JavaScript is disabled in your browser. Please enable JavaScript to view this website.
AB111701

Anti-UPRT antibody

Be the first to review this product! Submit a review

|

(2 Publications)

Rabbit Polyclonal UPRT antibody. Suitable for IHC-P, WB and reacts with Human samples. Cited in 2 publications. Immunogen corresponding to Recombinant Fragment Protein within Human UPRT aa 100-300.

View Alternative Names

Uracil phosphoribosyltransferase homolog, UPRT

2 Images
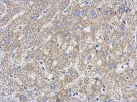
Immunohistochemistry (Formalin/PFA-fixed paraffin-embedded sections) - Anti-UPRT antibody (AB111701)
  • IHC-P

Unknown

Immunohistochemistry (Formalin/PFA-fixed paraffin-embedded sections) - Anti-UPRT antibody (AB111701)

ab111701 at 1/500 dilution staining UPRT in Formalin-fixed, paraffin-embedded Human hepatoma tissue.

Western blot - Anti-UPRT antibody (AB111701)
  • WB

Unknown

Western blot - Anti-UPRT antibody (AB111701)

12% SDS-PAGE.

All lanes:

Western blot - Anti-UPRT antibody (ab111701) at 1/500 dilution

All lanes:

A549 whole cell lysate at 30 µg

Predicted band size: 34 kDa

false

Key facts

Host species

Rabbit

Clonality

Polyclonal

Isotype

IgG

Carrier free

No

Reacts with

Human

Applications

IHC-P, WB

applications

Immunogen

Recombinant Fragment Protein within Human UPRT aa 100-300. The exact immunogen used to generate this antibody is proprietary information.

Q96BW1

Reactivity data

{ "title": "Reactivity Data", "filters": { "stats": ["", "Species", "Dilution Info", "Notes"], "tabs": { "all-applications": {"fullname" : "All Applications", "shortname": "All Applications"}, "IHCP" : {"fullname" : "Immunohistochemistry (Formalin/PFA-fixed paraffin-embedded sections)", "shortname":"IHC-P"}, "WB" : {"fullname" : "Western blot", "shortname":"WB"} }, "product-promise": { "all": "all", "testedAndGuaranteed": "tested", "guaranteed": "expected", "predicted": "predicted", "notRecommended": "not-recommended" } }, "values": { "Human": { "IHCP-species-checked": "testedAndGuaranteed", "IHCP-species-dilution-info": "1/100 - 1/1000", "IHCP-species-notes": "<p></p> Perform heat-mediated antigen retrieval with citrate buffer pH 6 before commencing with IHC staining protocol.", "WB-species-checked": "testedAndGuaranteed", "WB-species-dilution-info": "1/500 - 1/3000", "WB-species-notes": "<p></p>" }, "Mouse": { "IHCP-species-checked": "predicted", "IHCP-species-dilution-info": "", "IHCP-species-notes": "", "WB-species-checked": "predicted", "WB-species-dilution-info": "", "WB-species-notes": "" }, "Chicken": { "IHCP-species-checked": "predicted", "IHCP-species-dilution-info": "", "IHCP-species-notes": "", "WB-species-checked": "predicted", "WB-species-dilution-info": "", "WB-species-notes": "" }, "Cow": { "IHCP-species-checked": "predicted", "IHCP-species-dilution-info": "", "IHCP-species-notes": "", "WB-species-checked": "predicted", "WB-species-dilution-info": "", "WB-species-notes": "" } } }

Properties and storage information

Form
Liquid
Purification technique
Affinity purification Immunogen
Storage buffer
pH: 7 Preservative: 0.01% Thimerosal (merthiolate) Constituents: 20% Glycerol (glycerin, glycerine), 1.21% Tris, 0.75% Glycine
Shipped at conditions
Blue Ice
Appropriate short-term storage conditions
+4°C
Appropriate long-term storage conditions
-20°C
Aliquoting information
Upon delivery aliquot
Storage information
Avoid freeze / thaw cycle

Supplementary information

This supplementary information is collated from multiple sources and compiled automatically.

UPRT also known as uracil phosphoribosyltransferase is an enzyme involved in nucleotide metabolism. It has a molecular weight of approximately 25 kDa. This enzyme facilitates the conversion of uracil to uridine monophosphate (UMP) by catalyzing the phosphoribosylation of uracil. You can find UPRT expression in various tissues but it is especially significant in tissues with high rates of cell division due to their elevated demand for nucleotide synthesis. The enzyme is important for salvaging pathways that recycle uracil especially in non-proliferative cells where de novo synthesis is limited.
Biological function summary

UPRT functions within the pyrimidine salvage pathway aiding in the maintenance of nucleotide pools by recycling uracil. This role is significant as it impacts various cellular functions especially under conditions of nutrient scarcity. UPRT does not form part of a large complex rather it acts independently to execute its enzymatic activity. Its activity ensures uracil recycle into UMP which then enters nucleotide and RNA synthesis pathways contributing to cellular growth and replication.

Pathways

UPRT activity is important in the pyrimidine salvage pathway and contributes to maintaining the balance of pyrimidine nucleotides within the cell. It works in conjunction with other enzymes like uridine kinase and thymidylate kinase which contribute to nucleotide biosynthesis and nucleic acid metabolism. The balance of these pathways supports DNA replication RNA transcription and cell division linking UPRT tightly with cellular proliferation and function.

UPRT mutations or dysregulation potentially relate to certain cancers and metabolic disorders. Abnormal UPRT expression or function may influence uracil salvage efficiency affecting tumor growth in cancers such as colorectal cancer where cell proliferation rates are high. Additionally disturbances in UPRT activity might interact with other proteins for example thymidine phosphorylase in promoting disease states related to pyrimidine metabolism imbalances affecting the therapeutic responses to chemotherapeutic agents that target nucleotide synthesis pathways.

Product protocols

For this product, it's our understanding that no specific protocols are required. You can visit:

Publications (2)

Recent publications for all applications. Explore the full list and refine your search

Cell death & disease 14:467 PubMed37495584

2023

Nitric oxide-induced ribosome collision activates ribosomal surveillance mechanisms.

Applications

Unspecified application

Species

Unspecified reactive species

Laura Ryder,Frederic Schrøder Arendrup,José Francisco Martínez,Goda Snieckute,Chiara Pecorari,Riyaz Ahmad Shah,Anders H Lund,Melanie Blasius,Simon Bekker-Jensen

Nature methods 17:311-318 PubMed32015544

2020

An optimized chemical-genetic method for cell-specific metabolic labeling of RNA.

Applications

Unspecified application

Species

Unspecified reactive species

Sarah Nainar,Bonnie J Cuthbert,Nathan M Lim,Whitney E England,Ke Ke,Kanika Sophal,Robert Quechol,David L Mobley,Celia W Goulding,Robert C Spitale
View all publications

Product promise

We are committed to supporting your work with high-quality reagents, and we're here for you every step of the way. In the unlikely event that one of our products does not perform as expected, you're protected by our Product Promise.
For full details, please see our Terms & Conditions

Please note: All products are 'FOR RESEARCH USE ONLY. NOT FOR USE IN DIAGNOSTIC OR THERAPEUTIC PROCEDURES'.

For licensing inquiries, please contact partnerships@abcam.com