JavaScript is disabled in your browser. Please enable JavaScript to view this website.
AB134949

Anti-UQCRH antibody [EPR9039(B)]

Be the first to review this product! Submit a review

|

(8 Publications)

Rabbit Recombinant Monoclonal UQCRH antibody. Suitable for IHC-P, WB and reacts with Human, Mouse, Rat samples. Cited in 8 publications.

View Alternative Names

Complex III subunit 6, Complex III subunit VIII, Cytochrome c1 non-heme 11 kDa protein, Mitochondrial hinge protein, Ubiquinol-cytochrome c reductase complex 11 kDa protein, UQCRH

5 Images
Immunohistochemistry (Formalin/PFA-fixed paraffin-embedded sections) - Anti-UQCRH antibody [EPR9039(B)] (AB134949)
  • IHC-P

Unknown

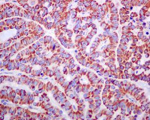
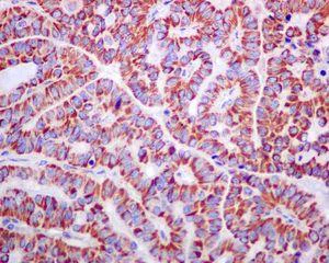
Immunohistochemistry (Formalin/PFA-fixed paraffin-embedded sections) - Anti-UQCRH antibody [EPR9039(B)] (AB134949)

Immunohistochemical analysis of paraffin-embeddedHuman thyroid carcinoma tissue labelling UQCRH with ab134949 at 1/50 dilution.

Perform heat mediated antigen retrieval with citrate buffer pH 6 before commencing with IHC staining protocol.

Immunohistochemistry (Formalin/PFA-fixed paraffin-embedded sections) - Anti-UQCRH antibody [EPR9039(B)] (AB134949)
  • IHC-P

Unknown

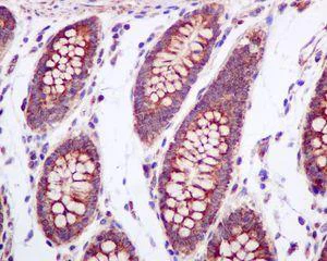
Immunohistochemistry (Formalin/PFA-fixed paraffin-embedded sections) - Anti-UQCRH antibody [EPR9039(B)] (AB134949)

Immunohistochemical analysis of paraffin-embedded Human colon tissue labelling UQCRH with ab134949 at 1/50 dilution.

Perform heat mediated antigen retrieval with citrate buffer pH 6 before commencing with IHC staining protocol.

Immunohistochemistry (Formalin/PFA-fixed paraffin-embedded sections) - Anti-UQCRH antibody [EPR9039(B)] (AB134949)
  • IHC-P

Unknown

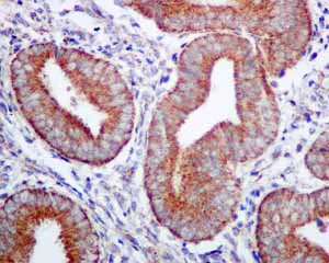
Immunohistochemistry (Formalin/PFA-fixed paraffin-embedded sections) - Anti-UQCRH antibody [EPR9039(B)] (AB134949)

Immunohistochemical analysis using ab134949 showing positive staining in Normal uterus tissue.

Perform heat mediated antigen retrieval with citrate buffer pH 6 before commencing with IHC staining protocol.

Immunohistochemistry (Formalin/PFA-fixed paraffin-embedded sections) - Anti-UQCRH antibody [EPR9039(B)] (AB134949)
  • IHC-P

Unknown

Immunohistochemistry (Formalin/PFA-fixed paraffin-embedded sections) - Anti-UQCRH antibody [EPR9039(B)] (AB134949)

Immunohistochemical analysis using ab134949 showing positive staining in Normal kidney tissue.

Perform heat mediated antigen retrieval with citrate buffer pH 6 before commencing with IHC staining protocol.

Western blot - Anti-UQCRH antibody [EPR9039(B)] (AB134949)
  • WB

Unknown

Western blot - Anti-UQCRH antibody [EPR9039(B)] (AB134949)

All lanes:

Western blot - Anti-UQCRH antibody [EPR9039(B)] (ab134949) at 1/1000 dilution

Lane 1:

Fetal muscle lysate at 10 µg

Lane 2:

Fetal liver lysate at 10 µg

Lane 3:

HL60 cell lysate at 10 µg

Lane 4:

Fetal brain lysate at 10 µg

Lane 5:

Fetal heart lysate at 10 µg

Lane 6:

Fetal kidney lysate at 10 µg

Lane 7:

Human spleen lysate at 10 µg

Secondary

All lanes:

HRP labelled goat anti-rabbit at 1/2000 dilution

Predicted band size: 11 kDa

false

  • Carrier free

    Anti-UQCRH antibody [EPR9039(B)] - BSA and Azide free

Key facts

Host species

Rabbit

Clonality

Monoclonal

Clone number

EPR9039(B)

Isotype

IgG

Carrier free

No

Reacts with

Human

Applications

IHC-P, WB

applications

Immunogen

The exact immunogen used to generate this antibody is proprietary information.

Specificity

The immunogen used for this product shares 92.3% homology with UQCRHL. Cross-reactivity with this protein has not been confirmed experimentally.

Reactivity data

{ "title": "Reactivity Data", "filters": { "stats": ["", "Species", "Dilution Info", "Notes"], "tabs": { "all-applications": {"fullname" : "All Applications", "shortname": "All Applications"}, "IHCP" : {"fullname" : "Immunohistochemistry (Formalin/PFA-fixed paraffin-embedded sections)", "shortname":"IHC-P"}, "FlowCyt" : {"fullname" : "Flow Cytometry", "shortname":"Flow Cyt"}, "WB" : {"fullname" : "Western blot", "shortname":"WB"}, "ICCIF" : {"fullname" : "Immunocytochemistry/ Immunofluorescence", "shortname":"ICC/IF"} }, "product-promise": { "all": "all", "testedAndGuaranteed": "tested", "guaranteed": "expected", "predicted": "predicted", "notRecommended": "not-recommended" } }, "values": { "Human": { "IHCP-species-checked": "testedAndGuaranteed", "IHCP-species-dilution-info": "1/50 - 1/100", "IHCP-species-notes": "<p></p>", "FlowCyt-species-checked": "notRecommended", "FlowCyt-species-dilution-info": "", "FlowCyt-species-notes": "<p></p>", "WB-species-checked": "testedAndGuaranteed", "WB-species-dilution-info": "1/1000 - 1/10000", "WB-species-notes": "<p></p>", "ICCIF-species-checked": "notRecommended", "ICCIF-species-dilution-info": "", "ICCIF-species-notes": "<p></p>" }, "Mouse": { "IHCP-species-checked": "predicted", "IHCP-species-dilution-info": "", "IHCP-species-notes": "", "FlowCyt-species-checked": "notRecommended", "FlowCyt-species-dilution-info": "", "FlowCyt-species-notes": "", "WB-species-checked": "guaranteed", "WB-species-dilution-info": "", "WB-species-notes": "<p></p>", "ICCIF-species-checked": "notRecommended", "ICCIF-species-dilution-info": "", "ICCIF-species-notes": "" }, "Rat": { "IHCP-species-checked": "predicted", "IHCP-species-dilution-info": "", "IHCP-species-notes": "", "FlowCyt-species-checked": "notRecommended", "FlowCyt-species-dilution-info": "", "FlowCyt-species-notes": "", "WB-species-checked": "guaranteed", "WB-species-dilution-info": "", "WB-species-notes": "<p></p>", "ICCIF-species-checked": "notRecommended", "ICCIF-species-dilution-info": "", "ICCIF-species-notes": "" } } }

Product details

Patented technology
Our RabMAb® technology is a patented hybridoma-based technology for making rabbit monoclonal antibodies. For details on our patents, please refer to RabMAb® patents.

What are the advantages of a recombinant monoclonal antibody?
This product is a recombinant monoclonal antibody, which offers several advantages including:

  • - High batch-to-batch consistency and reproducibility
  • - Improved sensitivity and specificity
  • - Long-term security of supply
  • - Animal-free batch production

For more information, read more on recombinant antibodies.

Properties and storage information

Form
Liquid
Purification technique
Affinity purification Protein A
Storage buffer
pH: 7.2 - 7.4 Preservative: 0.01% Sodium azide Constituents: PBS, 50% Tissue culture supernatant, 40% Glycerol (glycerin, glycerine), 0.05% BSA
Shipped at conditions
Blue Ice
Appropriate short-term storage conditions
+4°C
Appropriate long-term storage conditions
-20°C

Supplementary information

This supplementary information is collated from multiple sources and compiled automatically.

UQCRH also known as ubiquinol-cytochrome c reductase hinge protein plays an important role in the electron transport chain. It forms a part of the core structure of cytochrome bc1 complex (Complex III) in mitochondria. UQCRH has a molecular mass of about 9 kDa and is expressed ubiquitously in human tissues. Its primary role is to assist in transferring electrons by connecting cytochrome c1 and cytochrome c which is essential for cellular respiration and energy production.
Biological function summary

The hinge protein acts as a critical component of the mitochondrial respiratory chain complex III. UQCRH ensures the efficient transfer of electrons within the complex which contributes to generating a proton gradient across the inner mitochondrial membrane. This proton gradient drives ATP synthesis. It is a vital component of the larger respiratory chain complex which is important for aerobic cellular energy metabolism and plays an important role in overall mitochondrial function.

Pathways

UQCRH is a significant player in the oxidative phosphorylation pathway which is central to the production of ATP. The protein closely interacts with components of Complex III and adjacent complexes of the electron transport chain such as NADH dehydrogenase (Complex I) and cytochrome c oxidase (Complex IV). These interactions help UQCRH integrate smoothly within the pathway ensuring the consistent flow of electrons and maintenance of ATP production.

UQCRH mutations or dysfunctions link to mitochondrial disorders such as mitochondrial complex III deficiency. Dysfunction in this protein disrupts normal mitochondrial respiration leading to various symptoms including myopathy and encephalopathy. Additionally impaired UQCRH function can contribute to the development of neurodegenerative diseases. Studies have observed connections between abnormal UQCRH activity and proteins such as superoxide dismutase-1 (SOD1) in disease states indicating its possible role in oxidative stress-related pathologies.

Product protocols

For this product, it's our understanding that no specific protocols are required. You can visit:

Target data

Component of the ubiquinol-cytochrome c oxidoreductase, a multisubunit transmembrane complex that is part of the mitochondrial electron transport chain which drives oxidative phosphorylation. The respiratory chain contains 3 multisubunit complexes succinate dehydrogenase (complex II, CII), ubiquinol-cytochrome c oxidoreductase (cytochrome b-c1 complex, complex III, CIII) and cytochrome c oxidase (complex IV, CIV), that cooperate to transfer electrons derived from NADH and succinate to molecular oxygen, creating an electrochemical gradient over the inner membrane that drives transmembrane transport and the ATP synthase. The cytochrome b-c1 complex catalyzes electron transfer from ubiquinol to cytochrome c, linking this redox reaction to translocation of protons across the mitochondrial inner membrane, with protons being carried across the membrane as hydrogens on the quinol. In the process called Q cycle, 2 protons are consumed from the matrix, 4 protons are released into the intermembrane space and 2 electrons are passed to cytochrome c.
See full target information UQCRH

Publications (8)

Recent publications for all applications. Explore the full list and refine your search

Frontiers in cell and developmental biology 10:786268 PubMed35300415

2022

Applying Sodium Carbonate Extraction Mass Spectrometry to Investigate Defects in the Mitochondrial Respiratory Chain.

Applications

Unspecified application

Species

Unspecified reactive species

David R L Robinson,Daniella H Hock,Linden Muellner-Wong,Roopasingam Kugapreethan,Boris Reljic,Elliot E Surgenor,Carlos H M Rodrigues,Nikeisha J Caruana,David A Stroud

EMBO molecular medicine 13:e14397 PubMed34750991

2021

Characterising a homozygous two-exon deletion in UQCRH: comparing human and mouse phenotypes.

Applications

Unspecified application

Species

Unspecified reactive species

Silvia Vidali,Raffaele Gerlini,Kyle Thompson,Jill E Urquhart,Jana Meisterknecht,Juan Antonio Aguilar-Pimentel,Oana V Amarie,Lore Becker,Catherine Breen,Julia Calzada-Wack,Nirav F Chhabra,Yi-Li Cho,Patricia da Silva-Buttkus,René G Feichtinger,Kristine Gampe,Lillian Garrett,Kai P Hoefig,Sabine M Hölter,Elisabeth Jameson,Tanja Klein-Rodewald,Stefanie Leuchtenberger,Susan Marschall,Philipp Mayer-Kuckuk,Gregor Miller,Manuela A Oestereicher,Kristina Pfannes,Birgit Rathkolb,Jan Rozman,Charlotte Sanders,Nadine Spielmann,Claudia Stoeger,Marten Szibor,Irina Treise,John H Walter,Wolfgang Wurst,Johannes A Mayr,Helmut Fuchs,Ulrich Gärtner,Ilka Wittig,Robert W Taylor,William G Newman,Holger Prokisch,Valerie Gailus-Durner,Martin Hrabě de Angelis

Scientific reports 10:15021 PubMed32929120

2020

UQCRH downregulation promotes Warburg effect in renal cell carcinoma cells.

Applications

Unspecified application

Species

Unspecified reactive species

Yanting Luo,Louise Medina Bengtsson,Xuechun Wang,Tianhe Huang,Guoqiang Liu,Sean Murphy,Caiqin Wang,John Koren,Zachary Schafer,Xin Lu

Nature communications 11:1312 PubMed32161263

2020

Mitochondrial peptide BRAWNIN is essential for vertebrate respiratory complex III assembly.

Applications

Unspecified application

Species

Unspecified reactive species

Shan Zhang,Boris Reljić,Chao Liang,Baptiste Kerouanton,Joel Celio Francisco,Jih Hou Peh,Camille Mary,Narendra Suhas Jagannathan,Volodimir Olexiouk,Claire Tang,Gio Fidelito,Srikanth Nama,Ruey-Kuang Cheng,Caroline Lei Wee,Loo Chien Wang,Paula Duek Roggli,Prabha Sampath,Lydie Lane,Enrico Petretto,Radoslaw M Sobota,Suresh Jesuthasan,Lisa Tucker-Kellogg,Bruno Reversade,Gerben Menschaert,Lei Sun,David A Stroud,Lena Ho

Cell death and differentiation 27:1660-1676 PubMed31685978

2019

Epigenetic regulation of the Warburg effect by H2B monoubiquitination.

Applications

Unspecified application

Species

Unspecified reactive species

Yuan-Ya Jing,Feng-Feng Cai,Lei Zhang,Jing Han,Lu Yang,Fan Tang,Ya-Bin Li,Jian-Feng Chang,Feng Sun,Xiao-Mei Yang,Fang-Lin Sun,Su Chen

Cell metabolism 30:201-211.e6 PubMed31056286

2019

Intra-Tumoral Metabolic Zonation and Resultant Phenotypic Diversification Are Dictated by Blood Vessel Proximity.

Applications

Unspecified application

Species

Unspecified reactive species

Saran Kumar,Husni Sharife,Tirzah Kreisel,Maxim Mogilevsky,Libat Bar-Lev,Myriam Grunewald,Elina Aizenshtein,Rotem Karni,Iddo Paldor,Tomer Shlomi,Eli Keshet

PLoS biology 17:e2006571 PubMed30653498

2019

Organic cation transporter 3 (Oct3) is a distinct catecholamines clearance route in adipocytes mediating the beiging of white adipose tissue.

Applications

Unspecified application

Species

Unspecified reactive species

Wenxin Song,Qi Luo,Yuping Zhang,Linkang Zhou,Ye Liu,Zhilong Ma,Jianan Guo,Yuedong Huang,Lili Cheng,Ziyi Meng,Zicheng Li,Bin Zhang,Siqi Li,Sook Wah Yee,Hao Fan,Peng Li,Kathleen M Giacomini,Ligong Chen

Cancer medicine 6:749-760 PubMed28332314

2017

The mitochondrial hinge protein, UQCRH, is a novel prognostic factor for hepatocellular carcinoma.

Applications

WB

Species

Unspecified reactive species

Eun-Ran Park,Sang-Bum Kim,Jee-San Lee,Yang-Hyun Kim,Dong-Hyoung Lee,Eung-Ho Cho,Sun-Hoo Park,Chul Ju Han,Bu-Yeo Kim,Dong Wook Choi,Young Do Yoo,Ami Yu,Jae Won Lee,Ja June Jang,Young Nyun Park,Kyung-Suk Suh,Kee-Ho Lee
View all publications

Product promise

We are committed to supporting your work with high-quality reagents, and we're here for you every step of the way. In the unlikely event that one of our products does not perform as expected, you're protected by our Product Promise.
For full details, please see our Terms & Conditions

Please note: All products are 'FOR RESEARCH USE ONLY. NOT FOR USE IN DIAGNOSTIC OR THERAPEUTIC PROCEDURES'.

For licensing inquiries, please contact partnerships@abcam.com