JavaScript is disabled in your browser. Please enable JavaScript to view this website.
AB251054

Anti-UQCRFS1/RISP antibody [EPR16289] - BSA and Azide free

Be the first to review this product! Submit a review

|

(0 Publication)

Rabbit Recombinant Monoclonal UQCRFS1/RISP antibody. Carrier free. Suitable for ICC/IF, IP, WB, Flow Cyt (Intra), IHC-P and reacts with Human, Rat, Mouse samples.

View Alternative Names

Complex III subunit 5, Cytochrome b-c1 complex subunit 5, Rieske iron-sulfur protein, Rieske protein UQCRFS1, Ubiquinol-cytochrome c reductase iron-sulfur subunit, RISP, UQCRFS1

5 Images
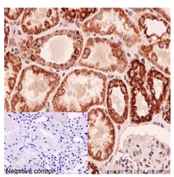
Immunohistochemistry (Formalin/PFA-fixed paraffin-embedded sections) - Anti-UQCRFS1/RISP antibody [EPR16289] - BSA and Azide free (AB251054)
  • IHC-P

Unknown

Immunohistochemistry (Formalin/PFA-fixed paraffin-embedded sections) - Anti-UQCRFS1/RISP antibody [EPR16289] - BSA and Azide free (AB251054)

This data was developed using ab191079, the same antibody clone in a different buffer formulation.

Immunohistochemical analysis of paraffin-embedded Human kidney tissue labeling UQCRFS1/RISP with ab191079 at 1/100 dilution followed by pre-diluted HRP Polymer for Rabbit IgG secondary antibody and counter-stained with Hematoxylin (inset : negative control).

Perform heat mediated antigen retrieval with Tris/EDTA buffer pH 9.0 before commencing with IHC staining protocol.

Flow Cytometry (Intracellular) - Anti-UQCRFS1/RISP antibody [EPR16289] - BSA and Azide free (AB251054)
  • Flow Cyt (Intra)

Unknown

Flow Cytometry (Intracellular) - Anti-UQCRFS1/RISP antibody [EPR16289] - BSA and Azide free (AB251054)

This data was developed using ab191079, the same antibody clone in a different buffer formulation.

Intracellular flow cytometric analysis of HeLa cells (paraformaldehyde-fixed, 2%) labeling UQCRFS1/RISP with ab191079 at 1/280 dilution (red) or a rabbit IgG (negative) (green), followed by Goat anti rabbit IgG (FITC) secondary at 1/150 dilution.

Western blot - Anti-UQCRFS1/RISP antibody [EPR16289] - BSA and Azide free (AB251054)
  • WB

Supplier Data

Western blot - Anti-UQCRFS1/RISP antibody [EPR16289] - BSA and Azide free (AB251054)

This data was developed using ab191079, the same antibody clone in a different buffer formulation.

All lanes:

Western blot - Anti-UQCRFS1/RISP antibody [EPR16289] - BSA and Azide free (ab251054) at 1/10000 dilution

Lane 1:

HeLa cell lysate at 20 µg

Lane 2:

Raji cell lysate at 20 µg

Lane 3:

293 cell lysate at 20 µg

Lane 4:

Human fetal heart lysate at 20 µg

Secondary

All lanes:

Goat Anti-Rabbit IgG, (H+L),Peroxidase conjugate at 1/1000 dilution

Predicted band size: 30 kDa

false

Western blot - Anti-UQCRFS1/RISP antibody [EPR16289] - BSA and Azide free (AB251054)
  • WB

Supplier Data

Western blot - Anti-UQCRFS1/RISP antibody [EPR16289] - BSA and Azide free (AB251054)

This data was developed using ab191079, the same antibody clone in a different buffer formulation.

All lanes:

Western blot - Anti-UQCRFS1/RISP antibody [EPR16289] - BSA and Azide free (ab251054) at 1/1000 dilution

Lane 1:

PC12 cell lysate at 10 µg

Lanes 2 - 3:

Mouse brain lysate at 10 µg

Secondary

All lanes:

Goat Anti-Rabbit IgG, (H+L),Peroxidase conjugate at 1/1000 dilution

Predicted band size: 30 kDa

false

Immunoprecipitation - Anti-UQCRFS1/RISP antibody [EPR16289] - BSA and Azide free (AB251054)
  • IP

Unknown

Immunoprecipitation - Anti-UQCRFS1/RISP antibody [EPR16289] - BSA and Azide free (AB251054)

This data was developed using ab191079, the same antibody clone in a different buffer formulation.

Western blot analysis of immunoprecipitation pellet from Human fetal heart lysate immunoprecipitated using ab191079 at 1/90 dilution (lane 1) or PBS control (lane 2).
Secondary : Anti-Rabbit IgG (HRP), specific to the non-reduced form of IgG at 1/1500 dilution.

All lanes:

Immunoprecipitation - Anti-UQCRFS1/RISP antibody [EPR16289] - BSA and Azide free (ab251054)

Predicted band size: 30 kDa

false

Key facts

Host species

Rabbit

Clonality

Monoclonal

Clone number

EPR16289

Isotype

IgG

Carrier free

Yes

Reacts with

Mouse, Rat, Human

Applications

Flow Cyt (Intra), IHC-P, IP, WB, ICC/IF

applications

Immunogen

The exact immunogen used to generate this antibody is proprietary information.

Reactivity data

{ "title": "Reactivity Data", "filters": { "stats": ["", "Species", "Dilution Info", "Notes"], "tabs": { "all-applications": {"fullname" : "All Applications", "shortname": "All Applications"}, "ICCIF" : {"fullname" : "Immunocytochemistry/ Immunofluorescence", "shortname":"ICC/IF"}, "IP" : {"fullname" : "Immunoprecipitation", "shortname":"IP"}, "WB" : {"fullname" : "Western blot", "shortname":"WB"}, "FlowCytIntra" : {"fullname" : "Flow Cytometry (Intracellular)", "shortname":"Flow Cyt (Intra)"}, "IHCP" : {"fullname" : "Immunohistochemistry (Formalin/PFA-fixed paraffin-embedded sections)", "shortname":"IHC-P"} }, "product-promise": { "all": "all", "testedAndGuaranteed": "tested", "guaranteed": "expected", "predicted": "predicted", "notRecommended": "not-recommended" } }, "values": { "Human": { "ICCIF-species-checked": "testedAndGuaranteed", "ICCIF-species-dilution-info": "", "ICCIF-species-notes": "<p></p>", "IP-species-checked": "testedAndGuaranteed", "IP-species-dilution-info": "", "IP-species-notes": "<p></p>", "WB-species-checked": "testedAndGuaranteed", "WB-species-dilution-info": "", "WB-species-notes": "<p></p>", "FlowCytIntra-species-checked": "testedAndGuaranteed", "FlowCytIntra-species-dilution-info": "", "FlowCytIntra-species-notes": "<p></p>", "IHCP-species-checked": "testedAndGuaranteed", "IHCP-species-dilution-info": "", "IHCP-species-notes": "<p></p>" }, "Mouse": { "ICCIF-species-checked": "guaranteed", "ICCIF-species-dilution-info": "", "ICCIF-species-notes": "", "IP-species-checked": "guaranteed", "IP-species-dilution-info": "", "IP-species-notes": "", "WB-species-checked": "testedAndGuaranteed", "WB-species-dilution-info": "", "WB-species-notes": "<p></p>", "FlowCytIntra-species-checked": "guaranteed", "FlowCytIntra-species-dilution-info": "", "FlowCytIntra-species-notes": "", "IHCP-species-checked": "guaranteed", "IHCP-species-dilution-info": "", "IHCP-species-notes": "" }, "Rat": { "ICCIF-species-checked": "guaranteed", "ICCIF-species-dilution-info": "", "ICCIF-species-notes": "", "IP-species-checked": "guaranteed", "IP-species-dilution-info": "", "IP-species-notes": "", "WB-species-checked": "testedAndGuaranteed", "WB-species-dilution-info": "", "WB-species-notes": "<p></p>", "FlowCytIntra-species-checked": "guaranteed", "FlowCytIntra-species-dilution-info": "", "FlowCytIntra-species-notes": "", "IHCP-species-checked": "guaranteed", "IHCP-species-dilution-info": "", "IHCP-species-notes": "" } } }

Product details

ab251054 is the carrier-free version of ab191079.

Patented technology
Our RabMAb® technology is a patented hybridoma-based technology for making rabbit monoclonal antibodies. For details on our patents, please refer to RabMAb® patents.

What are the advantages of a recombinant monoclonal antibody?
This product is a recombinant monoclonal antibody, which offers several advantages including:

  • - High batch-to-batch consistency and reproducibility
  • - Improved sensitivity and specificity
  • - Long-term security of supply
  • - Animal-free batch production

For more information, read more on recombinant antibodies.

Conjugation ready
Our carrier-free antibodies are typically supplied in a PBS-only formulation, purified and free of BSA, sodium azide and glycerol. This conjugation-ready format is designed for use with fluorochromes, metal isotopes, oligonucleotides, and enzymes, which makes them ideal for antibody labelling, functional and cell-based assays, flow-based assays (e.g. mass cytometry) and Multiplex Imaging applications.

Use our conjugation kits for antibody conjugates that are ready-to-use in as little as 20 minutes with 1 minute hands-on-time and 100% antibody recovery: available for fluorescent dyes, HRP, biotin and gold.

Compatibility
This product is compatible with the Maxpar® Antibody Labeling Kit from Fluidigm, without the need for antibody preparation. Maxpar® is a trademark of Fluidigm Canada Inc.

Properties and storage information

Form
Liquid
Storage buffer
pH: 7.2 - 7.4 Constituents: PBS
Shipped at conditions
Blue Ice
Appropriate short-term storage conditions
+4°C
Appropriate long-term storage conditions
+4°C
Storage information
Do Not Freeze

Supplementary information

This supplementary information is collated from multiple sources and compiled automatically.

UQCRFS1 also known as RISP functions as an essential component of the mitochondrial electron transport chain. The protein weighs approximately 29 kDa and plays an important role in the transfer of electrons from ubiquinol to cytochrome c within complex III also named cytochrome bc1 complex. UQCRFS1 expresses primarily in tissues with high energy requirements such as heart and skeletal muscle due to their reliance on aerobic metabolism for ATP production.
Biological function summary

RISP belongs to the cytochrome bc1 complex a large multimeric structure involved in mitochondrial respiratory function. By facilitating electron transfer it contributes to the establishment of the proton gradient across the inner mitochondrial membrane. This gradient drives ATP synthesis through oxidative phosphorylation highlighting its importance for cellular energy homeostasis. The reduction and oxidation of ubiquinone and cytochrome c ensure effective electron flow within this system.

Pathways

RISP integrates into essential processes within the respiratory chain and oxidative phosphorylation pathways. It directly interacts with other proteins in complex III such as UQCRH and UQCRC1 to facilitate protein complex stability and function. Additionally RISP supports the interaction between complex III and complex IV by aiding in the electron transfer ensuring efficient ATP production. This association clarifies the interprotein dynamics needed for proper mitochondrial respiratory operation.

RISP connects to mitochondrial dysfunction and related pathologies. Mitochondrial complex III deficiencies often link to neurodegenerative disorders like Leigh syndrome due to defective oxidative phosphorylation. Such deficiencies may result from perturbations in RISP function or expression affecting electron transport chain efficiency. Furthermore disruptions in RISP activity relate to ischemic conditions where hypoxic stress compromises ATP production implicating it together with cytochrome c in cellular energy crises.

Product protocols

For this product, it's our understanding that no specific protocols are required. You can visit:

Target data

Cytochrome b-c1 complex subunit Rieske, mitochondrial. Component of the ubiquinol-cytochrome c oxidoreductase, a multisubunit transmembrane complex that is part of the mitochondrial electron transport chain which drives oxidative phosphorylation (PubMed : 31883641). The respiratory chain contains 3 multisubunit complexes succinate dehydrogenase (complex II, CII), ubiquinol-cytochrome c oxidoreductase (cytochrome b-c1 complex, complex III, CIII) and cytochrome c oxidase (complex IV, CIV), that cooperate to transfer electrons derived from NADH and succinate to molecular oxygen, creating an electrochemical gradient over the inner membrane that drives transmembrane transport and the ATP synthase. The cytochrome b-c1 complex catalyzes electron transfer from ubiquinol to cytochrome c, linking this redox reaction to translocation of protons across the mitochondrial inner membrane, with protons being carried across the membrane as hydrogens on the quinol. In the process called Q cycle, 2 protons are consumed from the matrix, 4 protons are released into the intermembrane space and 2 electrons are passed to cytochrome c. The Rieske protein is a catalytic core subunit containing a [2Fe-2S] iron-sulfur cluster. It cycles between 2 conformational states during catalysis to transfer electrons from the quinol bound in the Q(0) site in cytochrome b to cytochrome c1 (By similarity). Incorporation of UQCRFS1 is the penultimate step in complex III assembly (PubMed : 28673544).. Cytochrome b-c1 complex subunit 9. Component of the ubiquinol-cytochrome c oxidoreductase (cytochrome b-c1 complex, complex III, CIII). UQCRFS1 undergoes proteolytic processing once it is incorporated in the complex III dimer. One of the fragments, called subunit 9, corresponds to its mitochondrial targeting sequence (MTS). The proteolytic processing is necessary for the correct insertion of UQCRFS1 in the complex III dimer, but the persistence of UQCRFS1-derived fragments may prevent newly imported UQCRFS1 to be processed and assembled into complex III and is detrimental for the complex III structure and function.
See full target information Cytochrome b-c1 complex subunit Rieske, mitochondrial

Product promise

We are committed to supporting your work with high-quality reagents, and we're here for you every step of the way. In the unlikely event that one of our products does not perform as expected, you're protected by our Product Promise.
For full details, please see our Terms & Conditions

Please note: All products are 'FOR RESEARCH USE ONLY. NOT FOR USE IN DIAGNOSTIC OR THERAPEUTIC PROCEDURES'.

For licensing inquiries, please contact partnerships@abcam.com