JavaScript is disabled in your browser. Please enable JavaScript to view this website.
AB190360

Anti-UQCRB antibody [EPR15591]

5

(4 Reviews)

|

(11 Publications)

Rabbit Recombinant Monoclonal UQCRB antibody. Suitable for WB, ICC/IF, IHC-P and reacts with Mouse, Human, Rat samples. Cited in 11 publications.

View Alternative Names

UQBP, UQCRB, Cytochrome b-c1 complex subunit 7, Complex III subunit 7, Complex III subunit VII, QP-C, Ubiquinol-cytochrome c reductase complex 14 kDa protein

5 Images
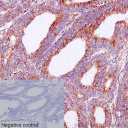
Immunohistochemistry (Formalin/PFA-fixed paraffin-embedded sections) - Anti-UQCRB antibody [EPR15591] (AB190360)
  • IHC-P

Supplier Data

Immunohistochemistry (Formalin/PFA-fixed paraffin-embedded sections) - Anti-UQCRB antibody [EPR15591] (AB190360)

Immunohistochemical analysis of formalin-fixed paraffin-embedded Human adenocarcinoma of the colon labeling UQCRB with ab190360 at 1/100 and HRP Polymer for Rabbit IgG. Counterstained with hematoxylin. Negative control also shown.

Perform heat mediated antigen retrieval with Tris/EDTA buffer pH 9.0 before commencing with IHC staining protocol.

Immunocytochemistry/ Immunofluorescence - Anti-UQCRB antibody [EPR15591] (AB190360)
  • ICC/IF

Supplier Data

Immunocytochemistry/ Immunofluorescence - Anti-UQCRB antibody [EPR15591] (AB190360)

Immunocytochemical analysis of HeLa cells fixed in 4% paraformaldehyde labeling UQCRB with ab190360 at 1/250 dilution and Goat anti rabbit IgG (Alexa Fluor® 555) at 1/200 dilution. Counterstained with DAPI. Negative controls also shown.

Western blot - Anti-UQCRB antibody [EPR15591] (AB190360)
  • WB

Supplier Data

Western blot - Anti-UQCRB antibody [EPR15591] (AB190360)

All lanes:

Western blot - Anti-UQCRB antibody [EPR15591] (ab190360) at 1/5000 dilution

All lanes:

293 cell lysate at 20 µg

Secondary

All lanes:

Goat Anti-Rabbit IgG, (H+L), Peroxidase conjugated at 1/1000 dilution

Predicted band size: 14 kDa

Observed band size: 14 kDa

false

Western blot - Anti-UQCRB antibody [EPR15591] (AB190360)
  • WB

Supplier Data

Western blot - Anti-UQCRB antibody [EPR15591] (AB190360)

All lanes:

Western blot - Anti-UQCRB antibody [EPR15591] (ab190360) at 1/20000 dilution

Lane 1:

HeLa cell lysate at 20 µg

Lane 2:

Human fetal heart tissue lysate at 20 µg

Secondary

All lanes:

Goat Anti-Rabbit IgG, (H+L), Peroxidase conjugated at 1/1000 dilution

Predicted band size: 14 kDa

Observed band size: 14 kDa

false

Western blot - Anti-UQCRB antibody [EPR15591] (AB190360)
  • WB

Supplier Data

Western blot - Anti-UQCRB antibody [EPR15591] (AB190360)

All lanes:

Western blot - Anti-UQCRB antibody [EPR15591] (ab190360) at 1/1000 dilution

Lane 1:

Mouse heart tissue lysate at 10 µg

Lane 2:

Rat brain tissue lysate at 10 µg

Lane 3:

NIH/3T3 cell lysate at 10 µg

Secondary

All lanes:

Goat Anti-Rabbit IgG, (H+L), Peroxidase conjugated at 1/1000 dilution

Predicted band size: 14 kDa

false

  • Carrier free

    Anti-UQCRB antibody [EPR15591] - BSA and Azide free

Key facts

Host species

Rabbit

Clonality

Monoclonal

Clone number

EPR15591

Isotype

IgG

Carrier free

No

Reacts with

Mouse, Rat, Human

Applications

ICC/IF, IHC-P, WB

applications

Immunogen

The exact immunogen used to generate this antibody is proprietary information.

Reactivity data

{ "title": "Reactivity Data", "filters": { "stats": ["", "Species", "Dilution Info", "Notes"], "tabs": { "all-applications": {"fullname" : "All Applications", "shortname": "All Applications"}, "WB" : {"fullname" : "Western blot", "shortname":"WB"}, "ICCIF" : {"fullname" : "Immunocytochemistry/ Immunofluorescence", "shortname":"ICC/IF"}, "IHCP" : {"fullname" : "Immunohistochemistry (Formalin/PFA-fixed paraffin-embedded sections)", "shortname":"IHC-P"} }, "product-promise": { "all": "all", "testedAndGuaranteed": "tested", "guaranteed": "expected", "predicted": "predicted", "notRecommended": "not-recommended" } }, "values": { "Human": { "WB-species-checked": "testedAndGuaranteed", "WB-species-dilution-info": "1/1000 - 1/10000", "WB-species-notes": "<p></p>", "ICCIF-species-checked": "testedAndGuaranteed", "ICCIF-species-dilution-info": "1/250", "ICCIF-species-notes": "<p></p>", "IHCP-species-checked": "testedAndGuaranteed", "IHCP-species-dilution-info": "1/50 - 1/100", "IHCP-species-notes": "<p></p> Perform heat-mediated antigen retrieval with Tris/EDTA buffer pH 9.0 before commencing with IHC staining protocol." }, "Mouse": { "WB-species-checked": "testedAndGuaranteed", "WB-species-dilution-info": "1/1000 - 1/10000", "WB-species-notes": "<p></p> Perform heat-mediated antigen retrieval with Tris/EDTA buffer pH 9.0 before commencing with IHC staining protocol.", "ICCIF-species-checked": "guaranteed", "ICCIF-species-dilution-info": "", "ICCIF-species-notes": "", "IHCP-species-checked": "guaranteed", "IHCP-species-dilution-info": "", "IHCP-species-notes": "" }, "Rat": { "WB-species-checked": "testedAndGuaranteed", "WB-species-dilution-info": "1/1000 - 1/10000", "WB-species-notes": "<p></p>", "ICCIF-species-checked": "guaranteed", "ICCIF-species-dilution-info": "", "ICCIF-species-notes": "", "IHCP-species-checked": "guaranteed", "IHCP-species-dilution-info": "", "IHCP-species-notes": "" } } }

Product details

Patented technology
Our RabMAb® technology is a patented hybridoma-based technology for making rabbit monoclonal antibodies. For details on our patents, please refer to RabMAb® patents.

What are the advantages of a recombinant monoclonal antibody?
This product is a recombinant monoclonal antibody, which offers several advantages including:

  • - High batch-to-batch consistency and reproducibility
  • - Improved sensitivity and specificity
  • - Long-term security of supply
  • - Animal-free batch production

For more information, read more on recombinant antibodies.

Properties and storage information

Form
Liquid
Purification technique
Affinity purification Protein A
Storage buffer
pH: 7.2 - 7.4 Preservative: 0.01% Sodium azide Constituents: 59% PBS, 40% Glycerol (glycerin, glycerine), 0.05% BSA
Shipped at conditions
Blue Ice
Appropriate short-term storage duration
1-2 weeks
Appropriate short-term storage conditions
+4°C
Appropriate long-term storage conditions
-20°C
Aliquoting information
Upon delivery aliquot
Storage information
Avoid freeze / thaw cycle

Supplementary information

This supplementary information is collated from multiple sources and compiled automatically.

UQCRB also known as ubiquinol-cytochrome c reductase binding protein is an important component of the mitochondrial electron transport chain specifically within the complex III (or cytochrome bc1 complex) of mitochondria. This protein has a molecular mass of approximately 14 kDa. It is localized in the inner membrane of mitochondria and is expressed in various tissues with high energy demands such as the heart liver and muscle tissues. UQCRB plays a significant mechanical role in transporting electrons from ubiquinol to cytochrome c a critical step in cellular respiration.
Biological function summary

The ubiquinol-cytochrome c reductase binding protein participates in facilitating efficient electron transfer within complex III. As a constituent of the cytochrome bc1 complex UQCRB contributes to the formation of a proton gradient across the mitochondrial membrane which is necessary for the production of ATP. This process is part of oxidative phosphorylation the principal pathway for energy generation in eukaryotic cells. UQCRB interacts closely with other components of the complex III such as cytochrome b and cytochrome c1 ensuring proper electron flow and energy transduction.

Pathways

UQCRB has a pronounced role in the oxidative phosphorylation pathway. This pathway is fundamental in the synthesis of ATP the energy currency in cells through the chemiosmotic coupling of electron transport and phosphorylation. UQCRB serves as a bridging protein for the coherent transfer of electrons from NADH:ubiquinone oxidoreductase (complex I) and succinate dehydrogenase (complex II) towards the cytochrome c oxidase (complex IV). It is intricately linked to other mitochondrial proteins like cytochrome c and ATP synthase that play roles in energy conversion and utilization.

UQCRB is associated with mitochondrial disorders specifically with mitochondrial complex III deficiency. This condition has been implicated in various pathologies including Leigh syndrome a severe neurological disorder. Mutations in the UQCRB gene can impair electron transport leading to insufficient ATP production and increased production of reactive oxygen species which contribute to cellular damage. UQCRB's association with other components of complex III such as cytochrome b may exacerbate these deficiencies and highlight its potential as a therapeutic target for mitochondrial dysfunction-related diseases.

Product protocols

For this product, it's our understanding that no specific protocols are required. You can visit:

Target data

Component of the ubiquinol-cytochrome c oxidoreductase, a multisubunit transmembrane complex that is part of the mitochondrial electron transport chain which drives oxidative phosphorylation. The respiratory chain contains 3 multisubunit complexes succinate dehydrogenase (complex II, CII), ubiquinol-cytochrome c oxidoreductase (cytochrome b-c1 complex, complex III, CIII) and cytochrome c oxidase (complex IV, CIV), that cooperate to transfer electrons derived from NADH and succinate to molecular oxygen, creating an electrochemical gradient over the inner membrane that drives transmembrane transport and the ATP synthase. The cytochrome b-c1 complex catalyzes electron transfer from ubiquinol to cytochrome c, linking this redox reaction to translocation of protons across the mitochondrial inner membrane, with protons being carried across the membrane as hydrogens on the quinol. In the process called Q cycle, 2 protons are consumed from the matrix, 4 protons are released into the intermembrane space and 2 electrons are passed to cytochrome c.
See full target information UQCRB

Publications (11)

Recent publications for all applications. Explore the full list and refine your search

Cell 186:5308-5327.e25 PubMed37922900

2023

Mammalian oocytes store proteins for the early embryo on cytoplasmic lattices.

Applications

Unspecified application

Species

Unspecified reactive species

Ida M A Jentoft,Felix J B Bäuerlein,Luisa M Welp,Benjamin H Cooper,Arsen Petrovic,Chun So,Sarah Mae Penir,Antonio Z Politi,Yehor Horokhovskyi,Iina Takala,Heike Eckel,Rüdiger Moltrecht,Peter Lénárt,Tommaso Cavazza,Juliane Liepe,Nils Brose,Henning Urlaub,Rubén Fernández-Busnadiego,Melina Schuh

Protein & cell 14:202-216 PubMed36929036

2023

4E-BP1 counteracts human mesenchymal stem cell senescence via maintaining mitochondrial homeostasis.

Applications

Unspecified application

Species

Unspecified reactive species

Yifang He,Qianzhao Ji,Zeming Wu,Yusheng Cai,Jian Yin,Yiyuan Zhang,Sheng Zhang,Xiaoqian Liu,Weiqi Zhang,Guang-Hui Liu,Si Wang,Moshi Song,Jing Qu

Cancers 14: PubMed35454800

2022

Mitochondrial ROS Produced in Human Colon Carcinoma Associated with Cell Survival via Autophagy.

Applications

Unspecified application

Species

Unspecified reactive species

Eun Ji Gwak,Dasol Kim,Hui-Yun Hwang,Ho Jeong Kwon

Journal of cellular physiology 236:2920-2933 PubMed32930405

2020

Mitoflash generated at the Qo site of mitochondrial Complex III.

Applications

Unspecified application

Species

Unspecified reactive species

Meng Gao,Yuan Qin,Anqi Li,Sailei Wei,Bilin Liu,Xiangang Tian,Guohua Gong

Nature communications 11:3067 PubMed32546794

2020

Hepatic HuR modulates lipid homeostasis in response to high-fat diet.

Applications

Unspecified application

Species

Unspecified reactive species

Zhuojun Zhang,Chen Zong,Mingyang Jiang,Han Hu,Xiaolei Cheng,Juhua Ni,Xia Yi,Bin Jiang,Feng Tian,Ming-Wen Chang,Wen Su,Lijun Zhu,Jinfan Li,Xueping Xiang,Congxiu Miao,Myriam Gorospe,Rafael de Cabo,Yali Dou,Zhenyu Ju,Jichun Yang,Changtao Jiang,Zhongzhou Yang,Wengong Wang

The EMBO journal 39:e102817 PubMed31912925

2020

Respiratory supercomplexes act as a platform for complex III-mediated maturation of human mitochondrial complexes I and IV.

Applications

Unspecified application

Species

Unspecified reactive species

Margherita Protasoni,Rafael Pérez-Pérez,Teresa Lobo-Jarne,Michael E Harbour,Shujing Ding,Ana Peñas,Francisca Diaz,Carlos T Moraes,Ian M Fearnley,Massimo Zeviani,Cristina Ugalde,Erika Fernández-Vizarra

PLoS biology 17:e2006571 PubMed30653498

2019

Organic cation transporter 3 (Oct3) is a distinct catecholamines clearance route in adipocytes mediating the beiging of white adipose tissue.

Applications

Unspecified application

Species

Unspecified reactive species

Wenxin Song,Qi Luo,Yuping Zhang,Linkang Zhou,Ye Liu,Zhilong Ma,Jianan Guo,Yuedong Huang,Lili Cheng,Ziyi Meng,Zicheng Li,Bin Zhang,Siqi Li,Sook Wah Yee,Hao Fan,Peng Li,Kathleen M Giacomini,Ligong Chen

Cell reports 25:1786-1799.e4 PubMed30428348

2018

Human COX7A2L Regulates Complex III Biogenesis and Promotes Supercomplex Organization Remodeling without Affecting Mitochondrial Bioenergetics.

Applications

Unspecified application

Species

Unspecified reactive species

Teresa Lobo-Jarne,Eva Nývltová,Rafael Pérez-Pérez,Alba Timón-Gómez,Thibaut Molinié,Austin Choi,Arnaud Mourier,Flavia Fontanesi,Cristina Ugalde,Antoni Barrientos

The Journal of experimental medicine 215:2379-2395 PubMed30061358

2018

ARID5B regulates metabolic programming in human adaptive NK cells.

Applications

Unspecified application

Species

Unspecified reactive species

Frank Cichocki,Cheng-Ying Wu,Bin Zhang,Martin Felices,Bianca Tesi,Katie Tuininga,Phillip Dougherty,Emily Taras,Peter Hinderlie,Bruce R Blazar,Yenan T Bryceson,Jeffrey S Miller

Molecular & cellular proteomics : MCP 17:175-189 PubMed29133510

2017

Single Cell Immuno-Laser Microdissection Coupled to Label-Free Proteomics to Reveal the Proteotypes of Human Brain Cells After Ischemia.

Applications

Unspecified application

Species

Unspecified reactive species

Teresa García-Berrocoso,Víctor Llombart,Laura Colàs-Campàs,Alexandre Hainard,Virginie Licker,Anna Penalba,Laura Ramiro,Alba Simats,Alejandro Bustamante,Elena Martínez-Saez,Francesc Canals,Jean-Charles Sanchez,Joan Montaner
View all publications

Product promise

We are committed to supporting your work with high-quality reagents, and we're here for you every step of the way. In the unlikely event that one of our products does not perform as expected, you're protected by our Product Promise.
For full details, please see our Terms & Conditions

Please note: All products are 'FOR RESEARCH USE ONLY. NOT FOR USE IN DIAGNOSTIC OR THERAPEUTIC PROCEDURES'.

For licensing inquiries, please contact partnerships@abcam.com