JavaScript is disabled in your browser. Please enable JavaScript to view this website.
AB270397

Anti-UNQ511 antibody [EPR23557-128]

Be the first to review this product! Submit a review

|

(0 Publication)

Rabbit Recombinant Monoclonal UNQ511 antibody. Suitable for WB, IHC-P and reacts with Human samples.

View Alternative Names

UNQ511/PRO1026, LYPD8, Ly6/PLAUR domain-containing protein 8

4 Images
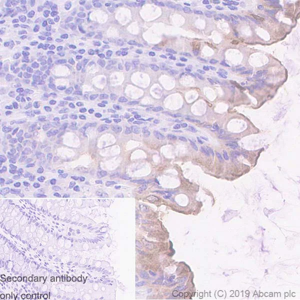
Immunohistochemistry (Formalin/PFA-fixed paraffin-embedded sections) - Anti-UNQ511 antibody [EPR23557-128] (AB270397)
  • IHC-P

Lab

Immunohistochemistry (Formalin/PFA-fixed paraffin-embedded sections) - Anti-UNQ511 antibody [EPR23557-128] (AB270397)

Immunohistochemical analysis of paraffin-embedded Human colon tissue labeling UNQ511 with ab270397 at 1/250 dilution followed by a ready to use Goat Anti-Rabbit IgG H&L (HRP). Positive staining in apical surface of epithelial cells of human colon (PMID : 27027293) is observed. Counterstained with Hematoxylin

Secondary antibody only control : Used PBS instead of primary antibody, secondary antibody is a ready to use Goat Anti-Rabbit IgG H&L (HRP).

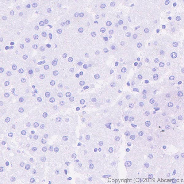
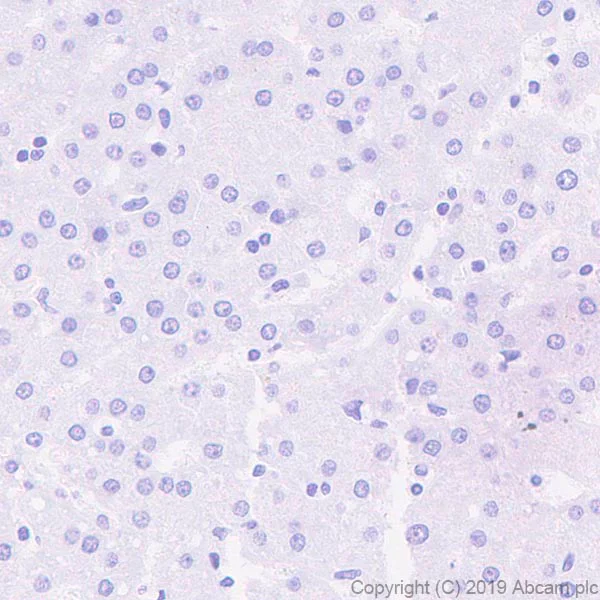
Immunohistochemistry (Formalin/PFA-fixed paraffin-embedded sections) - Anti-UNQ511 antibody [EPR23557-128] (AB270397)
  • IHC-P

Lab

Immunohistochemistry (Formalin/PFA-fixed paraffin-embedded sections) - Anti-UNQ511 antibody [EPR23557-128] (AB270397)

Immunohistochemical analysis of paraffin-embedded Human liver tissue labeling UNQ511 with ab270397 at 1/250 dilution (2 μg/ml) followed by a ready to use Goat Anti-Rabbit IgG H&L (HRP).

Negative control : no staining in human liver (PMID : 27027293).

Counterstained with Hematoxylin. Heat mediated antigen retrieval using ab93684 (Tris/EDTA buffer, pH 9.0)

Secondary antibody only control : Used PBS instead of primary antibody, secondary antibody is a ready to use Goat Anti-Rabbit IgG H&L (HRP).

Western blot - Anti-UNQ511 antibody [EPR23557-128] (AB270397)
  • WB

Lab

Western blot - Anti-UNQ511 antibody [EPR23557-128] (AB270397)

Exposure time : 3 minutes

The molecular weight observed is consistent with what has been described in the literature (PMID : 27027293).

All lanes:

Western blot - Anti-UNQ511 antibody [EPR23557-128] (ab270397) at 1/1000 dilution

Lane 1:

Human large intestine tissue lysate at 20 µg

Lane 2:

Human large intestine tissue lysate treated with PNGase F at 20 µg

Secondary

All lanes:

Western blot - VeriBlot for IP Detection Reagent (HRP) (<a href='/en-us/products/reagents/veriblot-for-ip-detection-reagent-hrp-ab131366'>ab131366</a>) at 1/1000 dilution

Predicted band size: 25 kDa

Observed band size: 100 kDa,35 kDa

false

Western blot - Anti-UNQ511 antibody [EPR23557-128] (AB270397)
  • WB

Lab

Western blot - Anti-UNQ511 antibody [EPR23557-128] (AB270397)

Exposure time : 3 minutes

The molecular weight observed is consistent with what has been described in the literature (PMID : 27027293)

All lanes:

Western blot - Anti-UNQ511 antibody [EPR23557-128] (ab270397) at 1/1000 dilution

Lane 1:

Human colon tissue lysate at 20 µg

Lane 2:

Human colon cancer tissue lysate at 20 µg

Secondary

All lanes:

Western blot - VeriBlot for IP Detection Reagent (HRP) (<a href='/en-us/products/reagents/veriblot-for-ip-detection-reagent-hrp-ab131366'>ab131366</a>) at 1/1000 dilution

Predicted band size: 25 kDa

Observed band size: 100 kDa

false

  • Carrier free

    Anti-UNQ511 antibody [EPR23557-128] - BSA and Azide free

Key facts

Host species

Rabbit

Clonality

Monoclonal

Clone number

EPR23557-128

Isotype

IgG

Carrier free

No

Reacts with

Human

Applications

IHC-P, WB

applications

Immunogen

The exact immunogen used to generate this antibody is proprietary information.

Reactivity data

{ "title": "Reactivity Data", "filters": { "stats": ["", "Species", "Dilution Info", "Notes"], "tabs": { "all-applications": {"fullname" : "All Applications", "shortname": "All Applications"}, "WB" : {"fullname" : "Western blot", "shortname":"WB"}, "IHCP" : {"fullname" : "Immunohistochemistry (Formalin/PFA-fixed paraffin-embedded sections)", "shortname":"IHC-P"} }, "product-promise": { "all": "all", "testedAndGuaranteed": "tested", "guaranteed": "expected", "predicted": "predicted", "notRecommended": "not-recommended" } }, "values": { "Human": { "WB-species-checked": "testedAndGuaranteed", "WB-species-dilution-info": "1/1000", "WB-species-notes": "<p></p>", "IHCP-species-checked": "testedAndGuaranteed", "IHCP-species-dilution-info": "1/250", "IHCP-species-notes": "<p></p>" }, "Mouse": { "WB-species-checked": "notRecommended", "WB-species-dilution-info": "1/1000", "WB-species-notes": "<p></p>", "IHCP-species-checked": "notRecommended", "IHCP-species-dilution-info": "1/250", "IHCP-species-notes": "<p></p>" }, "Rat": { "WB-species-checked": "notRecommended", "WB-species-dilution-info": "1/1000", "WB-species-notes": "<p></p>", "IHCP-species-checked": "notRecommended", "IHCP-species-dilution-info": "1/250", "IHCP-species-notes": "<p></p>" } } }

Product details

Patented technology
Our RabMAb® technology is a patented hybridoma-based technology for making rabbit monoclonal antibodies. For details on our patents, please refer to RabMAb® patents.

What are the advantages of a recombinant monoclonal antibody?
This product is a recombinant monoclonal antibody, which offers several advantages including:

  • - High batch-to-batch consistency and reproducibility
  • - Improved sensitivity and specificity
  • - Long-term security of supply
  • - Animal-free batch production

For more information, read more on recombinant antibodies.

Properties and storage information

Form
Liquid
Purification technique
Affinity purification Protein A
Storage buffer
pH: 7.2 - 7.4 Preservative: 0.01% Sodium azide Constituents: PBS, 40% Glycerol (glycerin, glycerine), 0.05% BSA
Shipped at conditions
Blue Ice
Appropriate short-term storage duration
1-2 weeks
Appropriate short-term storage conditions
+4°C
Appropriate long-term storage conditions
-20°C
Aliquoting information
Upon delivery aliquot
Storage information
Avoid freeze / thaw cycle

Supplementary information

This supplementary information is collated from multiple sources and compiled automatically.

UNQ511 also known by alternative names is a protein that actively participates in cellular signaling processes. It exhibits a molecular mass of approximately 55 kDa. Researchers observe its expression in several tissues with particular focus on tissues with high metabolic activity. Its mechanical function includes engaging in signaling pathways providing vital communication links within and between cells contributing to the regulation of cellular responses to environmental stimuli.
Biological function summary

UNQ511 contributes to cellular homeostasis and energy metabolism within the cell. It forms interactions with several other proteins suggesting that it acts as part of a protein complex. This protein complex plays an important role in maintaining energy balance and regulating cellular growth processes. The presence of UNQ511 within these complexes allows it to influence critical cellular functions necessary for maintaining healthy cell cycles.

Pathways

UNQ511 is integrated into metabolic and intracellular signaling pathways. It closely interacts within the AMP-activated protein kinase (AMPK) pathway which is essential for cellular energy homeostasis. Additionally it associates with proteins like AMPK which links it to key cellular energy sensors indicating its role in energy regulation and metabolism. The interplay of UNQ511 within these pathways highlights its importance in energy balance and response to cellular stress.

Scientific studies associate UNQ511 with metabolic disorders and certain types of cancer. Its interaction with AMPK and other metabolic regulators ties it to metabolic syndrome a condition involving dysregulated glucose metabolism. Furthermore alterations in its expression or function may contribute to cancer progression linking it to proteins known for oncogenic pathways. Understanding its role in these diseases could lead to the development of therapeutic interventions targeting these disorders.

Product protocols

For this product, it's our understanding that no specific protocols are required. You can visit:

Target data

Secreted protein specifically required to prevent invasion of Gram-negative bacteria in the inner mucus layer of the colon epithelium, a portion of the large intestine which is free of commensal microbiota. Prevents invasion of flagellated microbiota by binding to the flagellum of bacteria, such as P.mirabilis, thereby inhibiting bacterial motility in the intestinal lumen. Segregation of intestinal bacteria and epithelial cells in the colon is required to preserve intestinal homeostasis.
See full target information LYPD8

Product promise

We are committed to supporting your work with high-quality reagents, and we're here for you every step of the way. In the unlikely event that one of our products does not perform as expected, you're protected by our Product Promise.
For full details, please see our Terms & Conditions

Please note: All products are 'FOR RESEARCH USE ONLY. NOT FOR USE IN DIAGNOSTIC OR THERAPEUTIC PROCEDURES'.

For licensing inquiries, please contact partnerships@abcam.com