JavaScript is disabled in your browser. Please enable JavaScript to view this website.
AB157195

Anti-UPB1 antibody [EPR9132]

Be the first to review this product! Submit a review

|

(2 Publications)

Rabbit Recombinant Monoclonal UPB1 antibody. Suitable for IHC-P, IP, WB and reacts with Human samples. Cited in 2 publications.

View Alternative Names

BUP1, UPB1, Beta-ureidopropionase, BUP-1, Beta-alanine synthase, N-carbamoyl-beta-alanine amidohydrolase

4 Images
Immunohistochemistry (Formalin/PFA-fixed paraffin-embedded sections) - Anti-UPB1 antibody [EPR9132] (AB157195)
  • IHC-P

Unknown

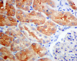
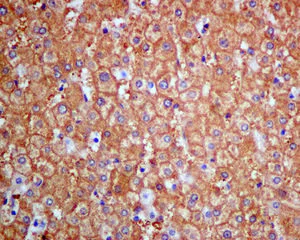
Immunohistochemistry (Formalin/PFA-fixed paraffin-embedded sections) - Anti-UPB1 antibody [EPR9132] (AB157195)

Immunohistochemical analysis of paraffin-embedded Human liver tissue labeling UPB1 with ab157195 at 1/100 dilution.

Perform heat mediated antigen retrieval before commencing with IHC staining protocol.

Immunohistochemistry (Formalin/PFA-fixed paraffin-embedded sections) - Anti-UPB1 antibody [EPR9132] (AB157195)
  • IHC-P

Unknown

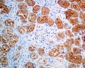
Immunohistochemistry (Formalin/PFA-fixed paraffin-embedded sections) - Anti-UPB1 antibody [EPR9132] (AB157195)

Immunohistochemical analysis of paraffin-embedded Human kidney tissue labeling UPB1 with ab157195 at 1/100 dilution.

Perform heat mediated antigen retrieval before commencing with IHC staining protocol.

Immunoprecipitation - Anti-UPB1 antibody [EPR9132] (AB157195)
  • IP

Unknown

Immunoprecipitation - Anti-UPB1 antibody [EPR9132] (AB157195)

Detection of UPB1 by Western Blot of Immunprecipitate. Human fetal liver lysate immunoprecipitated using ab157195 at 1/10 dilution.

All lanes:

Immunoprecipitation - Anti-UPB1 antibody [EPR9132] (ab157195)

Predicted band size: 43 kDa

false

Western blot - Anti-UPB1 antibody [EPR9132] (AB157195)
  • WB

Unknown

Western blot - Anti-UPB1 antibody [EPR9132] (AB157195)

All lanes:

Western blot - Anti-UPB1 antibody [EPR9132] (ab157195) at 1/1000 dilution

All lanes:

Human fetal liver lysate at 10 µg

Secondary

All lanes:

Goat anti-rabbit HRP at 1/2000 dilution

Predicted band size: 43 kDa

false

  • Carrier free

    Anti-UPB1 antibody [EPR9132] - BSA and Azide free

Key facts

Host species

Rabbit

Clonality

Monoclonal

Clone number

EPR9132

Isotype

IgG

Carrier free

No

Reacts with

Human

Applications

IHC-P, WB, IP

applications

Immunogen

The exact immunogen used to generate this antibody is proprietary information.

Reactivity data

{ "title": "Reactivity Data", "filters": { "stats": ["", "Species", "Dilution Info", "Notes"], "tabs": { "all-applications": {"fullname" : "All Applications", "shortname": "All Applications"}, "IHCP" : {"fullname" : "Immunohistochemistry (Formalin/PFA-fixed paraffin-embedded sections)", "shortname":"IHC-P"}, "ICCIF" : {"fullname" : "Immunocytochemistry/ Immunofluorescence", "shortname":"ICC/IF"}, "IP" : {"fullname" : "Immunoprecipitation", "shortname":"IP"}, "WB" : {"fullname" : "Western blot", "shortname":"WB"} }, "product-promise": { "all": "all", "testedAndGuaranteed": "tested", "guaranteed": "expected", "predicted": "predicted", "notRecommended": "not-recommended" } }, "values": { "Human": { "IHCP-species-checked": "testedAndGuaranteed", "IHCP-species-dilution-info": "1/100 - 1/250", "IHCP-species-notes": "<p></p>", "ICCIF-species-checked": "notRecommended", "ICCIF-species-dilution-info": "", "ICCIF-species-notes": "<p></p>", "IP-species-checked": "testedAndGuaranteed", "IP-species-dilution-info": "1/10 - 1/100", "IP-species-notes": "<p></p>", "WB-species-checked": "testedAndGuaranteed", "WB-species-dilution-info": "1/1000 - 1/5000", "WB-species-notes": "<p></p>" } } }

Product details

Species reactivity
Mouse, Rat: We have preliminary internal testing data to indicate this antibody may not react with these species.
Please contact us for more information.

Patented technology
Our RabMAb® technology is a patented hybridoma-based technology for making rabbit monoclonal antibodies. For details on our patents, please refer to RabMAb® patents.

What are the advantages of a recombinant monoclonal antibody?
This product is a recombinant monoclonal antibody, which offers several advantages including:

  • - High batch-to-batch consistency and reproducibility
  • - Improved sensitivity and specificity
  • - Long-term security of supply
  • - Animal-free batch production

For more information, read more on recombinant antibodies.

Properties and storage information

Form
Liquid
Purity
Tissue culture supernatant
Storage buffer
pH: 7.2 - 7.4 Preservative: 0.01% Sodium azide Constituents: PBS, 50% Tissue culture supernatant, 40% Glycerol (glycerin, glycerine), 0.05% BSA
Shipped at conditions
Blue Ice
Appropriate short-term storage conditions
+4°C
Appropriate long-term storage conditions
-20°C

Supplementary information

This supplementary information is collated from multiple sources and compiled automatically.

UPB1 also known as Ureidopropionase beta is an enzyme encoded by the UPB1 gene. It is approximately 37 kDa in mass. UPB1 conducts the hydrolysis of N-carbamoyl-beta-alanine and N-carbamoyl-beta-aminoisobutyric acid to provide beta-alanine beta-aminoisobutyric acid ammonia and carbon dioxide. It is commonly expressed in liver and kidney tissues.
Biological function summary

UPB1 plays an important role in the catabolic pathway of pyrimidine metabolism. This enzyme participates in the breakdown of uracil which is part of nucleotide catabolism. UPB1 operates independently rather than as a part of a protein complex. It ensures detoxification and recycling of nitrogenous compounds derived from pyrimidine breakdown.

Pathways

UPB1 is an integral component of the pyrimidine metabolic pathway. It provides a link between the pyrimidine degradation pathway and general nitrogen metabolism by supplying beta-alanine. This function complements the enzymatic roles of dihydropyrimidine dehydrogenase (DPYD) and dihydropyrimidinase (DPYS) which are involved in earlier steps in the same degradation pathway.

Disturbances associated with UPB1 can lead to a condition called N-carbamoyl-beta-amino aciduria. This is a metabolic disorder characterized by excessive accumulation of N-carbamoyl-beta-amino acids in urine. The interaction with proteins such as DPYS and DPYD may exacerbate or modify the severity of this metabolic condition as they are upstream components in the pyrimidine degradation pathway.

Product protocols

For this product, it's our understanding that no specific protocols are required. You can visit:

Target data

Catalyzes a late step in pyrimidine degradation (PubMed : 22525402, PubMed : 24526388). Converts N-carbamoyl-beta-alanine (3-ureidopropanoate) into beta-alanine, ammonia and carbon dioxide (PubMed : 10415095, PubMed : 10542323, PubMed : 11508704, PubMed : 22525402, PubMed : 24526388, PubMed : 29976570). Likewise, converts N-carbamoyl-beta-aminoisobutyrate (3-ureidoisobutyrate) into beta-aminoisobutyrate, ammonia and carbon dioxide (Probable).
See full target information UPB1

Publications (2)

Recent publications for all applications. Explore the full list and refine your search

Frontiers in immunology 13:993187 PubMed36119068

2022

A robust CD8 T cell-related classifier for predicting the prognosis and efficacy of immunotherapy in stage III lung adenocarcinoma.

Applications

Unspecified application

Species

Unspecified reactive species

Jinteng Feng,Longwen Xu,Shirong Zhang,Luying Geng,Tian Zhang,Yang Yu,Rui Yuan,Yusheng He,Zhuhui Nan,Min Lin,Hui Guo

Scientific reports 7:5517 PubMed28717245

2017

Development and Validation of a Three-gene Prognostic Signature for Patients with Hepatocellular Carcinoma.

Applications

WB, IHC

Species

Unspecified reactive species, Unspecified reactive species

Binghua Li,Wendu Feng,Ouyang Luo,Tiancheng Xu,Yajuan Cao,Hongyan Wu,Decai Yu,Yitao Ding
View all publications

Product promise

We are committed to supporting your work with high-quality reagents, and we're here for you every step of the way. In the unlikely event that one of our products does not perform as expected, you're protected by our Product Promise.
For full details, please see our Terms & Conditions

Please note: All products are 'FOR RESEARCH USE ONLY. NOT FOR USE IN DIAGNOSTIC OR THERAPEUTIC PROCEDURES'.

For licensing inquiries, please contact partnerships@abcam.com