JavaScript is disabled in your browser. Please enable JavaScript to view this website.
AB249111

Anti-UQCRH antibody [EPR9038(B)] - BSA and Azide free

Be the first to review this product! Submit a review

|

(1 Publication)

Rabbit Recombinant Monoclonal UQCRH antibody. Carrier free. Suitable for IHC-P, WB, Flow Cyt (Intra) and reacts with Human, Rat samples. Cited in 1 publication.

View Alternative Names

Complex III subunit 6, Complex III subunit VIII, Cytochrome c1 non-heme 11 kDa protein, Mitochondrial hinge protein, Ubiquinol-cytochrome c reductase complex 11 kDa protein, UQCRH

7 Images
Immunohistochemistry (Formalin/PFA-fixed paraffin-embedded sections) - Anti-UQCRH antibody [EPR9038(B)] - BSA and Azide free (AB249111)
  • IHC-P

Unknown

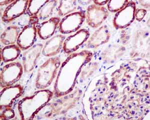
Immunohistochemistry (Formalin/PFA-fixed paraffin-embedded sections) - Anti-UQCRH antibody [EPR9038(B)] - BSA and Azide free (AB249111)

This data was developed using ab154803, the same antibody clone in a different buffer formulation.

Immunohistochemical analysis of paraffin embedded Human normal kidney tissue using ab154803 showing +ve staining.

Perform heat mediated antigen retrieval before commencing with IHC staining protocol.

Immunohistochemistry (Formalin/PFA-fixed paraffin-embedded sections) - Anti-UQCRH antibody [EPR9038(B)] - BSA and Azide free (AB249111)
  • IHC-P

Unknown

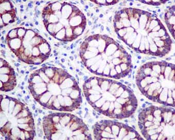
Immunohistochemistry (Formalin/PFA-fixed paraffin-embedded sections) - Anti-UQCRH antibody [EPR9038(B)] - BSA and Azide free (AB249111)

This data was developed using ab154803, the same antibody clone in a different buffer formulation.

Immunohistochemical analysis of paraffin-embedded Human colon tissue labeling UQCRH with ab154803 at 1/50 dilution.

Perform heat mediated antigen retrieval before commencing with IHC staining protocol.

Immunohistochemistry (Formalin/PFA-fixed paraffin-embedded sections) - Anti-UQCRH antibody [EPR9038(B)] - BSA and Azide free (AB249111)
  • IHC-P

Unknown

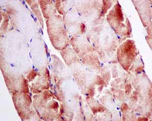
Immunohistochemistry (Formalin/PFA-fixed paraffin-embedded sections) - Anti-UQCRH antibody [EPR9038(B)] - BSA and Azide free (AB249111)

This data was developed using ab154803, the same antibody clone in a different buffer formulation.

Immunohistochemical analysis of paraffin embedded Human skeletal muscle tissue using ab154803 showing +ve staining.

Perform heat mediated antigen retrieval before commencing with IHC staining protocol.

Immunohistochemistry (Formalin/PFA-fixed paraffin-embedded sections) - Anti-UQCRH antibody [EPR9038(B)] - BSA and Azide free (AB249111)
  • IHC-P

Unknown

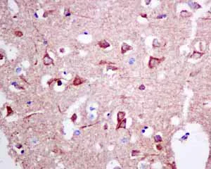
Immunohistochemistry (Formalin/PFA-fixed paraffin-embedded sections) - Anti-UQCRH antibody [EPR9038(B)] - BSA and Azide free (AB249111)

This data was developed using ab154803, the same antibody clone in a different buffer formulation.

Immunohistochemical analysis of paraffin embedded Human normal brain tissue using ab154803 showing +ve staining.

Perform heat mediated antigen retrieval before commencing with IHC staining protocol.

Flow Cytometry (Intracellular) - Anti-UQCRH antibody [EPR9038(B)] - BSA and Azide free (AB249111)
  • Flow Cyt (Intra)

Unknown

Flow Cytometry (Intracellular) - Anti-UQCRH antibody [EPR9038(B)] - BSA and Azide free (AB249111)

This data was developed using ab154803, the same antibody clone in a different buffer formulation.

Intracellular flow cytometric analysis of permeabilized Saos 2 cells labeling UQCRH with ab154803 at 1/10 dilution (red) or a rabbit IgG (green- negative control).

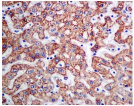
Immunohistochemistry (Formalin/PFA-fixed paraffin-embedded sections) - Anti-UQCRH antibody [EPR9038(B)] - BSA and Azide free (AB249111)
  • IHC-P

Unknown

Immunohistochemistry (Formalin/PFA-fixed paraffin-embedded sections) - Anti-UQCRH antibody [EPR9038(B)] - BSA and Azide free (AB249111)

This data was developed using ab154803, the same antibody clone in a different buffer formulation.

Immunohistochemical analysis of paraffin-embedded Human liver tissue labeling UQCRH with ab154803 at 1/50 dilution.

Perform heat mediated antigen retrieval before commencing with IHC staining protocol.

Western blot - Anti-UQCRH antibody [EPR9038(B)] - BSA and Azide free (AB249111)
  • WB

Unknown

Western blot - Anti-UQCRH antibody [EPR9038(B)] - BSA and Azide free (AB249111)

This data was developed using ab154803, the same antibody clone in a different buffer formulation.

All lanes:

Western blot - Anti-UQCRH antibody [EPR9038(B)] (<a href='/en-us/products/primary-antibodies/uqcrh-antibody-epr9038b-ab154803'>ab154803</a>) at 1/1000 dilution

Lane 1:

Fetal liver lysate at 10 µg

Lane 2:

PC12 lysate at 10 µg

Lane 3:

C6 lysate at 10 µg

Lane 4:

Fetal brain lysate at 10 µg

Lane 5:

Human spleen lysate at 10 µg

Lane 6:

Saos 2 lysate at 10 µg

Predicted band size: 11 kDa

false

Key facts

Host species

Rabbit

Clonality

Monoclonal

Clone number

EPR9038(B)

Isotype

IgG

Carrier free

Yes

Reacts with

Rat, Human

Applications

WB, Flow Cyt (Intra), IHC-P

applications

Immunogen

The exact immunogen used to generate this antibody is proprietary information.

Specificity

The immunogen used for this product shares 100% homology with UQCRHL. Cross-reactivity with this protein has not been confirmed experimentally.

Reactivity data

{ "title": "Reactivity Data", "filters": { "stats": ["", "Species", "Dilution Info", "Notes"], "tabs": { "all-applications": {"fullname" : "All Applications", "shortname": "All Applications"}, "IHCP" : {"fullname" : "Immunohistochemistry (Formalin/PFA-fixed paraffin-embedded sections)", "shortname":"IHC-P"}, "WB" : {"fullname" : "Western blot", "shortname":"WB"}, "ICCIF" : {"fullname" : "Immunocytochemistry/ Immunofluorescence", "shortname":"ICC/IF"}, "FlowCytIntra" : {"fullname" : "Flow Cytometry (Intracellular)", "shortname":"Flow Cyt (Intra)"} }, "product-promise": { "all": "all", "testedAndGuaranteed": "tested", "guaranteed": "expected", "predicted": "predicted", "notRecommended": "not-recommended" } }, "values": { "Human": { "IHCP-species-checked": "testedAndGuaranteed", "IHCP-species-dilution-info": "", "IHCP-species-notes": "<p></p>", "WB-species-checked": "guaranteed", "WB-species-dilution-info": "", "WB-species-notes": "", "ICCIF-species-checked": "notRecommended", "ICCIF-species-dilution-info": "", "ICCIF-species-notes": "<p></p>", "FlowCytIntra-species-checked": "testedAndGuaranteed", "FlowCytIntra-species-dilution-info": "", "FlowCytIntra-species-notes": "<p></p>" }, "Mouse": { "IHCP-species-checked": "predicted", "IHCP-species-dilution-info": "", "IHCP-species-notes": "", "WB-species-checked": "predicted", "WB-species-dilution-info": "", "WB-species-notes": "", "ICCIF-species-checked": "notRecommended", "ICCIF-species-dilution-info": "", "ICCIF-species-notes": "", "FlowCytIntra-species-checked": "predicted", "FlowCytIntra-species-dilution-info": "", "FlowCytIntra-species-notes": "" }, "Rat": { "IHCP-species-checked": "guaranteed", "IHCP-species-dilution-info": "", "IHCP-species-notes": "", "WB-species-checked": "testedAndGuaranteed", "WB-species-dilution-info": "", "WB-species-notes": "<p></p>", "ICCIF-species-checked": "notRecommended", "ICCIF-species-dilution-info": "", "ICCIF-species-notes": "<p></p>", "FlowCytIntra-species-checked": "guaranteed", "FlowCytIntra-species-dilution-info": "", "FlowCytIntra-species-notes": "" } } }

Product details

ab249111 is the carrier-free version of ab154803.

Patented technology
Our RabMAb® technology is a patented hybridoma-based technology for making rabbit monoclonal antibodies. For details on our patents, please refer to RabMAb® patents.

What are the advantages of a recombinant monoclonal antibody?
This product is a recombinant monoclonal antibody, which offers several advantages including:

  • - High batch-to-batch consistency and reproducibility
  • - Improved sensitivity and specificity
  • - Long-term security of supply
  • - Animal-free batch production

For more information, read more on recombinant antibodies.

Conjugation ready
Our carrier-free antibodies are typically supplied in a PBS-only formulation, purified and free of BSA, sodium azide and glycerol. This conjugation-ready format is designed for use with fluorochromes, metal isotopes, oligonucleotides, and enzymes, which makes them ideal for antibody labelling, functional and cell-based assays, flow-based assays (e.g. mass cytometry) and Multiplex Imaging applications.

Use our conjugation kits for antibody conjugates that are ready-to-use in as little as 20 minutes with 1 minute hands-on-time and 100% antibody recovery: available for fluorescent dyes, HRP, biotin and gold.

Compatibility
This product is compatible with the Maxpar® Antibody Labeling Kit from Fluidigm, without the need for antibody preparation. Maxpar® is a trademark of Fluidigm Canada Inc.

Properties and storage information

Form
Liquid
Purification technique
Affinity purification Protein A
Storage buffer
pH: 7.2 - 7.4 Constituents: PBS
Shipped at conditions
Blue Ice
Appropriate short-term storage conditions
+4°C
Appropriate long-term storage conditions
+4°C
Storage information
Do Not Freeze

Supplementary information

This supplementary information is collated from multiple sources and compiled automatically.

UQCRH also known as ubiquinol-cytochrome c reductase hinge protein plays an important role in the electron transport chain. It forms a part of the core structure of cytochrome bc1 complex (Complex III) in mitochondria. UQCRH has a molecular mass of about 9 kDa and is expressed ubiquitously in human tissues. Its primary role is to assist in transferring electrons by connecting cytochrome c1 and cytochrome c which is essential for cellular respiration and energy production.
Biological function summary

The hinge protein acts as a critical component of the mitochondrial respiratory chain complex III. UQCRH ensures the efficient transfer of electrons within the complex which contributes to generating a proton gradient across the inner mitochondrial membrane. This proton gradient drives ATP synthesis. It is a vital component of the larger respiratory chain complex which is important for aerobic cellular energy metabolism and plays an important role in overall mitochondrial function.

Pathways

UQCRH is a significant player in the oxidative phosphorylation pathway which is central to the production of ATP. The protein closely interacts with components of Complex III and adjacent complexes of the electron transport chain such as NADH dehydrogenase (Complex I) and cytochrome c oxidase (Complex IV). These interactions help UQCRH integrate smoothly within the pathway ensuring the consistent flow of electrons and maintenance of ATP production.

UQCRH mutations or dysfunctions link to mitochondrial disorders such as mitochondrial complex III deficiency. Dysfunction in this protein disrupts normal mitochondrial respiration leading to various symptoms including myopathy and encephalopathy. Additionally impaired UQCRH function can contribute to the development of neurodegenerative diseases. Studies have observed connections between abnormal UQCRH activity and proteins such as superoxide dismutase-1 (SOD1) in disease states indicating its possible role in oxidative stress-related pathologies.

Product protocols

For this product, it's our understanding that no specific protocols are required. You can visit:

Target data

Component of the ubiquinol-cytochrome c oxidoreductase, a multisubunit transmembrane complex that is part of the mitochondrial electron transport chain which drives oxidative phosphorylation. The respiratory chain contains 3 multisubunit complexes succinate dehydrogenase (complex II, CII), ubiquinol-cytochrome c oxidoreductase (cytochrome b-c1 complex, complex III, CIII) and cytochrome c oxidase (complex IV, CIV), that cooperate to transfer electrons derived from NADH and succinate to molecular oxygen, creating an electrochemical gradient over the inner membrane that drives transmembrane transport and the ATP synthase. The cytochrome b-c1 complex catalyzes electron transfer from ubiquinol to cytochrome c, linking this redox reaction to translocation of protons across the mitochondrial inner membrane, with protons being carried across the membrane as hydrogens on the quinol. In the process called Q cycle, 2 protons are consumed from the matrix, 4 protons are released into the intermembrane space and 2 electrons are passed to cytochrome c.
See full target information UQCRH

Publications (1)

Recent publications for all applications. Explore the full list and refine your search

Developmental cell 60:2744-2760.e9 PubMed40460835

2025

ATG9A and ARFIP2 cooperate to control PI4P levels for lysosomal repair.

Applications

Unspecified application

Species

Unspecified reactive species

Stefano De Tito,Eugenia Almacellas,Daniel Dai Yu,Emily Millard,Wenxin Zhang,Cecilia de Heus,Christophe Queval,Javier H Hervás,Enrica Pellegrino,Ioanna Panagi,Ditte Fogde,Teresa L M Thurston,Judith Klumperman,Maximiliano Gutierrez,Sharon A Tooze
View all publications

Product promise

We are committed to supporting your work with high-quality reagents, and we're here for you every step of the way. In the unlikely event that one of our products does not perform as expected, you're protected by our Product Promise.
For full details, please see our Terms & Conditions

Please note: All products are 'FOR RESEARCH USE ONLY. NOT FOR USE IN DIAGNOSTIC OR THERAPEUTIC PROCEDURES'.

For licensing inquiries, please contact partnerships@abcam.com