JavaScript is disabled in your browser. Please enable JavaScript to view this website.
AB154803

Anti-UQCRH antibody [EPR9038(B)]

Be the first to review this product! Submit a review

|

(4 Publications)

Rabbit Recombinant Monoclonal UQCRH antibody. Suitable for IHC-P, WB, Flow Cyt (Intra) and reacts with Human, Rat samples. Cited in 4 publications.

View Alternative Names

Complex III subunit 6, Complex III subunit VIII, Cytochrome c1 non-heme 11 kDa protein, Mitochondrial hinge protein, Ubiquinol-cytochrome c reductase complex 11 kDa protein, UQCRH

9 Images
Immunohistochemistry (Formalin/PFA-fixed paraffin-embedded sections) - Anti-UQCRH antibody [EPR9038(B)] (AB154803)
  • IHC-P

Unknown

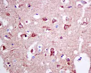
Immunohistochemistry (Formalin/PFA-fixed paraffin-embedded sections) - Anti-UQCRH antibody [EPR9038(B)] (AB154803)

Immunohistochemical analysis of paraffin embedded Human normal brain tissue using ab154803 showing +ve staining.

Perform heat mediated antigen retrieval before commencing with IHC staining protocol.

Immunohistochemistry (Formalin/PFA-fixed paraffin-embedded sections) - Anti-UQCRH antibody [EPR9038(B)] (AB154803)
  • IHC-P

Unknown

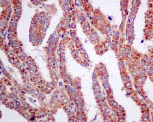
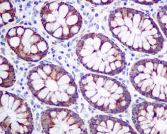
Immunohistochemistry (Formalin/PFA-fixed paraffin-embedded sections) - Anti-UQCRH antibody [EPR9038(B)] (AB154803)

Immunohistochemical analysis of paraffin-embedded Human colon tissue labeling UQCRH with ab154803 at 1/50 dilution.

Perform heat mediated antigen retrieval before commencing with IHC staining protocol.

Immunohistochemistry (Formalin/PFA-fixed paraffin-embedded sections) - Anti-UQCRH antibody [EPR9038(B)] (AB154803)
  • IHC-P

Unknown

Immunohistochemistry (Formalin/PFA-fixed paraffin-embedded sections) - Anti-UQCRH antibody [EPR9038(B)] (AB154803)

Immunohistochemical analysis of paraffin embedded Human thyroid gland carcinoma tissue using ab154803 showing +ve staining.

Perform heat mediated antigen retrieval before commencing with IHC staining protocol.

Immunohistochemistry (Formalin/PFA-fixed paraffin-embedded sections) - Anti-UQCRH antibody [EPR9038(B)] (AB154803)
  • IHC-P

Unknown

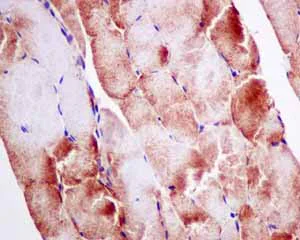
Immunohistochemistry (Formalin/PFA-fixed paraffin-embedded sections) - Anti-UQCRH antibody [EPR9038(B)] (AB154803)

Immunohistochemical analysis of paraffin embedded Human skeletal muscle tissue using ab154803 showing +ve staining.

Perform heat mediated antigen retrieval before commencing with IHC staining protocol.

Immunohistochemistry (Formalin/PFA-fixed paraffin-embedded sections) - Anti-UQCRH antibody [EPR9038(B)] (AB154803)
  • IHC-P

Unknown

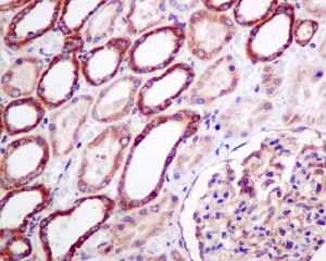
Immunohistochemistry (Formalin/PFA-fixed paraffin-embedded sections) - Anti-UQCRH antibody [EPR9038(B)] (AB154803)

Immunohistochemical analysis of paraffin embedded Human normal kidney tissue using ab154803 showing +ve staining.

Perform heat mediated antigen retrieval before commencing with IHC staining protocol.

Flow Cytometry (Intracellular) - Anti-UQCRH antibody [EPR9038(B)] (AB154803)
  • Flow Cyt (Intra)

Unknown

Flow Cytometry (Intracellular) - Anti-UQCRH antibody [EPR9038(B)] (AB154803)

Intracellular flow cytometric analysis of permeabilized Saos 2 cells labeling UQCRH with ab154803 at 1/10 dilution (red) or a rabbit IgG (green- negative control).

Immunohistochemistry (Formalin/PFA-fixed paraffin-embedded sections) - Anti-UQCRH antibody [EPR9038(B)] (AB154803)
  • IHC-P

Unknown

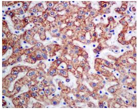
Immunohistochemistry (Formalin/PFA-fixed paraffin-embedded sections) - Anti-UQCRH antibody [EPR9038(B)] (AB154803)

Immunohistochemical analysis of paraffin-embedded Human liver tissue labeling UQCRH with ab154803 at 1/50 dilution.

Perform heat mediated antigen retrieval before commencing with IHC staining protocol.

Western blot - Anti-UQCRH antibody [EPR9038(B)] (AB154803)
  • WB

Unknown

Western blot - Anti-UQCRH antibody [EPR9038(B)] (AB154803)

All lanes:

Western blot - Anti-UQCRH antibody [EPR9038(B)] (ab154803) at 1/1000 dilution

Lane 1:

Fetal liver lysate at 10 µg

Lane 2:

PC12 lysate at 10 µg

Lane 3:

C6 lysate at 10 µg

Lane 4:

Fetal brain lysate at 10 µg

Lane 5:

Human spleen lysate at 10 µg

Lane 6:

Saos 2 lysate at 10 µg

Predicted band size: 11 kDa

false

Western blot - Anti-UQCRH antibody [EPR9038(B)] (AB154803)
  • WB

CiteAb

Western blot - Anti-UQCRH antibody [EPR9038(B)] (AB154803)

UQCRH western blot using anti-UQCRH antibody [EPR9038(B)] ab154803. Publication image and figure legend from Meng, S., Zhan, S., et al., 2020, Proteome Sci, PubMed 31889914.

ab154803 was used in this publication in western blot. This may not be the same as the application(s) guaranteed by Abcam. For a full list of applications guaranteed by Abcam for ab154803 please see the product overview.

Validation of TMT-based proteomics data. (a) Two DEPs (UQCRH and HMGN1) identified in proteomics data were validated by western blot. Knockdown of ALKBH7 resulted in upregulation of UQCRH and HMGN1 expression, and the opposite pattern of expression was detected in ALKBH7 overexpression cell lines, which were consistent with our proteomics data. (b) The relative intensity of UQCRH and HMGN1 in western blot (normalized by corresponding β-actin expression)

false

  • Carrier free

    Anti-UQCRH antibody [EPR9038(B)] - BSA and Azide free

Key facts

Host species

Rabbit

Clonality

Monoclonal

Clone number

EPR9038(B)

Isotype

IgG

Carrier free

No

Reacts with

Rat, Human

Applications

WB, Flow Cyt (Intra), IHC-P

applications

Immunogen

The exact immunogen used to generate this antibody is proprietary information.

Specificity

The immunogen used for this product shares 100% homology with UQCRHL. Cross-reactivity with this protein has not been confirmed experimentally.

Reactivity data

{ "title": "Reactivity Data", "filters": { "stats": ["", "Species", "Dilution Info", "Notes"], "tabs": { "all-applications": {"fullname" : "All Applications", "shortname": "All Applications"}, "IHCP" : {"fullname" : "Immunohistochemistry (Formalin/PFA-fixed paraffin-embedded sections)", "shortname":"IHC-P"}, "WB" : {"fullname" : "Western blot", "shortname":"WB"}, "ICCIF" : {"fullname" : "Immunocytochemistry/ Immunofluorescence", "shortname":"ICC/IF"}, "FlowCytIntra" : {"fullname" : "Flow Cytometry (Intracellular)", "shortname":"Flow Cyt (Intra)"} }, "product-promise": { "all": "all", "testedAndGuaranteed": "tested", "guaranteed": "expected", "predicted": "predicted", "notRecommended": "not-recommended" } }, "values": { "Human": { "IHCP-species-checked": "testedAndGuaranteed", "IHCP-species-dilution-info": "1/50 - 1/100", "IHCP-species-notes": "<p></p>", "WB-species-checked": "testedAndGuaranteed", "WB-species-dilution-info": "1/1000 - 1/10000", "WB-species-notes": "<p></p>", "ICCIF-species-checked": "notRecommended", "ICCIF-species-dilution-info": "", "ICCIF-species-notes": "<p></p>", "FlowCytIntra-species-checked": "testedAndGuaranteed", "FlowCytIntra-species-dilution-info": "1/10 - 1/100", "FlowCytIntra-species-notes": "<p><a href='/en-us/products/primary-antibodies/rabbit-igg-monoclonal-epr25a-isotype-control-ab172730'>ab172730</a> - Rabbit monoclonal IgG, is suitable for use as an isotype control with this antibody.</p>" }, "Mouse": { "IHCP-species-checked": "predicted", "IHCP-species-dilution-info": "", "IHCP-species-notes": "", "WB-species-checked": "predicted", "WB-species-dilution-info": "", "WB-species-notes": "", "ICCIF-species-checked": "notRecommended", "ICCIF-species-dilution-info": "", "ICCIF-species-notes": "", "FlowCytIntra-species-checked": "predicted", "FlowCytIntra-species-dilution-info": "", "FlowCytIntra-species-notes": "" }, "Rat": { "IHCP-species-checked": "guaranteed", "IHCP-species-dilution-info": "", "IHCP-species-notes": "", "WB-species-checked": "testedAndGuaranteed", "WB-species-dilution-info": "1/1000 - 1/10000", "WB-species-notes": "<p></p>", "ICCIF-species-checked": "notRecommended", "ICCIF-species-dilution-info": "", "ICCIF-species-notes": "<p></p>", "FlowCytIntra-species-checked": "guaranteed", "FlowCytIntra-species-dilution-info": "", "FlowCytIntra-species-notes": "" } } }

Product details

Patented technology
Our RabMAb® technology is a patented hybridoma-based technology for making rabbit monoclonal antibodies. For details on our patents, please refer to RabMAb® patents.

What are the advantages of a recombinant monoclonal antibody?
This product is a recombinant monoclonal antibody, which offers several advantages including:

  • - High batch-to-batch consistency and reproducibility
  • - Improved sensitivity and specificity
  • - Long-term security of supply
  • - Animal-free batch production

For more information, read more on recombinant antibodies.

Properties and storage information

Form
Liquid
Purification technique
Affinity purification Protein A
Storage buffer
pH: 7.2 - 7.4 Preservative: 0.01% Sodium azide Constituents: PBS, 50% Tissue culture supernatant, 40% Glycerol (glycerin, glycerine), 0.05% BSA
Shipped at conditions
Blue Ice
Appropriate short-term storage conditions
+4°C
Appropriate long-term storage conditions
-20°C

Supplementary information

This supplementary information is collated from multiple sources and compiled automatically.

UQCRH also known as ubiquinol-cytochrome c reductase hinge protein plays an important role in the electron transport chain. It forms a part of the core structure of cytochrome bc1 complex (Complex III) in mitochondria. UQCRH has a molecular mass of about 9 kDa and is expressed ubiquitously in human tissues. Its primary role is to assist in transferring electrons by connecting cytochrome c1 and cytochrome c which is essential for cellular respiration and energy production.
Biological function summary

The hinge protein acts as a critical component of the mitochondrial respiratory chain complex III. UQCRH ensures the efficient transfer of electrons within the complex which contributes to generating a proton gradient across the inner mitochondrial membrane. This proton gradient drives ATP synthesis. It is a vital component of the larger respiratory chain complex which is important for aerobic cellular energy metabolism and plays an important role in overall mitochondrial function.

Pathways

UQCRH is a significant player in the oxidative phosphorylation pathway which is central to the production of ATP. The protein closely interacts with components of Complex III and adjacent complexes of the electron transport chain such as NADH dehydrogenase (Complex I) and cytochrome c oxidase (Complex IV). These interactions help UQCRH integrate smoothly within the pathway ensuring the consistent flow of electrons and maintenance of ATP production.

UQCRH mutations or dysfunctions link to mitochondrial disorders such as mitochondrial complex III deficiency. Dysfunction in this protein disrupts normal mitochondrial respiration leading to various symptoms including myopathy and encephalopathy. Additionally impaired UQCRH function can contribute to the development of neurodegenerative diseases. Studies have observed connections between abnormal UQCRH activity and proteins such as superoxide dismutase-1 (SOD1) in disease states indicating its possible role in oxidative stress-related pathologies.

Product protocols

For this product, it's our understanding that no specific protocols are required. You can visit:

Target data

Component of the ubiquinol-cytochrome c oxidoreductase, a multisubunit transmembrane complex that is part of the mitochondrial electron transport chain which drives oxidative phosphorylation. The respiratory chain contains 3 multisubunit complexes succinate dehydrogenase (complex II, CII), ubiquinol-cytochrome c oxidoreductase (cytochrome b-c1 complex, complex III, CIII) and cytochrome c oxidase (complex IV, CIV), that cooperate to transfer electrons derived from NADH and succinate to molecular oxygen, creating an electrochemical gradient over the inner membrane that drives transmembrane transport and the ATP synthase. The cytochrome b-c1 complex catalyzes electron transfer from ubiquinol to cytochrome c, linking this redox reaction to translocation of protons across the mitochondrial inner membrane, with protons being carried across the membrane as hydrogens on the quinol. In the process called Q cycle, 2 protons are consumed from the matrix, 4 protons are released into the intermembrane space and 2 electrons are passed to cytochrome c.
See full target information UQCRH

Publications (4)

Recent publications for all applications. Explore the full list and refine your search

Biological procedures online 27:9 PubMed40065214

2025

Tumor Prognostic Risk Model Related to Monocytes/Macrophages in Hepatocellular Carcinoma Based on Machine Learning and Multi-Omics.

Applications

Unspecified application

Species

Unspecified reactive species

Xinliang Wan,Yongchun Zou,Qichun Zhou,Qing Tang,Gangxing Zhu,Luyu Jia,Xiaoyan Yu,Handan Mo,Xiaobing Yang,Sumei Wang

Aging cell 20:e13358 PubMed33942972

2021

Platelet biomarkers for a descending cognitive function: A proteomic approach.

Applications

Unspecified application

Species

Unspecified reactive species

Haitao Yu,Yanchao Liu,Benrong He,Ting He,Chongyang Chen,Jiahua He,Xifei Yang,Jian-Zhi Wang

Proteome science 17:8 PubMed31889914

2019

The interactome and proteomic responses of ALKBH7 in cell lines by in-depth proteomics analysis.

Applications

Unspecified application

Species

Unspecified reactive species

Shu Meng,Shaohua Zhan,Wanchen Dou,Wei Ge

Molecular biology of the cell 29:1111-1124 PubMed29496966

2018

C3G dynamically associates with nuclear speckles and regulates mRNA splicing.

Applications

Unspecified application

Species

Unspecified reactive species

Dhruv Kumar Shakyawar,Bhattiprolu Muralikrishna,Vegesna Radha
View all publications

Product promise

We are committed to supporting your work with high-quality reagents, and we're here for you every step of the way. In the unlikely event that one of our products does not perform as expected, you're protected by our Product Promise.
For full details, please see our Terms & Conditions

Please note: All products are 'FOR RESEARCH USE ONLY. NOT FOR USE IN DIAGNOSTIC OR THERAPEUTIC PROCEDURES'.

For licensing inquiries, please contact partnerships@abcam.com