JavaScript is disabled in your browser. Please enable JavaScript to view this website.
AB288302

Anti-UPF3B/RENT3B + UPF3A antibody [EPR24112-81] - BSA and Azide free

Be the first to review this product! Submit a review

|

(0 Publication)

Rabbit Recombinant Monoclonal REN3A antibody. Carrier free. Suitable for ICC/IF, IP, WB, Flow Cyt (Intra) and reacts with Human, Zebrafish, Recombinant fragment - Zebrafish samples.

View Alternative Names

si:dkey-21o13.6, upf3a, Regulator of nonsense transcripts 3A, Up-frameshift suppressor 3 homolog A

5 Images
Flow Cytometry (Intracellular) - Anti-UPF3B/RENT3B + UPF3A antibody [EPR24112-81] - BSA and Azide free (AB288302)
  • Flow Cyt (Intra)

Lab

Flow Cytometry (Intracellular) - Anti-UPF3B/RENT3B + UPF3A antibody [EPR24112-81] - BSA and Azide free (AB288302)

This data was developed using ab269998, the same antibody clone in a different buffer formulation.

Flow cytometric analysis of 4% paraformaldehyde fixed 90% methanol permeabilized HeLa (human cervix adenocarcinoma epithelial cell) cells labelling UPF3A with ab269998 at 1/50 dilution (0.1 μg) (Red) compared with a Rabbit monoclonal IgG (ab172730) (Black) isotype control and an unlabelled control (cells without incubation with primary antibody and secondary antibody) (Blue). A Goat Anti-Rabbit IgG (Alexa Fluor® 488, ab150081) at 1/2000 dilution was used as the secondary antibody.

Immunocytochemistry/ Immunofluorescence - Anti-UPF3B/RENT3B + UPF3A antibody [EPR24112-81] - BSA and Azide free (AB288302)
  • ICC/IF

Lab

Immunocytochemistry/ Immunofluorescence - Anti-UPF3B/RENT3B + UPF3A antibody [EPR24112-81] - BSA and Azide free (AB288302)

This data was developed using ab269998, the same antibody clone in a different buffer formulation.

Immunofluorescent analysis of 4% Paraformaldehyde-fixed, 0.1% TritonX-100 permeabilized HeLa cells labelling UPF3A with ab269998 at 1/100 (5.35 μg/ml) dilution, followed by ab150081 Goat Anti-Rabbit IgG H&L (Alexa Fluor® 488) preadsorbed antibody at 1/1000 dilution (Green). Confocal image showing nuclear and cytoplasmic staining in HeLa cell line. ab195889 Anti-alpha Tubulin mouse monoclonal antibody - Microtubule Marker (Alexa Fluor® 594) was used to counterstain tubulin at 1/200 dilution (Red). The nuclear counterstain was DAPI (Blue).

Secondary antibody only control : ab150081 Goat Anti-Rabbit IgG H&L (Alexa Fluor® 488) preadsorbed at 1/1000 dilution.

Immunoprecipitation - Anti-UPF3B/RENT3B + UPF3A antibody [EPR24112-81] - BSA and Azide free (AB288302)
  • IP

Lab

Immunoprecipitation - Anti-UPF3B/RENT3B + UPF3A antibody [EPR24112-81] - BSA and Azide free (AB288302)

This data was developed using ab269998, the same antibody clone in a different buffer formulation.

UPF3A was immunoprecipitated from 0.35 mg HeLa (human cervix adenocarcinoma epithelial cell), whole cell lysate 10 μg with ab269998 at 1/30 dilution (2 μg in 0.35 mg lysates). Western blot was performed on the immunoprecipitate using ab269998 at 1/1000 dilution. VeriBlot for IP secondary antibody (HRP) (ab131366) was used at 1/5000 dilution.

Lane 1 : (Input) HeLa whole cell lysate 10 μg

Lane 2 : HeLa whole cell lysate

Lane 3 : Rabbit monoclonal IgG (ab172730) instead of ab269998 in HeLa whole cell lysate

Blocking and dilution buffer : 5% NFDM/TBST.

All lanes:

Immunoprecipitation - Anti-UPF3B/RENT3B + UPF3A antibody [EPR24112-81] (<a href='/en-us/products/primary-antibodies/upf3b-rent3b-upf3a-antibody-epr24112-81-ab269998'>ab269998</a>)

Observed band size: 60 kDa

false

Exposure time: 15s

Western blot - Anti-UPF3B/RENT3B + UPF3A antibody [EPR24112-81] - BSA and Azide free (AB288302)
  • WB

Lab

Western blot - Anti-UPF3B/RENT3B + UPF3A antibody [EPR24112-81] - BSA and Azide free (AB288302)

This data was developed using ab269998, the same antibody clone in a different buffer formulation.

5% NFDM/TBST was used as a blocking and dilution buffer.

This antibody (ab269998) reacts with an unidentifiable protein around 35 kDa.

The zebrafish embryo tissue lysate is kindly provided by Prof. Jun Chen, Zhejiang University.

All lanes:

Western blot - Anti-UPF3B/RENT3B + UPF3A antibody [EPR24112-81] (<a href='/en-us/products/primary-antibodies/upf3b-rent3b-upf3a-antibody-epr24112-81-ab269998'>ab269998</a>) at 1/1000 dilution

Lane 1:

Zebrafish embryo tissue lysate at 10 µg

Lane 2:

HeLa (human cervix adenocarcinoma epithelial cell), whole cell lysate at 20 µg

Lane 3:

293T (human embryonic kidney epithelial cell), whole cell lysate at 20 µg

Secondary

All lanes:

Western blot - Goat Anti-Rabbit IgG H&L (HRP) (<a href='/en-us/products/secondary-antibodies/goat-rabbit-igg-h-l-hrp-ab97051'>ab97051</a>) at 1/100000 dilution

Observed band size: 60 kDa

false

Exposure time: 15s

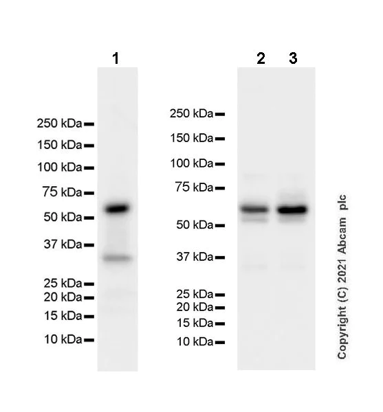
Western blot - Anti-UPF3B/RENT3B + UPF3A antibody [EPR24112-81] - BSA and Azide free (AB288302)
  • WB

Lab

Western blot - Anti-UPF3B/RENT3B + UPF3A antibody [EPR24112-81] - BSA and Azide free (AB288302)

This data was developed using ab269998, the same antibody clone in a different buffer formulation.

5% NFDM/TBST was used as a blocking and diliution buffer.

Exposure time : 3.25 seconds.

This antibody has cross-reaction with zebrafish Upf3b.
Both samples are recombinant proteins expressed from an E.coli expression system.

All lanes:

Western blot - Anti-UPF3B/RENT3B + UPF3A antibody [EPR24112-81] (<a href='/en-us/products/primary-antibodies/upf3b-rent3b-upf3a-antibody-epr24112-81-ab269998'>ab269998</a>) at 1/1000 dilution

Lane 1:

Truncated Zebrafish Upf3a recombinant protein (aa32-261, predicted MW 28 kDa), 10 ng

Lane 2:

Full-length Zebrafish Upf3b recombinant protein (aa1-467) 10 ng

Secondary

All lanes:

Western blot - Goat Anti-Rabbit IgG H&L (HRP) (<a href='/en-us/products/secondary-antibodies/goat-rabbit-igg-h-l-hrp-ab97051'>ab97051</a>) at 1/100000 dilution

Observed band size: 60 kDa

false

  • Unconjugated

    Anti-UPF3B/RENT3B + UPF3A antibody [EPR24112-81]

Key facts

Host species

Rabbit

Clonality

Monoclonal

Clone number

EPR24112-81

Isotype

IgG

Carrier free

Yes

Reacts with

Zebrafish, Human

Applications

IP, WB, ICC/IF, Flow Cyt (Intra)

applications

Immunogen

The exact immunogen used to generate this antibody is proprietary information.

Specificity

This antibody cross-reacts with zebrafish Upf3b.

Reactivity data

{ "title": "Reactivity Data", "filters": { "stats": ["", "Species", "Dilution Info", "Notes"], "tabs": { "all-applications": {"fullname" : "All Applications", "shortname": "All Applications"}, "IHCP" : {"fullname" : "Immunohistochemistry (Formalin/PFA-fixed paraffin-embedded sections)", "shortname":"IHC-P"}, "ICCIF" : {"fullname" : "Immunocytochemistry/ Immunofluorescence", "shortname":"ICC/IF"}, "IP" : {"fullname" : "Immunoprecipitation", "shortname":"IP"}, "WB" : {"fullname" : "Western blot", "shortname":"WB"}, "FlowCytIntra" : {"fullname" : "Flow Cytometry (Intracellular)", "shortname":"Flow Cyt (Intra)"} }, "product-promise": { "all": "all", "testedAndGuaranteed": "tested", "guaranteed": "expected", "predicted": "predicted", "notRecommended": "not-recommended" } }, "values": { "Human": { "IHCP-species-checked": "notRecommended", "IHCP-species-dilution-info": "", "IHCP-species-notes": "<p></p>", "ICCIF-species-checked": "testedAndGuaranteed", "ICCIF-species-dilution-info": "", "ICCIF-species-notes": "<p></p>", "IP-species-checked": "testedAndGuaranteed", "IP-species-dilution-info": "", "IP-species-notes": "<p></p>", "WB-species-checked": "testedAndGuaranteed", "WB-species-dilution-info": "", "WB-species-notes": "<p></p>", "FlowCytIntra-species-checked": "testedAndGuaranteed", "FlowCytIntra-species-dilution-info": "", "FlowCytIntra-species-notes": "<p></p>" }, "Mouse": { "IHCP-species-checked": "notRecommended", "IHCP-species-dilution-info": "", "IHCP-species-notes": "<p></p>", "ICCIF-species-checked": "notRecommended", "ICCIF-species-dilution-info": "", "ICCIF-species-notes": "", "IP-species-checked": "notRecommended", "IP-species-dilution-info": "", "IP-species-notes": "", "WB-species-checked": "notRecommended", "WB-species-dilution-info": "", "WB-species-notes": "<p></p>", "FlowCytIntra-species-checked": "notRecommended", "FlowCytIntra-species-dilution-info": "", "FlowCytIntra-species-notes": "" }, "Rat": { "IHCP-species-checked": "notRecommended", "IHCP-species-dilution-info": "", "IHCP-species-notes": "<p></p>", "ICCIF-species-checked": "notRecommended", "ICCIF-species-dilution-info": "", "ICCIF-species-notes": "", "IP-species-checked": "notRecommended", "IP-species-dilution-info": "", "IP-species-notes": "", "WB-species-checked": "notRecommended", "WB-species-dilution-info": "", "WB-species-notes": "<p></p>", "FlowCytIntra-species-checked": "notRecommended", "FlowCytIntra-species-dilution-info": "", "FlowCytIntra-species-notes": "" }, "Recombinant fragment - Zebrafish": { "IHCP-species-checked": "notRecommended", "IHCP-species-dilution-info": "", "IHCP-species-notes": "", "ICCIF-species-checked": "notRecommended", "ICCIF-species-dilution-info": "", "ICCIF-species-notes": "", "IP-species-checked": "notRecommended", "IP-species-dilution-info": "", "IP-species-notes": "", "WB-species-checked": "testedAndGuaranteed", "WB-species-dilution-info": "", "WB-species-notes": "<p></p>", "FlowCytIntra-species-checked": "notRecommended", "FlowCytIntra-species-dilution-info": "", "FlowCytIntra-species-notes": "" }, "Zebrafish": { "IHCP-species-checked": "notRecommended", "IHCP-species-dilution-info": "", "IHCP-species-notes": "<p></p>", "ICCIF-species-checked": "guaranteed", "ICCIF-species-dilution-info": "", "ICCIF-species-notes": "", "IP-species-checked": "guaranteed", "IP-species-dilution-info": "", "IP-species-notes": "", "WB-species-checked": "testedAndGuaranteed", "WB-species-dilution-info": "", "WB-species-notes": "<p></p>", "FlowCytIntra-species-checked": "guaranteed", "FlowCytIntra-species-dilution-info": "", "FlowCytIntra-species-notes": "" } } }

Product details

ab288302 is the carrier free version of ab269998

Patented technology
Our RabMAb® technology is a patented hybridoma-based technology for making rabbit monoclonal antibodies. For details on our patents, please refer to RabMAb® patents.

What are the advantages of a recombinant monoclonal antibody?
This product is a recombinant monoclonal antibody, which offers several advantages including:

  • - High batch-to-batch consistency and reproducibility
  • - Improved sensitivity and specificity
  • - Long-term security of supply
  • - Animal-free batch production

For more information, read more on recombinant antibodies.

Conjugation ready
Our carrier-free antibodies are typically supplied in a PBS-only formulation, purified and free of BSA, sodium azide and glycerol. This conjugation-ready format is designed for use with fluorochromes, metal isotopes, oligonucleotides, and enzymes, which makes them ideal for antibody labelling, functional and cell-based assays, flow-based assays (e.g. mass cytometry) and Multiplex Imaging applications.

Use our conjugation kits for antibody conjugates that are ready-to-use in as little as 20 minutes with 1 minute hands-on-time and 100% antibody recovery: available for fluorescent dyes, HRP, biotin and gold.

Compatibility
This product is compatible with the Maxpar® Antibody Labeling Kit from Fluidigm, without the need for antibody preparation. Maxpar® is a trademark of Fluidigm Canada Inc.

Properties and storage information

Form
Liquid
Purification technique
Affinity purification Protein A
Storage buffer
pH: 7.2 - 7.4 Constituents: PBS
Shipped at conditions
Blue Ice
Appropriate short-term storage conditions
+4°C
Appropriate long-term storage conditions
+4°C

Supplementary information

This supplementary information is collated from multiple sources and compiled automatically.

UPF3B also known as RENT3B is a component of the nonsense-mediated mRNA decay (NMD) pathway with a mass of approximately 48 kDa. UPF3A is a closely related homolog sharing several functional characteristics. UPF3B is expressed in various tissues including the brain. This protein primarily functions in the nucleus and cytoplasm where it binds to mRNA and interacts with other NMD factors to facilitate the degradation of faulty transcripts. By tagging mRNA with premature stop codons for degradation UPF3B helps maintain the integrity of gene expression.
Biological function summary

UPF3B ensures accuracy in post-transcriptional regulation. Both UPF3B and UPF3A are part of the exon-junction complex (EJC) playing a role in recognizing erroneous transcripts. They work in conjunction with other core NMD proteins such as UPF1 and UPF2 to target mRNAs with errors. This mechanism is essential in protecting cells from potential damage caused by erroneous or incomplete protein products impacting gene expression at the mRNA level.

Pathways

UPF3B and UPF3A play important roles in the nonsense-mediated mRNA decay pathway which is a critical mRNA surveillance mechanism. Their interaction with UPF1 an important factor in NMD illustrates their central position in this pathway. UPF3B's role in regulating mRNA stability also links it to the broader RNA processing and degradation pathways including those involved in general mRNA turnover and quality control ensuring cellular homeostasis.

UPF3B associations relate to X-linked intellectual disabilities and neurodevelopmental disorders. Mutations in the UPF3B gene disrupt normal NMD function leading to cognitive impairments. This disruption often involves UPF1 and other NMD components. Such genetic defects highlight the importance of robust mRNA surveillance systems in neurological development and health. Furthermore the impaired function of UPF3B in this context reveals insights into the molecular basis of certain intellectual disabilities.

Product protocols

For this product, it's our understanding that no specific protocols are required. You can visit:

Target data

Involved in nonsense-mediated decay (NMD) of mRNAs containing premature stop codons by associating with the nuclear exon junction complex (EJC) and serving as link between the EJC core and NMD machinery. Recruits UPF2 at the cytoplasmic side of the nuclear envelope and the subsequent formation of an UPF1-UPF2-UPF3 surveillance complex (including UPF1 bound to release factors at the stalled ribosome) is believed to activate NMD. Binds spliced mRNA upstream of exon-exon junctions (By similarity).
See full target information upf3a

Additional targets

upf3b

Product promise

We are committed to supporting your work with high-quality reagents, and we're here for you every step of the way. In the unlikely event that one of our products does not perform as expected, you're protected by our Product Promise.
For full details, please see our Terms & Conditions

Please note: All products are 'FOR RESEARCH USE ONLY. NOT FOR USE IN DIAGNOSTIC OR THERAPEUTIC PROCEDURES'.

For licensing inquiries, please contact partnerships@abcam.com