JavaScript is disabled in your browser. Please enable JavaScript to view this website.
AB313565

Anti-UNC5B antibody [EPR26173-186]

Be the first to review this product! Submit a review

|

(0 Publication)

Rabbit Recombinant Monoclonal UNC5B antibody. Suitable for WB, ICC/IF, Flow Cyt (Intra) and reacts with Transfected cell lysate - Mouse, Human, Mouse, Rat samples.

View Alternative Names

Unc5h2, Unc5b, Netrin receptor UNC5B, Protein unc-5 homolog 2, Protein unc-5 homolog B

5 Images
Immunocytochemistry/ Immunofluorescence - Anti-UNC5B antibody [EPR26173-186] (AB313565)
  • ICC/IF

Supplier Data

Immunocytochemistry/ Immunofluorescence - Anti-UNC5B antibody [EPR26173-186] (AB313565)

Immunofluorescent analysis of 100% methanol-fixed, 0.1% TritonX-100 permeabilized Neuro-2a (mouse neuroblastoma neuroblast) cells labelling UNC5B with ab313565 at 1/50 (10.56 ug/ml) dilution, followed by ab150081 Goat Anti-Rabbit IgG H&L (Alexa Fluor® 488) preadsorbed antibody at 1/1000 2 ug/ml dilution (Green). Confocal image showing membranous staining in Neuro-2a cells.Image was taken with a confocal microscope(Leica-Microsystems, TCS SP8). is observed. ab195889 Anti-alpha Tubulin mouse monoclonal antibody - Microtubule Marker (Alexa Fluor® 594) was used to counterstain tubulin at 1/200 2.5ug/ml dilution (Red). The Nuclear counterstain was DAPI (Blue). Secondary antibody only control : Secondary antibody is ab150081 Goat Anti-Rabbit IgG H&L (Alexa Fluor® 488) preadsorbed at 1/1000 2 ug/ml dilution.

Flow Cytometry (Intracellular) - Anti-UNC5B antibody [EPR26173-186] (AB313565)
  • Flow Cyt (Intra)

Supplier Data

Flow Cytometry (Intracellular) - Anti-UNC5B antibody [EPR26173-186] (AB313565)

Flow cytometric analysis of 4% paraformaldehyde fixed 90% methanol permeabilized Neuro-2a (mouse neuroblastoma neuroblast) cells labelling UNC5B with ab313565 at 1/50 dilution (1 ug)/Red (Red) compared with a Rabbit monoclonal IgG (ab172730) (Black) isotype control and an unlabelled control (cells without incubation with primary antibody and secondary antibody) (Blue). A Goat Anti-Rabbit IgG (Alexa Fluor® 488, ab150081) at 1/5000 dilution was used as the secondary antibody.

Western blot - Anti-UNC5B antibody [EPR26173-186] (AB313565)
  • WB

Supplier Data

Western blot - Anti-UNC5B antibody [EPR26173-186] (AB313565)

Blocking and diluting buffer and concentration : 5% NFDM/TBST.

Negative control : Daudi, Raji(PMID : 12655055), HL-60 (PMID : 12655055, PMID : 25171009).

In Western blot, anti-GAPDH antibody (ab181602) loading control staining at 1/200000 dilution.

All lanes:

Western blot - Anti-UNC5B antibody [EPR26173-186] (ab313565) at 1/1000 dilution

Lane 1:

Human brain tissue lysate at 20 µg

Lane 2:

SH-SY5Y (human neuroblastoma epithelial cell) whole cell lysate at 20 µg

Lane 3:

Daudi (human Burkitts lymphoma lymphoblast) whole cell lysate at 20 µg

Lane 4:

HL-60 (human Acute Promyelocytic Leukemia promyeloblast) whole cell lysate at 20 µg

Lane 5:

Raji (human Burkitts lymphoma B lymphocyte) whole cell lysate at 20 µg

Secondary

All lanes:

Western blot - Goat Anti-Rabbit IgG H&L (HRP) (<a href='/en-us/products/secondary-antibodies/goat-rabbit-igg-h-l-hrp-ab97051'>ab97051</a>) at 1/100000 dilution

Observed band size: 50 kDa,65 kDa,130 kDa

false

Exposure time: 26s

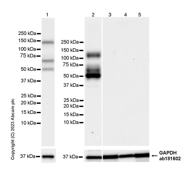
Western blot - Anti-UNC5B antibody [EPR26173-186] (AB313565)
  • WB

Supplier Data

Western blot - Anti-UNC5B antibody [EPR26173-186] (AB313565)

Blocking and diluting buffer and concentration : 5% NFDM/TBST In Western blot, anti-GAPDH antibody (ab181602) loading control staining at 1/200000 dilution. Exposure time : 180 seconds

All lanes:

Western blot - Anti-UNC5B antibody [EPR26173-186] (ab313565) at 1/1000 dilution

Lane 1:

Mouse spinal cord tissue lysate at 20 µg

Lane 2:

Mouse brain tissue lysate at 20 µg

Lane 3:

bEnd.3 (mouse brain endothelial cell) while cell lysate at 20 µg

Lane 4:

Neuro-2a (mouse neuroblastoma neuroblast) whole cell lysate at 20 µg

Lane 5:

Rat brain tissue lysate at 20 µg

Lane 6:

C6 (rat glial tumor glial cell) whole cell lysate at 20 µg

Secondary

All lanes:

Western blot - Goat Anti-Rabbit IgG H&L (HRP) (<a href='/en-us/products/secondary-antibodies/goat-rabbit-igg-h-l-hrp-ab97051'>ab97051</a>) at 1/100000 dilution

Observed band size: 50 kDa,65 kDa,130 kDa

false

Exposure time: 180s

Western blot - Anti-UNC5B antibody [EPR26173-186] (AB313565)
  • WB

Supplier Data

Western blot - Anti-UNC5B antibody [EPR26173-186] (AB313565)

Blocking and diluting buffer and concentration : 5% NFDM/TBST This antibody has no cross reaction with mouse UNC5A, UNC5C and UNC5D. In Western blot, anti-His antibody (ab213204) staining at 1/5000 dilution. Exposure time : 3 seconds

All lanes:

Western blot - Anti-UNC5B antibody [EPR26173-186] (ab313565) at 1/1000 dilution

Lane 1:

293T transfected with a mouse UNC5A expression vector containi a His tag whole cell lysate at 40 µg

Lane 2:

293T transfected with a mouse UNC5B vector containi a His tag whole cell lysate at 2 µg

Lane 3:

293T transfected with a mouse UNC5C vector containi a His tag whole cell lysate at 10 µg

Lane 4:

293T transfected with a mouse UNC5D vector containi a His tag whole cell lysate at 20 µg

Secondary

All lanes:

Western blot - Goat Anti-Rabbit IgG H&L (HRP) (<a href='/en-us/products/secondary-antibodies/goat-rabbit-igg-h-l-hrp-ab97051'>ab97051</a>) at 1/100000 dilution

Observed band size: 130 kDa

false

Exposure time: 3s

Key facts

Host species

Rabbit

Clonality

Monoclonal

Clone number

EPR26173-186

Isotype

IgG

Carrier free

No

Reacts with

Human, Mouse, Rat

Applications

Flow Cyt (Intra), ICC/IF, WB

applications

Immunogen

The exact immunogen used to generate this antibody is proprietary information.

Reactivity data

{ "title": "Reactivity Data", "filters": { "stats": ["", "Species", "Dilution Info", "Notes"], "tabs": { "all-applications": {"fullname" : "All Applications", "shortname": "All Applications"}, "WB" : {"fullname" : "Western blot", "shortname":"WB"}, "ICCIF" : {"fullname" : "Immunocytochemistry/ Immunofluorescence", "shortname":"ICC/IF"}, "FlowCytIntra" : {"fullname" : "Flow Cytometry (Intracellular)", "shortname":"Flow Cyt (Intra)"}, "IP" : {"fullname" : "Immunoprecipitation", "shortname":"IP"}, "IHCP" : {"fullname" : "Immunohistochemistry (Formalin/PFA-fixed paraffin-embedded sections)", "shortname":"IHC-P"}, "IHCFr" : {"fullname" : "Immunohistochemistry (Frozen sections)", "shortname":"IHC-Fr"} }, "product-promise": { "all": "all", "testedAndGuaranteed": "tested", "guaranteed": "expected", "predicted": "predicted", "notRecommended": "not-recommended" } }, "values": { "Human": { "WB-species-checked": "testedAndGuaranteed", "WB-species-dilution-info": "1/1000", "WB-species-notes": "<p></p>", "ICCIF-species-checked": "notRecommended", "ICCIF-species-dilution-info": "", "ICCIF-species-notes": "<p></p>", "FlowCytIntra-species-checked": "guaranteed", "FlowCytIntra-species-dilution-info": "", "FlowCytIntra-species-notes": "", "IP-species-checked": "notRecommended", "IP-species-dilution-info": "", "IP-species-notes": "", "IHCP-species-checked": "notRecommended", "IHCP-species-dilution-info": "", "IHCP-species-notes": "<p></p>", "IHCFr-species-checked": "notRecommended", "IHCFr-species-dilution-info": "", "IHCFr-species-notes": "" }, "Mouse": { "WB-species-checked": "testedAndGuaranteed", "WB-species-dilution-info": "1/1000", "WB-species-notes": "<p></p>", "ICCIF-species-checked": "testedAndGuaranteed", "ICCIF-species-dilution-info": "1/50", "ICCIF-species-notes": "<p></p>", "FlowCytIntra-species-checked": "testedAndGuaranteed", "FlowCytIntra-species-dilution-info": "1/50", "FlowCytIntra-species-notes": "<p></p>", "IP-species-checked": "notRecommended", "IP-species-dilution-info": "", "IP-species-notes": "<p></p>", "IHCP-species-checked": "notRecommended", "IHCP-species-dilution-info": "", "IHCP-species-notes": "<p></p>", "IHCFr-species-checked": "notRecommended", "IHCFr-species-dilution-info": "", "IHCFr-species-notes": "<p></p>" }, "Rat": { "WB-species-checked": "testedAndGuaranteed", "WB-species-dilution-info": "1/1000", "WB-species-notes": "<p></p>", "ICCIF-species-checked": "notRecommended", "ICCIF-species-dilution-info": "", "ICCIF-species-notes": "<p></p>", "FlowCytIntra-species-checked": "guaranteed", "FlowCytIntra-species-dilution-info": "", "FlowCytIntra-species-notes": "", "IP-species-checked": "notRecommended", "IP-species-dilution-info": "", "IP-species-notes": "", "IHCP-species-checked": "notRecommended", "IHCP-species-dilution-info": "", "IHCP-species-notes": "<p></p>", "IHCFr-species-checked": "notRecommended", "IHCFr-species-dilution-info": "", "IHCFr-species-notes": "<p></p>" }, "Transfected cell lysate - Mouse": { "WB-species-checked": "testedAndGuaranteed", "WB-species-dilution-info": "1/1000", "WB-species-notes": "<p></p>", "ICCIF-species-checked": "notRecommended", "ICCIF-species-dilution-info": "", "ICCIF-species-notes": "", "FlowCytIntra-species-checked": "notRecommended", "FlowCytIntra-species-dilution-info": "", "FlowCytIntra-species-notes": "", "IP-species-checked": "notRecommended", "IP-species-dilution-info": "", "IP-species-notes": "", "IHCP-species-checked": "notRecommended", "IHCP-species-dilution-info": "", "IHCP-species-notes": "", "IHCFr-species-checked": "notRecommended", "IHCFr-species-dilution-info": "", "IHCFr-species-notes": "" } } }

Product details

Patented technology
Our RabMAb® technology is a patented hybridoma-based technology for making rabbit monoclonal antibodies. For details on our patents, please refer to RabMAb® patents.

What are the advantages of a recombinant monoclonal antibody?
This product is a recombinant monoclonal antibody, which offers several advantages including:

  • - High batch-to-batch consistency and reproducibility
  • - Improved sensitivity and specificity
  • - Long-term security of supply
  • - Animal-free batch production

For more information, read more on recombinant antibodies.

Properties and storage information

Form
Liquid
Purification technique
Affinity purification Protein A
Storage buffer
pH: 7.2 - 7.4 Preservative: 0.01% Sodium azide Constituents: PBS, 40% Glycerol (glycerin, glycerine), 0.05% BSA
Shipped at conditions
Blue Ice
Appropriate short-term storage duration
1-2 weeks
Appropriate short-term storage conditions
+4°C
Appropriate long-term storage conditions
-20°C
Aliquoting information
Upon delivery aliquot
Storage information
Avoid freeze / thaw cycle

Supplementary information

This supplementary information is collated from multiple sources and compiled automatically.

UNC5B also referred to as Unc-5 homolog B is a member of the UNC5 family of Netrin receptors. This protein acts mechanically as a dependence receptor that modulates axon guidance by mediating repulsion of axons away from the source of its ligand Netrin-1. UNC5B has a molecular mass around 110 kDa. Scientists observe the expression of UNC5B predominantly in endothelial cells and neuronal tissues indicating its role in vascular and nervous system development.
Biological function summary

Scientists understand UNC5B to mediate the anti-angiogenic effects within tissues. It is an essential component of the signaling pathways that govern apoptosis in response to cellular conditions. UNC5B forms part of a larger receptor complex with Netrin-1 which influences cellular directionality and guidance by affecting cytoskeletal dynamics.

Pathways

The UNC5B receptor prominently participates in the Netrin signaling pathway. Within this pathway UNC5B interacts with other proteins such as DCC (deleted in colorectal cancer) that are involved in axonal guidance and neuronal navigation. It also plays a part in the apoptotic signaling pathways which are important for regulating cell survival and programmed cell death.

Researchers associate UNC5B with cancer progression and neurodevelopmental disorders. The regulation of UNC5B is important in the suppression of tumor angiogenesis where its interaction with Netrin-1 can impact cancer cell vascular supply. Additionally misregulation of its pathway might contribute to conditions such as autism spectrum disorders where proteins like DCC interact with it indicating a potential role in neurodevelopmental pathologies.

Product protocols

For this product, it's our understanding that no specific protocols are required. You can visit:

Target data

Receptor for netrin required for axon guidance. Mediates axon repulsion of neuronal growth cones in the developing nervous system upon ligand binding. Axon repulsion in growth cones may be caused by its association with DCC that may trigger signaling for repulsion (By similarity). Functions as a netrin receptor that negatively regulates vascular branching during angiogenesis (PubMed : 15510105). Mediates retraction of tip cell filopodia on endothelial growth cones in response to netrin (PubMed : 15510105). It also acts as a dependence receptor required for apoptosis induction when not associated with netrin ligand. Mediates apoptosis by activating DAPK1. In the absence of NTN1, activates DAPK1 by reducing its autoinhibitory phosphorylation at Ser-308 thereby increasing its catalytic activity (By similarity).
See full target information Unc5b

Product promise

We are committed to supporting your work with high-quality reagents, and we're here for you every step of the way. In the unlikely event that one of our products does not perform as expected, you're protected by our Product Promise.
For full details, please see our Terms & Conditions

Please note: All products are 'FOR RESEARCH USE ONLY. NOT FOR USE IN DIAGNOSTIC OR THERAPEUTIC PROCEDURES'.

For licensing inquiries, please contact partnerships@abcam.com