JavaScript is disabled in your browser. Please enable JavaScript to view this website.
AB283503

Anti-Urocortin antibody [EPR25060-64]

Be the first to review this product! Submit a review

|

(3 Publications)

Rabbit Recombinant Monoclonal Urocortin antibody. Suitable for WB, IHC-P and reacts with Mouse, Rat, Human samples. Cited in 3 publications.

View Alternative Names

Urocortin, UCN

9 Images
Immunohistochemistry (Formalin/PFA-fixed paraffin-embedded sections) - Anti-Urocortin antibody [EPR25060-64] (AB283503)
  • IHC-P

Supplier Data

Immunohistochemistry (Formalin/PFA-fixed paraffin-embedded sections) - Anti-Urocortin antibody [EPR25060-64] (AB283503)

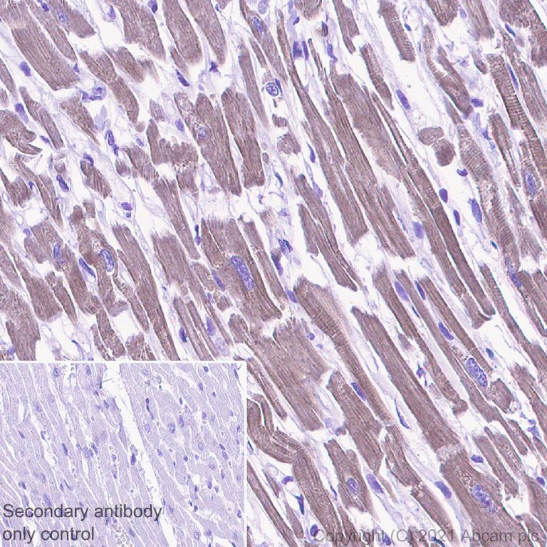
Immunohistochemical analysis of paraffin-embedded Human cardiac muscle tissue labelling Urocortin with ab283503 at 1/500 (1.04 ug/ml) dilution followed by a ready to use Rabbit specific IHC polymer detection kit HRP/DAB (ab209101). Cytoplasmic staining on human cardiac muscle (PMID : 11788672).The section was incubated with ab283503 at 4°C overnight Counterstained with Hematoxylin.

Secondary antibody only control : Secondary antibody is a ready to use Rabbit specific IHC polymer detection kit HRP/DAB (ab209101).

Heat mediated antigen retrieval using ab93684 (Tris/EDTA buffer, pH 9.0)

Immunohistochemistry (Formalin/PFA-fixed paraffin-embedded sections) - Anti-Urocortin antibody [EPR25060-64] (AB283503)
  • IHC-P

Supplier Data

Immunohistochemistry (Formalin/PFA-fixed paraffin-embedded sections) - Anti-Urocortin antibody [EPR25060-64] (AB283503)

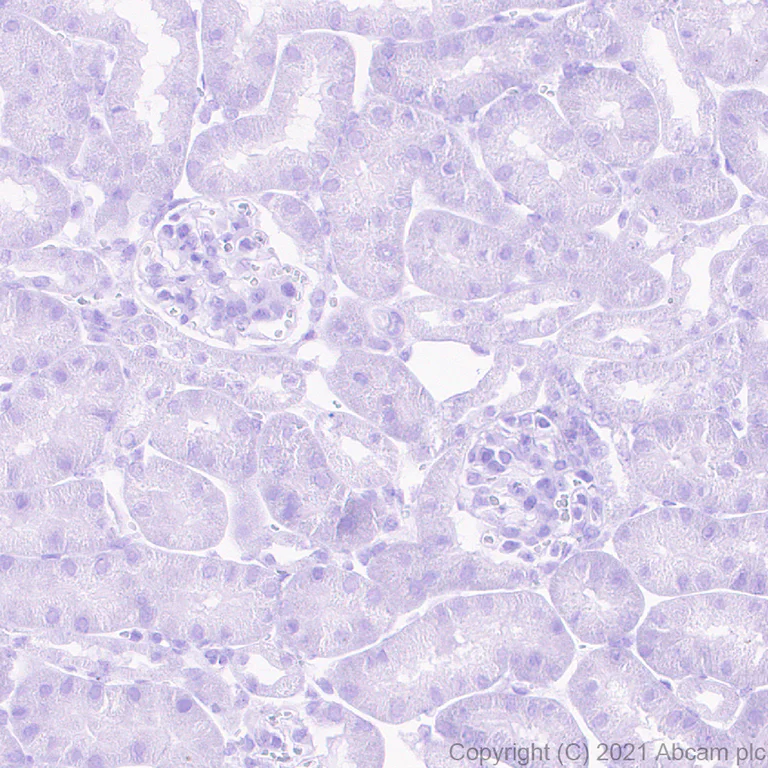
Immunohistochemical analysis of paraffin-embedded Human kidney tissue labelling Urocortin with ab283503 at 1/500 (1.04 ug/ml) dilution followed by a ready to use Rabbit specific IHC polymer detection kit HRP/DAB (ab209101). Negative control : no staining on human kideny.The section was incubated with ab283503 at 4°C overnight Counterstained with Hematoxylin.

Secondary antibody only control : Secondary antibody is a ready to use Rabbit specific IHC polymer detection kit HRP/DAB (ab209101).

Heat mediated antigen retrieval using ab93684 (Tris/EDTA buffer, pH 9.0)

Immunohistochemistry (Formalin/PFA-fixed paraffin-embedded sections) - Anti-Urocortin antibody [EPR25060-64] (AB283503)
  • IHC-P

Supplier Data

Immunohistochemistry (Formalin/PFA-fixed paraffin-embedded sections) - Anti-Urocortin antibody [EPR25060-64] (AB283503)

Immunohistochemical analysis of paraffin-embedded Rat cardiac muscle tissue labelling Urocortin with ab283503 at 1/500 (1.04 ug/ml) dilution followed by a ready to use Rabbit specific IHC polymer detection kit HRP/DAB (ab209101). Cytoplasmic staining on rat cardiac muscle (PMID : 11788672).The section was incubated with ab283503 at 4°C overnight Counterstained with Hematoxylin.

Secondary antibody only control : Secondary antibody is a ready to use Rabbit specific IHC polymer detection kit HRP/DAB (ab209101).

Heat mediated antigen retrieval using ab93684 (Tris/EDTA buffer, pH 9.0)

Immunohistochemistry (Formalin/PFA-fixed paraffin-embedded sections) - Anti-Urocortin antibody [EPR25060-64] (AB283503)
  • IHC-P

Supplier Data

Immunohistochemistry (Formalin/PFA-fixed paraffin-embedded sections) - Anti-Urocortin antibody [EPR25060-64] (AB283503)

Immunohistochemical analysis of paraffin-embedded Mouse kidney tissue labelling Urocortin with ab283503 at 1/500 (1.04 ug/ml) dilution followed by a ready to use Goat Anti-Rabbit IgG H&L (HRP polymer). Negative control : no staining on mouse kidney.The section was incubated with ab283503 at 4°C overnight Counterstained with Hematoxylin.

Secondary antibody only control : Secondary antibody is a ready to use Goat Anti-Rabbit IgG H&L (HRP polymer).

Heat mediated antigen retrieval using ab93684 (Tris/EDTA buffer, pH 9.0)

Immunohistochemistry (Formalin/PFA-fixed paraffin-embedded sections) - Anti-Urocortin antibody [EPR25060-64] (AB283503)
  • IHC-P

Supplier Data

Immunohistochemistry (Formalin/PFA-fixed paraffin-embedded sections) - Anti-Urocortin antibody [EPR25060-64] (AB283503)

Immunohistochemical analysis of paraffin-embedded Rat midbrain tissue labelling Urocortin with ab283503 at 1/500 (1.04 ug/ml) dilution followed by a ready to use Rabbit specific IHC polymer detection kit HRP/DAB (ab209101). Positive staining on Edinger-Westphal nucleus in rat midbrain (PMID : 12091910, PMID : 18186029).The section was incubated with ab283503 at 4°C overnight Counterstained with Hematoxylin.

Secondary antibody only control : Secondary antibody is a ready to use Rabbit specific IHC polymer detection kit HRP/DAB (ab209101).

Heat mediated antigen retrieval using ab93684 (Tris/EDTA buffer, pH 9.0)

Immunohistochemistry (Formalin/PFA-fixed paraffin-embedded sections) - Anti-Urocortin antibody [EPR25060-64] (AB283503)
  • IHC-P

Supplier Data

Immunohistochemistry (Formalin/PFA-fixed paraffin-embedded sections) - Anti-Urocortin antibody [EPR25060-64] (AB283503)

Immunohistochemical analysis of paraffin-embedded Mouse midbrain tissue labelling Urocortin with ab283503 at 1/500 (1.04 ug/ml) dilution followed by a ready to use Rabbit specific IHC polymer detection kit HRP/DAB (ab209101). Positive staining on Edinger-Westphal nucleus in mouse midbrain (PMID : 12091910, PMID : 18186029).The section was incubated with ab283503 at 4°C overnight Counterstained with Hematoxylin.

Secondary antibody only control : Secondary antibody is a ready to use Rabbit specific IHC polymer detection kit HRP/DAB (ab209101).

Heat mediated antigen retrieval using ab93684 (Tris/EDTA buffer, pH 9.0)

Immunohistochemistry (Formalin/PFA-fixed paraffin-embedded sections) - Anti-Urocortin antibody [EPR25060-64] (AB283503)
  • IHC-P

Supplier Data

Immunohistochemistry (Formalin/PFA-fixed paraffin-embedded sections) - Anti-Urocortin antibody [EPR25060-64] (AB283503)

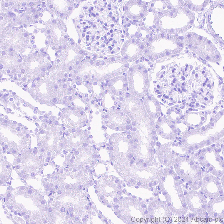
Immunohistochemical analysis of paraffin-embedded Rat kidney tissue labelling Urocortin with ab283503 at 1/500 (1.04 ug/ml) dilution followed by a ready to use Rabbit specific IHC polymer detection kit HRP/DAB (ab209101). Negative control : no staining on rat kidney.The section was incubated with ab283503 at 4°C overnight Counterstained with Hematoxylin.

Secondary antibody only control : Secondary antibody is a ready to use Rabbit specific IHC polymer detection kit HRP/DAB (ab209101).

Heat mediated antigen retrieval using ab93684 (Tris/EDTA buffer, pH 9.0)

Western blot - Anti-Urocortin antibody [EPR25060-64] (AB283503)
  • WB

Lab

Western blot - Anti-Urocortin antibody [EPR25060-64] (AB283503)

Blocking and diluting buffer and concentration : 5% NFDM/TBST.

The molecular weight observed is consistent with what has been described in the literature (PMID : 10722688, 11788672).

No expression was observed in the kidney.

Exposure time : 3 minutes.

All lanes:

Western blot - Anti-Urocortin antibody [EPR25060-64] (ab283503) at 1/1000 dilution

Lane 1:

Human heart tissue lysate at 20 µg

Lane 2:

Human kidney tissue lysate at 20 µg

Lane 3:

Mouse heart tissue lysate at 20 µg

Lane 4:

Mouse kidney tissue lysate at 20 µg

Secondary

All lanes:

Goat Anti-Rabbit IgG, (H+L), Peroxidase conjugated (<a href='/en-us/products/secondary-antibodies/goat-rabbit-igg-h-l-hrp-ab97051'>ab97051</a>) at 1/2000 dilution; Goat Anti-Rabbit IgG (HRP) with minimal cross-reactivity with human IgG at 1/20000 dilution.

Predicted band size: 13 kDa

Observed band size: 19 kDa

false

Western blot - Anti-Urocortin antibody [EPR25060-64] (AB283503)
  • WB

Lab

Western blot - Anti-Urocortin antibody [EPR25060-64] (AB283503)

Blocking and diluting buffer and concentration : 5% NFDM/TBST.

Exposure time : 15 seconds.

All lanes:

Western blot - Anti-Urocortin antibody [EPR25060-64] (ab283503) at 1/1000 dilution

All lanes:

Rat heart tissue lysate at 20 µg

Secondary

All lanes:

Western blot - Goat Anti-Rabbit IgG H&L (HRP) (<a href='/en-us/products/secondary-antibodies/goat-rabbit-igg-h-l-hrp-ab97051'>ab97051</a>) at 1/20000 dilution

Predicted band size: 13 kDa

Observed band size: 19 kDa

false

  • Carrier free

    Anti-Urocortin antibody [EPR25060-64] - BSA and Azide free

Key facts

Host species

Rabbit

Clonality

Monoclonal

Clone number

EPR25060-64

Isotype

IgG

Carrier free

No

Reacts with

Rat, Mouse, Human

Applications

WB, IHC-P

applications

Immunogen

The exact immunogen used to generate this antibody is proprietary information.

Reactivity data

{ "title": "Reactivity Data", "filters": { "stats": ["", "Species", "Dilution Info", "Notes"], "tabs": { "all-applications": {"fullname" : "All Applications", "shortname": "All Applications"}, "IP" : {"fullname" : "Immunoprecipitation", "shortname":"IP"}, "WB" : {"fullname" : "Western blot", "shortname":"WB"}, "ICCIF" : {"fullname" : "Immunocytochemistry/ Immunofluorescence", "shortname":"ICC/IF"}, "IHCFr" : {"fullname" : "Immunohistochemistry (Frozen sections)", "shortname":"IHC-Fr"}, "IHCP" : {"fullname" : "Immunohistochemistry (Formalin/PFA-fixed paraffin-embedded sections)", "shortname":"IHC-P"} }, "product-promise": { "all": "all", "testedAndGuaranteed": "tested", "guaranteed": "expected", "predicted": "predicted", "notRecommended": "not-recommended" } }, "values": { "Human": { "IP-species-checked": "notRecommended", "IP-species-dilution-info": "", "IP-species-notes": "<p></p>", "WB-species-checked": "testedAndGuaranteed", "WB-species-dilution-info": "1/1000", "WB-species-notes": "<p></p>", "ICCIF-species-checked": "notRecommended", "ICCIF-species-dilution-info": "", "ICCIF-species-notes": "<p></p>", "IHCFr-species-checked": "notRecommended", "IHCFr-species-dilution-info": "", "IHCFr-species-notes": "", "IHCP-species-checked": "testedAndGuaranteed", "IHCP-species-dilution-info": "1/500", "IHCP-species-notes": "<p></p>" }, "Mouse": { "IP-species-checked": "notRecommended", "IP-species-dilution-info": "", "IP-species-notes": "<p></p>", "WB-species-checked": "testedAndGuaranteed", "WB-species-dilution-info": "1/1000", "WB-species-notes": "<p></p>", "ICCIF-species-checked": "notRecommended", "ICCIF-species-dilution-info": "", "ICCIF-species-notes": "", "IHCFr-species-checked": "notRecommended", "IHCFr-species-dilution-info": "", "IHCFr-species-notes": "<p></p>", "IHCP-species-checked": "testedAndGuaranteed", "IHCP-species-dilution-info": "1/500", "IHCP-species-notes": "<p></p>" }, "Rat": { "IP-species-checked": "notRecommended", "IP-species-dilution-info": "", "IP-species-notes": "", "WB-species-checked": "testedAndGuaranteed", "WB-species-dilution-info": "1/1000", "WB-species-notes": "<p></p>", "ICCIF-species-checked": "notRecommended", "ICCIF-species-dilution-info": "", "ICCIF-species-notes": "", "IHCFr-species-checked": "notRecommended", "IHCFr-species-dilution-info": "", "IHCFr-species-notes": "<p></p>", "IHCP-species-checked": "testedAndGuaranteed", "IHCP-species-dilution-info": "1/500", "IHCP-species-notes": "<p></p>" } } }

Product details

Patented technology
Our RabMAb® technology is a patented hybridoma-based technology for making rabbit monoclonal antibodies. For details on our patents, please refer to RabMAb® patents.

What are the advantages of a recombinant monoclonal antibody?
This product is a recombinant monoclonal antibody, which offers several advantages including:

  • - High batch-to-batch consistency and reproducibility
  • - Improved sensitivity and specificity
  • - Long-term security of supply
  • - Animal-free batch production

For more information, read more on recombinant antibodies.

Properties and storage information

Form
Liquid
Purification technique
Affinity purification Protein A
Storage buffer
pH: 7.2 - 7.4 Preservative: 0.01% Sodium azide Constituents: PBS, 40% Glycerol (glycerin, glycerine), 0.05% BSA
Shipped at conditions
Blue Ice
Appropriate short-term storage duration
1-2 weeks
Appropriate short-term storage conditions
+4°C
Appropriate long-term storage conditions
-20°C
Aliquoting information
Upon delivery aliquot
Storage information
Avoid freeze / thaw cycle

Supplementary information

This supplementary information is collated from multiple sources and compiled automatically.

Urocortin also known as UCN is a member of the corticotropin-releasing factor (CRF) family of peptides with a molecular weight of approximately 4.7 kDa. It engages in binding to CRF receptors especially CRF-R2 promoting a range of effects in different tissues. Urocortin is expressed in numerous brain regions including the hypothalamus and Edinger-Westphal nucleus as well as in peripheral tissues like the gastrointestinal tract and heart.
Biological function summary

This peptide hormone is involved in stress response and regulation of food intake. Urocortin modulates the activity of neuronal systems contributing to various physiological functions including cardiovascular homeostasis. It does not work as part of a complex but exerts its effects through receptor-ligand interactions predominantly with CRF-R2 influencing vasodilation and reducing anxiety-like behaviors.

Pathways

Urocortin exerts its biological roles through the corticotropin-releasing hormone signaling pathway. This pathway is fundamental in the body's response to stress. Urocortin's interaction with CRF-R2 links it to other CRF-related peptides such as CRF itself and Urocortin II in regulating stress-related responses and energy homeostasis via these pathways.

Research indicates Urocortin's involvement in heart failure and anxiety disorders. In heart failure Urocortin's role in cardiovascular function places it alongside proteins such as atrial natriuretic peptide (ANP) in maintaining heart health. Moreover in anxiety disorders it shares connections with CRF in modulating behavioral responses to stress pointing to potential therapeutic applications in treating stress-related diseases.

Product protocols

For this product, it's our understanding that no specific protocols are required. You can visit:

Target data

Acts in vitro to stimulate the secretion of adrenocorticotropic hormone (ACTH) (PubMed : 8612563). Binds with high affinity to CRF receptor types 1, 2-alpha, and 2-beta (PubMed : 8612563). Plays a role in the establishment of normal hearing thresholds (By similarity). Reduces food intake and regulates ghrelin levels in gastric body and plasma (By similarity).
See full target information Urocortin

Publications (3)

Recent publications for all applications. Explore the full list and refine your search

International journal of molecular sciences 25: PubMed39062944

2024

Examination of the Effect of Dimethyl Trisulfide in Acute Stress Mouse Model with the Potential Involvement of the TRPA1 Ion Channel.

Applications

Unspecified application

Species

Unspecified reactive species

Kitti Göntér,Ágnes Dombi,Viktória Kormos,Erika Pintér,Gábor Pozsgai

Pain 165:2774-2793 PubMed38875125

2024

Neuroanatomical evidence and a mouse calcitonin gene-related peptide model in line with human functional magnetic resonance imaging data support the involvement of peptidergic Edinger-Westphal nucleus in migraine.

Applications

Unspecified application

Species

Unspecified reactive species

Ammar Al-Omari,Balázs Gaszner,Dóra Zelena,Kinga Gecse,Gergely Berta,Tünde Biró-Sütő,Péter Szocsics,Zsófia Maglóczky,Péter Gombás,Erika Pintér,Gabriella Juhász,Viktória Kormos

Frontiers in cell and developmental biology 10:1059073 PubMed36561364

2022

Transient receptor potential ankyrin 1 ion channel expressed by the Edinger-Westphal nucleus contributes to stress adaptation in murine model of posttraumatic stress disorder.

Applications

Unspecified application

Species

Unspecified reactive species

János Konkoly,Viktória Kormos,Balázs Gaszner,Pedro Correia,Gergely Berta,Tünde Biró-Sütő,Dóra Zelena,Erika Pintér
View all publications

Product promise

We are committed to supporting your work with high-quality reagents, and we're here for you every step of the way. In the unlikely event that one of our products does not perform as expected, you're protected by our Product Promise.
For full details, please see our Terms & Conditions

Please note: All products are 'FOR RESEARCH USE ONLY. NOT FOR USE IN DIAGNOSTIC OR THERAPEUTIC PROCEDURES'.

For licensing inquiries, please contact partnerships@abcam.com