JavaScript is disabled in your browser. Please enable JavaScript to view this website.
AB213655

Anti-Uroplakin II/UPII antibody [EPR18799]

Be the first to review this product! Submit a review

|

(3 Publications)

Rabbit Recombinant Monoclonal Uroplakin II/UPII antibody. Suitable for IHC-P and reacts with Human samples. Cited in 3 publications.

View Alternative Names

Uroplakin-2, UP2, Uroplakin II, UPII, UPK2

4 Images
Immunohistochemistry (Formalin/PFA-fixed paraffin-embedded sections) - Anti-Uroplakin II/UPII antibody [EPR18799] (AB213655)
  • IHC-P

Supplier Data

Immunohistochemistry (Formalin/PFA-fixed paraffin-embedded sections) - Anti-Uroplakin II/UPII antibody [EPR18799] (AB213655)

Immunohistochemical analysis of paraffin-embedded human ureter tissue labeling Uroplakin II/UPII with ab213655 at 1/4000 dilution, followed by Goat Anti-Rabbit IgG H&L (HRP) (ab97051) at 1/500 dilution. Cytoplasmic and weak membrane staining on epithelial cells of human ureter tissues is observed [PMID : 24978921]. Counter stained with Hematoxylin.

Secondary antibody only control : Used PBS instead of primary antibody, secondary antibody is Goat Anti-Rabbit IgG H&L (HRP) (ab97051) at 1/500 dilution.

Perform heat mediated antigen retrieval with Tris/EDTA buffer pH 9.0 before commencing with IHC staining protocol.

Immunohistochemistry (Formalin/PFA-fixed paraffin-embedded sections) - Anti-Uroplakin II/UPII antibody [EPR18799] (AB213655)
  • IHC-P

Supplier Data

Immunohistochemistry (Formalin/PFA-fixed paraffin-embedded sections) - Anti-Uroplakin II/UPII antibody [EPR18799] (AB213655)

Immunohistochemical analysis of paraffin-embedded human bladder tissue labeling Uroplakin II/UPII with ab213655 at 1/4000 dilution, followed by Goat Anti-Rabbit IgG H&L (HRP) (ab97051) at 1/500 dilution. Membrane staining on epithelial cells of human bladder tissues is observed [PMID : 24978921]. Counter stained with Hematoxylin.

Secondary antibody only control : Used PBS instead of primary antibody, secondary antibody is Goat Anti-Rabbit IgG H&L (HRP) (ab97051) at 1/500 dilution.

Perform heat mediated antigen retrieval with Tris/EDTA buffer pH 9.0 before commencing with IHC staining protocol.

Immunohistochemistry (Formalin/PFA-fixed paraffin-embedded sections) - Anti-Uroplakin II/UPII antibody [EPR18799] (AB213655)
  • IHC-P

Supplier Data

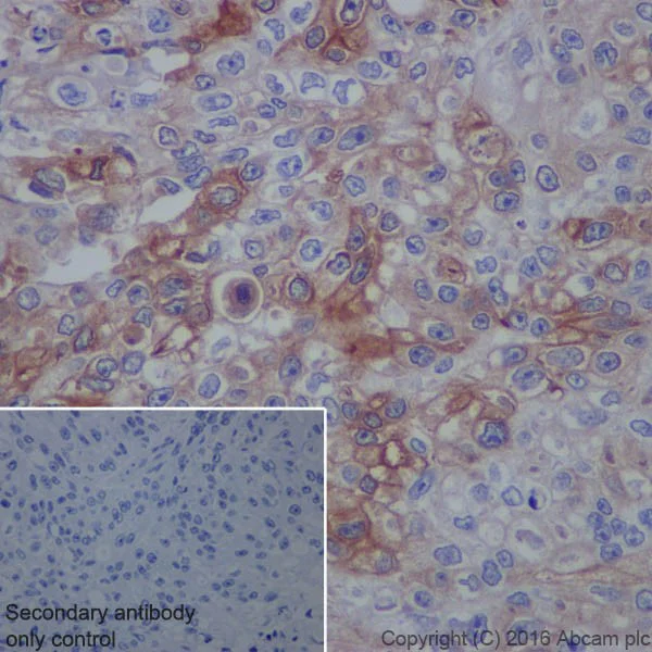
Immunohistochemistry (Formalin/PFA-fixed paraffin-embedded sections) - Anti-Uroplakin II/UPII antibody [EPR18799] (AB213655)

Immunohistochemical analysis of paraffin-embedded human renal clear cell carcinoma tissue labeling Uroplakin II/UPII with ab213655 at 1/4000 dilution, followed by Goat Anti-Rabbit IgG H&L (HRP) (ab97051) at 1/500 dilution.

Negative control :No staining on tumor cells of human renal clear cell carcinoma. [PMID : 24978921].

Counter stained with Hematoxylin.

Perform heat mediated antigen retrieval with Tris/EDTA buffer pH 9.0 before commencing with IHC staining protocol.

Immunohistochemistry (Formalin/PFA-fixed paraffin-embedded sections) - Anti-Uroplakin II/UPII antibody [EPR18799] (AB213655)
  • IHC-P

Supplier Data

Immunohistochemistry (Formalin/PFA-fixed paraffin-embedded sections) - Anti-Uroplakin II/UPII antibody [EPR18799] (AB213655)

Immunohistochemical analysis of paraffin-embedded human bladder cancer tissue labeling Uroplakin II/UPII with ab213655 at 1/4000 dilution, followed by Goat Anti-Rabbit IgG H&L (HRP) (ab97051) at 1/500 dilution. Membrane and weak cytoplasmic staining on tumor cells of human bladder cancer is observed [PMID : 24978921]. Counter stained with Hematoxylin.

Secondary antibody only control : Used PBS instead of primary antibody, secondary antibody is Goat Anti-Rabbit IgG H&L (HRP) (ab97051) at 1/500 dilution.

Perform heat mediated antigen retrieval with Tris/EDTA buffer pH 9.0 before commencing with IHC staining protocol.

  • Carrier free

    Anti-Uroplakin II/UPII antibody [EPR18799] - BSA and Azide free

Key facts

Host species

Rabbit

Clonality

Monoclonal

Clone number

EPR18799

Isotype

IgG

Carrier free

No

Reacts with

Human

Applications

IHC-P

applications

Immunogen

The exact immunogen used to generate this antibody is proprietary information.

Reactivity data

{ "title": "Reactivity Data", "filters": { "stats": ["", "Species", "Dilution Info", "Notes"], "tabs": { "all-applications": {"fullname" : "All Applications", "shortname": "All Applications"}, "IHCP" : {"fullname" : "Immunohistochemistry (Formalin/PFA-fixed paraffin-embedded sections)", "shortname":"IHC-P"} }, "product-promise": { "all": "all", "testedAndGuaranteed": "tested", "guaranteed": "expected", "predicted": "predicted", "notRecommended": "not-recommended" } }, "values": { "Human": { "IHCP-species-checked": "testedAndGuaranteed", "IHCP-species-dilution-info": "1/4000", "IHCP-species-notes": "<p></p>" } } }

Product details

Patented technology
Our RabMAb® technology is a patented hybridoma-based technology for making rabbit monoclonal antibodies. For details on our patents, please refer to RabMAb® patents.

What are the advantages of a recombinant monoclonal antibody?
This product is a recombinant monoclonal antibody, which offers several advantages including:

  • - High batch-to-batch consistency and reproducibility
  • - Improved sensitivity and specificity
  • - Long-term security of supply
  • - Animal-free batch production

For more information, read more on recombinant antibodies.

Properties and storage information

Form
Liquid
Purification technique
Affinity purification Protein A
Storage buffer
pH: 7.2 - 7.4 Preservative: 0.01% Sodium azide Constituents: PBS, 40% Glycerol (glycerin, glycerine), 0.05% BSA
Shipped at conditions
Blue Ice
Appropriate short-term storage duration
1-2 weeks
Appropriate short-term storage conditions
+4°C
Appropriate long-term storage conditions
-20°C
Aliquoting information
Upon delivery aliquot
Storage information
Avoid freeze / thaw cycle

Supplementary information

This supplementary information is collated from multiple sources and compiled automatically.

Uroplakin II (UPII) also known as UPK2 plays a structural role in the epithelial cells of the urinary tract. It has a molecular mass of approximately 15 kDa. UPII is expressed specifically in the urothelium which lines the interior surface of the bladder ureters and renal pelvis. This protein contributes to the asymmetric unit membrane (AUM) which forms specialized plaques essential for maintaining the impermeability of the urothelial barrier.
Biological function summary

Uroplakin II functions as part of the larger uroplakin protein complex. UPII interacts with other uroplakins such as Uroplakin Ia Ib and III contributing to the formation of a multimeric structure that strengthens the urothelial cells' surface. This structure plays a role in cellular stabilization and preventing the passage of toxic substances and pathogens from the urine into the underlying tissue. Consequently it aids in maintaining tissue integrity and ensuring efficient functioning of the urinary system.

Pathways

The uroplakin complex integrates into the pathway of epithelial differentiation. Uroplakin II's association with other uroplakins influences the formation of the AUM which involves the coordinated action of several related proteins such as claudins. The interaction with claudins suggests a potential regulatory role for cell-cell adhesion within epithelial transport pathways. This role might interact with tight junction pathways that are important for maintaining the selective permeability of epithelial layers.

Alterations in Uroplakin II expression link to urothelial carcinoma. Abnormal UPII levels can disrupt the urothelial barrier potentially leading to carcinogenesis. Investigations find connections between UPII and overexpression of proteins such as EGFR which contributes to tumor growth and progression. The association of UPII with bladder cancer emphasizes its potential as a diagnostic biomarker and a target for therapeutic strategies in urothelial malignancies.

Product protocols

For this product, it's our understanding that no specific protocols are required. You can visit:

Target data

Component of the asymmetric unit membrane (AUM); a highly specialized biomembrane elaborated by terminally differentiated urothelial cells. May play an important role in regulating the assembly of the AUM (By similarity).
See full target information Uroplakin-2

Publications (3)

Recent publications for all applications. Explore the full list and refine your search

Nature genetics 57:165-179 PubMed39806204

2025

Loss of Kmt2c or Kmt2d primes urothelium for tumorigenesis and redistributes KMT2A-menin to bivalent promoters.

Applications

Unspecified application

Species

Unspecified reactive species

Naitao Wang,Mohini R Pachai,Dan Li,Cindy J Lee,Sarah Warda,Makhzuna N Khudoynazarova,Woo Hyun Cho,Guojia Xie,Sagar R Shah,Li Yao,Cheng Qian,Elissa W P Wong,Juan Yan,Fanny V Tomas,Wenhuo Hu,Fengshen Kuo,Sizhi P Gao,Jiaqian Luo,Alison E Smith,Ming Han,Dong Gao,Kai Ge,Haiyuan Yu,Sarat Chandarlapaty,Gopakumar V Iyer,Jonathan E Rosenberg,David B Solit,Hikmat A Al-Ahmadie,Ping Chi,Yu Chen

International journal of molecular sciences 22: PubMed33805910

2021

Fabrication of Adipose-Derived Stem Cell-Based Self-Assembled Scaffold under Hypoxia and Mechanical Stimulation for Urethral Tissue Engineering.

Applications

Unspecified application

Species

Unspecified reactive species

Zahra Rashidbenam,Mohd Hafidzul Jasman,Guan Hee Tan,Eng Hong Goh,Xeng Inn Fam,Christopher Chee Kong Ho,Zulkifli Md Zainuddin,Reynu Rajan,Rizal Abdul Rani,Fatimah Mohd Nor,Mohamad Aznan Shuhaili,Nik Ritza Kosai,Farrah Hani Imran,Min Hwei Ng

Brain structure & function 221:1279-90 PubMed25601153

2015

Acute neuroinflammation in a clinically relevant focal cortical ischemic stroke model in rat: longitudinal positron emission tomography and immunofluorescent tracking.

Applications

Unspecified application

Species

Unspecified reactive species

Miklós Tóth,Philip Little,Fabian Arnberg,Jenny Häggkvist,Jan Mulder,Christer Halldin,Balázs Gulyás,Staffan Holmin
View all publications

Product promise

We are committed to supporting your work with high-quality reagents, and we're here for you every step of the way. In the unlikely event that one of our products does not perform as expected, you're protected by our Product Promise.
For full details, please see our Terms & Conditions

Please note: All products are 'FOR RESEARCH USE ONLY. NOT FOR USE IN DIAGNOSTIC OR THERAPEUTIC PROCEDURES'.

For licensing inquiries, please contact partnerships@abcam.com