JavaScript is disabled in your browser. Please enable JavaScript to view this website.
AB237776

Anti-Uroplakin Ia antibody [4B4]

Be the first to review this product! Submit a review

|

(0 Publication)

Mouse Recombinant Monoclonal Uroplakin Ia antibody. Suitable for IHC-P and reacts with Mouse, Rat samples.

View Alternative Names

Uroplakin-1a, UP1a, Uroplakin Ia, UPIa, UPKa, Upk1a

4 Images
Immunohistochemistry (Formalin/PFA-fixed paraffin-embedded sections) - Anti-Uroplakin Ia antibody [4B4] (AB237776)
  • IHC-P

Supplier Data

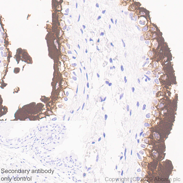
Immunohistochemistry (Formalin/PFA-fixed paraffin-embedded sections) - Anti-Uroplakin Ia antibody [4B4] (AB237776)

Immunohistochemical analysis of paraffin-embedded Rat bladder tissue labeling Uroplakin Ia with ab237776 at 1/10000 (0.113 ug/ml) dilution followed by a ready to use LeicaDS9800 (Bond™ Polymer Refine Detection) was used. Positive staining in rat bladder.The section was incubated with ab237776 for 30 mins at room temperature.The immunostaining was performed on a Leica Biosystems BOND® RX instrument Counterstained with Hematoxylin.

Secondary antibody only control : Secondary antibody is a ready to use LeicaDS9800 (Bond™ Polymer Refine Detection) was used.

Heat mediated antigen retrieval with Citrate buffer (pH 6.0, epitope retrieval solution 1) for 20 mins

Immunohistochemistry (Formalin/PFA-fixed paraffin-embedded sections) - Anti-Uroplakin Ia antibody [4B4] (AB237776)
  • IHC-P

Supplier Data

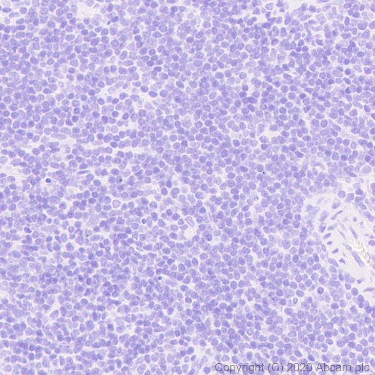
Immunohistochemistry (Formalin/PFA-fixed paraffin-embedded sections) - Anti-Uroplakin Ia antibody [4B4] (AB237776)

Immunohistochemical analysis of paraffin-embedded Mouse spleen tissue labeling Uroplakin Ia with ab237776 at 1/10000 (0.113 ug/ml) dilution followed by a ready to use LeicaDS9800 (Bond™ Polymer Refine Detection) was used. Negative control : No staining in mouse spleen.The section was incubated with ab237776 for 30 mins at room temperature. The immunostaining was performed on a Leica Biosystems BOND® RX instrument Counterstained with Hematoxylin.

Secondary antibody only control : Secondary antibody is a ready to use LeicaDS9800 (Bond™ Polymer Refine Detection) was used.

Heat mediated antigen retrieval with Citrate buffer (pH 6.0, epitope retrieval solution 1) for 20 mins

Immunohistochemistry (Formalin/PFA-fixed paraffin-embedded sections) - Anti-Uroplakin Ia antibody [4B4] (AB237776)
  • IHC-P

Supplier Data

Immunohistochemistry (Formalin/PFA-fixed paraffin-embedded sections) - Anti-Uroplakin Ia antibody [4B4] (AB237776)

Immunohistochemical analysis of paraffin-embedded Rat spleen tissue labeling Uroplakin Ia with ab237776 at 1/10000 (0.113 ug/ml) dilution followed by a ready to use LeicaDS9800 (Bond™ Polymer Refine Detection) was used. Negative control : No staining in rat spleen.The section was incubated with ab237776 for 30 mins at room temperature.The immunostaining was performed on a Leica Biosystems BOND® RX instrument Counterstained with Hematoxylin.

Secondary antibody only control : Secondary antibody is a ready to use LeicaDS9800 (Bond™ Polymer Refine Detection) was used.

Heat mediated antigen retrieval with Citrate buffer (pH 6.0, epitope retrieval solution 1) for 20 mins

Immunohistochemistry (Formalin/PFA-fixed paraffin-embedded sections) - Anti-Uroplakin Ia antibody [4B4] (AB237776)
  • IHC-P

Supplier Data

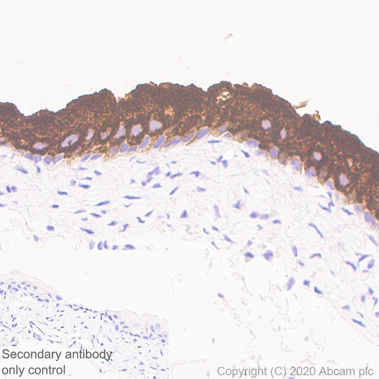
Immunohistochemistry (Formalin/PFA-fixed paraffin-embedded sections) - Anti-Uroplakin Ia antibody [4B4] (AB237776)

Immunohistochemical analysis of paraffin-embedded Mouse bladder tissue labeling Uroplakin Ia with ab237776 at 1/10000 (0.113 ug/ml) dilution followed by a ready to use LeicaDS9800 (Bond™ Polymer Refine Detection) was used. Positive staining in mouse bladder.The section was incubated with ab237776 for 30 mins at room temperature.The immunostaining was performed on a Leica Biosystems BOND® RX instrument Counterstained with Hematoxylin.

Secondary antibody only control : Secondary antibody is a ready to use LeicaDS9800 (Bond™ Polymer Refine Detection) was used.

Heat mediated antigen retrieval with Citrate buffer (pH 6.0, epitope retrieval solution 1) for 20 mins

  • Carrier free

    Anti-Uroplakin Ia antibody [4B4] - BSA and Azide free

Key facts

Host species

Mouse

Clonality

Monoclonal

Clone number

4B4

Isotype

IgG1

Carrier free

No

Reacts with

Mouse, Rat

Applications

IHC-P

applications

Immunogen

The exact immunogen used to generate this antibody is proprietary information.

Reactivity data

{ "title": "Reactivity Data", "filters": { "stats": ["", "Species", "Dilution Info", "Notes"], "tabs": { "all-applications": {"fullname" : "All Applications", "shortname": "All Applications"}, "IHCP" : {"fullname" : "Immunohistochemistry (Formalin/PFA-fixed paraffin-embedded sections)", "shortname":"IHC-P"}, "WB" : {"fullname" : "Western blot", "shortname":"WB"} }, "product-promise": { "all": "all", "testedAndGuaranteed": "tested", "guaranteed": "expected", "predicted": "predicted", "notRecommended": "not-recommended" } }, "values": { "Human": { "IHCP-species-checked": "notRecommended", "IHCP-species-dilution-info": "1/10000", "IHCP-species-notes": "<p></p> Perform heat-mediated antigen retrieval with citrate buffer pH 6 before commencing with IHC staining protocol.", "WB-species-checked": "notRecommended", "WB-species-dilution-info": "", "WB-species-notes": "<p></p>" }, "Mouse": { "IHCP-species-checked": "testedAndGuaranteed", "IHCP-species-dilution-info": "1/10000", "IHCP-species-notes": "<p></p> Perform heat-mediated antigen retrieval with citrate buffer pH 6 before commencing with IHC staining protocol.", "WB-species-checked": "notRecommended", "WB-species-dilution-info": "", "WB-species-notes": "<p></p>" }, "Rat": { "IHCP-species-checked": "testedAndGuaranteed", "IHCP-species-dilution-info": "1/10000", "IHCP-species-notes": "<p></p> Perform heat-mediated antigen retrieval with citrate buffer pH 6 before commencing with IHC staining protocol.", "WB-species-checked": "notRecommended", "WB-species-dilution-info": "", "WB-species-notes": "<p></p>" } } }

Product details

What are the advantages of a recombinant monoclonal antibody?
This product is a recombinant monoclonal antibody, which offers several advantages including:

  • - High batch-to-batch consistency and reproducibility
  • - Improved sensitivity and specificity
  • - Long-term security of supply
  • - Animal-free batch production

For more information, read more on recombinant antibodies.

Properties and storage information

Form
Liquid
Purification technique
Affinity purification Protein A
Storage buffer
Preservative: 0.01% Sodium azide Constituents: PBS, 40% Glycerol (glycerin, glycerine), 0.05% BSA
Shipped at conditions
Blue Ice
Appropriate short-term storage duration
1-2 weeks
Appropriate short-term storage conditions
+4°C
Appropriate long-term storage conditions
-20°C
Aliquoting information
Upon delivery aliquot
Storage information
Avoid freeze / thaw cycle

Supplementary information

This supplementary information is collated from multiple sources and compiled automatically.

Uroplakin Ia also known as UP1a or UPK1A is a transmembrane protein with a molecular mass of approximately 28 kDa. This protein forms an integral part of the asymmetric unit membrane (AUM) in the urothelial cells of the bladder. It mainly occurs in the apical surface of these cells contributing to the mechanical stability and permeability barrier function of the urothelium. Uroplakin Ia's structural role helps protect underlying tissues from harmful urine components.
Biological function summary

As part of the larger uroplakin complex Uroplakin Ia plays a critical role in the differentiation and formation of the urothelial plaques. It combines with other uroplakin family members including Uroplakin Ib Uroplakin II and Uroplakin III to form this protein complex ensuring proper surface architecture. The complex importantly enhances the urothelium's protective barrier function allowing the bladder to effectively retain urine.

Pathways

Uroplakin Ia participates in the maintenance of urothelial cell junction integrity. This protein interacts particularly within the urothelial differentiation pathway and is essential for surface assembly. It shares pathways with proteins like Uroplakin II which further support the integrity and function of bladder epithelial cells. These interactions help uphold the structural integrity necessary for normal bladder function.

Uroplakin Ia shows associations with bladder cancer and interstitial cystitis. Alterations in the expression or function of this protein could contribute to the disrupted barrier function observed in these conditions. Uroplakin Ia also shows connections to other uroplakin proteins such as Uroplakin III which could influence the severity or progression of diseases mentioned. Researchers explore these links further to develop potential diagnostic and therapeutic approaches.

Product protocols

For this product, it's our understanding that no specific protocols are required. You can visit:

Target data

Component of the asymmetric unit membrane (AUM); a highly specialized biomembrane elaborated by terminally differentiated urothelial cells. May play an important role in normal bladder epithelial physiology, possibly in regulating membrane permeability of superficial umbrella cells or in stabilizing the apical membrane through AUM/cytoskeletal interactions (By similarity).
See full target information Uroplakin-1a

Product promise

We are committed to supporting your work with high-quality reagents, and we're here for you every step of the way. In the unlikely event that one of our products does not perform as expected, you're protected by our Product Promise.
For full details, please see our Terms & Conditions

Please note: All products are 'FOR RESEARCH USE ONLY. NOT FOR USE IN DIAGNOSTIC OR THERAPEUTIC PROCEDURES'.

For licensing inquiries, please contact partnerships@abcam.com