, glycerine), 0.05% BSA
Shipped at conditions
Blue Ice
Appropriate short-term storage duration
1-2 weeks
Appropriate short-term storage conditions
+4°C
Appropriate long-term storage conditions
-20°C
Aliquoting information
Upon delivery aliquot
Storage information
Avoid freeze / thaw cycle

Product protocols

For this product, it's our understanding that no specific protocols are required. You can visit:

Target data

Regulates the macrophage function, by enhancing the resolution of inflammation and wound repair functions mediated by M2 macrophages (PubMed : 30659109). The regulation of macrophage function is, due at least in part, to its ability to inhibit glycolysis (PubMed : 30659109). May also play a role in trafficking of proteins via its interaction with UNC119 and UNC119B cargo adapters : may help the release of UNC119 and UNC119B cargo or the recycling of UNC119 and UNC119B (PubMed : 22085962). May play a role in ciliary membrane localization via its interaction with UNC119B and protein transport into photoreceptor cells (PubMed : 22085962).
See full target information MACIR

Product promise

We are committed to supporting your work with high-quality reagents, and we're here for you every step of the way. In the unlikely event that one of our products does not perform as expected, you're protected by our Product Promise.
For full details, please see our Terms & Conditions

Please note: All products are 'FOR RESEARCH USE ONLY. NOT FOR USE IN DIAGNOSTIC OR THERAPEUTIC PROCEDURES'.

For licensing inquiries, please contact partnerships@abcam.com