JavaScript is disabled in your browser. Please enable JavaScript to view this website.
AB318983

Anti-UNG2 antibody [EPR29004-78] - BSA and Azide free

Be the first to review this product! Submit a review

|

(0 Publication)

Rabbit Recombinant Monoclonal UNG antibody. Carrier free. Suitable for Dot, IHC-P, WB and reacts with Synthetic peptide, Human samples.

View Alternative Names

DGU, UNG1, UNG15, UNG, Uracil-DNA glycosylase, UDG

5 Images
Immunohistochemistry (Formalin/PFA-fixed paraffin-embedded sections) - Anti-UNG2 antibody [EPR29004-78] - BSA and Azide free (AB318983)
  • IHC-P

Supplier Data

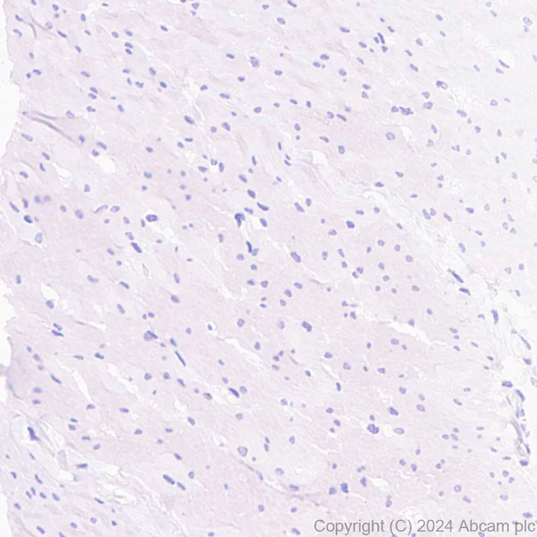
Immunohistochemistry (Formalin/PFA-fixed paraffin-embedded sections) - Anti-UNG2 antibody [EPR29004-78] - BSA and Azide free (AB318983)

This data was developed using ab318982, the same antibody clone in a different buffer formulation.

Immunohistochemical analysis of paraffin-embedded Human smooth muscle tissue labeling UNG2 with ab318982 at 1/100 (5.33 ug/ml) dilution, followed by a ready to use LeicaDS9800 (Bond™ Polymer Refine Detection).

Negative control : No staining in human smooth muscle.
The section was incubated with ab318982 for 30 mins at room temperature.
The immunostaining was performed on a Leica Biosystems BOND® RX instrument

Counterstained with Hematoxylin.

Secondary antibody only control : Secondary antibody is a ready to use LeicaDS9800 (Bond™ Polymer Refine Detection).

Heat mediated antigen retrieval was performed with Tris-EDTA buffer (pH 9.0, Epitope Retrieval Solution2) for 20 mins

Immunohistochemistry (Formalin/PFA-fixed paraffin-embedded sections) - Anti-UNG2 antibody [EPR29004-78] - BSA and Azide free (AB318983)
  • IHC-P

Supplier Data

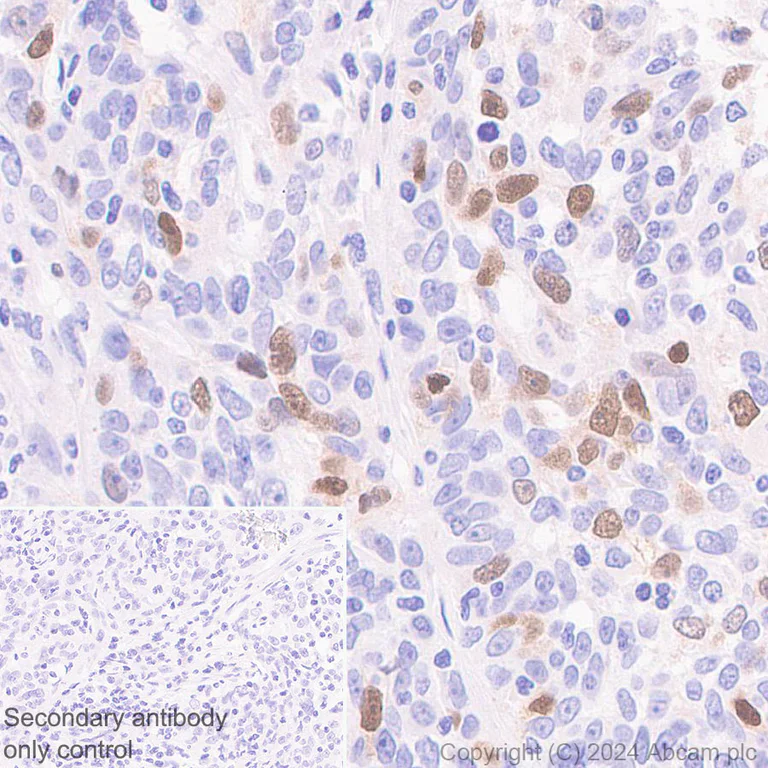
Immunohistochemistry (Formalin/PFA-fixed paraffin-embedded sections) - Anti-UNG2 antibody [EPR29004-78] - BSA and Azide free (AB318983)

This data was developed using ab318982, the same antibody clone in a different buffer formulation.

Immunohistochemical analysis of paraffin-embedded Human lung cancer tissue labeling UNG2 with ab318982 at 1/100 (5.33 ug/ml) dilution, followed by a ready to use LeicaDS9800 (Bond™ Polymer Refine Detection).

Positive staining in human lung cancer.
The section was incubated with ab318982 for 30 mins at room temperature.
The immunostaining was performed on a Leica Biosystems BOND® RX instrument

Counterstained with Hematoxylin.

Secondary antibody only control : Secondary antibody is a ready to use LeicaDS9800 (Bond™ Polymer Refine Detection).

Heat mediated antigen retrieval was performed with Tris-EDTA buffer (pH 9.0, Epitope Retrieval Solution2) for 20 mins

Immunohistochemistry (Formalin/PFA-fixed paraffin-embedded sections) - Anti-UNG2 antibody [EPR29004-78] - BSA and Azide free (AB318983)
  • IHC-P

Supplier Data

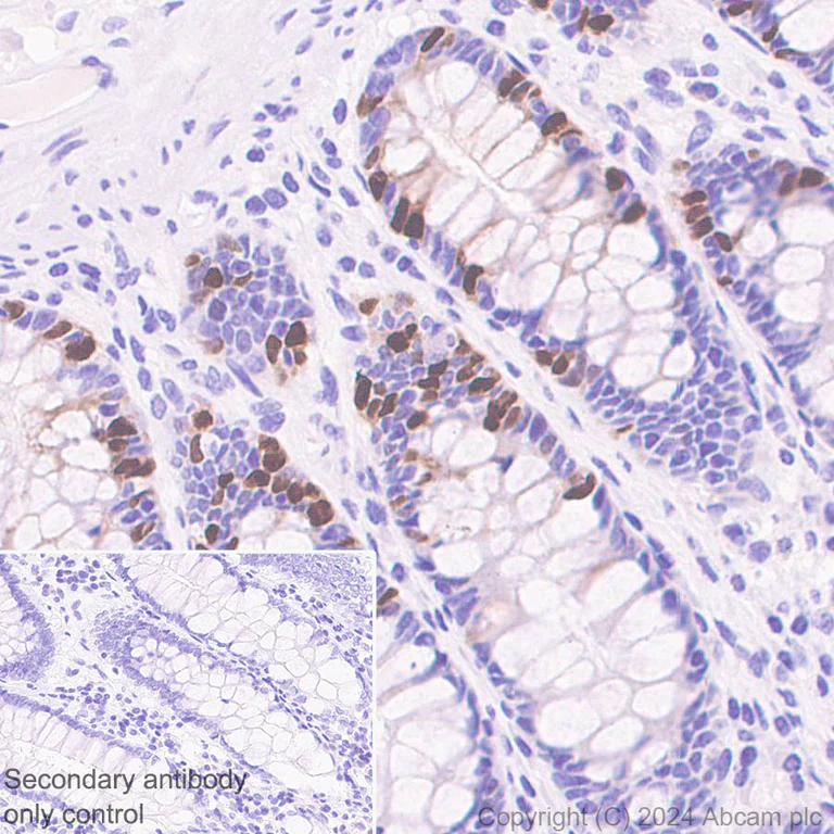
Immunohistochemistry (Formalin/PFA-fixed paraffin-embedded sections) - Anti-UNG2 antibody [EPR29004-78] - BSA and Azide free (AB318983)

This data was developed using ab318982, the same antibody clone in a different buffer formulation.

Immunohistochemical analysis of paraffin-embedded Human colon tissue labeling UNG2 with ab318982 at 1/100 (5.33 ug/ml) dilution, followed by a ready to use LeicaDS9800 (Bond™ Polymer Refine Detection).

Positive staining in human colon.
The section was incubated with ab318982 for 30 mins at room temperature.
The immunostaining was performed on a Leica Biosystems BOND® RX instrument

Counterstained with Hematoxylin.

Secondary antibody only control : Secondary antibody is a ready to use LeicaDS9800 (Bond™ Polymer Refine Detection).

Heat mediated antigen retrieval was performed with Tris-EDTA buffer (pH 9.0, Epitope Retrieval Solution2) for 20 mins

Western blot - Anti-UNG2 antibody [EPR29004-78] - BSA and Azide free (AB318983)
  • WB

Supplier Data

Western blot - Anti-UNG2 antibody [EPR29004-78] - BSA and Azide free (AB318983)

This data was developed using ab318982, the same antibody clone in a different buffer formulation.

In Western blot, Anti-Vinculin antibody [EPR8185] (ab129002) staining at 1/10000 dilution.

All lanes:

Western blot - Anti-UNG2 antibody [EPR29004-78] (<a href='/en-us/products/primary-antibodies/ung2-antibody-epr29004-78-ab318982'>ab318982</a>) at 1/1000 dilution

Lane 1:

HeLa (human cervical adenocarcinoma epithelial cell) transfected with scrambled siRNA control whole cell lysate at 50 µg

Lane 2:

HeLa transfected with siRNA specifically targeting UNG2 whole cell lysate at 50 µg

Lane 3:

293T (human embryonic kidney epithelial cell) whole cell lysate at 50 µg

Lane 4:

Caco-2 (human colorectal adenocarcinoma epithelial cell) whole cell lysate at 50 µg

Lane 5:

T-47D (human ductal breast epithelial tumor epithelial cell) whole cell lysate at 50 µg

Secondary

All lanes:

Western blot - Goat Anti-Rabbit IgG H&L (HRP) (<a href='/en-us/products/secondary-antibodies/goat-rabbit-igg-h-l-hrp-ab97051'>ab97051</a>) at 1/100000 dilution

Observed band size: 37 kDa,124 kDa

false

Exposure time: 180s

Dot Blot - Anti-UNG2 antibody [EPR29004-78] - BSA and Azide free (AB318983)
  • Dot

Supplier Data

Dot Blot - Anti-UNG2 antibody [EPR29004-78] - BSA and Azide free (AB318983)

This data was developed using ab318982, the same antibody clone in a different buffer formulation.

Dot blot analysis of UNG2 using ab318982 at 1 : 1000 (0.501 ug/ml) followed by a Goat Anti-Rabbit IgG, (H+L), Peroxidase conjugated (ab97051) at 1 : 100,000 dilution.

Blocking and diluting buffer and concentration : 5% NFDM/TBST.

Peptides are located within the N-terminal region of UNG1 (P13051-2) and UNG2 (P13051-1). This antibody does not cross-react with human UNG1.

All lanes:

Dot Blot - Anti-UNG2 antibody [EPR29004-78] (<a href='/en-us/products/primary-antibodies/ung2-antibody-epr29004-78-ab318982'>ab318982</a>) at 1/1000 dilution

Lane 1:

UNG2 peptide

Lane 2:

UNG1 peptide

Secondary

All lanes:

Dot Blot - Goat Anti-Rabbit IgG H&L (HRP) (<a href='/en-us/products/secondary-antibodies/goat-rabbit-igg-h-l-hrp-ab97051'>ab97051</a>) at 1/100000 dilution

false

Exposure time: 180s

Key facts

Host species

Rabbit

Clonality

Monoclonal

Clone number

EPR29004-78

Isotype

IgG

Carrier free

Yes

Reacts with

Human

Applications

WB, IHC-P, Dot

applications

Immunogen

The exact immunogen used to generate this antibody is proprietary information.

Specificity

The immunogen is located within the N-terminal region of UNG2 (P13051-1). Based on peptide dot blot data we do not expect this antibody to cross-react with UNG1 (P13051-2).

Reactivity data

{ "title": "Reactivity Data", "filters": { "stats": ["", "Species", "Dilution Info", "Notes"], "tabs": { "all-applications": {"fullname" : "All Applications", "shortname": "All Applications"}, "Dot" : {"fullname" : "Dot Blot", "shortname":"Dot"}, "IHCP" : {"fullname" : "Immunohistochemistry (Formalin/PFA-fixed paraffin-embedded sections)", "shortname":"IHC-P"}, "WB" : {"fullname" : "Western blot", "shortname":"WB"} }, "product-promise": { "all": "all", "testedAndGuaranteed": "tested", "guaranteed": "expected", "predicted": "predicted", "notRecommended": "not-recommended" } }, "values": { "Human": { "Dot-species-checked": "guaranteed", "Dot-species-dilution-info": "", "Dot-species-notes": "", "IHCP-species-checked": "testedAndGuaranteed", "IHCP-species-dilution-info": "", "IHCP-species-notes": "<p></p>", "WB-species-checked": "testedAndGuaranteed", "WB-species-dilution-info": "", "WB-species-notes": "<p></p>" }, "Mouse": { "Dot-species-checked": "notRecommended", "Dot-species-dilution-info": "", "Dot-species-notes": "", "IHCP-species-checked": "notRecommended", "IHCP-species-dilution-info": "", "IHCP-species-notes": "<p></p>", "WB-species-checked": "notRecommended", "WB-species-dilution-info": "", "WB-species-notes": "<p></p>" }, "Synthetic peptide": { "Dot-species-checked": "testedAndGuaranteed", "Dot-species-dilution-info": "", "Dot-species-notes": "<p></p>", "IHCP-species-checked": "notRecommended", "IHCP-species-dilution-info": "", "IHCP-species-notes": "", "WB-species-checked": "notRecommended", "WB-species-dilution-info": "", "WB-species-notes": "" } } }

Product details

ab318983 is the carrier-free version of ab318982.

Patented technology
Our RabMAb® technology is a patented hybridoma-based technology for making rabbit monoclonal antibodies. For details on our patents, please refer to RabMAb® patents.

What are the advantages of a recombinant monoclonal antibody?
This product is a recombinant monoclonal antibody, which offers several advantages including:

  • - High batch-to-batch consistency and reproducibility
  • - Improved sensitivity and specificity
  • - Long-term security of supply
  • - Animal-free batch production

For more information, read more on recombinant antibodies.

Conjugation ready
Our carrier-free antibodies are typically supplied in a PBS-only formulation, purified and free of BSA, sodium azide and glycerol. This conjugation-ready format is designed for use with fluorochromes, metal isotopes, oligonucleotides, and enzymes, which makes them ideal for antibody labelling, functional and cell-based assays, flow-based assays (e.g. mass cytometry) and Multiplex Imaging applications.

Use our conjugation kits for antibody conjugates that are ready-to-use in as little as 20 minutes with 1 minute hands-on-time and 100% antibody recovery: available for fluorescent dyes, HRP, biotin and gold.

Compatibility
This product is compatible with the Maxpar® Antibody Labeling Kit from Fluidigm, without the need for antibody preparation. Maxpar® is a trademark of Fluidigm Canada Inc.

Properties and storage information

Form
Liquid
Purification technique
Affinity purification Protein A
Storage buffer
pH: 7.2 - 7.4 Constituents: PBS
Shipped at conditions
Blue Ice
Appropriate short-term storage conditions
+4°C
Appropriate long-term storage conditions
+4°C

Supplementary information

This supplementary information is collated from multiple sources and compiled automatically.

UNG2 also known as uracil-DNA glycosylase 2 is a DNA repair enzyme with a mass of about 36 kDa. It operates mainly in the cell nucleus where it plays an important role in the base excision repair pathway. The enzyme detects and removes uracil from DNA molecules which often forms through deamination of cytosine or incorporation of dUMP instead of dTMP during DNA replication. By cleaving the N-glycosidic bond of uracil UNG2 initiates a repair process that helps maintain genetic integrity.
Biological function summary

The enzyme has a significant role in preserving the accuracy of genetic information. UNG2 works independently but it acts closely with other repair enzymes in the context of DNA damage response. UNG2 excises uracil efficiently facilitating downstream actions by other repair mechanisms which complete the repair process. The enzyme's activity ensures that DNA mutations which may compromise cellular functions or lead to diseases do not accumulate.

Pathways

The enzyme participates actively in the base excision repair pathway. This pathway critical for correcting small base lesions in DNA involves several components including APE1 and DNA polymerase beta. UNG2 collaborates with these proteins to ensure successful repair. Beyond this UNG2's activity is also linked to immunoglobulin gene diversification processes necessary for adaptive immunity thereby involving itself in immunity pathways.

Excessive or deficient activity of UNG2 links to certain conditions. Disruption in UNG2 function may contribute to cancer development due to its role in repairing DNA and preventing mutations. The enzyme's actions also intersect with viral infections; certain viruses such as Epstein-Barr virus may manipulate UNG2 function to favor their replication. Exploring these interactions can provide insights into potential therapeutic targets for these conditions.

Product protocols

For this product, it's our understanding that no specific protocols are required. You can visit:

Target data

Excises uracil residues from the DNA which can arise as a result of misincorporation of dUMP residues by DNA polymerase or due to deamination of cytosine.
See full target information UNG

Product promise

We are committed to supporting your work with high-quality reagents, and we're here for you every step of the way. In the unlikely event that one of our products does not perform as expected, you're protected by our Product Promise.
For full details, please see our Terms & Conditions

Please note: All products are 'FOR RESEARCH USE ONLY. NOT FOR USE IN DIAGNOSTIC OR THERAPEUTIC PROCEDURES'.

For licensing inquiries, please contact partnerships@abcam.com