JavaScript is disabled in your browser. Please enable JavaScript to view this website.
AB251661

Anti-UPF3B/RENT3B antibody

Be the first to review this product! Submit a review

|

(1 Publication)

Rabbit Polyclonal UPF3B/RENT3B antibody. Suitable for IHC-P, WB, ICC/IF and reacts with Human, Mouse, Rat samples. Cited in 1 publication. Immunogen corresponding to Recombinant Fragment Protein within Human UPF3B aa 1-150.

View Alternative Names

RENT3B, UPF3X, UPF3B, Regulator of nonsense transcripts 3B, Nonsense mRNA reducing factor 3B, Up-frameshift suppressor 3 homolog B, Up-frameshift suppressor 3 homolog on chromosome X, hUpf3B, hUpf3p-X

7 Images
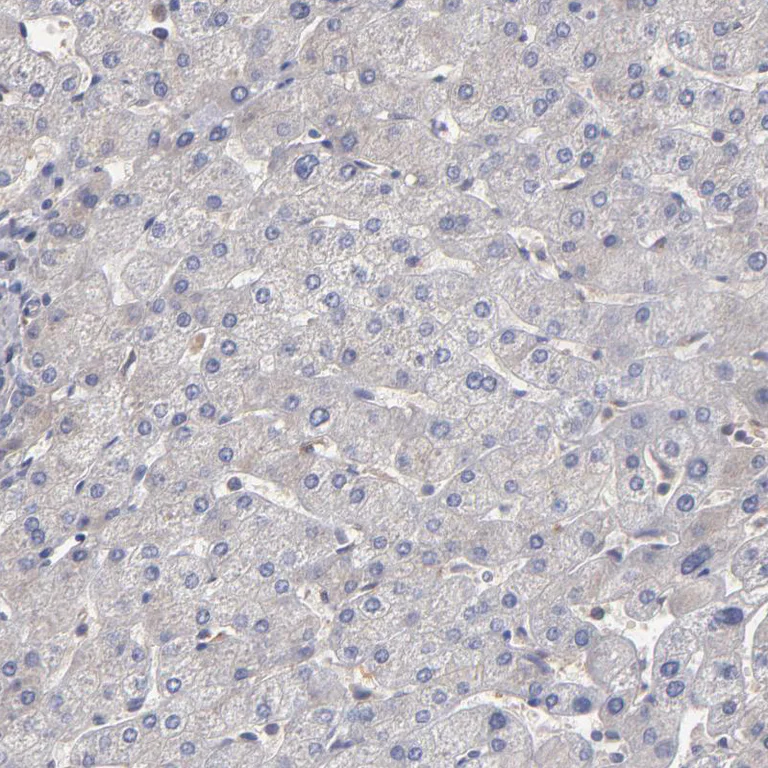
Immunohistochemistry (Formalin/PFA-fixed paraffin-embedded sections) - Anti-UPF3B/RENT3B antibody (AB251661)
  • IHC-P

Supplier Data

Immunohistochemistry (Formalin/PFA-fixed paraffin-embedded sections) - Anti-UPF3B/RENT3B antibody (AB251661)

Immunohistochemical analysis of human liver tissue labeling UPF3B/RENT3B with ab251661 at a 1/50 dilution.

Immunohistochemistry (Formalin/PFA-fixed paraffin-embedded sections) - Anti-UPF3B/RENT3B antibody (AB251661)
  • IHC-P

Supplier Data

Immunohistochemistry (Formalin/PFA-fixed paraffin-embedded sections) - Anti-UPF3B/RENT3B antibody (AB251661)

Immunohistochemical analysis of human testis tissue labeling UPF3B/RENT3B with ab251661 at a 1/50 dilution.

Immunocytochemistry/ Immunofluorescence - Anti-UPF3B/RENT3B antibody (AB251661)
  • ICC/IF

Unknown

Immunocytochemistry/ Immunofluorescence - Anti-UPF3B/RENT3B antibody (AB251661)

PFA-fixed, Triton X-100 permeabilized U-2 OS (human bone osteosarcoma epithelial cell line) cells stained for UPF3B/RENT3B (green) using ab251661 at 4 µg/ml in ICC/IF.

Immunohistochemistry (Formalin/PFA-fixed paraffin-embedded sections) - Anti-UPF3B/RENT3B antibody (AB251661)
  • IHC-P

Supplier Data

Immunohistochemistry (Formalin/PFA-fixed paraffin-embedded sections) - Anti-UPF3B/RENT3B antibody (AB251661)

Immunohistochemical analysis of human endometrium tissue labeling UPF3B/RENT3B with ab251661 at a 1/50 dilution.

Immunohistochemistry (Formalin/PFA-fixed paraffin-embedded sections) - Anti-UPF3B/RENT3B antibody (AB251661)
  • IHC-P

Supplier Data

Immunohistochemistry (Formalin/PFA-fixed paraffin-embedded sections) - Anti-UPF3B/RENT3B antibody (AB251661)

Immunohistochemical analysis of human lymphoid tissue labeling UPF3B/RENT3B with ab251661 at a 1/50 dilution.

Western blot - Anti-UPF3B/RENT3B antibody (AB251661)
  • WB

Supplier Data

Western blot - Anti-UPF3B/RENT3B antibody (AB251661)

Western blot analysis labeling UPF3B/RENT3B with ab251661 at 0.04 ug/ml.

All lanes:

Western blot - Anti-UPF3B/RENT3B antibody (ab251661) at 0.04 µg/mL

Lane 1:

NTERA-2 (Human malignant pluripotent embryonic carcinoma cell line) whole cell lysate

Lane 2:

T-47D (Human ductal breast epithelial tumor cell line) whole cell lysate

Predicted band size: 58 kDa

false

Western blot - Anti-UPF3B/RENT3B antibody (AB251661)
  • WB

Unknown

Western blot - Anti-UPF3B/RENT3B antibody (AB251661)

All lanes:

Western blot - Anti-UPF3B/RENT3B antibody (ab251661) at 0.4 µg/mL

Lane 1:

NIH/3T3 (mouse embryo fibroblast cell line) whole cell lysate

Lane 2:

NBT-II (rat Wistar bladder tumor cell line) whole cell lysate

Predicted band size: 58 kDa

false

Key facts

Host species

Rabbit

Clonality

Polyclonal

Isotype

IgG

Carrier free

No

Reacts with

Rat, Human, Mouse

Applications

WB, IHC-P, ICC/IF

applications

Immunogen

Recombinant Fragment Protein within Human UPF3B aa 1-150. The exact immunogen used to generate this antibody is proprietary information.

Q9BZI7

Reactivity data

{ "title": "Reactivity Data", "filters": { "stats": ["", "Species", "Dilution Info", "Notes"], "tabs": { "all-applications": {"fullname" : "All Applications", "shortname": "All Applications"}, "IHCP" : {"fullname" : "Immunohistochemistry (Formalin/PFA-fixed paraffin-embedded sections)", "shortname":"IHC-P"}, "WB" : {"fullname" : "Western blot", "shortname":"WB"}, "ICCIF" : {"fullname" : "Immunocytochemistry/ Immunofluorescence", "shortname":"ICC/IF"} }, "product-promise": { "all": "all", "testedAndGuaranteed": "tested", "guaranteed": "expected", "predicted": "predicted", "notRecommended": "not-recommended" } }, "values": { "Human": { "IHCP-species-checked": "testedAndGuaranteed", "IHCP-species-dilution-info": "1/20 - 1/50", "IHCP-species-notes": "<p></p> Perform heat-mediated antigen retrieval with citrate buffer pH 6 before commencing with IHC staining protocol.", "WB-species-checked": "testedAndGuaranteed", "WB-species-dilution-info": "0.04-0.4 µg/mL", "WB-species-notes": "<p></p>", "ICCIF-species-checked": "testedAndGuaranteed", "ICCIF-species-dilution-info": "0.25-2 µg/mL", "ICCIF-species-notes": "<p>Fixation/Permeabilization: PFA/Triton X-100.</p>" }, "Mouse": { "IHCP-species-checked": "guaranteed", "IHCP-species-dilution-info": "", "IHCP-species-notes": "", "WB-species-checked": "testedAndGuaranteed", "WB-species-dilution-info": "0.04-0.4 µg/mL", "WB-species-notes": "<p></p>", "ICCIF-species-checked": "guaranteed", "ICCIF-species-dilution-info": "", "ICCIF-species-notes": "" }, "Rat": { "IHCP-species-checked": "guaranteed", "IHCP-species-dilution-info": "", "IHCP-species-notes": "", "WB-species-checked": "testedAndGuaranteed", "WB-species-dilution-info": "0.04-0.4 µg/mL", "WB-species-notes": "<p></p>", "ICCIF-species-checked": "guaranteed", "ICCIF-species-dilution-info": "", "ICCIF-species-notes": "" } } }

Properties and storage information

Form
Liquid
Purification technique
Affinity purification Immunogen
Storage buffer
pH: 7.2 Preservative: 0.02% Sodium azide Constituents: PBS, 40% Glycerol (glycerin, glycerine)
Shipped at conditions
Blue Ice
Appropriate short-term storage duration
1-2 weeks
Appropriate short-term storage conditions
+4°C
Appropriate long-term storage conditions
-20°C
Aliquoting information
Upon delivery aliquot
Storage information
Avoid freeze / thaw cycle

Supplementary information

This supplementary information is collated from multiple sources and compiled automatically.

UPF3B also known as RENT3B is a critical component of the nonsense-mediated mRNA decay (NMD) pathway which surveils and degrades mRNA transcripts with premature stop codons. UPF3B weighs approximately 54 kDa and primarily resides in the nucleus but can shuttle to the cytoplasm. Expression of UPF3B is notably prevalent in neuronal tissues suggesting a specialized role in brain function and development.
Biological function summary

UPF3B interacts with other proteins within the NMD complex to regulate mRNA stability and translation efficiency. As part of this complex UPF3B serves as a link between the nuclear and cytoplasmic phases of NMD. It interacts with UPF2 and UPF1 acting as a bridge to initiate downstream degradation processes. Through these interactions UPF3B balances gene expression and prevents the production of potentially harmful truncated proteins.

Pathways

UPF3B plays an important role in modulating the NMD pathway which is an important post-transcriptional regulatory mechanism in cells. UPF3B works alongside proteins like SMG1 and eIF4A3 within this pathway. It participates in the repression of aberrant mRNA and this function relates to RNA surveillance and cell cycle control. By ensuring faulty transcripts are removed UPF3B helps maintain cellular homeostasis and supports accurate gene expression profiles.

UPF3B mutations associate with X-linked intellectual disability (XLID) and schizophrenia. UPF3B's connection to XLID links it to the regulation of essential neurological functions possibly through its interaction with proteins like UPF2 and eIF4A3. These interactions indicate that proper functioning of NMD components including UPF3B is necessary for normal brain development and cognitive processes. Dysregulation or mutation of UPF3B can impact neural gene regulation leading to serious cognitive and mental health issues.

Product protocols

For this product, it's our understanding that no specific protocols are required. You can visit:

Target data

Involved in nonsense-mediated decay (NMD) of mRNAs containing premature stop codons by associating with the nuclear exon junction complex (EJC) and serving as link between the EJC core and NMD machinery. Recruits UPF2 at the cytoplasmic side of the nuclear envelope and the subsequent formation of an UPF1-UPF2-UPF3 surveillance complex (including UPF1 bound to release factors at the stalled ribosome) is believed to activate NMD. In cooperation with UPF2 stimulates both ATPase and RNA helicase activities of UPF1. Binds spliced mRNA upstream of exon-exon junctions. In vitro, stimulates translation; the function is independent of association with UPF2 and components of the EJC core.
See full target information UPF3B

Publications (1)

Recent publications for all applications. Explore the full list and refine your search

Nature communications 14:5913 PubMed37737247

2023

Hypoxanthine phosphoribosyl transferase 1 metabolizes temozolomide to activate AMPK for driving chemoresistance of glioblastomas.

Applications

Unspecified application

Species

Unspecified reactive species

Jianxing Yin,Xiefeng Wang,Xin Ge,Fangshu Ding,Zhumei Shi,Zehe Ge,Guang Huang,Ningwei Zhao,Dongyin Chen,Junxia Zhang,Sameer Agnihotri,Yuandong Cao,Jing Ji,Fan Lin,Qianghu Wang,Qigang Zhou,Xiuxing Wang,Yongping You,Zhimin Lu,Xu Qian
View all publications

Product promise

We are committed to supporting your work with high-quality reagents, and we're here for you every step of the way. In the unlikely event that one of our products does not perform as expected, you're protected by our Product Promise.
For full details, please see our Terms & Conditions

Please note: All products are 'FOR RESEARCH USE ONLY. NOT FOR USE IN DIAGNOSTIC OR THERAPEUTIC PROCEDURES'.

For licensing inquiries, please contact partnerships@abcam.com