JavaScript is disabled in your browser. Please enable JavaScript to view this website.
AB307895

Anti-uPA Receptor/U-PAR antibody [EPR26916-73]

  • BOND RX™ Validated
  • 20ul selling size
  • RabMAb
  • Recombinant
  • What is this?

Be the first to review this product! Submit a review

|

(3 Publications)

Anti-uPA Receptor/U-PAR antibody [EPR26916-73] is a Rabbit Monoclonal antibody that is used in uPA Receptor/U-PAR IHC-P, IP, Western Blot. Suitable for Mouse samples.

uPAR has been identified as a universal marker of senescent cells and an effective therapeutic target to eliminate senescent cells that promote tumor progression and evade standard anti-cancer drugs that target dividing cells. CAR-T cells that target uPAR extend the survival of mice with lung adenocarcinoma that are treated with a senescence-inducing combination of drugs. uPAR is also required for the pro-angiogenic activity of melanoma exosomes.

View Alternative Names

CD87, Urokinase plasminogen activator surface receptor, U-PAR, uPAR, Plaur

7 Images
Immunohistochemistry - Anti-uPA Receptor/U-PAR antibody [EPR26916-73] (AB307895)
  • IHC

Supplier Data

Immunohistochemistry - Anti-uPA Receptor/U-PAR antibody [EPR26916-73] (AB307895)

Immunohistochemical analysis of paraffin-embedded mouse spleen tissue labeling uPA Receptor/U-PAR with ab307895 at 1/100 followed by ready to use LeicaDS9800 (Bond™, Polymer Refine Detection). Positive staining on the perifollicular zone of mouse spleen (PMID : 11156692). The section was incubated with ab307895 for 30 mins at room temperature. The immunostaining was performed on a Leica Biosystems BOND® RX instrument. Counterstained with Hematoxylin. Secondary antibody only control : Secondary antibody is ready to use LeicaDS9800 (Bond™, Polymer Refine Detection). Heat mediated antigen retrieval with Tris-EDTA buffer (pH 9.0, epitope retrieval solution2) for 20 mins.

Immunohistochemistry - Anti-uPA Receptor/U-PAR antibody [EPR26916-73] (AB307895)
  • IHC

Supplier Data

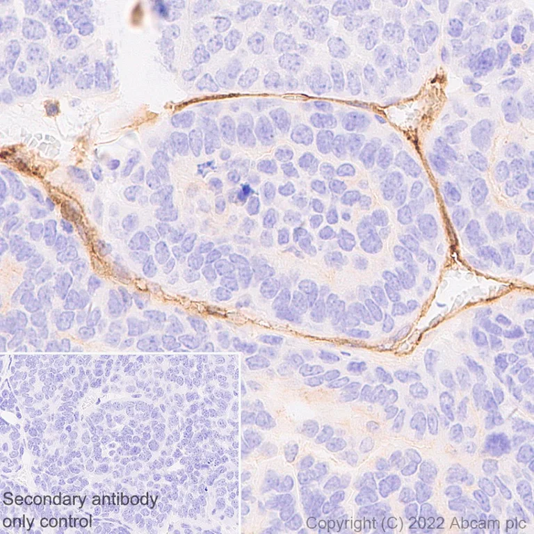
Immunohistochemistry - Anti-uPA Receptor/U-PAR antibody [EPR26916-73] (AB307895)

Immunohistochemical analysis of paraffin-embedded mouse kidney tissue labeling uPA Receptor/U-PAR with ab307895 at 1/100 followed by ready to use LeicaDS9800 (Bond™, Polymer Refine Detection). Positive staining on glomeruli and the endothelial cells of mouse kidney (PMID : 11156692). The section was incubated with ab307895 for 30 mins at room temperature. The immunostaining was performed on a Leica Biosystems BOND® RX instrument. Counterstained with Hematoxylin. Secondary antibody only control : Secondary antibody is ready to use LeicaDS9800 (Bond™, Polymer Refine Detection). Heat mediated antigen retrieval with Tris-EDTA buffer (pH 9.0, epitope retrieval solution2) for 20 mins.

Immunohistochemistry (Formalin/PFA-fixed paraffin-embedded sections) - Anti-uPA Receptor/U-PAR antibody [EPR26916-73] (AB307895)
  • IHC-P

Supplier Data

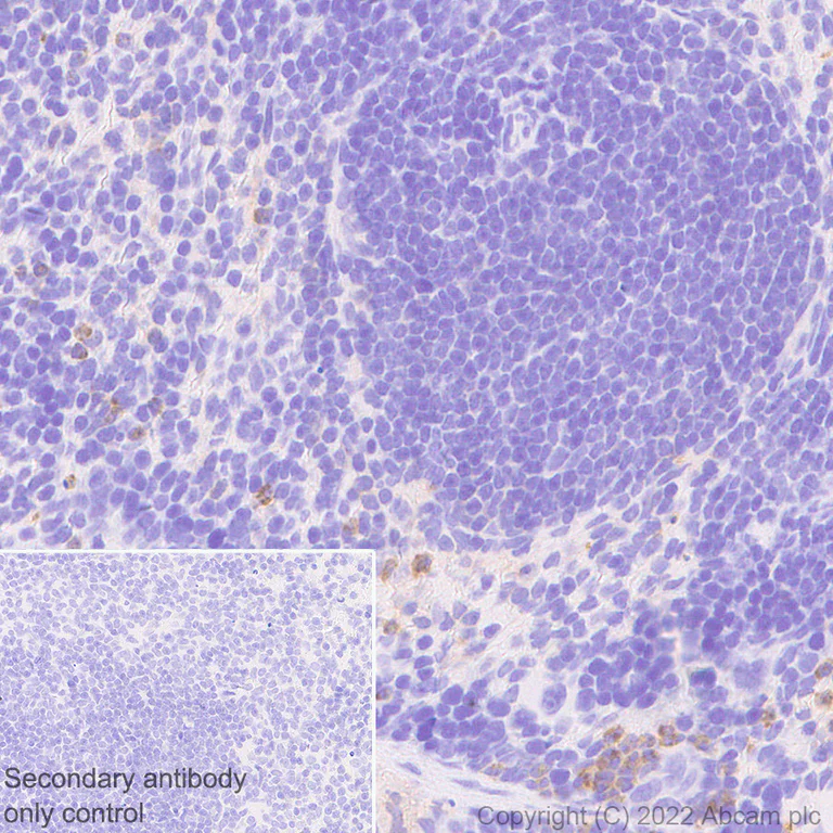
Immunohistochemistry (Formalin/PFA-fixed paraffin-embedded sections) - Anti-uPA Receptor/U-PAR antibody [EPR26916-73] (AB307895)

Immunohistochemical analysis of paraffin-embedded mouse head and neck squamous cell carcinoma tissue labeling uPA Receptor/U-PAR with ab307895 at 1/100 followed by ready to use LeicaDS9800 (Bond™, Polymer Refine Detection). Positive staining on the mouse head and neck squamous cell carcinoma. The section was incubated with ab307895 for 30 mins at room temperature. The immunostaining was performed on a Leica Biosystems BOND® RX instrument. Counterstained with Hematoxylin. Secondary antibody only control : Secondary antibody is ready to use LeicaDS9800 (Bond™, Polymer Refine Detection). Heat mediated antigen retrieval with Tris-EDTA buffer (pH 9.0, epitope retrieval solution2) for 20 mins.

Immunoprecipitation - Anti-uPA Receptor/U-PAR antibody [EPR26916-73] (AB307895)
  • IP

Supplier Data

Immunoprecipitation - Anti-uPA Receptor/U-PAR antibody [EPR26916-73] (AB307895)

uPA Receptor/U-PAR was immunoprecipitated from 0.35 mg bEnd.3 (mouse brain endothelial cell) whole cell lysate with ab307895 at 1/30 dilution (2ug in 0.35mg lysates). Western blot was performed on the immunoprecipitate using ab307895 at 1/1000 dilution. VeriBlot for IP secondary antibody(HRP)(ab131366) was used at 1/5000 dilution. Lane 1 : bEnd.3 whole cell lysate Lane 2 : ab307895 IP in bEnd.3 whole cell lysate Lane 3 : Rabbit monoclonal IgG (ab172730) instead of ab307895 in bEnd.3 whole cell lysate Blocking and dilution buffer and concentration : 5% NFDM/TBST. Exposure time : 8 seconds.

All lanes:

Immunoprecipitation - Anti-uPA Receptor/U-PAR antibody [EPR26916-73] (ab307895) at 1/30 dilution

All lanes:

bEnd.3 whole cell lysate at 10 µg

Secondary

All lanes:

Immunoprecipitation - VeriBlot for IP Detection Reagent (HRP) (<a href='/en-us/products/reagents/veriblot-for-ip-detection-reagent-hrp-ab131366'>ab131366</a>) at 1/5000 dilution

Observed band size: 37 kDa,65 kDa

false

Exposure time: 8s

Western blot - Anti-uPA Receptor/U-PAR antibody [EPR26916-73] (AB307895)
  • WB

Supplier Data

Western blot - Anti-uPA Receptor/U-PAR antibody [EPR26916-73] (AB307895)

Blocking and diluting buffer and concentration : 5% NFDM/TBST.

This blot was developed using a high sensitivity ECL substrate. The high-sensitivity ECL substrate used allows for the detection of proteins in the mid-femtogram range.

All lanes:

Western blot - Anti-uPA Receptor/U-PAR antibody [EPR26916-73] (ab307895) at 1/1000 dilution

Lane 1:

Mouse lung tissue lysate at 40 µg

Lane 2:

Mouse kidney tissue lysate at 40 µg

Lane 3:

Mouse spleen tissue lysate at 40 µg

Secondary

All lanes:

Goat Anti-Rabbit IgG (HRP) with minimal cross-reactivity with human IgG at 1/2000 dilution

Observed band size: 37 kDa,65 kDa

true

Exposure time: 48s

Western blot - Anti-uPA Receptor/U-PAR antibody [EPR26916-73] (AB307895)
  • WB

Supplier Data

Western blot - Anti-uPA Receptor/U-PAR antibody [EPR26916-73] (AB307895)

Blocking and diluting buffer and concentration : 5% NFDM/TBST. The molecular weight observed is consistent with what has been described in the literature (PMID : 19667118). Observed MW(kDa) 24 (deglycosylated form), 37-65(glycosylated form). In Western blot, anti-GAPDH antibody (ab181602) loading control staining at 1/200000 dilution. Exposure time : Lane 1-3 : 6 seconds, Lane4 : 37 seconds.

All lanes:

Western blot - Anti-uPA Receptor/U-PAR antibody [EPR26916-73] (ab307895) at 1/1000 dilution

Lane 1:

Untreated bEnd.3 whole cell lysate at 30 µg

Lane 2:

bEnd.3 whole cell lysate treated with Protein Deglycosylation MIX II at 30 µg

Lane 3:

RAW264.7 whole cell lysate at 40 µg

Secondary

All lanes:

Western blot - Goat Anti-Rabbit IgG H&L (HRP) (<a href='/en-us/products/secondary-antibodies/goat-rabbit-igg-h-l-hrp-ab97051'>ab97051</a>) at 1/20000 dilution

Observed band size: 24 kDa,37 kDa,65 kDa

false

Exposure time: 6s

Western blot - Anti-uPA Receptor/U-PAR antibody [EPR26916-73] (AB307895)
  • WB

Lab

Western blot - Anti-uPA Receptor/U-PAR antibody [EPR26916-73] (AB307895)

Blocking and diluting buffer and concentration : 5% NFDM/TBST.

Low expression tissue : kidney and spleen.

All lanes:

Western blot - Anti-uPA Receptor/U-PAR antibody [EPR26916-73] (ab307895) at 1/1000 dilution

Lane 1:

Mouse lung tissue lysate at 20 µg

Lane 2:

Mouse kidney tissue lysate at 20 µg

Lane 3:

Mouse spleen tissue lysate at 20 µg

Secondary

All lanes:

Western blot - Goat Anti-Rabbit IgG H&L (HRP) (<a href='/en-us/products/secondary-antibodies/goat-rabbit-igg-h-l-hrp-ab97051'>ab97051</a>) at 1/20000 dilution

Predicted band size: 37 kDa

Observed band size: 37 kDa,65 kDa

false

Exposure time: 180s

  • Carrier free

    Anti-uPA Receptor/U-PAR antibody [EPR26916-73] - BSA and Azide free

Key facts

Host species

Rabbit

Clonality

Monoclonal

Clone number

EPR26916-73

Isotype

IgG

Carrier free

No

Reacts with

Mouse

Applications

WB, IHC-P, IP

applications

Immunogen

The exact immunogen used to generate this antibody is proprietary information.

Reactivity data

{ "title": "Reactivity Data", "filters": { "stats": ["", "Species", "Dilution Info", "Notes"], "tabs": { "all-applications": {"fullname" : "All Applications", "shortname": "All Applications"}, "WB" : {"fullname" : "Western blot", "shortname":"WB"}, "IHCP" : {"fullname" : "Immunohistochemistry (Formalin/PFA-fixed paraffin-embedded sections)", "shortname":"IHC-P"}, "IP" : {"fullname" : "Immunoprecipitation", "shortname":"IP"}, "ICCIF" : {"fullname" : "Immunocytochemistry/ Immunofluorescence", "shortname":"ICC/IF"}, "FlowCyt" : {"fullname" : "Flow Cytometry", "shortname":"Flow Cyt"} }, "product-promise": { "all": "all", "testedAndGuaranteed": "tested", "guaranteed": "expected", "predicted": "predicted", "notRecommended": "not-recommended" } }, "values": { "Human": { "WB-species-checked": "notRecommended", "WB-species-dilution-info": "1/1000", "WB-species-notes": "<p></p>", "IHCP-species-checked": "notRecommended", "IHCP-species-dilution-info": "1/100", "IHCP-species-notes": "<p></p> Perform heat-mediated antigen retrieval with Tris/EDTA buffer pH 9.0 before commencing with IHC staining protocol.", "IP-species-checked": "notRecommended", "IP-species-dilution-info": "", "IP-species-notes": "", "ICCIF-species-checked": "notRecommended", "ICCIF-species-dilution-info": "", "ICCIF-species-notes": "", "FlowCyt-species-checked": "notRecommended", "FlowCyt-species-dilution-info": "", "FlowCyt-species-notes": "" }, "Mouse": { "WB-species-checked": "testedAndGuaranteed", "WB-species-dilution-info": "1/1000", "WB-species-notes": "<p></p>", "IHCP-species-checked": "testedAndGuaranteed", "IHCP-species-dilution-info": "1/100", "IHCP-species-notes": "<p></p> Perform heat-mediated antigen retrieval with Tris/EDTA buffer pH 9.0 before commencing with IHC staining protocol.", "IP-species-checked": "testedAndGuaranteed", "IP-species-dilution-info": "1/30", "IP-species-notes": "<p></p>", "ICCIF-species-checked": "notRecommended", "ICCIF-species-dilution-info": "", "ICCIF-species-notes": "<p></p>", "FlowCyt-species-checked": "notRecommended", "FlowCyt-species-dilution-info": "", "FlowCyt-species-notes": "<p></p>" }, "Rat": { "WB-species-checked": "notRecommended", "WB-species-dilution-info": "1/1000", "WB-species-notes": "<p></p>", "IHCP-species-checked": "notRecommended", "IHCP-species-dilution-info": "1/100", "IHCP-species-notes": "<p></p> Perform heat-mediated antigen retrieval with Tris/EDTA buffer pH 9.0 before commencing with IHC staining protocol.", "IP-species-checked": "notRecommended", "IP-species-dilution-info": "", "IP-species-notes": "", "ICCIF-species-checked": "notRecommended", "ICCIF-species-dilution-info": "", "ICCIF-species-notes": "", "FlowCyt-species-checked": "notRecommended", "FlowCyt-species-dilution-info": "", "FlowCyt-species-notes": "" } } }

Product details

Patented technology
Our RabMAb® technology is a patented hybridoma-based technology for making rabbit monoclonal antibodies. For details on our patents, please refer to RabMAb® patents.

What are the advantages of a recombinant monoclonal antibody?
This product is a recombinant monoclonal antibody, which offers several advantages including:

  • - High batch-to-batch consistency and reproducibility
  • - Improved sensitivity and specificity
  • - Long-term security of supply
  • - Animal-free batch production

For more information, read more on recombinant antibodies.

Properties and storage information

Form
Liquid
Purification technique
Affinity purification Protein A
Storage buffer
pH: 7.2 - 7.4 Preservative: 0.01% Sodium azide Constituents: PBS, 40% Glycerol (glycerin, glycerine), 0.05% BSA
Shipped at conditions
Blue Ice
Appropriate short-term storage duration
1-2 weeks
Appropriate short-term storage conditions
+4°C
Appropriate long-term storage conditions
-20°C
Aliquoting information
Upon delivery aliquot
Storage information
Avoid freeze / thaw cycle

Product protocols

For this product, it's our understanding that no specific protocols are required. You can visit:

Target data

Acts as a receptor for urokinase plasminogen activator. Plays a role in localizing and promoting plasmin formation. Mediates the proteolysis-independent signal transduction activation effects of U-PA.
See full target information Plaur

Publications (3)

Recent publications for all applications. Explore the full list and refine your search

Molecular medicine (Cambridge, Mass.) 31:296 PubMed41013175

2025

Soluble urokinase plasminogen activator receptor promotes endoplasmic reticulum stress and apoptosis susceptibility through RAGE in sepsis acute kidney injury.

Applications

Unspecified application

Species

Unspecified reactive species

Bingqing Wang,Jiabei Wang,Chen Qi,Chao Gao,Yue Wang,Yujie Zan,Yuwei Tan,Zhenying Wu,Jun Jiang,Jinmeng Suo,Jing Zhang,Zhiyong Peng

International heart journal 66:126-136 PubMed39894541

2025

Chrysophanol Mitigates Chronic Heart Failure in Rats by Modulating ROS-Mediated Parthanatos and Pyroptosis.

Applications

Unspecified application

Species

Unspecified reactive species

Mengjiao Zhu,Sichao Tai

Frontiers in medicine 11:1364380 PubMed38463490

2024

Identification of marker genes for spinal cord injury.

Applications

Unspecified application

Species

Unspecified reactive species

Zhiwei Luan,Jiayu Zhang,Yansong Wang
View all publications

Product promise

We are committed to supporting your work with high-quality reagents, and we're here for you every step of the way. In the unlikely event that one of our products does not perform as expected, you're protected by our Product Promise.
For full details, please see our Terms & Conditions

Please note: All products are 'FOR RESEARCH USE ONLY. NOT FOR USE IN DIAGNOSTIC OR THERAPEUTIC PROCEDURES'.

For licensing inquiries, please contact partnerships@abcam.com