JavaScript is disabled in your browser. Please enable JavaScript to view this website.
AB237777

Anti-Uroplakin Ib/UPIb antibody [2N23]

Be the first to review this product! Submit a review

|

(3 Publications)

Mouse Recombinant Monoclonal Uroplakin Ib/UPIb antibody. Suitable for IHC-Fr, IHC-P and reacts with Mouse, Rat samples. Cited in 3 publications.

View Alternative Names

Uroplakin-1b, UP1b, Uroplakin Ib, UPIb, Upk1b

7 Images
Immunohistochemistry (Formalin/PFA-fixed paraffin-embedded sections) - Anti-Uroplakin Ib/UPIb antibody [2N23] (AB237777)
  • IHC-P

Supplier Data

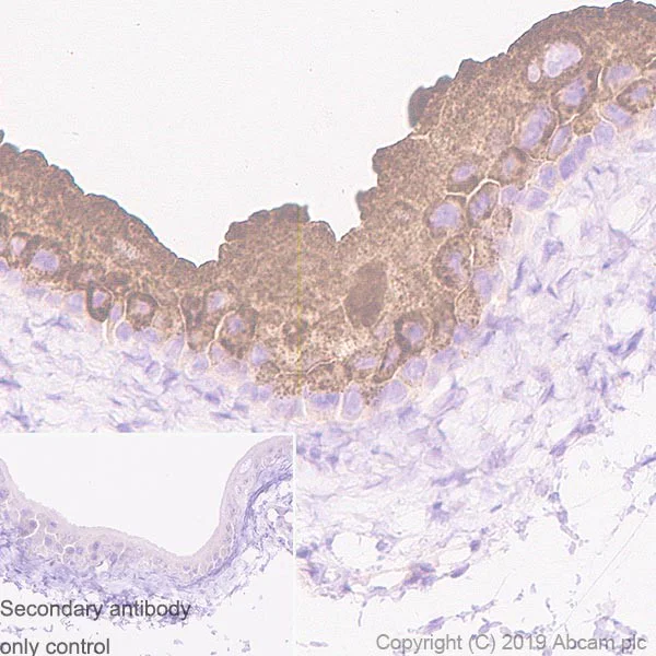
Immunohistochemistry (Formalin/PFA-fixed paraffin-embedded sections) - Anti-Uroplakin Ib/UPIb antibody [2N23] (AB237777)

Immunohistochemical analysis of paraffin-embedded rat bladder tissue labeling Uroplakin Ib/UPIb with ab237777 at 0.099μg/ml, followed by ready to use Goat Anti-Mouse IgG H&L (HRP polymer) (ab214879). Positive staining on rat bladder tissue is observed. The section was incubated with ab237777 for 30 mins at room temperature. The immunostaining staining was performed on a Leica Biosystems BOND® RX instrument. Counterstained with hematoxylin.
Secondary antibody only control : Used PBS instead of primary antibody, followed by ready to use Goat Anti-Mouse IgG H&L (HRP polymer) (ab214879).
Heat mediated antigen retrieval with Tris-EDTA buffer (pH 9.0, epitope retrieval solution 2) for 20 mins.

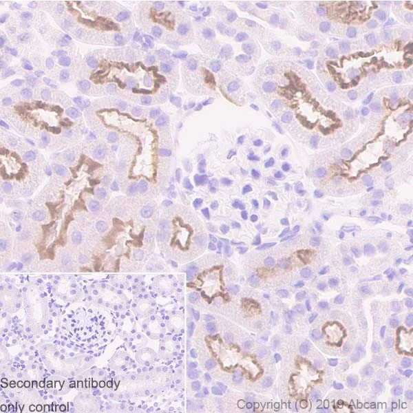
Immunohistochemistry (Formalin/PFA-fixed paraffin-embedded sections) - Anti-Uroplakin Ib/UPIb antibody [2N23] (AB237777)
  • IHC-P

Supplier Data

Immunohistochemistry (Formalin/PFA-fixed paraffin-embedded sections) - Anti-Uroplakin Ib/UPIb antibody [2N23] (AB237777)

Immunohistochemical analysis of paraffin-embedded rat kidney tissue labeling Uroplakin Ib/UPIb with ab237777 at 0.099μg/ml, followed by ready to use Goat Anti-Mouse IgG H&L (HRP polymer) (ab214879). Positive staining on rat kidney tissue is observed. The section was incubated with ab237777 for 30 mins at room temperature. The immunostaining staining was performed on a Leica Biosystems BOND® RX instrument. Counterstained with hematoxylin.
Secondary antibody only control : Used PBS instead of primary antibody, followed by ready to use Goat Anti-Mouse IgG H&L (HRP polymer) (ab214879).
Heat mediated antigen retrieval with Tris-EDTA buffer (pH 9.0, epitope retrieval solution 2) for 20 mins.

Immunohistochemistry (Formalin/PFA-fixed paraffin-embedded sections) - Anti-Uroplakin Ib/UPIb antibody [2N23] (AB237777)
  • IHC-P

Supplier Data

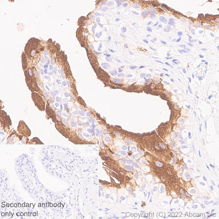
Immunohistochemistry (Formalin/PFA-fixed paraffin-embedded sections) - Anti-Uroplakin Ib/UPIb antibody [2N23] (AB237777)

Immunohistochemical analysis of paraffin-embedded rat bladder tissue labeling Uroplakin Ib/UPIb with ab237777 at 0.032μg/ml, followed by Anti-Mouse IgG2b antibody [RM108] (ab190482). Positive staining on rat bladder tissue is observed. The section was incubated with ab237777 for 30 mins at room temperature, followed by anti-mouse IgG2b IgG antibody (ab190482) for 8 mins during the LeicaDS9800 kit staining procedure. The immunostaining staining was performed on a Leica Biosystems BOND® RX instrument.

Counterstained with hematoxylin.

Secondary antibody only control : Used PBS instead of primary antibody, followed by Anti-Mouse IgG2b antibody [RM108] (ab190482).

Heat mediated antigen retrieval using Bond™ Epitope Retrieval Solution 2 (pH 9.0) for 20 minutes.

Immunohistochemistry (Formalin/PFA-fixed paraffin-embedded sections) - Anti-Uroplakin Ib/UPIb antibody [2N23] (AB237777)
  • IHC-P

Supplier Data

Immunohistochemistry (Formalin/PFA-fixed paraffin-embedded sections) - Anti-Uroplakin Ib/UPIb antibody [2N23] (AB237777)

Immunohistochemical analysis of paraffin-embedded mouse bladder tissue labeling Uroplakin Ib/UPIb with ab237777 at 0.032μg/ml, followed by Anti-Mouse IgG2b antibody [RM108] (ab190482). Positive staining on mouse bladder tissue is observed. The section was incubated with ab237777 for 30 mins at room temperature, followed by anti-mouse IgG2b IgG antibody (ab190482) for 8 mins during the LeicaDS9800 kit staining procedure. The immunostaining staining was performed on a Leica Biosystems BOND® RX instrument.

Counterstained with hematoxylin.

Secondary antibody only control : Used PBS instead of primary antibody, followed by Anti-Mouse IgG2b antibody [RM108] (ab190482).

Heat mediated antigen retrieval using Bond™ Epitope Retrieval Solution 2 (pH 9.0) for 20 minutes.

Immunohistochemistry (Frozen sections) - Anti-Uroplakin Ib/UPIb antibody [2N23] (AB237777)
  • IHC-Fr

Supplier Data

Immunohistochemistry (Frozen sections) - Anti-Uroplakin Ib/UPIb antibody [2N23] (AB237777)

Immunohistochemical analysis of 4% PFA-fixed, 0.2% Triton X-100 permeabilized frozen mouse kidney tissue labeling Uroplakin Ib/UPIb with ab237777 at 3.94μg/ml, followed by ab150113 AlexaFluor®488 Goat anti-Mouse secondary at a 1/1000 dilution (Green). Positive staining on mouse kidney is observed. Nuclear counterstain is DAPI (Blue).
Secondary antibody only control : Used PBS instead of primary antibody, followed by ab150113 AlexaFluor®488 Goat anti-Mouse secondary at a 1/1000 dilution.

Heat mediated antigen retrieval using sodium citrate buffer (10mM citrate pH 6.0 + 0.05% Tween-20).

Immunohistochemistry (Frozen sections) - Anti-Uroplakin Ib/UPIb antibody [2N23] (AB237777)
  • IHC-Fr

Supplier Data

Immunohistochemistry (Frozen sections) - Anti-Uroplakin Ib/UPIb antibody [2N23] (AB237777)

Immunohistochemical analysis of 4% PFA-fixed, 0.2% Triton X-100 permeabilized frozen rat kidney tissue labeling Uroplakin Ib/UPIb with ab237777 at 1/50 dilution, followed by ab150113 AlexaFluor®488 Goat anti-Mouse secondary at 3.94μg/ml (Green). Positive staining on rat kidney is observed. Nuclear counterstain is DAPI (Blue).
Secondary antibody only control : Used PBS instead of primary antibody, followed by ab150113 AlexaFluor®488 Goat anti-Mouse secondary at a 1/1000 dilution.

Heat mediated antigen retrieval using sodium citrate buffer (10mM citrate pH 6.0 + 0.05% Tween-20).

Immunohistochemistry (Formalin/PFA-fixed paraffin-embedded sections) - Anti-Uroplakin Ib/UPIb antibody [2N23] (AB237777)
  • IHC-P

Supplier Data

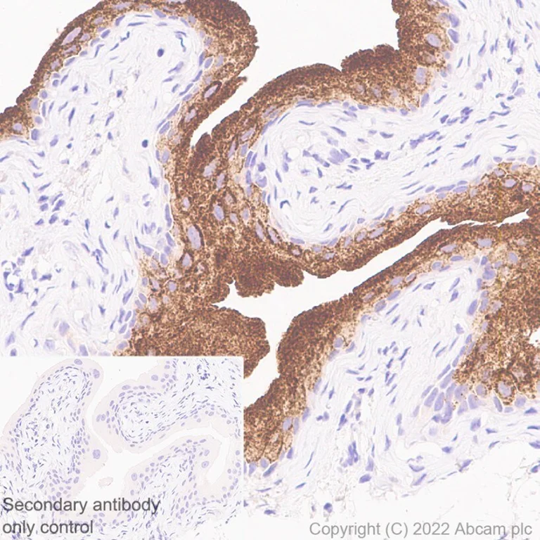
Immunohistochemistry (Formalin/PFA-fixed paraffin-embedded sections) - Anti-Uroplakin Ib/UPIb antibody [2N23] (AB237777)

Immunohistochemical analysis of paraffin-embedded mouse bladder tissue labeling Uroplakin Ib/UPIb with ab237777 at 0.099μg/ml, followed by ready to use Goat Anti-Mouse IgG H&L (HRP polymer) (ab214879). Positive staining on mouse bladder tissue is observed. The section was incubated with ab237777 for 30 mins at room temperature. The immunostaining staining was performed on a Leica Biosystems BOND® RX instrument. Counterstained with hematoxylin.
Secondary antibody only control : Used PBS instead of primary antibody, followed by ready to use Goat Anti-Mouse IgG H&L (HRP polymer) (ab214879).
Heat mediated antigen retrieval with Tris-EDTA buffer (pH 9.0, epitope retrieval solution 2) for 20 mins.

Key facts

Host species

Mouse

Clonality

Monoclonal

Clone number

2N23

Isotype

IgG2b

Carrier free

No

Reacts with

Mouse, Rat

Applications

IHC-Fr, IHC-P

applications

Immunogen

The exact immunogen used to generate this antibody is proprietary information.

Reactivity data

{ "title": "Reactivity Data", "filters": { "stats": ["", "Species", "Dilution Info", "Notes"], "tabs": { "all-applications": {"fullname" : "All Applications", "shortname": "All Applications"}, "WB" : {"fullname" : "Western blot", "shortname":"WB"}, "IHCFr" : {"fullname" : "Immunohistochemistry (Frozen sections)", "shortname":"IHC-Fr"}, "IHCP" : {"fullname" : "Immunohistochemistry (Formalin/PFA-fixed paraffin-embedded sections)", "shortname":"IHC-P"} }, "product-promise": { "all": "all", "testedAndGuaranteed": "tested", "guaranteed": "expected", "predicted": "predicted", "notRecommended": "not-recommended" } }, "values": { "Mouse": { "WB-species-checked": "notRecommended", "WB-species-dilution-info": "", "WB-species-notes": "<p></p>", "IHCFr-species-checked": "testedAndGuaranteed", "IHCFr-species-dilution-info": "3.94 µg/mL", "IHCFr-species-notes": "<p>Perform heat mediated antigen retrieval using sodium citrate buffer (10mM citrate pH 6.0 + 0.05% Tween-20).</p>", "IHCP-species-checked": "testedAndGuaranteed", "IHCP-species-dilution-info": "0.03-0.1 µg/mL", "IHCP-species-notes": "<p></p> Perform heat-mediated antigen retrieval with Tris/EDTA buffer pH 9.0 before commencing with IHC staining protocol." }, "Rat": { "WB-species-checked": "notRecommended", "WB-species-dilution-info": "", "WB-species-notes": "<p></p>", "IHCFr-species-checked": "testedAndGuaranteed", "IHCFr-species-dilution-info": "3.94 µg/mL", "IHCFr-species-notes": "<p>Perform heat mediated antigen retrieval using sodium citrate buffer (10mM citrate pH 6.0 + 0.05% Tween-20).</p>", "IHCP-species-checked": "testedAndGuaranteed", "IHCP-species-dilution-info": "0.03-0.1 µg/mL", "IHCP-species-notes": "<p></p> Perform heat-mediated antigen retrieval with Tris/EDTA buffer pH 9.0 before commencing with IHC staining protocol." } } }

Product details

What are the advantages of a recombinant monoclonal antibody?
This product is a recombinant monoclonal antibody, which offers several advantages including:

  • - High batch-to-batch consistency and reproducibility
  • - Improved sensitivity and specificity
  • - Long-term security of supply
  • - Animal-free batch production

For more information, read more on recombinant antibodies.

Want a custom formulation?
This antibody clone is manufactured by Abcam. If you require a custom buffer formulation or conjugation for your experiments, please contact orders@abcam.com

Properties and storage information

Form
Liquid
Purification technique
Affinity purification Protein A
Storage buffer
pH: 7.2 - 7.4 Preservative: 0.01% Sodium azide Constituents: PBS, 40% Glycerol (glycerin, glycerine), 0.05% BSA
Shipped at conditions
Blue Ice
Appropriate short-term storage duration
1-2 weeks
Appropriate short-term storage conditions
+4°C
Appropriate long-term storage conditions
-20°C
Aliquoting information
Upon delivery aliquot
Storage information
Avoid freeze / thaw cycle

Supplementary information

This supplementary information is collated from multiple sources and compiled automatically.

Uroplakin Ib (UPIb) also known as UPK1B is a type I integral membrane protein belonging to the uroplakin family. UPIb has a molecular mass of around 25 kDa. It is expressed in the apical surface of urothelial cells which line the urinary bladder and other parts of the urinary tract. The protein plays a structural role contributing to the formation of the asymmetrical unit membrane (AUM) an important component of the urothelial barrier.
Biological function summary

UPIb functions as part of a larger uroplakin complex essential for maintaining the urothelial surface structure. This protein works in concert with Uroplakin Ia Uroplakin II and Uroplakin III to form UPIa/UPIb heterodimers and facilitate protective plaque formation on the urothelial surface. The uroplakin complex ensures impermeability and mechanical stability in the urothelium critically protecting the underlying tissues from urine's toxic and osmotic effects.

Pathways

UPIb plays an essential role in the processes of cell differentiation and urothelial development. It interacts with transmembrane proteins within the uroplakin complex supporting the endocytosis and recycling pathways in the bladder's epithelial cells. The protein influences pathways pertinent to epithelial cell adhesion and communication working closely with uroplakin-associated proteins such as Uroplakin II and Uroplakin IIIa.

UPIb is linked to bladder-related conditions due to its involvement in maintaining the urothelial barrier's integrity. Defects or misregulation in UPIb expression have associations with bladder cancer and interstitial cystitis. In bladder cancer abnormal uroplakin expression patterns including UPIb may indicate changes in the differentiation state of cancerous cells. In interstitial cystitis impaired urothelial barrier functions may link to UPIb's disrupted interactions with proteins such as Uroplakin IIIa.

Product protocols

For this product, it's our understanding that no specific protocols are required. You can visit:

Target data

Component of the asymmetric unit membrane (AUM); a highly specialized biomembrane elaborated by terminally differentiated urothelial cells. May play an important role in normal bladder epithelial physiology, possibly in regulating membrane permeability of superficial umbrella cells or in stabilizing the apical membrane through AUM/cytoskeletal interactions (By similarity).
See full target information Uroplakin-1b

Publications (3)

Recent publications for all applications. Explore the full list and refine your search

International journal of rheumatic diseases 27:e15282 PubMed39091178

2024

IGJ depletion suppresses proliferation, inflammation, and motility of rheumatoid arthritis fibroblast-like synoviocytes via targeting NF-κB pathway.

Applications

Unspecified application

Species

Unspecified reactive species

Jun Sheng,Fuyong Qiang,Qian He,Dan Xuan,Ruitao Liu

Allergologia et immunopathologia 51:54-59 PubMed37937496

2023

Auraptene alleviates inflammatory injury and cell apoptosis in children with pneumonia .

Applications

Unspecified application

Species

Unspecified reactive species

Yuebin Wang,Shuzhen Yuan,Wei Tan,Yuanyu Zhou,Ruiyun Liao,Wei Su

Allergologia et immunopathologia 51:140-145 PubMed36617833

2023

LARP7 alleviates psoriasis symptoms in mice by regulating the SIRT1/NF-κB signaling pathway.

Applications

Unspecified application

Species

Unspecified reactive species

Na Li,Yulei Liu
View all publications

Product promise

We are committed to supporting your work with high-quality reagents, and we're here for you every step of the way. In the unlikely event that one of our products does not perform as expected, you're protected by our Product Promise.
For full details, please see our Terms & Conditions

Please note: All products are 'FOR RESEARCH USE ONLY. NOT FOR USE IN DIAGNOSTIC OR THERAPEUTIC PROCEDURES'.

For licensing inquiries, please contact partnerships@abcam.com