JavaScript is disabled in your browser. Please enable JavaScript to view this website.
AB14746

Anti-UQCRFS1/RISP antibody [5A5]

4

(5 Reviews)

|

(92 Publications)

Mouse Monoclonal UQCRFS1/RISP antibody. Suitable for Flow Cyt, WB, IHC-P and reacts with Human, Mouse, Cow, Rat samples. Cited in 92 publications.

View Alternative Names

Complex III subunit 5, Cytochrome b-c1 complex subunit 5, Rieske iron-sulfur protein, Rieske protein UQCRFS1, Ubiquinol-cytochrome c reductase iron-sulfur subunit, RISP, UQCRFS1

4 Images
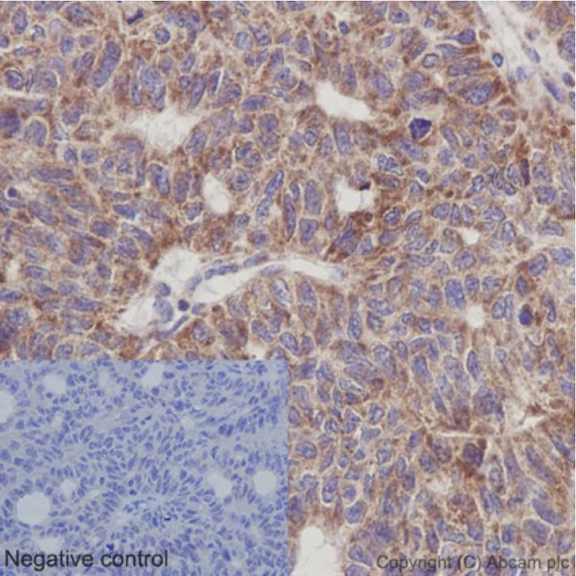
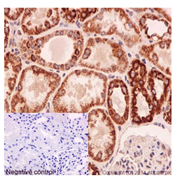
Immunohistochemistry (Formalin/PFA-fixed paraffin-embedded sections) - Anti-UQCRFS1/RISP antibody [5A5] (AB14746)
  • IHC-P

Unknown

Immunohistochemistry (Formalin/PFA-fixed paraffin-embedded sections) - Anti-UQCRFS1/RISP antibody [5A5] (AB14746)

Human normal kidney (cortex). Staining is observed intracellular. Left panel : with primary antibody at 2 ug/ml. Right panel : isotype control. Sections were stained using an automated system DAKO Autostainer Plus , at room temperature : sections were rehydrated and antigen retrieved with the Dako 3 in 1 AR buffers citrate EDTA pH 9.0 in a DAKO PT Link. Slides were peroxidase blocked in 3% H2O2 in methanol for 10 mins. They were then blocked with Dako Protein block for 10 minutes (containing casein 0.25% in PBS) then incubated with primary antibody for 20 min and detected with Dako envision flex amplification kit for mouse for 30 minutes. Colorimetric detection was completed with Diaminobenzidine for 5 minutes. Slides were counterstained with Haematoxylin and coverslipped under DePeX. Please note that for manual staining we recommend to optimize the primary antibody concentration and incubation time (overnight incubation), and amplification may be required.

Flow Cytometry - Anti-UQCRFS1/RISP antibody [5A5] (AB14746)
  • Flow Cyt

Unknown

Flow Cytometry - Anti-UQCRFS1/RISP antibody [5A5] (AB14746)

Overlay histogram showing Raji cells stained with ab14746 (red line). The cells were fixed with 80% methanol (5 min) and then permeabilized with 0.1% PBS-Tween for 20 min. The cells were then incubated in 1x PBS / 10% normal goat serum / 0.3M glycine to block non-specific protein-protein interactions. The cells were then incubated with the antibody (ab14746, 1μg/1x106 cells) for 30 min at 22°C. The secondary antibody used was DyLight® 488 goat anti-mouse IgG (H+L) (ab96879) at 1/500 dilution for 30 min at 22°C. Isotype control antibody (black line) was mouse IgG2b [PLPV219] (ab91366, 2μg/1x106 cells ) used under the same conditions. Acquisition of >5,000 events was performed. This antibody gave a positive signal in Raji cells fixed with 4% paraformaldehyde (10 min)/permeabilized in 0.1% PBS-Tween used under the same conditions.

Western blot - Anti-UQCRFS1/RISP antibody [5A5] (AB14746)
  • WB

Unknown

Western blot - Anti-UQCRFS1/RISP antibody [5A5] (AB14746)

All lanes:

Western blot - Anti-UQCRFS1/RISP antibody [5A5] (ab14746) at 1 µg/mL

Lane 1:

Isolated mitochondria from human heart at 5 µg

Lane 2:

Isolated mitochondria from bovine heart at 1 µg

Lane 3:

Isolated mitochondria from rat heart at 10 µg

Lane 4:

Isolated mitochondria from mouse heart at 10 µg

Predicted band size: 30 kDa

false

Western blot - Anti-UQCRFS1/RISP antibody [5A5] (AB14746)
  • WB

Unknown

Western blot - Anti-UQCRFS1/RISP antibody [5A5] (AB14746)

All lanes:

Western blot - Anti-UQCRFS1/RISP antibody [5A5] (ab14746) at 0.5 µg/mL

Lane 1:

Hela Whole Cell Lysate - Hydroxyurea Treated at 10 µg

Lane 2:

Hela Whole Cell Lysate - Bleomycin Treated at 10 µg

Lane 3:

Hela Whole Cell Lysate - Staurosporine Treated at 10 µg

Secondary

All lanes:

Mouse IgG - H&L - Pre-Adsorbed (HRP) at 1/3000 dilution

Predicted band size: 30 kDa

Observed band size: 25 kDa

false

  • HRP

    HRP Anti-UQCRFS1/RISP antibody [5A5]

Key facts

Host species

Mouse

Clonality

Monoclonal

Clone number

5A5

Isotype

IgG2b

Light chain type

kappa

Carrier free

No

Reacts with

Mouse, Rat, Cow, Human

Applications

Flow Cyt, IHC-P, WB

applications

Immunogen

The exact immunogen used to generate this antibody is proprietary information.

Reactivity data

{ "title": "Reactivity Data", "filters": { "stats": ["", "Species", "Dilution Info", "Notes"], "tabs": { "all-applications": {"fullname" : "All Applications", "shortname": "All Applications"}, "FlowCyt" : {"fullname" : "Flow Cytometry", "shortname":"Flow Cyt"}, "WB" : {"fullname" : "Western blot", "shortname":"WB"}, "IHCP" : {"fullname" : "Immunohistochemistry (Formalin/PFA-fixed paraffin-embedded sections)", "shortname":"IHC-P"} }, "product-promise": { "all": "all", "testedAndGuaranteed": "tested", "guaranteed": "expected", "predicted": "predicted", "notRecommended": "not-recommended" } }, "values": { "Human": { "FlowCyt-species-checked": "testedAndGuaranteed", "FlowCyt-species-dilution-info": "1 µg for 10^6 Cells", "FlowCyt-species-notes": "<p><a href='/en-us/products/primary-antibodies/mouse-igg2b-kappa-monoclonal-7e10g10-isotype-control-ab170192'>ab170192</a> - Mouse monoclonal IgG2b, is suitable for use as an isotype control with this antibody.</p>", "WB-species-checked": "testedAndGuaranteed", "WB-species-dilution-info": "1 µg/mL", "WB-species-notes": "<p></p>", "IHCP-species-checked": "testedAndGuaranteed", "IHCP-species-dilution-info": "2 µg/mL", "IHCP-species-notes": "<p></p>" }, "Mouse": { "FlowCyt-species-checked": "guaranteed", "FlowCyt-species-dilution-info": "1 µg for 10^6 Cells", "FlowCyt-species-notes": "<p><a href='/en-us/products/primary-antibodies/mouse-igg2b-kappa-monoclonal-7e10g10-isotype-control-ab170192'>ab170192</a> - Mouse monoclonal IgG2b, is suitable for use as an isotype control with this antibody.</p>", "WB-species-checked": "testedAndGuaranteed", "WB-species-dilution-info": "1 µg/mL", "WB-species-notes": "<p></p>", "IHCP-species-checked": "guaranteed", "IHCP-species-dilution-info": "2 µg/mL", "IHCP-species-notes": "<p></p>" }, "Rat": { "FlowCyt-species-checked": "predicted", "FlowCyt-species-dilution-info": "", "FlowCyt-species-notes": "", "WB-species-checked": "guaranteed", "WB-species-dilution-info": "1 µg/mL", "WB-species-notes": "<p></p>", "IHCP-species-checked": "guaranteed", "IHCP-species-dilution-info": "2 µg/mL", "IHCP-species-notes": "<p></p>" }, "Cow": { "FlowCyt-species-checked": "guaranteed", "FlowCyt-species-dilution-info": "1 µg for 10^6 Cells", "FlowCyt-species-notes": "<p><a href='/en-us/products/primary-antibodies/mouse-igg2b-kappa-monoclonal-7e10g10-isotype-control-ab170192'>ab170192</a> - Mouse monoclonal IgG2b, is suitable for use as an isotype control with this antibody.</p>", "WB-species-checked": "guaranteed", "WB-species-dilution-info": "1 µg/mL", "WB-species-notes": "<p></p>", "IHCP-species-checked": "guaranteed", "IHCP-species-dilution-info": "2 µg/mL", "IHCP-species-notes": "<p></p>" }, "Pig": { "FlowCyt-species-checked": "predicted", "FlowCyt-species-dilution-info": "", "FlowCyt-species-notes": "", "WB-species-checked": "predicted", "WB-species-dilution-info": "", "WB-species-notes": "", "IHCP-species-checked": "predicted", "IHCP-species-dilution-info": "", "IHCP-species-notes": "" } } }

Product details

Want a custom formulation?
This antibody clone is manufactured by Abcam. If you require a custom buffer formulation or conjugation for your experiments, please contact orders@abcam.com

Properties and storage information

Form
Liquid
Purification technique
Affinity purification Immunogen
Purification notes
Near homogeneity as judged by SDS-PAGE. The antibody was produced in vitro using hybridomas grown in serum-free medium, and then purified by biochemical fractionation.
Storage buffer
pH: 7.5 Preservative: 0.02% Sodium azide Constituents: HEPES buffered saline
Shipped at conditions
Blue Ice
Appropriate short-term storage conditions
+4°C
Appropriate long-term storage conditions
+4°C

Supplementary information

This supplementary information is collated from multiple sources and compiled automatically.

UQCRFS1 also known as RISP functions as an essential component of the mitochondrial electron transport chain. The protein weighs approximately 29 kDa and plays an important role in the transfer of electrons from ubiquinol to cytochrome c within complex III also named cytochrome bc1 complex. UQCRFS1 expresses primarily in tissues with high energy requirements such as heart and skeletal muscle due to their reliance on aerobic metabolism for ATP production.
Biological function summary

RISP belongs to the cytochrome bc1 complex a large multimeric structure involved in mitochondrial respiratory function. By facilitating electron transfer it contributes to the establishment of the proton gradient across the inner mitochondrial membrane. This gradient drives ATP synthesis through oxidative phosphorylation highlighting its importance for cellular energy homeostasis. The reduction and oxidation of ubiquinone and cytochrome c ensure effective electron flow within this system.

Pathways

RISP integrates into essential processes within the respiratory chain and oxidative phosphorylation pathways. It directly interacts with other proteins in complex III such as UQCRH and UQCRC1 to facilitate protein complex stability and function. Additionally RISP supports the interaction between complex III and complex IV by aiding in the electron transfer ensuring efficient ATP production. This association clarifies the interprotein dynamics needed for proper mitochondrial respiratory operation.

RISP connects to mitochondrial dysfunction and related pathologies. Mitochondrial complex III deficiencies often link to neurodegenerative disorders like Leigh syndrome due to defective oxidative phosphorylation. Such deficiencies may result from perturbations in RISP function or expression affecting electron transport chain efficiency. Furthermore disruptions in RISP activity relate to ischemic conditions where hypoxic stress compromises ATP production implicating it together with cytochrome c in cellular energy crises.

Product protocols

For this product, it's our understanding that no specific protocols are required. You can visit:

Target data

Cytochrome b-c1 complex subunit Rieske, mitochondrial. Component of the ubiquinol-cytochrome c oxidoreductase, a multisubunit transmembrane complex that is part of the mitochondrial electron transport chain which drives oxidative phosphorylation. The respiratory chain contains 3 multisubunit complexes succinate dehydrogenase (complex II, CII), ubiquinol-cytochrome c oxidoreductase (cytochrome b-c1 complex, complex III, CIII) and cytochrome c oxidase (complex IV, CIV), that cooperate to transfer electrons derived from NADH and succinate to molecular oxygen, creating an electrochemical gradient over the inner membrane that drives transmembrane transport and the ATP synthase. The cytochrome b-c1 complex catalyzes electron transfer from ubiquinol to cytochrome c, linking this redox reaction to translocation of protons across the mitochondrial inner membrane, with protons being carried across the membrane as hydrogens on the quinol. In the process called Q cycle, 2 protons are consumed from the matrix, 4 protons are released into the intermembrane space and 2 electrons are passed to cytochrome c. The Rieske protein is a catalytic core subunit containing a [2Fe-2S] iron-sulfur cluster. It cycles between 2 conformational states during catalysis to transfer electrons from the quinol bound in the Q(0) site in cytochrome b to cytochrome c1 (By similarity). Incorporation of UQCRFS1 is the penultimate step in complex III assembly (By similarity).. Cytochrome b-c1 complex subunit 9. Component of the ubiquinol-cytochrome c oxidoreductase (cytochrome b-c1 complex, complex III, CIII). UQCRFS1 undergoes proteolytic processing once it is incorporated in the complex III dimer. One of the fragments, called subunit 9, corresponds to its mitochondrial targeting sequence (MTS) (PubMed : 2996928, PubMed : 8386158). The proteolytic processing is necessary for the correct insertion of UQCRFS1 in the complex III dimer, but the persistence of UQCRFS1-derived fragments may prevent newly imported UQCRFS1 to be processed and assembled into complex III and is detrimental for the complex III structure and function (By similarity).
See full target information Cytochrome b-c1 complex subunit Rieske, mitochondrial

Publications (92)

Recent publications for all applications. Explore the full list and refine your search

Nature immunology 26:1267-1274 PubMed40670617

2025

Mitochondrial respiration is necessary for CD8 T cell proliferation and cell fate.

Applications

Unspecified application

Species

Unspecified reactive species

Elizabeth M Steinert,Beatriz Furtado Bruza,Veronika D Danchine,Rogan A Grant,Karthik Vasan,Arjun Kharel,Yuqi Zhang,Weiguo Cui,Marten Szibor,Samuel E Weinberg,Navdeep S Chandel

Nature communications 16:5133 PubMed40461459

2025

ROMO1 overexpression protects the mitochondrial cysteinome from oxidations in aging.

Applications

Unspecified application

Species

Unspecified reactive species

Fengli Xu,Haipeng Huang,Kun Peng,Chongshu Jian,Hao Wu,Zhiwen Jing,Shan Qiu,Ying Chen,Keke Liu,Ling Fu,Yanru Wang,Jing Yang,Xiaotao Duan,Chu Wang,Heping Cheng,Xianhua Wang

The Journal of biological chemistry 301:108433 PubMed40120684

2025

HS remodels mitochondrial ultrastructure and destabilizes respiratory supercomplexes.

Applications

Unspecified application

Species

Unspecified reactive species

David A Hanna,Brandon Chen,Yatrik M Shah,Oleh Khalimonchuk,Brian Cunniff,Ruma Banerjee

Frontiers in pharmacology 15:1422693 PubMed39611170

2024

Bmal1 haploinsufficiency impairs fear memory and modulates neuroinflammation via the 5-HT2C receptor.

Applications

Unspecified application

Species

Unspecified reactive species

Weifen Li,Shengnan Mou,Tahir Ali,Tianxiang Li,Yan Liu,Shupeng Li,Xiaoming Yu,Zhi-Jian Yu

PloS one 19:e0311857 PubMed39388511

2024

Sex and organ specific proteomic responses to vitamin C deficiency in the brain, heart, liver, and spleen of Gulo-/- mice.

Applications

Unspecified application

Species

Unspecified reactive species

Lucie Aumailley,Michel Lebel

Cell communication and signaling : CCS 22:427 PubMed39223674

2024

RIPK1 inhibition mitigates neuroinflammation and rescues depressive-like behaviors in a mouse model of LPS-induced depression.

Applications

Unspecified application

Species

Unspecified reactive species

Qichao Gong,Tahir Ali,Yue Hu,Ruyan Gao,Shengnan Mou,Yanhua Luo,Canyu Yang,Axiang Li,Tao Li,Liang Liang Hao,Liufang He,Xiaoming Yu,Shupeng Li

Nature 625:385-392 PubMed38123683

2023

Mitochondrial dysfunction abrogates dietary lipid processing in enterocytes.

Applications

Unspecified application

Species

Unspecified reactive species

Chrysanthi Moschandrea,Vangelis Kondylis,Ioannis Evangelakos,Marija Herholz,Farina Schneider,Christina Schmidt,Ming Yang,Sandra Ehret,Markus Heine,Michelle Y Jaeckstein,Karolina Szczepanowska,Robin Schwarzer,Linda Baumann,Theresa Bock,Efterpi Nikitopoulou,Susanne Brodesser,Marcus Krüger,Christian Frezza,Joerg Heeren,Aleksandra Trifunovic,Manolis Pasparakis

Journal of molecular biology 435:168317 PubMed37858707

2023

FDX1 Is Required for the Biogenesis of Mitochondrial Cytochrome c Oxidase in Mammalian Cells.

Applications

Unspecified application

Species

Unspecified reactive species

Mohammad Zulkifli,Adriana U Okonkwo,Vishal M Gohil

Clinical science (London, England : 1979) 137:1347-1372 PubMed37565250

2023

Maternal hepatic adaptations during obese pregnancy encompass lobe-specific mitochondrial alterations and oxidative stress.

Applications

Unspecified application

Species

Unspecified reactive species

Luís F Grilo,João D Martins,Mariana S Diniz,Carolina Tocantins,Chiara H Cavallaro,Inês Baldeiras,Teresa Cunha-Oliveira,Stephen Ford,Peter W Nathanielsz,Paulo J Oliveira,Susana P Pereira

Basic research in cardiology 118:15 PubMed37138037

2023

Sexual dimorphism in bidirectional SR-mitochondria crosstalk in ventricular cardiomyocytes.

Applications

Unspecified application

Species

Unspecified reactive species

Richard T Clements,Radmila Terentyeva,Shanna Hamilton,Paul M L Janssen,Karim Roder,Benjamin Y Martin,Fruzsina Perger,Timothy Schneider,Zuzana Nichtova,Anindhya S Das,Roland Veress,Beth S Lee,Do-Gyoon Kim,Gideon Koren,Matthew S Stratton,Gyorgy Csordas,Federica Accornero,Andriy E Belevych,Sandor Gyorke,Dmitry Terentyev
View all publications

Product promise

We are committed to supporting your work with high-quality reagents, and we're here for you every step of the way. In the unlikely event that one of our products does not perform as expected, you're protected by our Product Promise.
For full details, please see our Terms & Conditions

Please note: All products are 'FOR RESEARCH USE ONLY. NOT FOR USE IN DIAGNOSTIC OR THERAPEUTIC PROCEDURES'.

For licensing inquiries, please contact partnerships@abcam.com