JavaScript is disabled in your browser. Please enable JavaScript to view this website.
AB184772

Anti-URG11 antibody

4

(2 Reviews)

|

(3 Publications)

Rabbit Polyclonal URG11 antibody. Suitable for IHC-P, ICC/IF and reacts with Human samples. Cited in 3 publications. Immunogen corresponding to Recombinant Fragment Protein within Human VWCE aa 400-550.

View Alternative Names

URG11, VWCE, von Willebrand factor C and EGF domain-containing protein, HBV X protein up-regulated gene 11 protein, HBxAg up-regulated gene 11 protein

2 Images
Immunocytochemistry/ Immunofluorescence - Anti-URG11 antibody (AB184772)
  • ICC/IF

Supplier Data

Immunocytochemistry/ Immunofluorescence - Anti-URG11 antibody (AB184772)

Immunofluorescent analysis of PFA fixed U-2 OS cells labeling URG11 with ab184772 at 4 μg/ml.

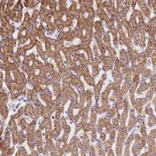
Immunohistochemistry (Formalin/PFA-fixed paraffin-embedded sections) - Anti-URG11 antibody (AB184772)
  • IHC-P

Supplier Data

Immunohistochemistry (Formalin/PFA-fixed paraffin-embedded sections) - Anti-URG11 antibody (AB184772)

Immunohistochemical analysis of paraffin embedded Human liver tissue labeling URG11 with ab184772 at 1/1000.

Key facts

Host species

Rabbit

Clonality

Polyclonal

Isotype

IgG

Carrier free

No

Reacts with

Human

Applications

IHC-P, ICC/IF

applications

Immunogen

Recombinant Fragment Protein within Human VWCE aa 400-550. The exact immunogen used to generate this antibody is proprietary information.

Q96DN2

Reactivity data

{ "title": "Reactivity Data", "filters": { "stats": ["", "Species", "Dilution Info", "Notes"], "tabs": { "all-applications": {"fullname" : "All Applications", "shortname": "All Applications"}, "IHCP" : {"fullname" : "Immunohistochemistry (Formalin/PFA-fixed paraffin-embedded sections)", "shortname":"IHC-P"}, "ICCIF" : {"fullname" : "Immunocytochemistry/ Immunofluorescence", "shortname":"ICC/IF"} }, "product-promise": { "all": "all", "testedAndGuaranteed": "tested", "guaranteed": "expected", "predicted": "predicted", "notRecommended": "not-recommended" } }, "values": { "Human": { "IHCP-species-checked": "testedAndGuaranteed", "IHCP-species-dilution-info": "1/1000 - 1/2500", "IHCP-species-notes": "<p></p> Perform heat-mediated antigen retrieval with citrate buffer pH 6 before commencing with IHC staining protocol.", "ICCIF-species-checked": "testedAndGuaranteed", "ICCIF-species-dilution-info": "1-4 µg/mL", "ICCIF-species-notes": "<p></p>" } } }

Properties and storage information

Form
Liquid
Storage buffer
pH: 7.2 Preservative: 0.02% Sodium azide Constituents: PBS, 40% Glycerol (glycerin, glycerine)
Shipped at conditions
Blue Ice
Appropriate short-term storage duration
1-2 weeks
Appropriate short-term storage conditions
+4°C
Appropriate long-term storage conditions
-20°C
Aliquoting information
Upon delivery aliquot
Storage information
Avoid freeze / thaw cycle

Supplementary information

This supplementary information is collated from multiple sources and compiled automatically.

Urg11 also known as upregulated gene 11 or LncRNA-URHC is a protein with a molecular weight of approximately 42 kDa. This protein has notable expression in several tissues including the liver and kidney. It plays a significant role at the cellular level by interacting with other proteins to facilitate various molecular processes. Researchers often study URG11 for its involvement in cell proliferation and tumor progression.
Biological function summary

The role of URG11 extends beyond a singular function. This protein contributes to the regulation of cell growth and differentiation indicating its involvement in cellular proliferation and tissue development. URG11 acts in coordination sometimes as part of larger complexes to exert its effects on these biological processes. It interacts with key signaling molecules to influence downstream biological outcomes.

Pathways

URG11 engages prominently in pathways related to cell signaling particularly the Wnt/β-catenin signaling pathway. This involvement sees URG11 interacting with critical proteins like β-catenin impacting gene transcription and cellular adhesion processes. Studies show that URG11 also has ties to pathways concerning cell cycle regulation revealing its interconnectedness with proteins involved in cell cycle progression.

URG11 exhibits a significant association with liver cancer particularly hepatocellular carcinoma. Its overexpression correlates with tumor growth making it a potential biomarker for diagnosis and prognosis. URG11 is also linked to renal diseases where it may influence pathogenesis through interactions with proteins such as β-catenin and other signaling molecules. These connections highlight its role in disease development and suggest potential therapeutic targets.

Product protocols

For this product, it's our understanding that no specific protocols are required. You can visit:

Target data

May be a regulatory element in the beta-catenin signaling pathway and a target for chemoprevention of hapatocellular carcinoma.
See full target information VWCE

Publications (3)

Recent publications for all applications. Explore the full list and refine your search

Nature communications 14:8464 PubMed38123554

2023

VWCE modulates amino acid-dependent mTOR signaling and coordinates with KICSTOR to recruit GATOR1 to the lysosomes.

Applications

Unspecified application

Species

Unspecified reactive species

Tianyu Zhao,Yuanyuan Guan,Chenchen Xu,Dong Wang,Jialiang Guan,Ying Liu

International journal of molecular sciences 21: PubMed32019179

2020

ADAM12 is A Potential Therapeutic Target Regulated by Hypomethylation in Triple-Negative Breast Cancer.

Applications

Unspecified application

Species

Unspecified reactive species

Saioa Mendaza,Ane Ulazia-Garmendia,Iñaki Monreal-Santesteban,Alicia Córdoba,Yerani Ruiz de Azúa,Begoña Aguiar,Raquel Beloqui,Pedro Armendáriz,Marta Arriola,Esperanza Martín-Sánchez,David Guerrero-Setas

PLoS biology 16:e2005903 PubMed30208026

2018

Lso2 is a conserved ribosome-bound protein required for translational recovery in yeast.

Applications

Unspecified application

Species

Unspecified reactive species

Yinuo J Wang,Pavanapuresan P Vaidyanathan,Maria F Rojas-Duran,Namrata D Udeshi,Kristen M Bartoli,Steven A Carr,Wendy V Gilbert
View all publications

Product promise

We are committed to supporting your work with high-quality reagents, and we're here for you every step of the way. In the unlikely event that one of our products does not perform as expected, you're protected by our Product Promise.
For full details, please see our Terms & Conditions

Please note: All products are 'FOR RESEARCH USE ONLY. NOT FOR USE IN DIAGNOSTIC OR THERAPEUTIC PROCEDURES'.

For licensing inquiries, please contact partnerships@abcam.com